enkurin Antibody - BSA Free

Images

 
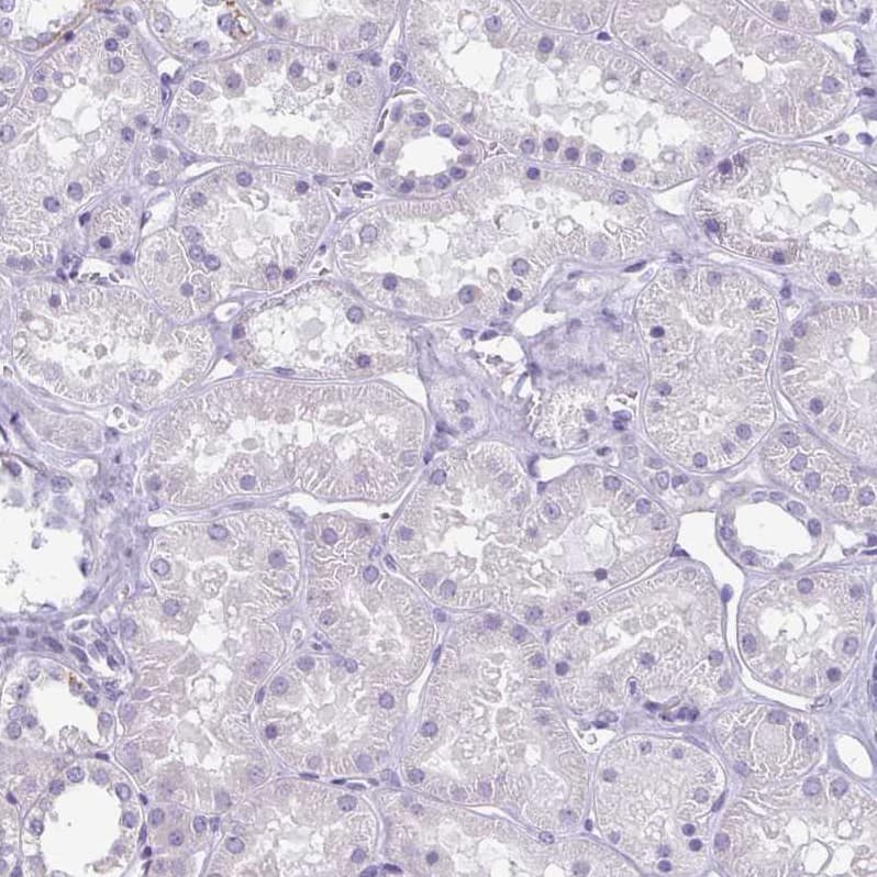
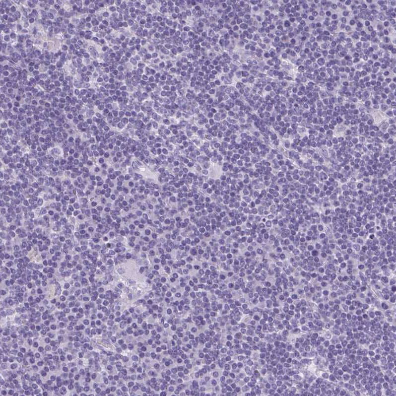
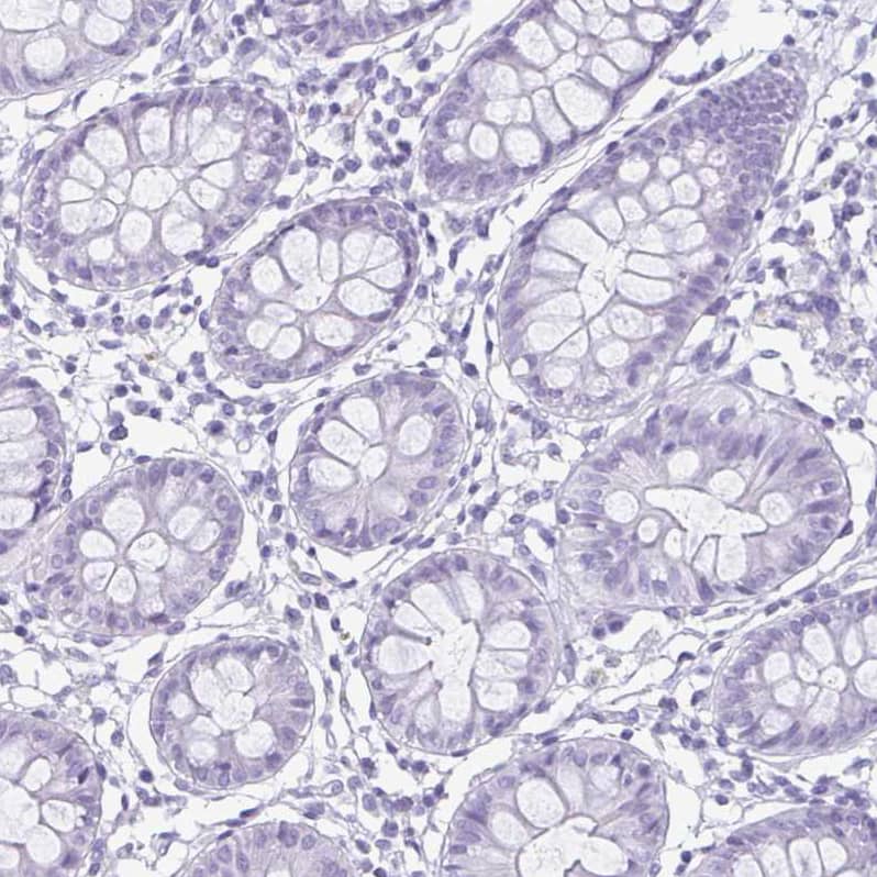
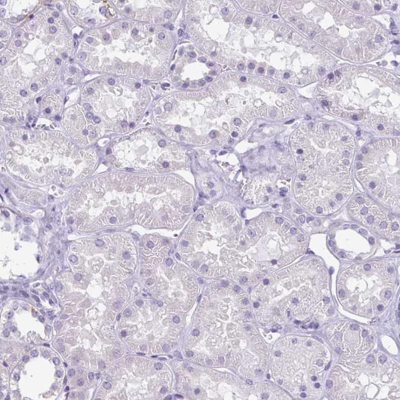
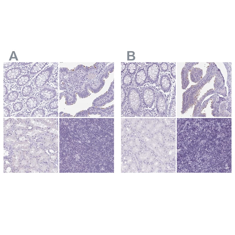
Independent Antibodies: Staining of human colon, fallopian tube, kidney and lymph node using Anti-ENKUR antibody NBP1-89911 (A) shows similar protein distribution across tissues to independent antibody NBP2-34037 ...read more
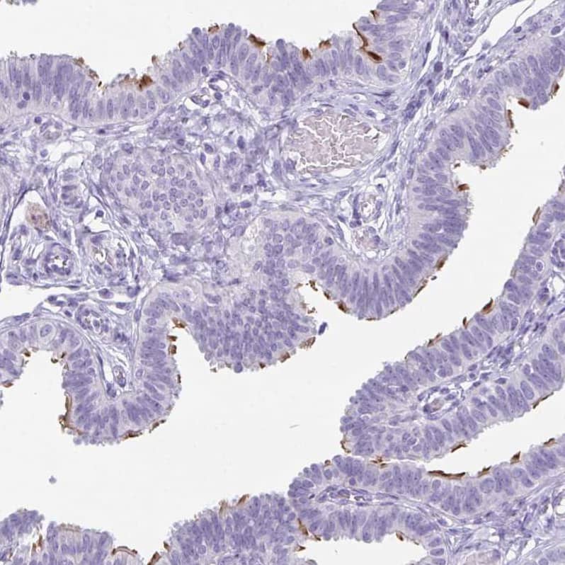
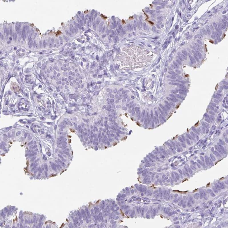
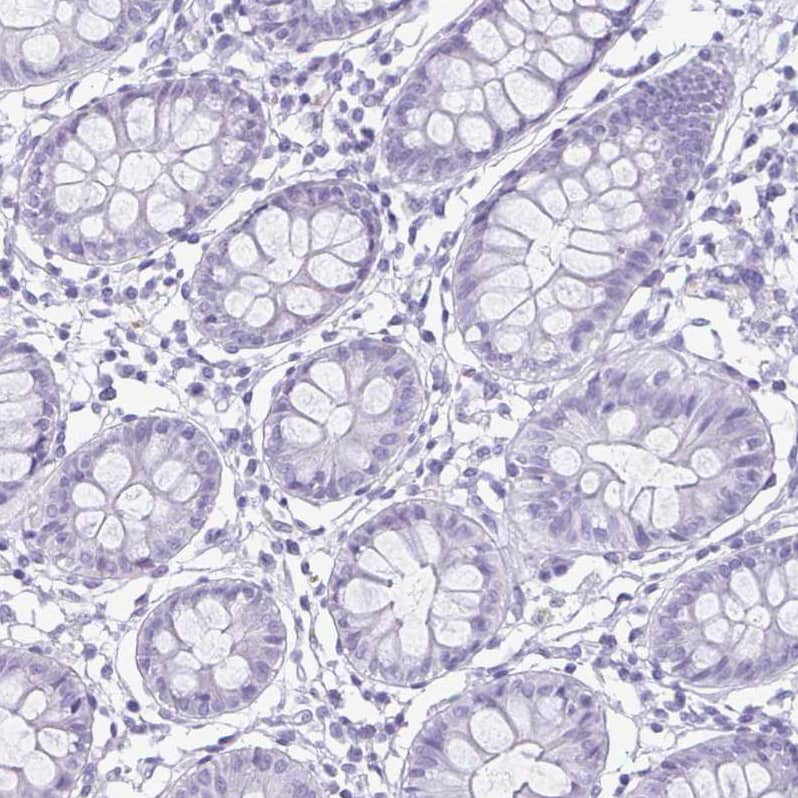
Orthogonal Strategies: Analysis in human fallopian tube and colon tissues using NBP1-89911 antibody. Corresponding ENKUR RNA-seq data are presented for the same tissues.
Staining of human fallopian tube shows moderate positivity in ciliated cells.
Staining of human colon shows no positivity in glandular cells as expected.
Staining of human lymph node shows no positivity in non-germinal center cells as expected.
Staining of human kidney shows no positivity in cells in tubules as expected.
Analysis in control (vector only transfected HEK293T lysate) and ENKUR over-expression lysate (Co-expressed with a C-terminal myc-DDK tag (~3.1 kDa) in mammalian HEK293T cells).

