ERp57/PDIA3 Antibody (CL2446) - Azide and BSA Free

Images

 
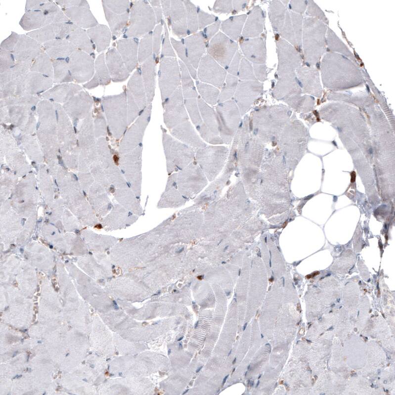
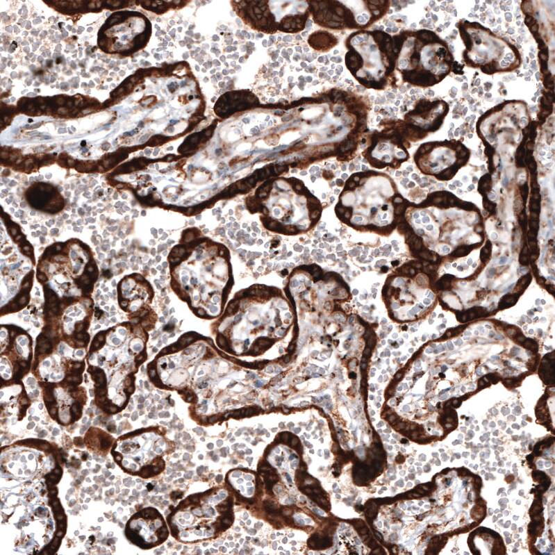
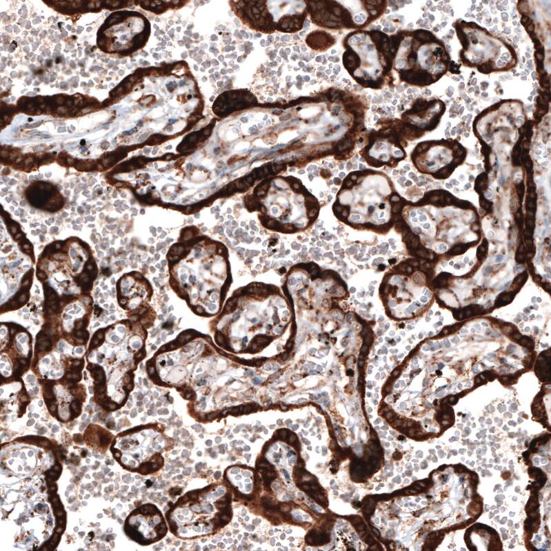
Orthogonal Strategies: Analysis in human small intestine and skeletal muscle tissues using NBP3-44468 antibody. Corresponding ERp57/PDIA3 RNA-seq data are presented for the same tissues.
Lane 1: Marker [kDa]Lane 2:Human cell line U-251 MG
Staining of human liver shows moderate cytoplasmic positivity in hepatocytes.
Staining of human skeletal muscle shows no positivity in myocytes as expected.
Staining of human placenta shows strong cytoplasmic positivity in trophoblastic cells.
Staining of human small intestine shows strong cytoplasmic positivity in glandular cells.

Product Details

Summary
Reactivity HuSpecies Glossary
Applications WB, IHC
Clone
CL2446
Clonality
Monoclonal
Host
Mouse
Conjugate
Unconjugated
Format
Azide and BSA Free
Concentration
LYOPH
Validated by:
       

Orthogonal Strategies

 

Order Details

ERp57/PDIA3 Antibody (CL2446) - Azide and BSA Free Summary

Description
Novus Biologicals Mouse ERp57/PDIA3 Antibody (CL2446) - Azide and BSA Free (NBP2-36766) is a monoclonal antibody validated for use in IHC and WB. All Novus Biologicals antibodies are covered by our 100% guarantee.
Immunogen
This antibody was generated using a recombinant protein sequence of G5EA52, with the exact immunogen sequence remaining proprietary.
Isotype
IgG1
Clonality
Monoclonal
Host
Mouse
Gene
PDIA3
Purity
Protein A purified
Innovator's Reward
Test in a species/application not listed above to receive a full credit towards a future purchase.

