GCLM Antibody (GCLM/4069) - Azide and BSA Free

Images

 
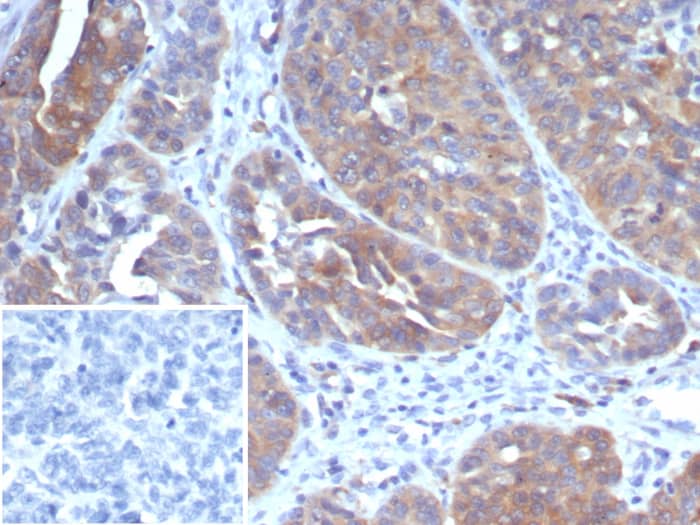
Formalin-fixed, paraffin-embedded human ovarian cancer stained with GCLM antibody (GCLM/4069) - Azide and BSA Free. Inset: PBS instead of primary antibody; secondary only negative control.

Product Details

Summary
Reactivity HuSpecies Glossary
Applications IHC
Clone
GCLM/4069
Clonality
Monoclonal
Host
Mouse
Conjugate
Unconjugated
Format
Azide and BSA Free
Concentration
1 mg/ml

Order Details

GCLM Antibody (GCLM/4069) - Azide and BSA Free Summary

Description
Antibody without azide - store at -20 to -80C.
Immunogen
Recombinant full-length human GCLM protein
Localization
Nucleus.
Isotype
IgG2a Kappa
Clonality
Monoclonal
Host
Mouse
Gene
GCLM
Purity
Protein A or G purified
Innovator's Reward
Test in a species/application not listed above to receive a full credit towards a future purchase.

Applications/Dilutions

Dilutions
  • Immunohistochemistry-Paraffin 1-2ug/ml
Application Notes
Immunohistochemistry-Paraffin: 1-2ug/ml for 30 minutes at RT. Staining of formalin-fixed tissues requires heating tissue sections in 10mM Tris with 1mM EDTA, pH 9.0, for 45 min at 95C followed by cooling at RT for 20 minutes. Optimal dilution for a specific application should be determined.

Packaging, Storage & Formulations

Storage
Store at -20 to -80C. Avoid freeze-thaw cycles.
Buffer
10mM PBS
Preservative
No Preservative
Concentration
1 mg/ml
Purity
Protein A or G purified

Alternate Names for GCLM Antibody (GCLM/4069) - Azide and BSA Free

  • Gamma-ECS regulatory subunit
  • Gamma-glutamylcysteine synthetase regulatory subunit
  • GCS light chain
  • GLCLRglutamate--cysteine ligase regulatory subunit
  • glutamate-cysteine ligase (gamma-glutamylcysteine synthetase), regulatory(30.8kD)
  • Glutamate--cysteine ligase modifier subunit
  • glutamate-cysteine ligase regulatory protein
  • glutamate-cysteine ligase, modifier subunit
  • GSC light chain

Background

Glutamate-cysteine ligase, also known as gamma-glutamylcysteine synthetase, is the first rate limiting enzyme of glutathione synthesis. The enzyme consists of two subunits, a heavy catalytic subunit and a light regulatory subunit. Gamma glutamylcysteine synthetase deficiency has been implicated in some forms of hemolytic anemia. [provided by RefSeq]

Limitations

This product is for research use only and is not approved for use in humans or in clinical diagnosis. Primary Antibodies are guaranteed for 1 year from date of receipt.

