GOLM1 Antibody (JA63-03)

Images

 
Western Blot: GOLM1 Antibody (JA63-03) [NBP2-66876] - Analysis of GOLM1 on 293T cell lysates. Proteins were transferred to a PVDF membrane and blocked with 5% BSA in PBS for 1 hour at room temperature. The primary ...read more
Immunocytochemistry/ Immunofluorescence: GOLM1 Antibody (JA63-03) [NBP2-66876] - Staining GOLPH2 in Hela cells (green). The nuclear counter stain is DAPI (blue). Cells were fixed in paraformaldehyde, permeabilised with ...read more
Immunohistochemistry-Paraffin: GOLM1 Antibody (JA63-03) [NBP2-66876] - Analysis of paraffin-embedded human endometrium tissue using anti-GOLM1 antibody. The section was pre-treated using heat mediated antigen retrieval ...read more
Flow Cytometry: GOLM1 Antibody (JA63-03) [NBP2-66876] - Analysis of Hela cells with GOLPH2 antibody at 1/100 dilution (red) compared with an unlabelled control (cells without incubation with primary antibody; black).
Western Blot: GOLM1 Antibody (JA63-03) [NBP2-66876] - Analysis of GOLPH2 on SH-SY5Y cell lysate using anti-GOLPH2 antibody at 1/1,000 dilution.
Immunocytochemistry/ Immunofluorescence: GOLM1 Antibody (JA63-03) [NBP2-66876] - Staining GOLPH2 in 293T cells (green). The nuclear counter stain is DAPI (blue). Cells were fixed in paraformaldehyde, permeabilised with ...read more
Immunocytochemistry/ Immunofluorescence: GOLM1 Antibody (JA63-03) [NBP2-66876] - Staining GOLPH2 in A549 cells (green). The nuclear counter stain is DAPI (blue). Cells were fixed in paraformaldehyde, permeabilised with ...read more
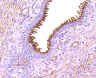
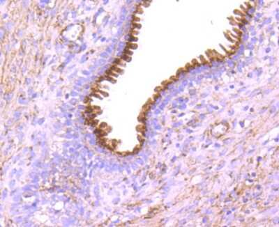
Immunohistochemistry-Paraffin: GOLM1 Antibody (JA63-03) [NBP2-66876] - Analysis of paraffin-embedded human prostate tissue using anti-GOLPH2 antibody. Counter stained with hematoxylin.
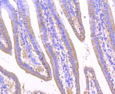
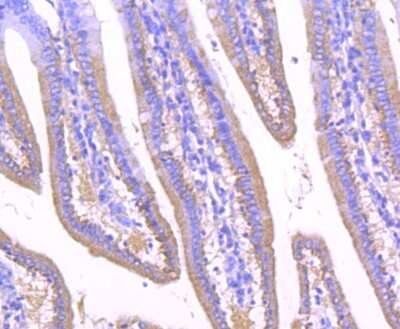
Immunohistochemistry-Paraffin: GOLM1 Antibody (JA63-03) [NBP2-66876] - Analysis of paraffin-embedded mouse small intestine tissue using anti-GOLPH2 antibody. Counter stained with hematoxylin.

Product Details

Summary
Product Discontinued
View other related GOLM1 Primary Antibodies

Order Details


    • Catalog Number
      NBP2-66876
    • Availability
      Product Discontinued

    Can't find what you are looking for? Use our Antibody Concierge Service & we will help you locate your antibody!

    Or feel free to contact us for alternative products.

GOLM1 Antibody (JA63-03) Summary

Additional Information
Recombinant Monoclonal Antibody.
Immunogen
Synthetic peptide within Human GOLM1 aa 301-350 / 401. (SwissProt: Q8NBJ4 Human; SwissProt: Q91XA2 Mouse)
Localization
Golgi apparatus.
Isotype
IgG
Clonality
Monoclonal
Host
Rabbit
Gene
GOLM1
Purity
Protein A purified
Innovator's Reward
Test in a species/application not listed above to receive a full credit towards a future purchase.

Applications/Dilutions

Dilutions
  • Flow Cytometry 1:50-1:100
  • Immunocytochemistry/ Immunofluorescence 1:50-1:100
  • Immunohistochemistry
  • Immunohistochemistry-Paraffin 1:50-1:200
  • Western Blot 1:500-1:2000

Packaging, Storage & Formulations

Storage
Store at 4C short term. Aliquot and store at -20C long term. Avoid freeze-thaw cycles.
Buffer
TBS (pH7.4), 0.05% BSA, 40% Glycerol
Preservative
0.05% Sodium Azide
Concentration
1 mg/ml
Purity
Protein A purified

Alternate Names for GOLM1 Antibody (JA63-03)

  • bA379P1.3
  • FLJ23608
  • golgi membrane protein 1
  • Golgi membrane protein GP73
  • Golgi phosphoprotein 2C9orf155
  • golgi protein, 73-kD
  • GOLPH2 FLJ22634
  • GP73 chromosome 9 open reading frame 155
  • GP73
  • PSEC0257

Background

The Golgi complex plays a key role in the sorting and modification of proteins exported from the endoplasmic reticulum. The protein encoded by GOLM1 is a type II Golgi transmembrane protein. It processes protein synthesized in the rough endoplasmic reticulum and assists in the transport of protein cargo through the Golgi apparatus. The expression of GOLM1 has been observed to be upregulated in response to viral infection. Two alternatively spliced transcript variants encoding the same protein have been described for GOLM1.