Applications/Dilutions

Dilutions
  • Immunohistochemistry-Paraffin 1:5000 - 1:10000
  • Western Blot 1 ug/ml
Application Notes
For IHC-Paraffin, HIER pH 6 retrieval is recommended.

Packaging, Storage & Formulations

Storage
Store at 4C short term. Aliquot and store at -20C long term. Avoid freeze-thaw cycles.
Buffer
Lyophilized from a 0.2 um filtered solution in PBS with Trehalose
Preservative
No Preservative
Concentration
LYOPH
Purity
Protein A purified
Reconstitution Instructions
Centrifuge the vial of lyophilized antibody at 12,000 x g for 20 seconds. Reconstitute by adding sterile, distilled water to achieve a final antibody concentration of 1mg/ml.

Alternate Names for ERp57/PDIA3 Antibody (CL2446) - Azide and BSA Free

  • Disulfide isomerase ER-60
  • EC 5.3.4.1
  • endoplasmic reticulum P58
  • Endoplasmic reticulum resident protein 57
  • Endoplasmic reticulum resident protein 60
  • ER protein 60
  • ER60
  • ERp57
  • ERp5758 kDa glucose-regulated protein
  • ERp60
  • ERp6058 kDa microsomal protein
  • ERp61
  • glucose regulated protein, 58kDa
  • GRP57
  • GRP58
  • GRP58ER protein 57
  • HsT17083
  • P58
  • PDIA3
  • phospholipase C-alpha
  • PI-PLC
  • protein disulfide isomerase family A, member 3
  • protein disulfide isomerase-associated 3
  • protein disulfide-isomerase A3

Background

ERp57, also known as Glucose Regulated Protein 58 (Grp58), Hormone-Induced Protein-70 (HIP-70) and microsomal Carnitine Palmitoyltransferase, is a member of the protein disulfide isomerase family, containing two canonical CXHC tetrapeptide active site motifs (1-5). It has quite a few diverse roles. It functions as an accessory oxidoreductase involved in disulfide bond formation. In the ER, ERp57 interacts with membrane bound calnexin and soluble calreticulin (lectin chaperones) via their praline rich P-domain arms. Lectin chaperones bind nascent non-native glycoproteins, and position ERp57 to act upon the immature or misfolded glycoproteins that possess mono-glucosylated side chains. ERp57 deletion impairs posttranslational phases of influenza hema-glutinin folding, and causes accelerated release of MHC-I molecules, resulting in the coupling of sub-optimal peptides and reduced expression and stability on the cell surface (6). ERp57 also contains two thioredoxin active-site sequences, CGHC and an estrogen-binding domain. ERp57 is induced by both estrogen and leuteinizing-hormone-releasing hormone in the hippocampus (7).

Limitations

This product is for research use only and is not approved for use in humans or in clinical diagnosis. Primary Antibodies are guaranteed for 1 year from date of receipt.

Customers Who Viewed This Item Also Viewed...

