Dopamine beta-Hydroxylase Antibody (DBH/7224) - Azide and BSA Free

Images

 
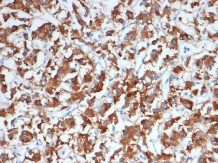
Formalin-fixed, paraffin-embedded human adrenal gland stained with Dopamine beta-Hydroxylase Antibody (DBH/7224) - Azide and BSA Free. HIER: Tris/EDTA, pH9.0, 45min. 2°C: HRP-polymer, 30min. DAB, 5min.

Product Details

Summary
Reactivity HuSpecies Glossary
Applications IHC
Clone
DBH/7224
Clonality
Monoclonal
Host
Mouse
Conjugate
Unconjugated
Format
Azide and BSA Free
Concentration
1 mg/ml

Order Details

Dopamine beta-Hydroxylase Antibody (DBH/7224) - Azide and BSA Free Summary

Description
Antibody without azide - store at -20 to -80C. Non-hazardous. No MSDS required.
Immunogen
Recombinant fragment (around aa200-400) of human Dopamine beta-Hydroxylase protein (exact sequence is proprietary)
Localization
Cytoplasm
Isotype
IgG2 Kappa
Clonality
Monoclonal
Host
Mouse
Gene
DBH
Purity
Protein A or G purified
Innovator's Reward
Test in a species/application not listed above to receive a full credit towards a future purchase.

Applications/Dilutions

Dilutions
  • Immunohistochemistry-Paraffin 1-2ug/ml for 30 minutes at RT
Application Notes
Immunohistochemistry-Paraffin 1-2ug/ml for 30 minutes at RT. Optimal dilution for a specific application should be determined.. Staining of formalin-fixed tissues requires heating tissue sections in 10mM Tris with 1mM EDTA, pH 9.0, for 45 min at 95C followed by cooling at RT for 20 minutes

Packaging, Storage & Formulations

Storage
Store at -20 to -80C. Avoid freeze-thaw cycles.
Buffer
10mM PBS
Preservative
No Preservative
Concentration
1 mg/ml
Purity
Protein A or G purified

Alternate Names for Dopamine beta-Hydroxylase Antibody (DBH/7224) - Azide and BSA Free

  • DBH
  • DBM
  • dopamine beta-hydroxylase (dopamine beta-monooxygenase)
  • Dopamine betaHydroxylase
  • Dopamine beta-Hydroxylase
  • Dopamine beta-monooxygenase
  • DOPBHY
  • EC 1.14.17.1

Background

Dopamine beta-hydroxylase belongs to the copper type II, ascorbate-dependent monooxygenase family and catalyzes the oxidative hydroxylation of dopamine to noradrenaline. It is almost exclusively located in the adrenal medulla and the synaptic vesicles of postganglionic sympathetic neurons being expressed in noradrenergic and adrenergic neurons. DBH serves as a marker of noradrenergic cells.

Limitations

This product is for research use only and is not approved for use in humans or in clinical diagnosis. Primary Antibodies are guaranteed for 1 year from date of receipt.

Customers Who Viewed This Item Also Viewed...

NB300-109
Species: Ch, Dr, Hu, I, Ma, Mu, Rt
Applications: Dual ISH-IHC, ICC/IF, IHC-FrFl, IHC-WhMt, IHC, IHC-Fr,  IHC-P, KO, Simple Western, WB
NBP2-00688
Species: Ca, Hu, Pm, Mu, Rt
Applications: ICC/IF, IHC,  IHC-P, WB
NBP1-46535
Species: Hu, Mu, Rb, Rt, Xp
Applications: ICC/IF, IHC-FrFl, IHC, IHC-Fr,  IHC-P, WB
NBP1-59580
Species: Hu, Rt
Applications: WB
NB100-1780
Species: Hu, Mu
Applications: Flow, PEP-ELISA, WB
DY4517-05
Species: Mu
Applications: ELISA
NBP2-46349
Species: Hu
Applications: IHC,  IHC-P, WB
NBP1-30052
Species: Ch, Gp, Hu, Mu, Pm, Rt
Applications: ICC/IF, IHC-FrFl, IHC-WhMt, IHC, IHC-Fr,  IHC-P, WB
MAB4375
Species: Hu, Mu, Rt
Applications: IHC
AF3398
Species: Hu, Mu, Rt
Applications: ICC, KO, Simple Western, WB
NB100-1533
Species: Hu, Mu, Po, Rt, Sh
Applications: Flow, ICC/IF, IHC,  IHC-P, PEP-ELISA, WB
NB100-1519
Species: Hu, Mu, Rt
Applications: Flow, ICC/IF, IHC-FrFl, PEP-ELISA, WB
NB120-14817
Species: Hu, Rt
Applications: ICC/IF, IHC, S-ELISA, WB
NBP1-86616
Species: Hu
Applications: IHC,  IHC-P, WB
NBP2-58917
Species: Hu
Applications: IHC,  IHC-P, WB
NBP3-26921
Species: Hu
Applications: IHC

Publications for Dopamine beta-Hydroxylase Antibody (NBP3-26921) (0)

There are no publications for Dopamine beta-Hydroxylase Antibody (NBP3-26921).
By submitting your publication information earn gift cards and discounts for future purchases.

Reviews for Dopamine beta-Hydroxylase Antibody (NBP3-26921) (0)

There are no reviews for Dopamine beta-Hydroxylase Antibody (NBP3-26921). By submitting a review you will receive an Amazon e-Gift Card or Novus Product Discount.
  • Review with no image -- $10/€7/£6/$10 CAD/¥70 Yuan/¥1110 Yen
  • Review with an image -- $25/€18/£15/$25 CAD/¥150 Yuan/¥2500 Yen

Product General Protocols

Find general support by application which include: protocols, troubleshooting, illustrated assays, videos and webinars.

FAQs for Dopamine beta-Hydroxylase Antibody (NBP3-26921) (0)

There are no specific FAQs related to this product. Read our general customer & technical service FAQs.

Secondary Antibodies

 

Isotype Controls

Additional Dopamine beta-Hydroxylase Products

Research Areas for Dopamine beta-Hydroxylase Antibody (NBP3-26921)

Find related products by research area.

Blogs on Dopamine beta-Hydroxylase

There are no specific blogs for Dopamine beta-Hydroxylase, but you can read our latest blog posts.

Customers Who Bought This Also Bought

Contact Information

Product PDFs

Calculators

Concentration Calculator

The concentration calculator allows you to quickly calculate the volume, mass or concentration of your vial. Simply enter your mass, volume, or concentration values for your reagent and the calculator will determine the rest.

=
÷

Review this Product

Be the first to review our Dopamine beta-Hydroxylase Antibody (DBH/7224) - Azide and BSA Free and receive a gift card or discount.

Bioinformatics

Gene Symbol DBH