GBF1 Antibody

Images

 
Western Blot: GBF1 Antibody [NBP2-16619] - Sample (30 ug of whole cell lysate) A: Hela 5% SDS PAGE gel, diluted at 1:1000.
Immunocytochemistry/ Immunofluorescence: GBF1 Antibody [NBP2-16619] - Immunofluorescence analysis of methanol-fixed HeLa, using antibody at 1:200 dilution.
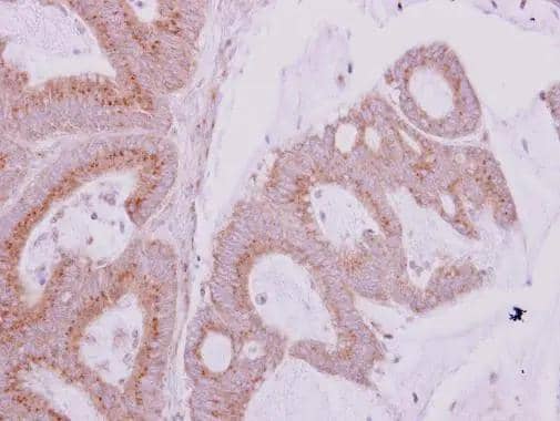
GBF1 antibody [N1], N-term detects GBF1 protein at cytoplasm on human colon carcinoma by immunohistochemical analysis. Sample: Paraffin-embedded colon carcinoma. GBF1 antibody [N1], N-term (NBP2-16619) dilution: 1:500. ...read more

Product Details

Summary
Reactivity HuSpecies Glossary
Applications WB, ICC/IF, IHC
Clonality
Polyclonal
Host
Rabbit
Conjugate
Unconjugated

Order Details

GBF1 Antibody Summary

Description
Novus Biologicals Rabbit GBF1 Antibody (NBP2-16619) is a polyclonal antibody validated for use in IHC, WB and ICC/IF. All Novus Biologicals antibodies are covered by our 100% guarantee.
Immunogen
Recombinant protein encompassing a sequence within the N-terminus region of human GBF1. The exact sequence is proprietary.
Isotype
IgG
Clonality
Polyclonal
Host
Rabbit
Gene
GBF1
Purity
Antigen Affinity-purified
Innovator's Reward
Test in a species/application not listed above to receive a full credit towards a future purchase.

Applications/Dilutions

Dilutions
  • Immunocytochemistry/ Immunofluorescence 1:100-1:1000
  • Immunohistochemistry 1:100-1:1000
  • Immunohistochemistry-Paraffin 1:100-1:1000
  • Western Blot 1:500-1:3000
Theoretical MW
206 kDa.
Disclaimer note: The observed molecular weight of the protein may vary from the listed predicted molecular weight due to post translational modifications, post translation cleavages, relative charges, and other experimental factors.

Packaging, Storage & Formulations

Storage
Aliquot and store at -20C or -80C. Avoid freeze-thaw cycles.
Buffer
PBS, 1% BSA, 20% Glycerol
Preservative
0.01% Thimerosal
Purity
Antigen Affinity-purified

Alternate Names for GBF1 Antibody

  • ARF1GEF
  • BFA-resistant GEF 1
  • FLJ21263
  • GBF1
  • golgi brefeldin A resistant guanine nucleotide exchange factor 1
  • golgi-specific brefeldin A resistance factor 1
  • Golgi-specific brefeldin A-resistance guanine nucleotide exchange factor 1
  • KIAA0248
  • KIAA0248FLJ21500
  • MGC134877
  • MGC134878

Background

This gene encodes a member of the Sec7 domain family. The encoded protein is a guanine nucleotide exchange factor that regulates the recruitment of proteins to membranes by mediating GDP to GTP exchange. The encoded protein is localized to the Golgi apparatus and plays a role in vesicular trafficking by activating ADP ribosylation factor 1. The encoded protein has also been identified as an important host factor for viral replication. Multiple transcript variants have been observed for this gene. [provided by RefSeq]

Limitations

This product is for research use only and is not approved for use in humans or in clinical diagnosis. Primary Antibodies are guaranteed for 1 year from date of receipt.

Customers Who Viewed This Item Also Viewed...

NBP2-29906
Species: Ca, Hu, Mu
Applications: ICC/IF, IHC,  IHC-P, IP, WB
AF6260
Species: Hu
Applications: WB
NB110-68800
Species: Hu, Mu, Pm
Applications: ICC/IF, WB
NBP1-85727
Species: Hu
Applications: ICC/IF, IHC,  IHC-P
NB200-106
Species: Mu, Rt
Applications: ELISA, ICC/IF, IHC, IHC-Fr,  IHC-P, WB
NBP1-88840
Species: Hu
Applications: ICC/IF, IHC,  IHC-P, WB
NBP1-88607
Species: Hu
Applications: WB
AF5365
Species: Hu, Mu, Rt
Applications: IHC, Simple Western, WB
AF3499
Species: Hu
Applications: WB
NBP3-37965
Species: Hu, Mu, Rt
Applications: ELISA, ICC/IF, WB
NBP2-21577
Species: Hu, Mu, Rt
Applications: ICC/IF, IHC, IHC-Fr,  IHC-P, IP, KD, WB
H00056731-M02
Species: Hu
Applications: ELISA, ICC/IF, WB
664-LI
Species: Hu
Applications: BA
NBP1-88527
Species: Hu, Mu, Rt
Applications: IHC,  IHC-P, WB
NBP3-38014
Species: Hu
Applications: ELISA, ICC/IF, IHC,  IHC-P, WB
NBP2-75515
Species: Hu, Mu, Rt
Applications: Flow, ICC/IF,  IHC-P, WB
NBP2-22513
Species: Hu
Applications: ICC/IF, IHC,  IHC-P, IP, WB
NBP2-85481
Species: Hu
Applications: IHC,  IHC-P, WB
NBP1-83132
Species: Hu
Applications: ICC/IF, IHC,  IHC-P, KD, WB
NBP2-16619
Species: Hu
Applications: WB, ICC/IF, IHC
⚠ WARNING: This product can expose you to chemicals including mercury, which is known to the State of California to cause reproductive toxicity with developmental effects.  For more information go to www.P65Warnings.ca.gov.

Publications for GBF1 Antibody (NBP2-16619) (0)

There are no publications for GBF1 Antibody (NBP2-16619).
By submitting your publication information earn gift cards and discounts for future purchases.

Reviews for GBF1 Antibody (NBP2-16619) (0)

There are no reviews for GBF1 Antibody (NBP2-16619). By submitting a review you will receive an Amazon e-Gift Card or Novus Product Discount.
  • Review with no image -- $10/€7/£6/$10 CAD/¥70 Yuan/¥1110 Yen
  • Review with an image -- $25/€18/£15/$25 CAD/¥150 Yuan/¥2500 Yen

Product General Protocols

Find general support by application which include: protocols, troubleshooting, illustrated assays, videos and webinars.

Video Protocols

WB Video Protocol
ICC/IF Video Protocol

FAQs for GBF1 Antibody (NBP2-16619) (0)

There are no specific FAQs related to this product. Read our general customer & technical service FAQs.

Customers Who Bought This Also Bought

Contact Information

Product PDFs

Calculators

Concentration Calculator

The concentration calculator allows you to quickly calculate the volume, mass or concentration of your vial. Simply enter your mass, volume, or concentration values for your reagent and the calculator will determine the rest.

=
÷

Review this Product

Be the first to review our GBF1 Antibody and receive a gift card or discount.

Bioinformatics

Gene Symbol GBF1
Uniprot