GOLM1 Antibody

Images

 
Western Blot: GOLM1 Antibody [NBP2-16706] - HeLa whole cell and membrane extracts (30 ug) were separated by 7.5% SDS-PAGE, and the membrane was blotted with GOLPH2 antibody diluted at 1:1000. The HRP-conjugated ...read more
Immunocytochemistry/ Immunofluorescence: GOLM1 Antibody [NBP2-16706] - HeLa cells were fixed in 4% paraformaldehyde at RT for 15 min. Green: GOLPH2 stained by GOLPH2 antibody diluted at 1:500. Red: phalloidin, a ...read more
Immunohistochemistry-Paraffin: GOLM1 Antibody [NBP2-16706] - GOLM1 antibody detects GOLM1 protein at Golgi apparatus by immunohistochemical analysis. Sample: Paraffin-embedded human endometrial carcinoma. GOLM1 stained ...read more
Western Blot: GOLM1 Antibody [NBP2-16706] - Whole cell extract (30 ug) was separated by 10% SDS-PAGE, and the membrane was blotted with GOLPH2 antibody diluted at 1:500. The HRP-conjugated anti-rabbit IgG antibody ...read more
Immunocytochemistry/ Immunofluorescence: GOLM1 Antibody [NBP2-16706] - Confocal immunofluorescence analysis of methanol-fixed HeLa, using GOLPH2 antibody (Green) at 1:500 dilution. Alpha-tubulin filaments are labeled ...read more
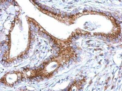
Immunohistochemistry-Paraffin: GOLM1 Antibody [NBP2-16706] - Analysis of paraffin-embedded Gastric ca, using antibody at 1:500 dilution.
Immunohistochemistry-Paraffin: GOLM1 Antibody [NBP2-16706] - Immunohistochemical analysis of paraffin-embedded human gastric cancer, using GOLM1 antibody at 1:500 dilution.
GOLM1 Antibody [NBP2-16706] - Wild-type (WT) and GOLPH2 knockout (KO) 293T cell extracts (30 ug) were separated by 7.5% SDS-PAGE, and the membrane was blotted with GOLM1 antibody diluted at 1:1000. HRP-conjugated ...read more

Product Details

Summary
Product Discontinued
View other related GOLM1 Primary Antibodies

Order Details


    • Catalog Number
      NBP2-16706
    • Availability
      Product Discontinued

    Can't find what you are looking for? Use our Antibody Concierge Service & we will help you locate your antibody!

    Or feel free to contact us for alternative products.

GOLM1 Antibody Summary

Immunogen
Recombinant protein encompassing a sequence within the center region of human GOLPH2. The exact sequence is proprietary.
Localization
Golgi apparatus; cis-Golgi network membrane; Single-pass type II membrane protein
Isotype
IgG
Clonality
Polyclonal
Host
Rabbit
Gene
GOLM1
Purity
Immunogen affinity purified
Innovator's Reward
Test in a species/application not listed above to receive a full credit towards a future purchase.

Applications/Dilutions

Dilutions
  • Immunocytochemistry/ Immunofluorescence 1:100-1:1000
  • Immunohistochemistry 1:100-1:1000
  • Immunohistochemistry-Paraffin 1:100-1:1000
  • Western Blot 1:500-1:3000
Theoretical MW
45 kDa.
Disclaimer note: The observed molecular weight of the protein may vary from the listed predicted molecular weight due to post translational modifications, post translation cleavages, relative charges, and other experimental factors.

Packaging, Storage & Formulations

Storage
Aliquot and store at -20C or -80C. Avoid freeze-thaw cycles.
Buffer
PBS (pH 7), 1% BSA, 20% Glycerol
Preservative
0.025% Proclin 300
Purity
Immunogen affinity purified

Alternate Names for GOLM1 Antibody

  • bA379P1.3
  • FLJ23608
  • golgi membrane protein 1
  • Golgi membrane protein GP73
  • Golgi phosphoprotein 2C9orf155
  • golgi protein, 73-kD
  • GOLPH2 FLJ22634
  • GP73 chromosome 9 open reading frame 155
  • GP73
  • PSEC0257

Background

The Golgi complex plays a key role in the sorting and modification of proteins exported from the endoplasmic reticulum. The protein encoded by this gene is a type II Golgi transmembrane protein. It processes protein synthesized in the rough endoplasmic reticulum and assists in the transport of protein cargo through the Golgi apparatus. The expression of this encoded protein has been observed to be upregulated in response to viral infection. Two alternatively spliced transcript variants encoding the same protein have been described for this gene. [provided by RefSeq]

Limitations

This product is for research use only and is not approved for use in humans or in clinical diagnosis. Primary Antibodies are guaranteed for 1 year from date of receipt.

