Ezrin Antibody (JM10-65)

Images

 
Western Blot: Ezrin Antibody (JM10-65) [NBP2-66827] - Analysis of Ezrin on different cell lysates using anti-Ezrin antibody at 1/1,000 dilution. Positive control: Lane 1:Hela Lane 2: Jurkat Lane 3:A431
Immunohistochemistry-Paraffin: Ezrin Antibody (JM10-65) [NBP2-66827] - Analysis of paraffin-embedded human lung tissue using anti-Ezrin antibody. Counter stained with hematoxylin.
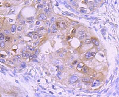
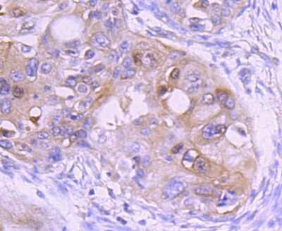
Immunohistochemistry-Paraffin: Ezrin Antibody (JM10-65) [NBP2-66827] - Analysis of paraffin-embedded human breast carcinoma tissue using anti-Ezrin antibody. Counter stained with hematoxylin.
Immunohistochemistry-Paraffin: Ezrin Antibody (JM10-65) [NBP2-66827] - Analysis of paraffin-embedded human colon cancer tissue using anti-Ezrin antibody. Counter stained with hematoxylin.
Immunohistochemistry-Paraffin: Ezrin Antibody (JM10-65) [NBP2-66827] - Analysis of paraffin-embedded human kidney tissue using anti-Ezrin antibody. Counter stained with hematoxylin.
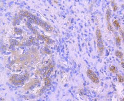
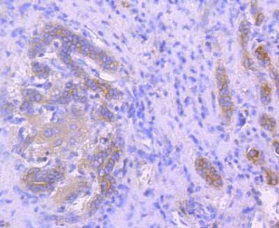
Immunohistochemistry-Paraffin: Ezrin Antibody (JM10-65) [NBP2-66827] - Analysis of paraffin-embedded human liver cancer tissue using anti-Ezrin antibody. Counter stained with hematoxylin.
Immunohistochemistry-Paraffin: Ezrin Antibody (JM10-65) [NBP2-66827] - Analysis of paraffin-embedded human lung cancer tissue using anti-Ezrin antibody. Counter stained with hematoxylin.

Product Details

Summary
Product Discontinued
View other related Ezrin Primary Antibodies

Order Details


    • Catalog Number
      NBP2-66827
    • Availability
      Product Discontinued

    Can't find what you are looking for? Use our Antibody Concierge Service & we will help you locate your antibody!

    Or feel free to contact us for alternative products.

Ezrin Antibody (JM10-65) Summary

Additional Information
Recombinant Monoclonal Antibody.
Immunogen
Synthetic peptide within Human Ezrin aa 350-386 / 586. (SwissProt: P15311 Human)
Localization
Cell membrane, Cell projection, Cytoplasm, Cytoskeleton, Membrane.
Isotype
IgG
Clonality
Monoclonal
Host
Rabbit
Gene
EZR
Purity
Protein A purified
Innovator's Reward
Test in a species/application not listed above to receive a full credit towards a future purchase.

Applications/Dilutions

Dilutions
  • Immunohistochemistry
  • Immunohistochemistry-Paraffin 1:50-1:200
  • Western Blot 1:500-1:1000

Packaging, Storage & Formulations

Storage
Store at 4C short term. Aliquot and store at -20C long term. Avoid freeze-thaw cycles.
Buffer
TBS (pH7.4), 0.05% BSA, 40% Glycerol
Preservative
0.05% Sodium Azide
Concentration
1 mg/ml
Purity
Protein A purified

Alternate Names for Ezrin Antibody (JM10-65)

  • CVIL
  • CVL
  • Cytovillin 2
  • Cytovillin
  • DKFZp762H157
  • EZR
  • Ezrin
  • FLJ26216
  • p81
  • VIL2
  • VIL2MGC1584
  • villin 2 (ezrin)
  • Villin 2
  • villin-2

Background

Ezrin serves as a tyrosine kinase substrate and is phosphorylated in EGF-stimulated cells. It is a cytoplasmic protein enriched in microvilli and other cell surfaces. Ezrin has an actin-binding capacity and is expressed in epithelial cells but not in mesenchymal cells. It is also expressed by certain epithelial tumors, such as renal cell adenocarcinomas.

