Ephrin-B2 Antibody

Images

 
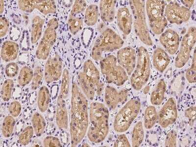
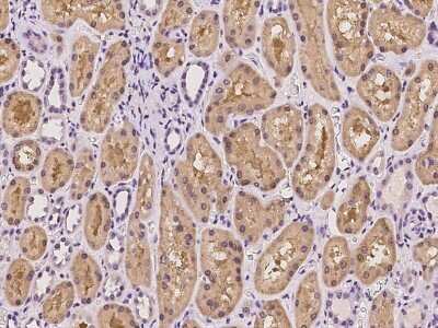
Immunohistochemistry-Paraffin: Ephrin-B2 Antibody [NBP2-97336] - Staining of human Ephrin-B2 in human kidney with rabbit polyclonal antibody at 1:100 dilution.

Product Details

Summary
Product Discontinued
View other related Ephrin-B2 Primary Antibodies

Order Details


    • Catalog Number
      NBP2-97336
    • Availability
      Product Discontinued

    Can't find what you are looking for? Use our Antibody Concierge Service & we will help you locate your antibody!

    Or feel free to contact us for alternative products.

Ephrin-B2 Antibody Summary

Description
This antibody can be stored at 2C to 8C for one month without detectable loss of activity. Antibody products are stable for twelve months from date of receipt when stored at -20C to -80C. Avoid repeated freeze-thaw cycles.
Immunogen
Produced in rabbits immunized with E. coli-derived Human Ephrin-B2 fragment.
Isotype
IgG
Clonality
Polyclonal
Host
Rabbit
Gene
EFNB2
Purity
Antigen Affinity-purified
Innovator's Reward
Test in a species/application not listed above to receive a full credit towards a future purchase.

Applications/Dilutions

Dilutions
  • Immunohistochemistry 1:50-1:200
  • Immunohistochemistry-Paraffin 1:50-1:200

Packaging, Storage & Formulations

Storage
Store at 4C short term. Aliquot and store at -20C long term. Avoid freeze-thaw cycles.
Buffer
PBS (pH 7.0)
Preservative
0.03% Proclin 300
Purity
Antigen Affinity-purified

Alternate Names for Ephrin-B2 Antibody

  • EFNB2
  • ELF-2
  • ephrin B2
  • EphrinB2
  • Ephrin-B2
  • EPLG5
  • HTKL
  • Htk-L
  • LERK5
  • LERK-5
  • NLERK-1

Limitations

This product is for research use only and is not approved for use in humans or in clinical diagnosis. Primary Antibodies are guaranteed for 1 year from date of receipt.

Customers Who Viewed This Item Also Viewed...

AF446
Species: Mu
Applications: CyTOF-ready, Flow, IHC, WB
AF638
Species: Hu
Applications: CyTOF-ready, Flow, ICC, WB
AF473
Species: Mu
Applications: IHC, Simple Western, WB
AF467
Species: Hu, Mu
Applications: CyTOF-ready, Flow, ICC, IHC, Simple Western, WB
AF395
Species: Hu
Applications: IHC, WB
DVE00
Species: Hu
Applications: ELISA
1596-B1
Species: Rt
Applications: Bind
AF641
Species: Mu
Applications: IHC, WB
H00002049-M01
Species: Hu, Mu
Applications: ELISA, IHC, IHC-Fr,  IHC-P, IP, WB
602-A1
Species: Mu
Applications: Bind
AF611
Species: Mu
Applications: WB
923-AN
Species: Hu
Applications: BA
NBP2-20486
Species: Hu, Mu
Applications: ICC/IF, IHC,  IHC-P, IP, WB
AF1389
Species: Mu
Applications: ICC, IHC, WB
374-EA
Species: Hu
Applications: Bind
AF2685
Species: Hu
Applications: IHC, Simple Western, WB
AF3035
Species: Hu
Applications: CyTOF-ready, Flow, IHC, KO, WB

Publications for Ephrin-B2 Antibody (NBP2-97336) (0)

There are no publications for Ephrin-B2 Antibody (NBP2-97336).
By submitting your publication information earn gift cards and discounts for future purchases.

Reviews for Ephrin-B2 Antibody (NBP2-97336) (0)

There are no reviews for Ephrin-B2 Antibody (NBP2-97336). By submitting a review you will receive an Amazon e-Gift Card or Novus Product Discount.
  • Review with no image -- $10/€7/£6/$10 CAD/¥70 Yuan/¥1110 Yen
  • Review with an image -- $25/€18/£15/$25 CAD/¥150 Yuan/¥2500 Yen

Product General Protocols

Find general support by application which include: protocols, troubleshooting, illustrated assays, videos and webinars.

FAQs for Ephrin-B2 Antibody (NBP2-97336) (0)

There are no specific FAQs related to this product. Read our general customer & technical service FAQs.

Secondary Antibodies

 

Isotype Controls

Additional Ephrin-B2 Products

Research Areas for Ephrin-B2 Antibody (NBP2-97336)

Find related products by research area.

Blogs on Ephrin-B2.

Cytokeratin 18 - A Intermediate Filament Cyotskeletal Component
Keratins, also called cytokeratins, are a family of filamentous structural proteins that form the intermediate filaments within epithelial cells. Keratins are differentially expressed depending on both the epithelial cell origin and degree of differen...  Read full blog post.

Contact Information

Product PDFs

Calculators

Concentration Calculator

The concentration calculator allows you to quickly calculate the volume, mass or concentration of your vial. Simply enter your mass, volume, or concentration values for your reagent and the calculator will determine the rest.

=
÷

Review this Product

Be the first to review our Ephrin-B2 Antibody and receive a gift card or discount.

Bioinformatics

Gene Symbol EFNB2