Dynamin 2 Antibody (JM61-38)

Images

 
Western Blot: Dynamin 2 Antibody (JM61-38) [NBP2-66813] - Analysis of Dynamin 2 on different lysates using anti-Dynamin 2 antibody at 1/1,000 dilution.Positive control:Lane1: PC-12Lane2: Mouse thymusLane3: Hela
Immunocytochemistry/ Immunofluorescence: Dynamin 2 Antibody (JM61-38) [NBP2-66813] - Staining Dynamin 2 in Hela cells (green). The nuclear counter stain is DAPI (blue). Cells were fixed in paraformaldehyde, ...read more
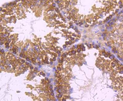
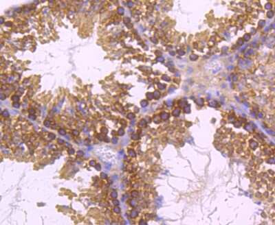
Immunohistochemistry-Paraffin: Dynamin 2 Antibody (JM61-38) [NBP2-66813] - Analysis of paraffin-embedded mouse testes tissue using anti-Dynamin 2 antibody. Counter stained with hematoxylin.
Flow Cytometry: Dynamin 2 Antibody (JM61-38) [NBP2-66813] - Analysis of Hela cells with Dynamin 2 antibody at 1/100 dilution (red) compared with an unlabelled control (cells without incubation with primary antibody; ...read more
Immunocytochemistry/ Immunofluorescence: Dynamin 2 Antibody (JM61-38) [NBP2-66813] - Staining Dynamin 2 in 293T cells (green). The nuclear counter stain is DAPI (blue). Cells were fixed in paraformaldehyde, ...read more
Immunohistochemistry-Paraffin: Dynamin 2 Antibody (JM61-38) [NBP2-66813] - Analysis of paraffin-embedded human fetal skeletal muscle tissue using anti-Dynamin 2 antibody. Counter stained with hematoxylin.
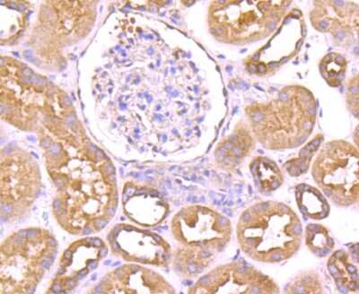
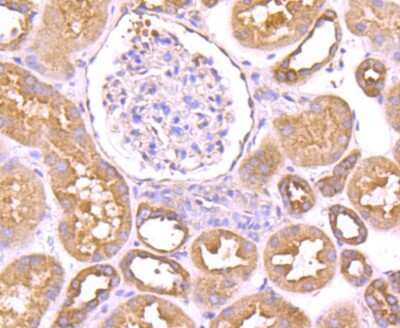
Immunohistochemistry-Paraffin: Dynamin 2 Antibody (JM61-38) [NBP2-66813] - Analysis of paraffin-embedded human kidney tissue using anti-Dynamin 2 antibody. Counter stained with hematoxylin.
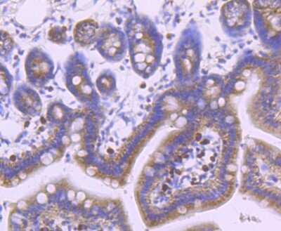
Immunohistochemistry-Paraffin: Dynamin 2 Antibody (JM61-38) [NBP2-66813] - Analysis of paraffin-embedded mouse colon tissue using anti-Dynamin 2 antibody. Counter stained with hematoxylin.
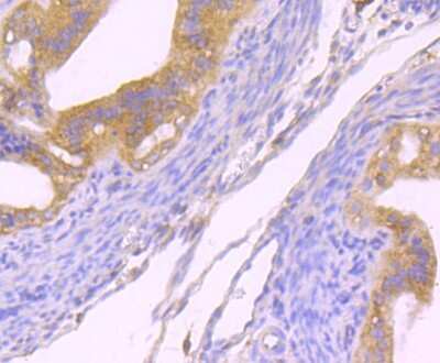
Immunohistochemistry-Paraffin: Dynamin 2 Antibody (JM61-38) [NBP2-66813] - Analysis of paraffin-embedded mouse fallopian tube tissue using anti-Dynamin 2 antibody. Counter stained with hematoxylin.

Product Details

Summary
Product Discontinued
View other related Dynamin 2 Primary Antibodies

Order Details


    • Catalog Number
      NBP2-66813
    • Availability
      Product Discontinued

    Can't find what you are looking for? Use our Antibody Concierge Service & we will help you locate your antibody!

    Or feel free to contact us for alternative products.

Dynamin 2 Antibody (JM61-38) Summary

Additional Information
Recombinant Monoclonal Antibody.
Immunogen
Synthetic peptide within Human Dynamin 2 aa 748-797 / 870. (SwissProt: P50570 Human; SwissProt: P39054 Mouse; SwissProt: P39052 Rat)
Localization
Cytoplasm.
Isotype
IgG
Clonality
Monoclonal
Host
Rabbit
Gene
DNM2
Purity
Protein A purified
Innovator's Reward
Test in a species/application not listed above to receive a full credit towards a future purchase.

