GATA-1 Antibody (JA10-32)

Images

 
Western Blot: GATA-1 Antibody (JA10-32) [NBP2-66862] - Analysis of GATA1 on K562 cell using anti-GATA1 antibody at 1/1,000 dilution.
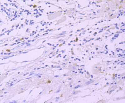
Immunohistochemistry-Paraffin: GATA-1 Antibody (JA10-32) [NBP2-66862] - Analysis of paraffin-embedded human liver tissue using anti-GATA1 antibody. Counter stained with hematoxylin.
Immunohistochemistry-Paraffin: GATA-1 Antibody (JA10-32) [NBP2-66862] - Analysis of paraffin-embedded human breast cancer tissue using anti-GATA1 antibody. Counter stained with hematoxylin.
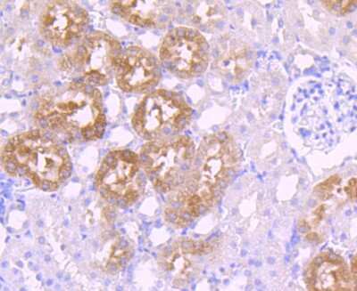
Immunohistochemistry-Paraffin: GATA-1 Antibody (JA10-32) [NBP2-66862] - Analysis of paraffin-embedded human kidney tissue using anti-GATA1 antibody. Counter stained with hematoxylin.

Product Details

Summary
Product Discontinued
View other related GATA-1 Primary Antibodies

Order Details


    • Catalog Number
      NBP2-66862
    • Availability
      Product Discontinued

    Can't find what you are looking for? Use our Antibody Concierge Service & we will help you locate your antibody!

    Or feel free to contact us for alternative products.

GATA-1 Antibody (JA10-32) Summary

Additional Information
Recombinant Monoclonal Antibody.
Immunogen
Recombinant protein within human GATA-1 aa 1-250. (SwissProt: P15976 Human)
Localization
Nucleus.
Isotype
IgG
Clonality
Monoclonal
Host
Rabbit
Gene
GATA1
Purity
Protein A purified
Innovator's Reward
Test in a species/application not listed above to receive a full credit towards a future purchase.

Applications/Dilutions

Dilutions
  • Flow Cytometry 1:50-1:100
  • Immunocytochemistry/ Immunofluorescence 1:50-1:200
  • Immunohistochemistry
  • Immunohistochemistry-Paraffin 1:50-1:200
  • Immunoprecipitation
  • Western Blot 1:500-1:1000

Packaging, Storage & Formulations

Storage
Store at 4C short term. Aliquot and store at -20C long term. Avoid freeze-thaw cycles.
Buffer
TBS (pH7.4), 0.05% BSA, 40% Glycerol
Preservative
0.05% Sodium Azide
Concentration
1 mg/ml
Purity
Protein A purified

Alternate Names for GATA-1 Antibody (JA10-32)

  • Eryf1
  • ERYF1GATA-binding protein 1 (globin transcription factor 1)
  • GATA binding protein 1 (globin transcription factor 1)
  • GATA1
  • GATA-1
  • GATA-1erythroid transcription factor
  • GATA-binding factor 1
  • GF-1
  • GF1globin transcription factor 1
  • NF-E1 DNA-binding protein
  • NFE1erythroid transcription factor 1
  • transcription factor GATA1
  • XLTT

Background

GATA1 (Globin transcription factor 1) is a Cys2/Cys2 zinc finger DNA binding protein that is expressed primarily in erythroid, megakaryocytic, mast cells and eosinophilic cells. It belongs to the GATA family of transcription factors. GATA1 is a transcriptional activator which probably serves as a general switch factor for erythroid development. It binds to DNA sites with the consensus sequence [AT]GATA[AG] within regulatory regions of globin genes and of other genes expressed in erythroid cells. The protein also plays an important role in erythroid development by regulating the switch of fetal hemoglobin to adult hemoglobin. Mutations in this gene have been associated with X-linked dyserythropoietic anemia and thrombocytopenia. Acquired somatic mutations in GATA1 occur in virtually all children with Down's Syndrome, congenital transient myeloproliferative syndrome (TMD) and acute megakaryocytic leukemia.

