FGFR2 Antibody

Images

 
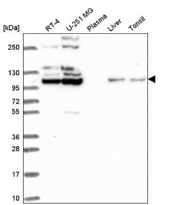
Western Blot: FGF R2 Antibody [NBP2-56776] - Western blot analysis in human cell line RT-4, human cell line U-251 MG, human plasma, human liver tissue and human tonsil tissue.
Immunocytochemistry/ Immunofluorescence: FGF R2 Antibody [NBP2-56776] - Staining of human cell line U-2 OS shows localization to vesicles.

Product Details

Summary
Product Discontinued
View other related FGFR2 Primary Antibodies

Order Details


    • Catalog Number
      NBP2-56776
    • Availability
      Product Discontinued

    Can't find what you are looking for? Use our Antibody Concierge Service & we will help you locate your antibody!

    Or feel free to contact us for alternative products.

FGFR2 Antibody Summary

Immunogen
This antibody was developed against a recombinant protein corresponding to the following amino acid sequence: DEDDTDGAEDFVSENSNNKRAPYWTNTEKMEKR
Isotype
IgG
Clonality
Polyclonal
Host
Rabbit
Gene
FGFR2
Purity
Affinity purified
Innovator's Reward
Test in a species/application not listed above to receive a full credit towards a future purchase.

Applications/Dilutions

Dilutions
  • Immunocytochemistry/ Immunofluorescence 0.25-2 ug/ml
  • Western Blot 0.04-0.4 ug/ml
Application Notes
Immunocytochemistry/Immunofluorescence Fixation Permeabilization: Use PFA/Triton X-100.

Reactivity Notes

Mouse 82%, Rat 85%

Packaging, Storage & Formulations

Storage
Store at 4C short term. Aliquot and store at -20C long term. Avoid freeze-thaw cycles.
Buffer
PBS (pH 7.2) and 40% Glycerol
Preservative
0.02% Sodium Azide
Purity
Affinity purified

Alternate Names for FGFR2 Antibody

  • BBDS
  • BEK
  • BFR-1
  • CD332 antigen
  • CD332
  • CEK3
  • CFD1
  • craniofacial dysostosis 1
  • EC 2.7.10
  • EC 2.7.10.1
  • ECT1
  • FGF R2
  • FGFR2
  • fibroblast growth factor receptor 2
  • FLJ98662
  • Jackson-Weiss syndrome
  • JWS
  • Keratinocyte growth factor receptorreceptor like 14
  • KGFR
  • KSAM
  • K-sam
  • soluble FGFR4 variant 4
  • TK14
  • TK25

Limitations

This product is for research use only and is not approved for use in humans or in clinical diagnosis. Primary Antibodies are guaranteed for 1 year from date of receipt.

Customers Who Viewed This Item Also Viewed...

233-FB
Species: Hu
Applications: BA
NB600-1287
Species: Ca, Hu, Mu, Rb, Rt
Applications: CyTOF-ready, Flow, ICC/IF, IHC,  IHC-P, IP, WB
251-KG
Species: Hu
Applications: BA
AF232
Species: Hu
Applications: IHC, Neut, Simple Western, WB
MAB7662
Species: Hu
Applications: Flow, ICC, IHC, WB
345-FG
Species: Hu
Applications: BA
MAB6852
Species: Hu
Applications: CyTOF-ready, Flow, ICC, IHC, WB
NBP2-16471
Species: Hu, Mu, Rt
Applications: IHC,  IHC-P, WB
DYC1825-2
Species: Hu, Mu, Rt
Applications: ELISA
AF1230
Species: Hu, Mu, Rt
Applications: IHC, KO, WB
423-F8
Species: Hu, Mu
Applications: BA
AF231
Species: Hu
Applications: CyTOF-ready, Dual ISH-IHC, ELISA(Cap), ELISA(Det), ELISA(Sta), Flow, ICC, IHC, IP, Simple Western, WB
235-F4
Species: Hu
Applications: BA
236-EG
Species: Hu
Applications: BA
273-F9
Species: Hu
Applications: BA
DVE00
Species: Hu
Applications: ELISA
NBP1-87528
Species: Hu
Applications: ICC/IF, IHC,  IHC-P
1206-F3
Species: Hu
Applications: BA
AF467
Species: Hu, Mu
Applications: CyTOF-ready, Flow, ICC, IHC, Simple Western, WB
NBP2-56776
Species: Hu
Applications: WB, ICC/IF

Publications for FGFR2 Antibody (NBP2-56776) (0)

There are no publications for FGFR2 Antibody (NBP2-56776).
By submitting your publication information earn gift cards and discounts for future purchases.

Reviews for FGFR2 Antibody (NBP2-56776) (0)

There are no reviews for FGFR2 Antibody (NBP2-56776). By submitting a review you will receive an Amazon e-Gift Card or Novus Product Discount.
  • Review with no image -- $10/€7/£6/$10 CAD/¥70 Yuan/¥1110 Yen
  • Review with an image -- $25/€18/£15/$25 CAD/¥150 Yuan/¥2500 Yen

Product General Protocols

Find general support by application which include: protocols, troubleshooting, illustrated assays, videos and webinars.

Video Protocols

WB Video Protocol
ICC/IF Video Protocol

FAQs for FGFR2 Antibody (NBP2-56776) (0)

There are no specific FAQs related to this product. Read our general customer & technical service FAQs.

Secondary Antibodies

 

Isotype Controls

Additional FGFR2 Products

Research Areas for FGFR2 Antibody (NBP2-56776)

Find related products by research area.

Blogs on FGFR2

There are no specific blogs for FGFR2, but you can read our latest blog posts.

Contact Information

Product PDFs

Calculators

Concentration Calculator

The concentration calculator allows you to quickly calculate the volume, mass or concentration of your vial. Simply enter your mass, volume, or concentration values for your reagent and the calculator will determine the rest.

=
÷

Review this Product

Be the first to review our FGFR2 Antibody and receive a gift card or discount.

Bioinformatics

Gene Symbol FGFR2