Product Details

Summary
Reactivity Hu, MuSpecies Glossary
Applications WB, IHC
Clonality
Polyclonal
Host
Rabbit
Conjugate
Unconjugated
Format
BSA Free

Order Details

View Available Formulations
Catalog# & Formulation Size Price

enkurin Antibody - BSA Free Summary

Description
Novus Biologicals Rabbit enkurin Antibody - BSA Free (NBP1-89911) is a polyclonal antibody validated for use in IHC and WB. All Novus Biologicals antibodies are covered by our 100% guarantee.
Immunogen
This antibody was developed against Recombinant Protein corresponding to amino acids: PAVPLKTDHPVMGIQSGKNFINTNAADIIMGVAKKPKPIYVDKRTGDKHDLEPSGLVPKYINKKDYGVTPEYICKRNEE
Predicted Species
Mouse (92%). Backed by our 100% Guarantee.
Isotype
IgG
Clonality
Polyclonal
Host
Rabbit
Gene
ENKUR
Purity
Affinity purified
Innovator's Reward
Test in a species/application not listed above to receive a full credit towards a future purchase.

Applications/Dilutions

Dilutions
  • Immunohistochemistry 1:1000 - 1:2500
  • Immunohistochemistry-Paraffin 1:1000 - 1:2500
  • Western Blot 0.04-0.4 ug/ml
Application Notes
For IHC-Paraffin, HIER pH 6 retrieval is recommended.
Control Peptide
enkurin Protein (NBP1-89911PEP)

Reactivity Notes

Immunogen displays the following percentage of sequence identity for non-tested species: Rat (87%)

Packaging, Storage & Formulations

Storage
Store at 4C short term. Aliquot and store at -20C long term. Avoid freeze-thaw cycles.
Buffer
PBS (pH 7.2) and 40% Glycerol
Preservative
0.02% Sodium Azide
Purity
Affinity purified

