Fas/TNFRSF6/CD95 Antibody (JJ0942)

Images

 
Western Blot: Fas/TNFRSF6/CD95 Antibody (JJ0942) [NBP2-66831] - Western blot analysis of Fas/TNFRSF6/CD95 on different lysates. Proteins were transferred to a PVDF membrane and blocked with 5% BSA in PBS for 1 hour at ...read more
Immunocytochemistry/ Immunofluorescence: Fas Receptor/TNFRSF6/CD95 Antibody (JJ0942) [NBP2-66831] - Fas/TNFRSF6/CD95 Antibody (JJ0942) [NBP2-66831] - Staining Fas in HepG2 cells (green). The nuclear counter stain is ...read more
Immunohistochemistry-Paraffin: Fas Receptor/TNFRSF6/CD95 Antibody (JJ0942) [NBP2-66831] - Fas/TNFRSF6/CD95 Antibody (JJ0942) [NBP2-66831] - Analysis of paraffin-embedded human liver cancer tissue using anti-Fas ...read more
Flow Cytometry: Fas Receptor/TNFRSF6/CD95 Antibody (JJ0942) [NBP2-66831] - Fas/TNFRSF6/CD95 Antibody (JJ0942) [NBP2-66831] - Analysis of Raji cells with Fas antibody at 1/50 dilution (red) compared with an unlabelled ...read more
Immunocytochemistry/ Immunofluorescence: Fas Receptor/TNFRSF6/CD95 Antibody (JJ0942) [NBP2-66831] - Fas/TNFRSF6/CD95 Antibody (JJ0942) [NBP2-66831] - Staining Fas in Hela cells (green). The nuclear counter stain is DAPI ...read more
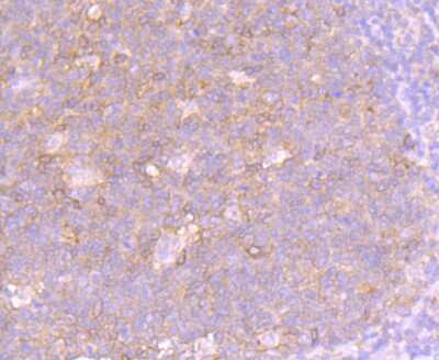
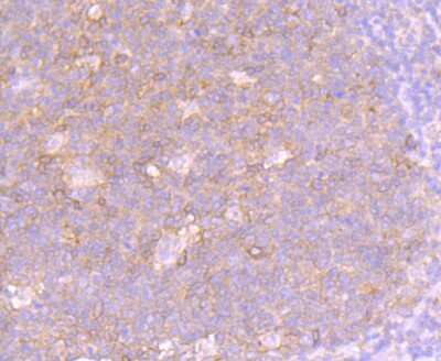
Immunohistochemistry-Paraffin: Fas Receptor/TNFRSF6/CD95 Antibody (JJ0942) [NBP2-66831] - Fas/TNFRSF6/CD95 Antibody (JJ0942) [NBP2-66831] - Analysis of paraffin-embedded human tonsil tissue using anti-Fas antibody. ...read more

Product Details

Summary
Product Discontinued
View other related Fas/TNFRSF6/CD95 Primary Antibodies

Order Details


    • Catalog Number
      NBP2-66831
    • Availability
      Product Discontinued

    Can't find what you are looking for? Use our Antibody Concierge Service & we will help you locate your antibody!

    Or feel free to contact us for alternative products.

Fas/TNFRSF6/CD95 Antibody (JJ0942) Summary

Additional Information
Recombinant Monoclonal Antibody.
Immunogen
Recombinant protein within Human Fas/TNFRSF6/CD95 aa 130-335 / 335. (SwissProt: P25445 Human)
Localization
Cell membrane, Secreted.
Isotype
IgG
Clonality
Monoclonal
Host
Rabbit
Gene
FAS
Purity
Protein A purified
Innovator's Reward
Test in a species/application not listed above to receive a full credit towards a future purchase.