Customers Who Viewed This Item Also Viewed...

H00002729-M01
Species: Hu, Mu, Rt
Applications: ELISA, ICC/IF, WB
NBP1-32822
Species: Al, Av, Hu, Mu, Pl, Rt, Ze
Applications: ChIP, Flow, ICC/IF, IHC,  IHC-P, IP, KD, Simple Western, WB
NBP3-46215
Species: Hu, Mu, Rt
Applications: ELISA, IHC, WB
H00064396-B01P
Species: Hu
Applications: WB
NBP1-89785
Species: Hu
Applications: ICC/IF, IHC,  IHC-P, WB
NBP1-32105
Species: Hu, Mu, Rt
Applications: ICC/IF, IHC,  IHC-P, IP, KD, WB
NBP1-97507
Species: Bv, Ca, Hu, Mu, Rt
Applications: Flow, ICC/IF, IHC,  IHC-P, Simple Western, WB
NB200-209
Species: Ca, Hu, Mu, Pm, Rt
Applications: Flow-IC, Flow, ICC/IF, IHC, IHC-Fr,  IHC-P, IP, Simple Western, WB
NBP2-67471
Species: Hu, Mu, Rt
Applications: ICC/IF, IHC,  IHC-P, WB
NBP2-16684
Species: Hu, Mu, Rt
Applications: EM, IHC,  IHC-P, WB
NBP2-75513
Species: Hu, Mu, Rt
Applications: Flow, ICC/IF, IHC,  IHC-P, WB
AF3398
Species: Hu, Mu, Rt
Applications: ICC, KO, Simple Western, WB
AF1230
Species: Hu, Mu, Rt
Applications: IHC, KO, WB
MAB3024
Species: Hu, Mu, Rt
Applications: KO, Simple Western, WB
NBP2-50037
Species: Hu, Mu, Rt
Applications: ICC/IF, IHC, KO, WB
AF2214
Species: Hu
Applications: ICC, IHC, WB
NBP3-16602
Species: Hu, Mu, Rt
Applications: IHC,  IHC-P, IP, WB
NBP1-89544
Species: Hu
Applications: ChIP-EXO-SEQ, ICC/IF, IHC,  IHC-P, WB
NBP2-24915
Species: Bv, Hu, Mu, Rt
Applications: IHC,  IHC-P, WB
NBP3-24261
Species: Hu
Applications: IHC

Publications for GCLM Antibody (NBP3-24261) (0)

There are no publications for GCLM Antibody (NBP3-24261).
By submitting your publication information earn gift cards and discounts for future purchases.

Reviews for GCLM Antibody (NBP3-24261) (0)

There are no reviews for GCLM Antibody (NBP3-24261). By submitting a review you will receive an Amazon e-Gift Card or Novus Product Discount.
  • Review with no image -- $10/€7/£6/$10 CAD/¥70 Yuan/¥1110 Yen
  • Review with an image -- $25/€18/£15/$25 CAD/¥150 Yuan/¥2500 Yen

Product General Protocols

Find general support by application which include: protocols, troubleshooting, illustrated assays, videos and webinars.

FAQs for GCLM Antibody (NBP3-24261) (0)

There are no specific FAQs related to this product. Read our general customer & technical service FAQs.

Secondary Antibodies

 

Isotype Controls

Additional GCLM Products

Research Areas for GCLM Antibody (NBP3-24261)

Find related products by research area.

Blogs on GCLM

There are no specific blogs for GCLM, but you can read our latest blog posts.

Customers Who Bought This Also Bought

Contact Information

Product PDFs

Calculators

Concentration Calculator

The concentration calculator allows you to quickly calculate the volume, mass or concentration of your vial. Simply enter your mass, volume, or concentration values for your reagent and the calculator will determine the rest.

=
÷

Review this Product

Be the first to review our GCLM Antibody (GCLM/4069) - Azide and BSA Free and receive a gift card or discount.

Bioinformatics

Gene Symbol GCLM