GIT1 Antibody (JU33-39)

Images

 
Western Blot: GIT1 Antibody (JU33-39) [NBP2-75505] - Analysis of GIT1 on A549 cell using anti-GIT1 antibody at 1/500 dilution.
Immunohistochemistry-Paraffin: GIT1 Antibody (JU33-39) [NBP2-75505] - Analysis of paraffin-embedded mouse small intestine tissue with Rabbit anti-GIT1 antibody washed with ddH2O and PBS, and then probed with the primary ...read more
Flow Cytometry: GIT1 Antibody (JU33-39) [NBP2-75505] - Analysis of A549 cells with GIT1 antibody at 1/100 dilution (red) compared with an unlabelled control (cells without incubation with primary antibody; black).
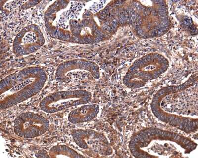
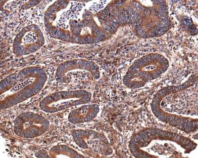
Immunohistochemistry-Paraffin: GIT1 Antibody (JU33-39) [NBP2-75505] - Analysis of paraffin-embedded human colon cancer tissue using anti-GIT1 antibody. Counter stained with hematoxylin.
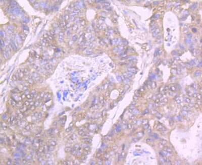
Immunohistochemistry-Paraffin: GIT1 Antibody (JU33-39) [NBP2-75505] - Analysis of paraffin-embedded human pancreas tissue using anti-GIT1 antibody. Counter stained with hematoxylin.
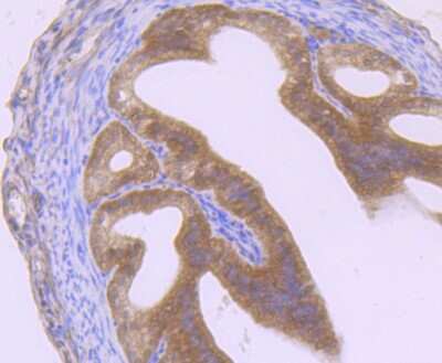
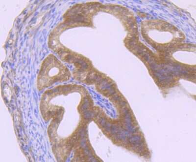
Immunohistochemistry-Paraffin: GIT1 Antibody (JU33-39) [NBP2-75505] - Analysis of paraffin-embedded mouse fallopian tubes tissue using anti-GIT1 antibody. Counter stained with hematoxylin.
Immunohistochemistry-Paraffin: GIT1 Antibody (JU33-39) [NBP2-75505] - Analysis of paraffin-embedded rat brain tissue using anti-GIT1 antibody. Counter stained with hematoxylin.
Immunohistochemistry-Paraffin: GIT1 Antibody (JU33-39) [NBP2-75505] - Analysis of paraffin-embedded human colon carcinoma tissue with Rabbit anti-GIT1 antibody washed with ddH2O and PBS, and then probed with the primary ...read more
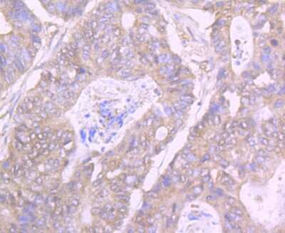
Immunohistochemistry-Paraffin: GIT1 Antibody (JU33-39) [NBP2-75505] - Analysis of paraffin-embedded human pancreas tissue with Rabbit anti-GIT1 antibody washed with ddH2O and PBS, and then probed with the primary ...read more

Product Details

Summary
Product Discontinued
View other related GIT1 Primary Antibodies

Order Details


    • Catalog Number
      NBP2-75505
    • Availability
      Product Discontinued

    Can't find what you are looking for? Use our Antibody Concierge Service & we will help you locate your antibody!

    Or feel free to contact us for alternative products.

GIT1 Antibody (JU33-39) Summary

Additional Information
Recombinant Monoclonal Antibody.
Immunogen
Recombinant protein within Human GIT1 aa 79-297 . (SwissProt: Q9Y2X7 Human; SwissProt: Q68FF6 Mouse; SwissProt: Q9Z272 Rat)
Localization
Cytoplasm.
Isotype
IgG
Clonality
Monoclonal
Host
Rabbit
Gene
GIT1
Purity
Protein A purified
Innovator's Reward
Test in a species/application not listed above to receive a full credit towards a future purchase.

Applications/Dilutions

Dilutions
  • Flow Cytometry 1:50-1:100
  • Immunohistochemistry
  • Immunohistochemistry-Paraffin 1:50-1:400
  • Western Blot 1:500-1:1000
Theoretical MW
85 kDa.
Disclaimer note: The observed molecular weight of the protein may vary from the listed predicted molecular weight due to post translational modifications, post translation cleavages, relative charges, and other experimental factors.