Applications/Dilutions

Dilutions
  • Flow Cytometry 1:50-1:100
  • Immunocytochemistry/ Immunofluorescence 1:50-1:200
  • Immunohistochemistry
  • Immunohistochemistry-Paraffin 1:50-1:200
  • Western Blot 1:500-1:2000

Packaging, Storage & Formulations

Storage
Store at 4C short term. Aliquot and store at -20C long term. Avoid freeze-thaw cycles.
Buffer
TBS (pH7.4), 0.05% BSA, 40% Glycerol
Preservative
0.05% Sodium Azide
Concentration
1 mg/ml
Purity
Protein A purified

Alternate Names for Fas/TNFRSF6/CD95 Antibody (JJ0942)

  • Apo-1 antigen
  • Apo-1
  • apoptosis antigen 1
  • Apoptosis-mediating surface antigen FAS
  • APT1
  • APT1FASTM
  • CD95 antigen
  • CD95
  • CD95ALPS1A
  • Fas (TNF receptor superfamily, member 6)
  • Fas AMA
  • Fas antigen
  • Fas
  • FAS1
  • FASLG receptor
  • TNFRSF6
  • TNFRSF6member 6
  • tumor necrosis factor receptor superfamily member 6

Background

Tumor Necrosis Family Receptor (TNFR) superfamily member Fas, also known as CD95, APO-1, and TNFRSF6, is a 40-50 kDa type I transmembrane glycoprotein that is traditionally considered a death receptor but also functions in non-apoptotic signaling (1-4). The human Fas/TNFRSF6/CD95 protein is encoded by the FAS gene which contains 9 exons and is located on chromosome 10 (10q23.3-4) (1,2). The mature canonical Fas/TNFRSF6 protein isoform is 335 aa in length, which includes the signal sequence, and has a theoretical molecular weight of 37.7 kDa (1,5). The protein contains an extracellular domain (ECD) consisting of three calcium rich domains (CRDs), a transmembrane domain (TM), and an intracellular domain (ICD) comprised of a calcium-inducing domain (CID) and characteristic dead domain (DD) (1,2,5,6). The Fas protein is expressed on the plasma membrane of activated lymphocytes as a homotrimer formed via CRD1 interactions (1,2,3,6). The DD is crucial for apoptotic signaling which is triggered by the Fas receptor binding its ligand, Fas ligand (FasL) (1,2,6,7). Upon Fas-FasL interaction, the DD recruits an adapter protein Fas-associated DD (FADD) and procaspase-8, generating the death-inducing signaling complex (DISC) (1-4,6-8). Formation of DISC activates caspase-8 and leads to cleavage of caspase-3, initiating a caspase-signaling cascade and cell death (1-4,6-8).

Fas-FasL-mediated apoptosis is important in immune homeostasis and removal of autoreactive T cells, autoreactive B cells, cytotoxic natural killer (NK) cells, and more (1,2,7). Dysfunction and mutations in the Fas receptor and the Fas-FasL signaling axis is associated a loss of apoptotic signaling and removal of autoreactive cells, which correlates with several autoimmune diseases including systemic lupus erythematosus (SLE), autoimmune lymphoproliferative syndrome (ALPS), and multiple sclerosis (MS) (1-4,6,7). In addition to apoptosis and cell death signaling, FasL/TNFRSF6/CD95 mediates other pathways involved in proliferation, survival, and differentiation (3,4,6,8). More specifically, Fas has been shown to activate the NF-kappaB pathway, driving innate immunity which includes IL-1beta production and functioning in host defense (3,4,6,8). Fas is also involved in adaptive immunity playing a role in co-stimulation of CD4+ and CD8+ T cell activation as well as precocious differentiation of naive cells to effector memory T cells (3,4,6). Differentiation into effector memory T cells shows protection against autoimmunity but also limits antitumor response to a form of cancer immunotherapy called adoptive cell transfer (ACT) (3,4). The non-apoptotic roles of the Fas/TNFRSF6/CD95 receptor highlight its potential as a target for both treating autoimmune diseases and in cancer immunotherapy (3,4).

References

1. Singh R, Pradhan V, Patwardhan M, Ghosh K. APO-1/Fas gene: Structural and functional characteristics in systemic lupus erythematosus and other autoimmune diseases. Indian J Hum Genet. 2009;15(3):98-102. https://doi.org/10.4103/0971-6866.60184

2. Magerus A, Bercher-Brayer C, Rieux-Laucat F. The genetic landscape of the FAS pathway deficiencies. Biomed J. 2021;44(4):388-399. https://doi.org/1010.1016/j.bj.2021.06.005

3. Guegan JP, Legembre P. Nonapoptotic functions of Fas/CD95 in the immune response. FEBS J. 2018;285(5):809-827. https://doi.org/10.1111/febs.14292

4. Yi F, Frazzette N, Cruz AC, Klebanoff CA, Siegel RM. Beyond Cell Death: New Functions for TNF Family Cytokines in Autoimmunity and Tumor Immunotherapy. Trends Mol Med. 2018;24(7):642-653. https://doi.org/10.1016/j.molmed.2018.05.004

