FUS Antibody (JJ09-31)

Images

 
Western Blot: FUS Antibody (JJ09-31) [NBP2-67913] - Analysis of FUS/TLS on K562 cells lysates using anti-FUS/TLS antibody at 1/1,000 dilution.
Immunocytochemistry/ Immunofluorescence: FUS Antibody (JJ09-31) [NBP2-67913] - Staining FUS/TLS in SW480 cells (green). The nuclear counter stain is DAPI (blue). Cells were fixed in paraformaldehyde, permeabilised with ...read more
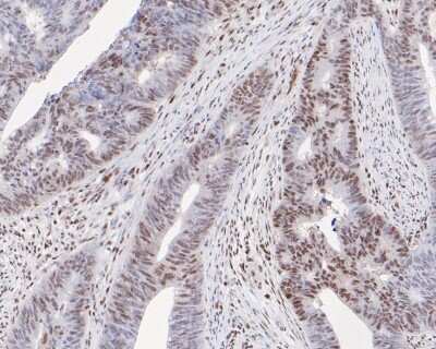
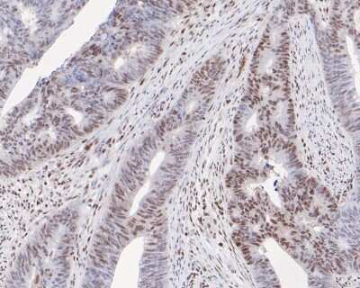
Immunohistochemistry-Paraffin: FUS Antibody (JJ09-31) [NBP2-67913] - Immunohistochemical analysis of paraffin-embedded human colon carcinoma tissue using anti-FUS/TLS antibody. The section was pre-treated using heat ...read more
Flow Cytometry: FUS Antibody (JJ09-31) [NBP2-67913] - Analysis of Hela cells with FUS/TLS antibody at 1/50 dilution (red) compared with an unlabelled control (cells without incubation with primary antibody; black). ...read more
Immunocytochemistry/ Immunofluorescence: FUS Antibody (JJ09-31) [NBP2-67913] - Staining FUS/TLS in Hela cells (green). The nuclear counter stain is DAPI (blue). Cells were fixed in paraformaldehyde, permeabilised with ...read more
Immunocytochemistry/ Immunofluorescence: FUS Antibody (JJ09-31) [NBP2-67913] - Staining FUS/TLS in MCF-7 cells (green). The nuclear counter stain is DAPI (blue). Cells were fixed in paraformaldehyde, permeabilised with ...read more
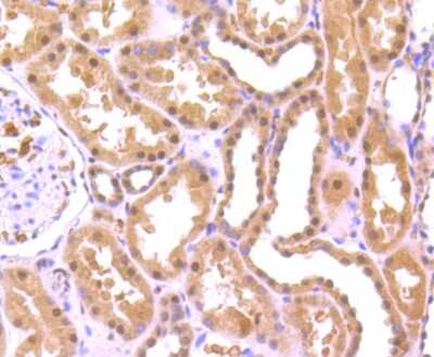
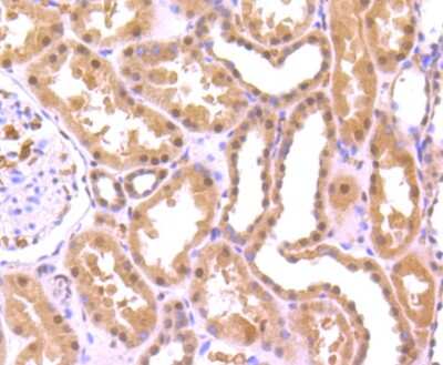
Immunohistochemistry-Paraffin: FUS Antibody (JJ09-31) [NBP2-67913] - Analysis of paraffin-embedded human kidney tissue using anti-FUS/TLS antibody. Counter stained with hematoxylin.
Immunohistochemistry-Paraffin: FUS Antibody (JJ09-31) [NBP2-67913] - Immunohistochemical analysis of paraffin-embedded human tonsil tissue using anti-FUS antibody. The section was pre-treated using heat mediated antigen ...read more
Immunohistochemistry-Paraffin: FUS Antibody (JJ09-31) [NBP2-67913] - Immunohistochemical analysis of paraffin-embedded mouse brain tissue using anti-FUS antibody. The section was pre-treated using heat mediated antigen ...read more

