FIGNL1 Antibody - BSA Free

Images

 
Immunohistochemistry-Paraffin: FIGNL1 Antibody [NBP2-47456] - Staining of human skeletal muscle shows very weak cytoplasmic positivity in myocytes.
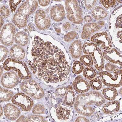
Immunohistochemistry-Paraffin: FIGNL1 Antibody [NBP2-47456] - Staining of human kidney shows moderate granular cytoplasmic positivity in cells in tubules.
Immunohistochemistry-Paraffin: FIGNL1 Antibody [NBP2-47456] - Staining of human cererbellum shows moderate granular cytoplasmic positivity in purkinje cells.
Immunohistochemistry-Paraffin: FIGNL1 Antibody [NBP2-47456] - Staining of human rectum shows moderate granular cytoplasmic positivity in glandular cells.

Product Details

Summary
Reactivity Hu, RtSpecies Glossary
Applications IHC
Clonality
Polyclonal
Host
Rabbit
Conjugate
Unconjugated
Format
BSA Free

Order Details

View Available Formulations
Catalog# & Formulation Size Price

FIGNL1 Antibody - BSA Free Summary

Description
Novus Biologicals Rabbit FIGNL1 Antibody - BSA Free (NBP2-47456) is a polyclonal antibody validated for use in IHC. Anti-FIGNL1 Antibody: Cited in 1 publication. All Novus Biologicals antibodies are covered by our 100% guarantee.
Immunogen
This antibody was developed against a recombinant protein corresponding to amino acids: RLYIPLPEASARKQIVINLMSKEQCCLSEEEIEQIVQQSDAFSGADMTQLCREASLGPIRSLQTADIATITPDQVRPIAYIDFENAFRTVRPSVSPK
Predicted Species
Rat (91%). Backed by our 100% Guarantee.
Isotype
IgG
Clonality
Polyclonal
Host
Rabbit
Gene
FIGNL1
Purity
Immunogen affinity purified
Innovator's Reward
Test in a species/application not listed above to receive a full credit towards a future purchase.

Applications/Dilutions

Dilutions
  • Immunohistochemistry 1:200 - 1:500
  • Immunohistochemistry-Paraffin 1:200 - 1:500
Application Notes
For IHC-Paraffin, HIER pH 6 retrieval is recommended.
Control Peptide
FIGNL1 Protein (NBP2-47456PEP)
Publications
Read Publication using NBP2-47456.

Reactivity Notes

Immunogen displays the following percentage of sequence identity for non-tested species: Mouse (88%)

Packaging, Storage & Formulations

Storage
Store at 4C short term. Aliquot and store at -20C long term. Avoid freeze-thaw cycles.
Buffer
PBS (pH 7.2) and 40% Glycerol
Preservative
0.02% Sodium Azide
Purity
Immunogen affinity purified

Alternate Names for FIGNL1 Antibody - BSA Free

  • EC 3.6.4
  • EC 3.6.4.-
  • fidgetin-like 1
  • fidgetin-like protein 1

Background

May regulate osteoblast proliferation and differentiation.

Limitations

This product is for research use only and is not approved for use in humans or in clinical diagnosis. Primary Antibodies are guaranteed for 1 year from date of receipt.

Customers Who Viewed This Item Also Viewed...

233-FB
Species: Hu
Applications: BA
NBP3-41318
Species: Hu, Po
Applications: IHC,  IHC-P, WB
NBP2-13075
Species: Ba, Hu, Pm, Mu, Rt
Applications: DB, ELISA, IB, ICC/IF, IHC-FrFl, IHC, IHC-Fr,  IHC-P, IP, WB
H00008086-M02
Species: Hu, Mu, Rt
Applications: ELISA, IHC,  IHC-P, WB
DCC270
Species: Hu
Applications: ELISA
NB100-58788
Species: Hu, Mu
Applications: IHC,  IHC-P, IP, WB
DPI00
Species: Hu
Applications: ELISA
MAB1419
Species: Hu, Rt
Applications: CyTOF-ready, ICC, IHC, ICFlow
NBP3-15742
Species: Hu, Mu, Rt
Applications: IHC,  IHC-P, WB
NBP3-25358
Species: Hu, Mu, Rt
Applications: IHC,  IHC-P, WB
NBP1-89133
Species: Hu
Applications: ICC/IF, IHC,  IHC-P, WB
NBP2-92749
Species: Hu, Mu
Applications: ELISA, WB
NB110-3638
Species: Hu, Mu, Rt
Applications: ELISA, Flow, ICC/IF, IHC, IHC-Fr,  IHC-P, RI, WB
AF3564
Species: Hu, Mu, Rt
Applications: ICC, IHC, IP, WB

Publications for FIGNL1 Antibody (NBP2-47456)(1)

Reviews for FIGNL1 Antibody (NBP2-47456) (0)

There are no reviews for FIGNL1 Antibody (NBP2-47456). By submitting a review you will receive an Amazon e-Gift Card or Novus Product Discount.
  • Review with no image -- $10/€7/£6/$10 CAD/¥70 Yuan/¥1110 Yen
  • Review with an image -- $25/€18/£15/$25 CAD/¥150 Yuan/¥2500 Yen

Product General Protocols

Find general support by application which include: protocols, troubleshooting, illustrated assays, videos and webinars.

FAQs for FIGNL1 Antibody (NBP2-47456) (0)

There are no specific FAQs related to this product. Read our general customer & technical service FAQs.

Customers Who Bought This Also Bought

Contact Information

Product PDFs

Calculators

Concentration Calculator

The concentration calculator allows you to quickly calculate the volume, mass or concentration of your vial. Simply enter your mass, volume, or concentration values for your reagent and the calculator will determine the rest.

=
÷

Review this Product

Be the first to review our FIGNL1 Antibody - BSA Free and receive a gift card or discount.

Bioinformatics

Gene Symbol FIGNL1