Packaging, Storage & Formulations

Storage
Store at 4C short term. Aliquot and store at -20C long term. Avoid freeze-thaw cycles.
Buffer
TBS (pH7.4), 0.05% BSA, 40% Glycerol
Preservative
0.05% Sodium Azide
Concentration
1 mg/ml
Purity
Protein A purified

Alternate Names for GIT1 Antibody (JU33-39)

  • ARF GAP GIT1
  • ARF GTPase-activating protein GIT1
  • CAT1
  • CAT-1
  • Cool-associated and tyrosine-phosphorylated protein 1
  • G protein-coupled receptor kinase interacting ArfGAP 1
  • G protein-coupled receptor kinase interactor 1
  • G protein-coupled receptor kinase-interactor 1
  • GIT1
  • GRK-interacting protein 1

Background

G-protein-coupled receptor kinase interactor 1 (GIT1) and G-protein-coupled receptor kinase interactor 2 (GIT2) are GTPase-activating proteins for ADP-ribosylation (Arf) GTPases. GIT1 and GIT2 regulate Arf activity and the sequestration of activated G protein-coupled receptors from the surface of the cell. These activities have effects on multiple cellular processes such as cell migration, T-cell activation, and centrosome dynamics. Both GIT proteins also serve as scaffolds to link signaling molecules. Alternative names for GIT1 include GRK-interacting protein 1, cool-associated and tyrosine phosphorylated protein 1, and Cat-1.

Limitations

This product is for research use only and is not approved for use in humans or in clinical diagnosis. Primary Antibodies are guaranteed for 1 year from date of receipt.

Customers Who Viewed This Item Also Viewed...

AF3398
Species: Hu, Mu, Rt
Applications: ICC, KO, Simple Western, WB
NBP2-16661
Species: Hu, Mu
Applications: ICC/IF, IHC, IHC-Fr, WB
NB100-93520
Species: Hu
Applications: PEP-ELISA, WB
NBP2-93699
Species: Mu
Applications: ELISA, WB
NBP1-86616
Species: Hu
Applications: IHC,  IHC-P, WB
NBP2-58917
Species: Hu
Applications: IHC,  IHC-P, WB
NBP1-74144
Species: Mu
Applications: WB
AF4259
Species: Hu, Mu, Rt
Applications: ICC, Simple Western, WB
NB300-605
Species: Hu, Mu, Po, Rt
Applications: Flow, IB, ICC/IF, IHC, IHC-Fr,  IHC-P, In vitro, WB
NB300-500
Species: Am, Bv, Ca, Dr, Hu, Mu, Po, Rt, Sh
Applications: IHC, IHC-Fr,  IHC-P, WB
NBP3-35470
Species: Hu, Mu, Rt
Applications: ELISA, IHC,  IHC-P, WB
NBP2-41263
Species: Hu, Mu, Rt
Applications: ELISA, ICC/IF, IHC,  IHC-P, WB
NBP3-33063
Species: Hu, Mu, Rt
Applications: Flow, ICC/IF, IHC,  IHC-P, WB
AF887
Species: Hu, Mu, Rt
Applications: CyTOF-ready, IHC, ICFlow, Simple Western, WB
NBP2-67327
Species: Hu, Mu, Rt
Applications: Flow, ICC/IF, IHC,  IHC-P, IP, WB
AF2685
Species: Hu
Applications: IHC, Simple Western, WB
NBP2-47415
Species: Hu
Applications: ICC/IF, IHC,  IHC-P, WB
NB100-858
Species: Gp, Hu, Mu, Rt
Applications: Flow, ICC/IF, IHC-WhMt, IHC, IHC-Fr,  IHC-P, PEP-ELISA, WB
MAB2688
Species: Hu
Applications: WB
NBP2-75505
Species: Hu, Mu, Rt
Applications: WB, Flow, IHC

Publications for GIT1 Antibody (NBP2-75505) (0)

There are no publications for GIT1 Antibody (NBP2-75505).
By submitting your publication information earn gift cards and discounts for future purchases.

Reviews for GIT1 Antibody (NBP2-75505) (0)

There are no reviews for GIT1 Antibody (NBP2-75505). By submitting a review you will receive an Amazon e-Gift Card or Novus Product Discount.
  • Review with no image -- $10/€7/£6/$10 CAD/¥70 Yuan/¥1110 Yen
  • Review with an image -- $25/€18/£15/$25 CAD/¥150 Yuan/¥2500 Yen

Product General Protocols

Find general support by application which include: protocols, troubleshooting, illustrated assays, videos and webinars.

Video Protocols

WB Video Protocol

FAQs for GIT1 Antibody (NBP2-75505) (0)

There are no specific FAQs related to this product. Read our general customer & technical service FAQs.

Secondary Antibodies

 

Isotype Controls

Additional GIT1 Products

Research Areas for GIT1 Antibody (NBP2-75505)

Find related products by research area.

Blogs on GIT1

There are no specific blogs for GIT1, but you can read our latest blog posts.

Contact Information

Product PDFs

Calculators

Concentration Calculator

The concentration calculator allows you to quickly calculate the volume, mass or concentration of your vial. Simply enter your mass, volume, or concentration values for your reagent and the calculator will determine the rest.

=
÷

Review this Product

Be the first to review our GIT1 Antibody (JU33-39) and receive a gift card or discount.

Bioinformatics

Gene Symbol GIT1