5. Uniprot (P25445)

6. Guegan JP, Ginestier C, Charafe-Jauffret E, et al. CD95/Fas and metastatic disease: What does not kill you makes you stronger. Semin Cancer Biol. 2020;60:121-131. https://doi.org/10.1016/j.semcancer.2019.06.004

7. Volpe E, Sambucci M, Battistini L, Borsellino G. Fas-Fas Ligand: Checkpoint of T Cell Functions in Multiple Sclerosis. Front Immunol. 2016;7:382. Published 2016 Sep 27. https://doi.org/10.3389/fimmu.2016.00382

8. Cullen SP, Martin SJ. Fas and TRAIL 'death receptors' as initiators of inflammation: Implications for cancer. Semin Cell Dev Biol. 2015;39:26-34. https://doi.org/10.1016/j.semcdb.2015.01.012

Limitations

This product is for research use only and is not approved for use in humans or in clinical diagnosis. Primary Antibodies are guaranteed for 1 year from date of receipt.

Customers Who Viewed This Item Also Viewed...

DFL00B
Species: Hu
Applications: ELISA
NB100-56116
Species: Ma, Hu, Mu, Rt
Applications: Flow, ICC/IF, IHC, IHC-Fr,  IHC-P, IP, Simple Western, WB
NB100-56098
Species: Ca, Hu, Mu, Rt
Applications: IHC,  IHC-P, IP, WB
NB100-56104
Species: Ca, Hu, Mu, Rt
Applications: IHC, IHC-Fr,  IHC-P, IP, WB
NB200-103
Species: Hu, Mu, Rt, Xp(-), Ye
Applications: CyTOF-ready, ELISA, Flow-IC, Flow, ICC/IF, IHC, IHC-Fr,  IHC-P, IP, WB
NB400-114
Species: Ch, Fe, Ha, Hu, Mu, Pl, Po, Pm, Rt
Applications: ICC/IF, IHC,  IHC-P, IP, KD, WB
202-IL
Species: Hu
Applications: BA
7268-CT
Species: Hu
Applications: BA
AF820
Species: Hu, Mu
Applications: ICC, IHC, KO, Simple Western, WB
NB100-56118
Species: Ca, Ma, Hu, Mu, Rt
Applications: Flow-IC, ICC/IF, IHC, IHC-Fr,  IHC-P, IP, WB
NBP1-19371
Species: Ca, Hu, Mu, Po, Rb, Rt
Applications: Dual ISH-IHC, Flow, ICC/IF, IHC, IHC-Fr,  IHC-P, Simple Western, WB
375-TL
Species: Hu
Applications: BA
AF821
Species: Hu, Mu
Applications: WB
NBP2-79843
Species: Hu
Applications: CyTOF-ready, ELISA, Flow, ICC/IF, IHC,  IHC-P, PA, WB
NB100-524
Species: Hu, Mu
Applications: Flow-IC, Flow, ICC/IF, IHC, IHC-Fr,  IHC-P, IP, WB
NBP2-66831
Species: Hu
Applications: WB, Flow, ICC/IF, IHC

Publications for Fas/TNFRSF6/CD95 Antibody (NBP2-66831) (0)

There are no publications for Fas/TNFRSF6/CD95 Antibody (NBP2-66831).
By submitting your publication information earn gift cards and discounts for future purchases.

Reviews for Fas/TNFRSF6/CD95 Antibody (NBP2-66831) (0)

There are no reviews for Fas/TNFRSF6/CD95 Antibody (NBP2-66831). By submitting a review you will receive an Amazon e-Gift Card or Novus Product Discount.
  • Review with no image -- $10/€7/£6/$10 CAD/¥70 Yuan/¥1110 Yen
  • Review with an image -- $25/€18/£15/$25 CAD/¥150 Yuan/¥2500 Yen

Product General Protocols

Find general support by application which include: protocols, troubleshooting, illustrated assays, videos and webinars.

Video Protocols

WB Video Protocol
ICC/IF Video Protocol

FAQs for Fas/TNFRSF6/CD95 Antibody (NBP2-66831) (0)

There are no specific FAQs related to this product. Read our general customer & technical service FAQs.

Contact Information

Product PDFs

Calculators

Concentration Calculator

The concentration calculator allows you to quickly calculate the volume, mass or concentration of your vial. Simply enter your mass, volume, or concentration values for your reagent and the calculator will determine the rest.

=
÷

Review this Product

Be the first to review our Fas/TNFRSF6/CD95 Antibody (JJ0942) and receive a gift card or discount.

Bioinformatics

Gene Symbol FAS