Product Details

Summary
Product Discontinued
View other related FUS Primary Antibodies

Order Details


    • Catalog Number
      NBP2-67913
    • Availability
      Product Discontinued

    Can't find what you are looking for? Use our Antibody Concierge Service & we will help you locate your antibody!

    Or feel free to contact us for alternative products.

FUS Antibody (JJ09-31) Summary

Additional Information
Recombinant Monoclonal Antibody.
Immunogen
Synthetic peptide within Human aa 1-46 / 526. (SwissProt: P35637 Human; SwissProt: P56959 Mouse)
Localization
Nucleus.
Isotype
IgG
Clonality
Monoclonal
Host
Rabbit
Gene
FUS
Purity
Protein A purified
Innovator's Reward
Test in a species/application not listed above to receive a full credit towards a future purchase.

Applications/Dilutions

Dilutions
  • Flow Cytometry 1:50-1:100
  • Immunocytochemistry/ Immunofluorescence 1:10 - 1:500
  • Immunohistochemistry 1:10 - 1:500
  • Immunohistochemistry-Paraffin 1:50-1:200
  • Western Blot 1:500-1:1000

Packaging, Storage & Formulations

Storage
Store at 4C short term. Aliquot and store at -20C long term. Avoid freeze-thaw cycles.
Buffer
TBS (pH7.4), 0.05% BSA, 40% Glycerol
Preservative
0.05% Sodium Azide
Concentration
1 mg/ml
Purity
Protein A purified

Alternate Names for FUS Antibody (JJ09-31)

  • 75 kDa DNA-pairing protein
  • ALS6
  • altFUS
  • amyotrophic lateral sclerosis 6
  • ETM4
  • FUS
  • FUS1
  • fused in sarcoma
  • fusion (involved in t(12;16) in malignant liposarcoma)
  • fusion gene in myxoid liposarcoma
  • fusion, derived from t(12;16) malignant liposarcoma
  • fus-like protein
  • heterogeneous nuclear ribonucleoprotein P2
  • HNRNPP2
  • Oncogene FUS
  • Oncogene TLS
  • POMP75
  • RNA-binding protein FUS
  • TLS
  • TLShnRNP-P2
  • Translocated in liposarcoma protein

Background

FUS, fused in sarcoma, encodes a multifunctional protein component of the heterogeneous nuclear ribonucleoprotein (hnRNP) complex. Nuclear receptor coactivator that directly binds nuclear receptors and stimulates the transcriptional activities in a hormone-dependent fashion. Coactivates expression in an agonist- and AF2-dependent manner. Involved in the coactivation of different nuclear receptors, such as for steroids (GR and ERs), retinoids (RARs and RXRs), thyroid hormone (TRs), vitamin D3 (VDR) and prostanoids (PPARs). Probably functions as a general coactivator, rather than just a nuclear receptor coactivator. May also be involved in the coactivation of the NF-kappa-B pathway. May coactivate expression via a remodeling of chromatin and its interaction with histone acetyltransferase proteins. Involved in placental, cardiac, hepatic and embryonic development. NCOA6 is over-expressed in several breast cancer cell lines.

Limitations

This product is for research use only and is not approved for use in humans or in clinical diagnosis. Primary Antibodies are guaranteed for 1 year from date of receipt.

Customers Who Viewed This Item Also Viewed...