Limitations

This product is for research use only and is not approved for use in humans or in clinical diagnosis. Primary Antibodies are guaranteed for 1 year from date of receipt.

Customers Who Viewed This Item Also Viewed...

NBP1-82580
Species: Hu
Applications: IHC,  IHC-P, Simple Western, WB
NBP1-87991
Species: Hu
Applications: IHC,  IHC-P, WB
NBP2-01488
Species: Hu, Mu, Rt
Applications: Flow, ICC/IF, IHC,  IHC-P, WB
AF2046
Species: Hu, Mu
Applications: ICC, IHC, Simple Western, WB
AF2046
Species: Hu, Mu
Applications: ICC, IHC, Simple Western, WB
MEP00B
Species: Mu
Applications: ELISA
NBP2-47572
Species: Hu
Applications: ICC/IF, IHC,  IHC-P
NBP2-14081
Species: Hu
Applications: ICC/IF, IHC,  IHC-P
NBP2-37380
Species: Hu
Applications: CyTOF-ready, ELISA, Flow, IHC,  IHC-P, WB
NBP2-48693
Species: Hu
Applications: ICC/IF, IHC,  IHC-P
NBP2-47940
Species: Hu
Applications: CyTOF-ready, Flow, ICC/IF, IF, IHC,  IHC-P, Simple Western, WB
NBP2-27163
Species: Bv, Ca, Eq, Hu, Mu, Pm
Applications: Flow, WB
NB600-232
Species: Hu, Mu
Applications: ChIP, IHC,  IHC-P, IP, WB
DPSG10
Species: Hu
Applications: ELISA
3047-CC
Species: Hu
Applications: BA
NBP2-67471
Species: Hu, Mu, Rt
Applications: ICC/IF, IHC,  IHC-P, WB
NBP3-07388
Species: Hu
Applications: Flow, ICC/IF, IHC,  IHC-P
203-IL
Species: Hu
Applications: BA
DTM100
Species: Hu
Applications: ELISA
AF4117
Species: Rt
Applications: IHC, WB

Publications for GATA-1 Antibody (NBP2-66862) (0)

There are no publications for GATA-1 Antibody (NBP2-66862).
By submitting your publication information earn gift cards and discounts for future purchases.

Reviews for GATA-1 Antibody (NBP2-66862) (0)

There are no reviews for GATA-1 Antibody (NBP2-66862). By submitting a review you will receive an Amazon e-Gift Card or Novus Product Discount.
  • Review with no image -- $10/€7/£6/$10 CAD/¥70 Yuan/¥1110 Yen
  • Review with an image -- $25/€18/£15/$25 CAD/¥150 Yuan/¥2500 Yen

Product General Protocols

Video Protocols

WB Video Protocol
ICC/IF Video Protocol

FAQs for GATA-1 Antibody (NBP2-66862) (0)

There are no specific FAQs related to this product. Read our general customer & technical service FAQs.

Secondary Antibodies

 

Isotype Controls

Additional GATA-1 Products

Research Areas for GATA-1 Antibody (NBP2-66862)

Find related products by research area.

Blogs on GATA-1

There are no specific blogs for GATA-1, but you can read our latest blog posts.

Contact Information

Product PDFs

Calculators

Concentration Calculator

The concentration calculator allows you to quickly calculate the volume, mass or concentration of your vial. Simply enter your mass, volume, or concentration values for your reagent and the calculator will determine the rest.

=
÷

Review this Product

Be the first to review our GATA-1 Antibody (JA10-32) and receive a gift card or discount.

Bioinformatics

Gene Symbol GATA1