Limitations

This product is for research use only and is not approved for use in humans or in clinical diagnosis. Primary Antibodies are guaranteed for 1 year from date of receipt.

Customers Who Viewed This Item Also Viewed...

NBP2-32875
Species: Hu, Rt
Applications: Flow, ICC/IF, IHC,  IHC-P, Simple Western, WB
H00005962-M06
Species: Ch, Hu, Mu, Rt
Applications: ELISA, ICC/IF, IHC, WB
NBP3-35065
Species: Hu, Mu, Rt
Applications: ELISA, WB
NBP1-87757
Species: Hu, Mu, Rt
Applications: ICC/IF, IHC,  IHC-P, IP, KD, WB
NBP2-25160
Species: Bv, Ca, Eq, Hu, Mu, Po, Rt
Applications: ICC/IF, IHC, WB
NBP1-58359
Species: Hu
Applications: IHC,  IHC-P, WB
BBA10
Species: Hu
Applications: CyTOF-ready, Flow, IHC, IP, KO, Simple Western, WB
H00002035-M01
Species: Hu
Applications: ELISA, ICC/IF, IHC,  IHC-P, S-ELISA, WB
NB100-91273
Species: Hu, Mu, Pm, Rt
Applications: ICC/IF, IHC,  IHC-P, WB
AF887
Species: Hu, Mu, Rt
Applications: CyTOF-ready, IHC, ICFlow, Simple Western, WB
NBP2-67327
Species: Hu, Mu, Rt
Applications: Flow, ICC/IF, IHC,  IHC-P, IP, WB
AF748
Species: Hu, Mu
Applications: CyTOF-ready, Dual ISH-IHC, Flow, ICC, IHC, Simple Western, WB
236-EG
Species: Hu
Applications: BA
294-HG
Species: Hu
Applications: BA
NBP1-85047
Species: Hu, Mu, Po, Rt
Applications: ICC/IF, IHC,  IHC-P, WB
AF2685
Species: Hu
Applications: IHC, Simple Western, WB
NBP2-62651
Species: Hu
Applications: IHC,  IHC-P, WB
NBP2-66827
Species: Hu
Applications: WB, IHC

Publications for Ezrin Antibody (NBP2-66827) (0)

There are no publications for Ezrin Antibody (NBP2-66827).
By submitting your publication information earn gift cards and discounts for future purchases.

Reviews for Ezrin Antibody (NBP2-66827) (0)

There are no reviews for Ezrin Antibody (NBP2-66827). By submitting a review you will receive an Amazon e-Gift Card or Novus Product Discount.
  • Review with no image -- $10/€7/£6/$10 CAD/¥70 Yuan/¥1110 Yen
  • Review with an image -- $25/€18/£15/$25 CAD/¥150 Yuan/¥2500 Yen

Product General Protocols

Find general support by application which include: protocols, troubleshooting, illustrated assays, videos and webinars.

Video Protocols

WB Video Protocol

FAQs for Ezrin Antibody (NBP2-66827) (0)

There are no specific FAQs related to this product. Read our general customer & technical service FAQs.

Secondary Antibodies

 

Isotype Controls

Additional Ezrin Products

Research Areas for Ezrin Antibody (NBP2-66827)

Find related products by research area.

Blogs on Ezrin

There are no specific blogs for Ezrin, but you can read our latest blog posts.

Contact Information

Product PDFs

Calculators

Concentration Calculator

The concentration calculator allows you to quickly calculate the volume, mass or concentration of your vial. Simply enter your mass, volume, or concentration values for your reagent and the calculator will determine the rest.

=
÷

Review this Product

Be the first to review our Ezrin Antibody (JM10-65) and receive a gift card or discount.

Bioinformatics

Gene Symbol EZR