H00023435-M01
Species: Ba, Pp, Hu, I, Pm, Mu, Rt
Applications: ELISA, Func, ICC/IF, IHC,  IHC-P, IP, KD, WB
NB200-182
Species: Hu, Mu
Applications: IHC,  IHC-P, IP, Simple Western, WB
NBP2-24915
Species: Bv, Hu, Mu, Rt
Applications: IHC,  IHC-P, WB
NB600-1335
Species: Hu, Mu, Pm, Rt
Applications: ChIP, ELISA, Flow, GS, ICC/IF, IHC,  IHC-P, IP, KD, Simple Western, WB
NB500-106
Species: Ch, Dr, Fi, Hu, Mar, Mu, Po, Pm, Rb, Rt, Ye, Ze
Applications: ChIP, ChIP, ELISA, Flow, ICC/IF, IHC-FrFl, IHC, IHC-Fr,  IHC-P, IP, Simple Western, WB
AF1436
Species: Mu
Applications: WB
NBP2-55877
Species: Hu
Applications: IHC,  IHC-P
NBP1-57508
Species: Hu
Applications: IHC,  IHC-P, WB
AF2377
Species: Mu
Applications: IHC, Simple Western, WB
NBP2-67702
Species: Hu, Mu, Rt
Applications: ICC/IF, IHC, IHC-Fr,  IHC-P, WB
NB100-567
Species: Hu
Applications: IHC,  IHC-P, IP, Simple Western, WB
NB100-60424
Species: Hu
Applications: IP, WB
NBP3-42115
Species: Hu
Applications: WB
H00006883-M11
Species: Hu
Applications: ELISA, ICC/IF, S-ELISA, WB
DAN00
Species: Hu
Applications: ELISA
H00010721-M09
Species: Hu
Applications: ELISA, WB
H00005980-Q01
Species: Hu
Applications: ELISA, AP, PA, WB
NBP1-88376
Species: Hu, Mu
Applications: ICC/IF, IHC,  IHC-P, KD, WB

Publications for FUS Antibody (NBP2-67913) (0)

There are no publications for FUS Antibody (NBP2-67913).
By submitting your publication information earn gift cards and discounts for future purchases.

Reviews for FUS Antibody (NBP2-67913) (0)

There are no reviews for FUS Antibody (NBP2-67913). By submitting a review you will receive an Amazon e-Gift Card or Novus Product Discount.
  • Review with no image -- $10/€7/£6/$10 CAD/¥70 Yuan/¥1110 Yen
  • Review with an image -- $25/€18/£15/$25 CAD/¥150 Yuan/¥2500 Yen

Product General Protocols

Find general support by application which include: protocols, troubleshooting, illustrated assays, videos and webinars.

Video Protocols

WB Video Protocol
ICC/IF Video Protocol

FAQs for FUS Antibody (NBP2-67913) (0)

There are no specific FAQs related to this product. Read our general customer & technical service FAQs.

Secondary Antibodies

 

Isotype Controls

Additional FUS Products

Research Areas for FUS Antibody (NBP2-67913)

Find related products by research area.

Blogs on FUS.

Transportin 1 and heterogeneous nuclear ribonucleoprotein D (hnRNPD)
Transportin 1, also known as Karyopherin- beta 2 or Importin- beta 2, is part of the beta -karyopherins family, which consists of importins and exportins responsible for the active transport of proteins between the nucleus and cytoplasm.  Transportin 1 is co...  Read full blog post.

Amyotrophic Lateral Sclerosis Infographic
Amyotrophic lateral sclerosis is a neurological disease which impacts motor neurons that are involved in muscle movement throughout the body. The progressive degeneration of neurons causes weakened muscles and can lead to paralysis. There is no cure f...  Read full blog post.

Contact Information

Product PDFs

Calculators

Concentration Calculator

The concentration calculator allows you to quickly calculate the volume, mass or concentration of your vial. Simply enter your mass, volume, or concentration values for your reagent and the calculator will determine the rest.

=
÷

Review this Product

Be the first to review our FUS Antibody (JJ09-31) and receive a gift card or discount.

Bioinformatics

Gene Symbol FUS