NBP2-52533
Species: Hu, Mu
Applications: CyTOF-ready, ELISA, Flow, ICC/IF, IHC,  IHC-P, WB
NB600-101
Species: Bv, Ha, Hu, Mu, Pm, Rt
Applications: B/N, DB, EM, Flow, ICC/IF, IHC,  IHC-P, IP, KD, PA, Simple Western, WB
NB100-1965
Species: Av, Bv, Ch, Dr, Gp, Hu, Mu, Po, Rb, Rt, Sh, Xp, Ze
Applications: Flow, ICC/IF, IHC,  IHC-P, IP, Simple Western, WB
NBP2-02541
Species: Hu, Pm, Mu, Pm, Rt
Applications: ICC/IF, IHC,  IHC-P, WB
NBP2-24653
Species: Hu, Mu, Rt
Applications: IHC,  IHC-P, WB
NBP1-89394
Species: Hu
Applications: ICC/IF, IHC,  IHC-P
NBP1-06274
Species: Ce, Ch, Dr, Hu, Mu, Rt, Sh, Ze
Applications: Flow, ICC/IF, IHC-FrFl, IHC,  IHC-P, Simple Western, WB
AF2364
Species: Hu
Applications: IHC, WB
NB300-517
Species: Bv, Ha, Hu, Pm, Mu, Po, Pm, Rb, Rt
Applications: B/N, ELISA, Flow, ICC/IF, IHC, IHC-Fr,  IHC-P, IM, IP, KD, WB
NBP1-86968
Species: Hu
Applications: IHC,  IHC-P
NBP2-82026
Species: Hu, Mu, Rt
Applications: ELISA, ICC/IF, IHC,  IHC-P, WB
NBP2-49086
Species: Hu
Applications: ICC/IF, IHC,  IHC-P
NBP2-37761
Species: Hu
Applications: ICC/IF, IHC,  IHC-P
NBP2-01346
Species: Ca, Hu, Pm, Mu, Pm, Rt
Applications: Flow, ICC/IF, IHC,  IHC-P, WB
H00006890-M04
Species: Hu
Applications: ELISA, Flow, ICC/IF, WB
AF1230
Species: Hu, Mu, Rt
Applications: IHC, KO, WB
AF1543
Species: Hu
Applications: IHC, WB
NBP3-38014
Species: Hu
Applications: ELISA, ICC/IF, IHC,  IHC-P, WB
NBP1-90286
Species: Hu, Mu, Rt
Applications: ICC/IF, IHC,  IHC-P, WB
NBP1-31649
Species: Hu
Applications: ICC/IF, IHC,  IHC-P, WB

Publications for ERp57/PDIA3 Antibody (NBP3-44468) (0)

There are no publications for ERp57/PDIA3 Antibody (NBP3-44468).
By submitting your publication information earn gift cards and discounts for future purchases.

Reviews for ERp57/PDIA3 Antibody (NBP3-44468) (0)

There are no reviews for ERp57/PDIA3 Antibody (NBP3-44468). By submitting a review you will receive an Amazon e-Gift Card or Novus Product Discount.
  • Review with no image -- $10/€7/£6/$10 CAD/¥70 Yuan/¥1110 Yen
  • Review with an image -- $25/€18/£15/$25 CAD/¥150 Yuan/¥2500 Yen

Product General Protocols

Find general support by application which include: protocols, troubleshooting, illustrated assays, videos and webinars.

Video Protocols

WB Video Protocol

FAQs for ERp57/PDIA3 Antibody (NBP3-44468) (0)

There are no specific FAQs related to this product. Read our general customer & technical service FAQs.

Secondary Antibodies

 

Isotype Controls

Additional ERp57/PDIA3 Products

Research Areas for ERp57/PDIA3 Antibody (NBP3-44468)

Find related products by research area.

Blogs on ERp57/PDIA3

There are no specific blogs for ERp57/PDIA3, but you can read our latest blog posts.

Customers Who Bought This Also Bought

Contact Information

Product PDFs

Calculators

Concentration Calculator

The concentration calculator allows you to quickly calculate the volume, mass or concentration of your vial. Simply enter your mass, volume, or concentration values for your reagent and the calculator will determine the rest.

=
÷

Review this Product

Be the first to review our ERp57/PDIA3 Antibody (CL2446) - Azide and BSA Free and receive a gift card or discount.

Bioinformatics

Gene Symbol PDIA3