Customers Who Viewed This Item Also Viewed...

MAB1368
Species: Hu, Mu
Applications: CyTOF-ready, ICC, ICFlow, KO, Simple Western, WB
NBP2-75515
Species: Hu, Mu, Rt
Applications: Flow, ICC/IF,  IHC-P, WB
NBP1-83910
Species: Hu
Applications: IHC,  IHC-P, KD, WB
NBP1-32914
Species: Hu, Mu
Applications: ICC/IF, IHC, WB
DKK300
Species: Hu
Applications: ELISA
NBP1-87168
Species: Hu
Applications: ICC/IF, IHC,  IHC-P, WB
NBP1-91954
Species: Hu
Applications: ICC/IF, IHC,  IHC-P
AF7355
Species: Hu
Applications: ICC, Simple Western, WB
AF1916
Species: Hu
Applications: ICC, IHC, WB
NBP3-48658
Species: Ca, Fe, Hu, Mu, Rt, Ze
Applications: ICC/IF, IHC,  IHC-P, WB
AF4036
Species: Hu
Applications: Simple Western, WB
H00005324-M02
Species: Hu, Mu
Applications: ELISA, IHC,  IHC-P, WB
NBP1-32920
Species: Hu, Mu
Applications: ICC/IF, IHC,  IHC-P, KD, WB
NBP1-18885
Species: Hu
Applications: ICC/IF, IHC,  IHC-P, IP, KO, WB
NB100-355
Species: Bv, Ca, Ch, Hu, Mu, Po, Pm, Rt, Xp
Applications: CyTOF-ready, Flow, ICC/IF, IF, IHC, IHC-Fr,  IHC-P, IP, In vivo, KO, Simple Western, WB
AF2747
Species: Mu
Applications: ELISA(Cap), ELISA(Det), ELISA(Sta), IHC, IP, WB
NBP1-58268
Species: Hu, Mu
Applications: IHC,  IHC-P, WB
NB400-114
Species: Ch, Fe, Ha, Hu, Mu, Pl, Po, Pm, Rt
Applications: ICC/IF, IHC,  IHC-P, IP, KD, WB
H00004646-M02
Species: Hu, Mu
Applications: ELISA, IHC, S-ELISA, WB
NBP2-16706
Species: Hu
Applications: WB, ICC/IF, IHC
⚠ WARNING: This product can expose you to chemicals including mercury, which is known to the State of California to cause reproductive toxicity with developmental effects.  For more information go to www.P65Warnings.ca.gov.

Publications for GOLM1 Antibody (NBP2-16706) (0)

There are no publications for GOLM1 Antibody (NBP2-16706).
By submitting your publication information earn gift cards and discounts for future purchases.

Reviews for GOLM1 Antibody (NBP2-16706) (0)

There are no reviews for GOLM1 Antibody (NBP2-16706). By submitting a review you will receive an Amazon e-Gift Card or Novus Product Discount.
  • Review with no image -- $10/€7/£6/$10 CAD/¥70 Yuan/¥1110 Yen
  • Review with an image -- $25/€18/£15/$25 CAD/¥150 Yuan/¥2500 Yen

Product General Protocols

Find general support by application which include: protocols, troubleshooting, illustrated assays, videos and webinars.

Video Protocols

WB Video Protocol
ICC/IF Video Protocol

FAQs for GOLM1 Antibody (NBP2-16706) (0)

There are no specific FAQs related to this product. Read our general customer & technical service FAQs.

Secondary Antibodies

 

Isotype Controls

Additional GOLM1 Products

Research Areas for GOLM1 Antibody (NBP2-16706)

Find related products by research area.

Blogs on GOLM1

There are no specific blogs for GOLM1, but you can read our latest blog posts.

Contact Information

Product PDFs

Calculators

Concentration Calculator

The concentration calculator allows you to quickly calculate the volume, mass or concentration of your vial. Simply enter your mass, volume, or concentration values for your reagent and the calculator will determine the rest.

=
÷

Review this Product

Be the first to review our GOLM1 Antibody and receive a gift card or discount.

Bioinformatics

Gene Symbol GOLM1
Uniprot