Applications/Dilutions

Dilutions
  • Flow Cytometry 1:50-1:100
  • Immunocytochemistry/ Immunofluorescence 1:100-1:500
  • Immunohistochemistry
  • Immunohistochemistry-Paraffin 1:50-1:200
  • Western Blot 1:500-1:1000

Packaging, Storage & Formulations

Storage
Store at 4C short term. Aliquot and store at -20C long term. Avoid freeze-thaw cycles.
Buffer
TBS (pH7.4), 0.05% BSA, 40% Glycerol
Preservative
0.05% Sodium Azide
Concentration
1 mg/ml
Purity
Protein A purified

Alternate Names for Dynamin 2 Antibody (JM61-38)

  • CMTDI1CMT2M
  • CMTDIBdynamin II
  • DI-CMTB
  • DNM2
  • DYN2
  • DYN2EC 3.6.5.5
  • Dynamin 2
  • dynamin-2
  • DYNII

Background

The dynamins are a family of 100 kDa GTPases transcribed from at least three separate genes. At least four mRNA splice variants for each dynamin have been described. Dynamins contain several conserved regions including the conserved, amino-terminal GTPase domain, a centrally located membrane-binding plekstrin homology domain (PHD), and a coiled-coil region located in front of a proline-rich domain (PRD). The PRD is thought to mediate interactions between dynamin and numerous other cellular proteins. Dynamin 1 is expressed exclusively in neurons, Dynamin 2 is ubiquitously expressed, and Dynamin 3 is thought to be restricted to expression in the brain, testis, heart, and lung. The dynamins participate in the cellular process of clathrin-mediated and fluid-phase endocytosis.

Limitations

This product is for research use only and is not approved for use in humans or in clinical diagnosis. Primary Antibodies are guaranteed for 1 year from date of receipt.

Customers Who Viewed This Item Also Viewed...

NB100-615
Species: Hu, Mu, Rt, Sh
Applications: Flow, IB, ICC/IF, IHC, IHC-Fr,  IHC-P, IP, WB
2914-HT
Species: Hu
Applications: BA
NB110-60491
Species: Hu, Mu
Applications: ELISA, Flow, IHC, IHC-Fr,  IHC-P, IP, KO, Simple Western, WB
NB300-949
Species: Hu, Mu
Applications: IHC,  IHC-P, PEP-ELISA, WB
AF2685
Species: Hu
Applications: IHC, Simple Western, WB
NBP2-15971
Species: Hu, Mu, Rt
Applications: ICC/IF, IHC,  IHC-P, KO, WB
NBP2-02300
Species: Hu, Mu, Rt
Applications: Flow, IHC,  IHC-P, WB
NBP1-89102
Species: Hu
Applications: ICC/IF, IHC,  IHC-P, WB
DYC1825-2
Species: Hu, Mu, Rt
Applications: ELISA
AF231
Species: Hu
Applications: CyTOF-ready, Dual ISH-IHC, ELISA(Cap), ELISA(Det), ELISA(Sta), Flow, ICC, IHC, IP, Simple Western, WB
NBP2-02609
Species: Ca, Hu, Pm, Mu, Pm, Rt
Applications: Flow, ICC/IF, IHC,  IHC-P, WB
AF887
Species: Hu, Mu, Rt
Applications: CyTOF-ready, IHC, ICFlow, Simple Western, WB
NBP1-86072
Species: Hu, Mu, Rt
Applications: ICC/IF, IHC,  IHC-P, WB
NB120-13253
Species: Bv, Hu, Pm, Mu, Rt
Applications: ICC/IF, IHC-FrFl, IHC,  IHC-P, IP, WB
AF8480
Species: Hu
Applications: ICC, Simple Western, WB
NB300-500
Species: Am, Bv, Ca, Dr, Hu, Mu, Po, Rt, Sh
Applications: IHC, IHC-Fr,  IHC-P, WB
236-EG
Species: Hu
Applications: BA
NBP2-53381
Species: Hu, Mu, Rt
Applications: Flow, ICC/IF, IHC, IHC-Fr, WB
NB100-1607
Species: Hu, Mu, Rt
Applications: ICC/IF, IHC, IP, WB
NBP2-66813
Species: Hu
Applications: WB, Flow, ICC/IF, IHC

Publications for Dynamin 2 Antibody (NBP2-66813) (0)

There are no publications for Dynamin 2 Antibody (NBP2-66813).
By submitting your publication information earn gift cards and discounts for future purchases.

Reviews for Dynamin 2 Antibody (NBP2-66813) (0)

There are no reviews for Dynamin 2 Antibody (NBP2-66813). By submitting a review you will receive an Amazon e-Gift Card or Novus Product Discount.
  • Review with no image -- $10/€7/£6/$10 CAD/¥70 Yuan/¥1110 Yen
  • Review with an image -- $25/€18/£15/$25 CAD/¥150 Yuan/¥2500 Yen

Product General Protocols

Find general support by application which include: protocols, troubleshooting, illustrated assays, videos and webinars.

Video Protocols

WB Video Protocol
ICC/IF Video Protocol

FAQs for Dynamin 2 Antibody (NBP2-66813) (0)

There are no specific FAQs related to this product. Read our general customer & technical service FAQs.

Secondary Antibodies

 

Isotype Controls

Additional Dynamin 2 Products

Research Areas for Dynamin 2 Antibody (NBP2-66813)

Find related products by research area.

Blogs on Dynamin 2.

EEA1 Antibodies in Endosomal Transport and Signalling Studies
EEA1, or Early Endosome Antigen 1, is a phospholipid-binding protein essential for endosomal membrane trafficking and fusion, and is a useful endosomal marker. We at Novus Biologicals have an extensive EEA1 antibody catalog, with antibodies that have ...  Read full blog post.

Contact Information

Product PDFs

Calculators

Concentration Calculator

The concentration calculator allows you to quickly calculate the volume, mass or concentration of your vial. Simply enter your mass, volume, or concentration values for your reagent and the calculator will determine the rest.

=
÷

Review this Product

Be the first to review our Dynamin 2 Antibody (JM61-38) and receive a gift card or discount.

Bioinformatics

Gene Symbol DNM2