Alternate Names for enkurin Antibody - BSA Free

  • C10orf63DKFZp781F21103
  • chromosome 10 open reading frame 63
  • enkurin
  • enkurin, TRPC channel interacting protein
  • MGC26778

Background

Enkurin interacts with transient receptor potential canonical (TRPC) cation channels (see TRPC1; MIM 602343) and functions as an adapter protein, tethering signal transduction proteins to TRPC channels (Sutton et al., 2004 [PubMed 15385169]).[supplied by OMIM]

Limitations

This product is for research use only and is not approved for use in humans or in clinical diagnosis. Primary Antibodies are guaranteed for 1 year from date of receipt.

Customers Who Viewed This Item Also Viewed...

NBP2-12919
Species: Hu, Mu, Rt
Applications: ICC/IF, IHC,  IHC-P, IP, MiAr, WB
NBP1-77262
Species: Hu, Mu
Applications: ELISA, ICC/IF, IHC,  IHC-P, WB
NB100-98844
Species: Hu, Mu, Rt
Applications: ICC/IF, IHC, WB
NBP2-14871
Species: Mu, Rt
Applications: ICC/IF, WB
NB120-2860
Species: Ba, Bv, Ch, Hu, Mu, Rt
Applications: ELISA, Flow, ICC/IF, IHC,  IHC-P, WB
NBP2-15669
Species: Mu, Rt, Ze
Applications: IHC-WhMt, IHC, WB
AF2364
Species: Hu
Applications: IHC, WB
NBP1-88650
Species: Hu
Applications: IHC,  IHC-P, KD, WB
NBP2-67058
Species: Hu, Mu, Rt
Applications: Flow, ICC/IF, IHC,  IHC-P, Simple Western, WB
NBP2-34136
Species: Hu
Applications: IHC,  IHC-P, WB
NBP1-90078
Species: Hu, Mu, Rt
Applications: ICC/IF, IHC,  IHC-P, WB
NBP2-80537
Species: Mu
Applications: IHC,  IHC-P, WB
MAB6777
Species: Hu
Applications: ICC, WB
AF3320
Species: Hu
Applications: IHC, Simple Western, WB
NBP1-20989
Species: Hu, Rt
Applications: IHC,  IHC-P, PEP-ELISA, WB
NB100-91266
Species: Hu, Mu, Rt
Applications: ICC/IF, IHC, IHC-Fr,  IHC-P, WB
NBP3-35065
Species: Hu, Mu, Rt
Applications: ELISA, WB
NBP1-76798
Species: Hu, Mu, Rt
Applications: ELISA, ICC/IF, IHC,  IHC-P, KO, WB
NBP3-35834
Species: Hu, Mu, Rt
Applications: ELISA, IHC,  IHC-P, WB
NBP1-89911
Species: Hu, Mu
Applications: WB, IHC

Publications for enkurin Antibody (NBP1-89911) (0)

There are no publications for enkurin Antibody (NBP1-89911).
By submitting your publication information earn gift cards and discounts for future purchases.

Reviews for enkurin Antibody (NBP1-89911) (0)

There are no reviews for enkurin Antibody (NBP1-89911). By submitting a review you will receive an Amazon e-Gift Card or Novus Product Discount.
  • Review with no image -- $10/€7/£6/$10 CAD/¥70 Yuan/¥1110 Yen
  • Review with an image -- $25/€18/£15/$25 CAD/¥150 Yuan/¥2500 Yen

Product General Protocols

Find general support by application which include: protocols, troubleshooting, illustrated assays, videos and webinars.

Video Protocols

WB Video Protocol

FAQs for enkurin Antibody (NBP1-89911) (0)

There are no specific FAQs related to this product. Read our general customer & technical service FAQs.

Customers Who Bought This Also Bought

Contact Information

Product PDFs

Calculators

Concentration Calculator

The concentration calculator allows you to quickly calculate the volume, mass or concentration of your vial. Simply enter your mass, volume, or concentration values for your reagent and the calculator will determine the rest.

=
÷

Review this Product

Be the first to review our enkurin Antibody - BSA Free and receive a gift card or discount.

Bioinformatics

Gene Symbol ENKUR