Limitations

This product is for research use only and is not approved for use in humans or in clinical diagnosis. Primary Antibodies are guaranteed for 1 year from date of receipt.

Customers Who Viewed This Item Also Viewed...

MAB1368
Species: Hu, Mu
Applications: CyTOF-ready, ICC, ICFlow, KO, Simple Western, WB
NBP2-75515
Species: Hu, Mu, Rt
Applications: Flow, ICC/IF,  IHC-P, WB
NBP1-83910
Species: Hu
Applications: IHC,  IHC-P, KD, WB
NBP1-32914
Species: Hu, Mu
Applications: ICC/IF, IHC, WB
DKK300
Species: Hu
Applications: ELISA
NBP1-87168
Species: Hu
Applications: ICC/IF, IHC,  IHC-P, WB
NBP1-91954
Species: Hu
Applications: ICC/IF, IHC,  IHC-P
AF7355
Species: Hu
Applications: ICC, Simple Western, WB
AF1916
Species: Hu
Applications: ICC, IHC, WB
NBP3-48658
Species: Ca, Fe, Hu, Mu, Rt, Ze
Applications: ICC/IF, IHC,  IHC-P, WB
AF4036
Species: Hu
Applications: Simple Western, WB
H00005324-M02
Species: Hu, Mu
Applications: ELISA, IHC,  IHC-P, WB
NBP1-32920
Species: Hu, Mu
Applications: ICC/IF, IHC,  IHC-P, KD, WB
NBP1-18885
Species: Hu
Applications: ICC/IF, IHC,  IHC-P, IP, KO, WB
NB100-355
Species: Bv, Ca, Ch, Hu, Mu, Po, Pm, Rt, Xp
Applications: CyTOF-ready, Flow, ICC/IF, IF, IHC, IHC-Fr,  IHC-P, IP, In vivo, KO, Simple Western, WB
AF2747
Species: Mu
Applications: ELISA(Cap), ELISA(Det), ELISA(Sta), IHC, IP, WB
NBP1-58268
Species: Hu, Mu
Applications: IHC,  IHC-P, WB
NB400-114
Species: Ch, Fe, Ha, Hu, Mu, Pl, Po, Pm, Rt
Applications: ICC/IF, IHC,  IHC-P, IP, KD, WB
H00004646-M02
Species: Hu, Mu
Applications: ELISA, IHC, S-ELISA, WB
NBP2-66876
Species: Hu, Mu, Rt
Applications: WB, Flow, ICC/IF, IHC

Publications for GOLM1 Antibody (NBP2-66876) (0)

There are no publications for GOLM1 Antibody (NBP2-66876).
By submitting your publication information earn gift cards and discounts for future purchases.

Reviews for GOLM1 Antibody (NBP2-66876) (0)

There are no reviews for GOLM1 Antibody (NBP2-66876). By submitting a review you will receive an Amazon e-Gift Card or Novus Product Discount.
  • Review with no image -- $10/€7/£6/$10 CAD/¥70 Yuan/¥1110 Yen
  • Review with an image -- $25/€18/£15/$25 CAD/¥150 Yuan/¥2500 Yen

Product General Protocols

Find general support by application which include: protocols, troubleshooting, illustrated assays, videos and webinars.

Video Protocols

WB Video Protocol
ICC/IF Video Protocol

FAQs for GOLM1 Antibody (NBP2-66876) (0)

There are no specific FAQs related to this product. Read our general customer & technical service FAQs.

Secondary Antibodies

 

Isotype Controls

Additional GOLM1 Products

Research Areas for GOLM1 Antibody (NBP2-66876)

Find related products by research area.

Blogs on GOLM1

There are no specific blogs for GOLM1, but you can read our latest blog posts.

Contact Information

Product PDFs

Calculators

Concentration Calculator

The concentration calculator allows you to quickly calculate the volume, mass or concentration of your vial. Simply enter your mass, volume, or concentration values for your reagent and the calculator will determine the rest.

=
÷

Review this Product

Be the first to review our GOLM1 Antibody (JA63-03) and receive a gift card or discount.

Bioinformatics

Gene Symbol GOLM1