DNAJC15 Antibody (SY26-04)

Images

 
Western Blot: DNAJC15 Antibody (SY26-04) [NBP2-67439] - Western blot analysis of DNAJC15 on mouse heart tissue lysates. Proteins were transferred to a PVDF membrane and blocked with 5% BSA in PBS for 1 hour at room ...read more
Immunohistochemistry-Paraffin: DNAJC15 Antibody (SY26-04) [NBP2-67439] - Analysis of paraffin-embedded mouse testis tissue using anti-DNAJC15 antibody. Counter stained with hematoxylin.
Western Blot: DNAJC15 Antibody (SY26-04) [NBP2-67439] - Analysis of DNAJC15 on human liver lysates using anti-DNAJC15 antibody at 1/1,000 dilution.
Immunohistochemistry-Paraffin: DNAJC15 Antibody (SY26-04) [NBP2-67439] - Analysis of paraffin-embedded human kidney tissue using anti-DNAJC15 antibody. Counter stained with hematoxylin.
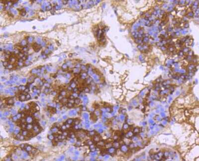
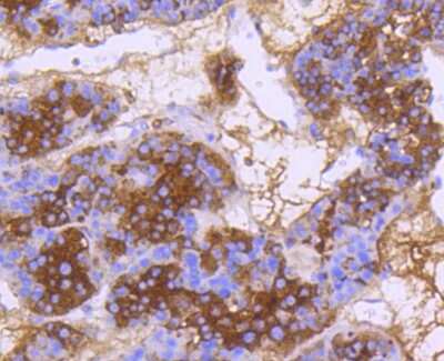
Immunohistochemistry-Paraffin: DNAJC15 Antibody (SY26-04) [NBP2-67439] - Analysis of paraffin-embedded human liver cancer tissue using anti-DNAJC15 antibody. Counter stained with hematoxylin.
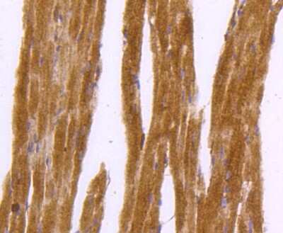
Immunohistochemistry-Paraffin: DNAJC15 Antibody (SY26-04) [NBP2-67439] - Analysis of paraffin-embedded mouse heart tissue using anti-DNAJC15 antibody. Counter stained with hematoxylin.
Immunohistochemistry-Paraffin: DNAJC15 Antibody (SY26-04) [NBP2-67439] - Analysis of paraffin-embedded mouse kidney tissue using anti-DNAJC15 antibody. Counter stained with hematoxylin.

Product Details

Summary
Product Discontinued
View other related DNAJC15 Primary Antibodies

Order Details


    • Catalog Number
      NBP2-67439
    • Availability
      Product Discontinued

    Can't find what you are looking for? Use our Antibody Concierge Service & we will help you locate your antibody!

    Or feel free to contact us for alternative products.

DNAJC15 Antibody (SY26-04) Summary

Additional Information
Recombinant Monoclonal Antibody.
Immunogen
Recombinant protein within Human DNAJC15 aa 10-150 / 150. (SwissProt: Q9Y5T4 Human; SwissProt: Q78YY6 Mouse; Entrez Gene:290370 Rat)
Localization
Mitochondrion inner membrane.
Isotype
IgG
Clonality
Monoclonal
Host
Rabbit
Gene
DNAJC15
Purity
Protein A purified
Innovator's Reward
Test in a species/application not listed above to receive a full credit towards a future purchase.

Applications/Dilutions

Dilutions
  • Immunohistochemistry
  • Immunohistochemistry-Paraffin 1:50-1:200
  • Western Blot 1:500-1:2000

Packaging, Storage & Formulations

Storage
Store at 4C short term. Aliquot and store at -20C long term. Avoid freeze-thaw cycles.
Buffer
TBS (pH7.4), 0.05% BSA, 40% Glycerol
Preservative
0.05% Sodium Azide
Concentration
1 mg/ml
Purity
Protein A purified

Alternate Names for DNAJC15 Antibody (SY26-04)

  • Cell growth-inhibiting gene 22 protein
  • DnaJ (Hsp40) homolog, subfamily C, member 15
  • DnaJ (Hsp40) homolog, subfamily D, member 1
  • DNAJ domain-containing
  • dnaJ homolog subfamily C member 15
  • DNAJD1
  • MCJHSD18
  • Methylation-controlled J protein

Background

DNAJD1( AAH10910, 1 a.a. - 151 a.a.) full-length recombinant protein with GST.

Limitations

This product is for research use only and is not approved for use in humans or in clinical diagnosis. Primary Antibodies are guaranteed for 1 year from date of receipt.

Customers Who Viewed This Item Also Viewed...

H00010049-M01
Species: Hu
Applications: ELISA, ICC/IF (-), IHC, WB
NBP2-02996
Species: Ca, Hu, Pm, Mu, Rt
Applications: Flow, ICC/IF, IHC,  IHC-P, WB
NBP2-67667
Species: Hu, Mu, Rt
Applications: ICC/IF, IHC, IHC-Fr,  IHC-P, WB
NBP2-29429
Species: Bv, Ca, Ch, Hu, Pm, Mu, Rb, Rt, Re, Ze
Applications: COMET, CyTOF-reported, Dual ISH-IHC, Flow-IC, Flow, ICC/IF, IHC, IHC-Fr,  IHC-P, mIF, Single-Cell Western, WB
NBP2-67471
Species: Hu, Mu, Rt
Applications: ICC/IF, IHC,  IHC-P, WB
NBP2-16020
Species: Hu, Rt
Applications: ICC/IF, IHC,  IHC-P, WB
AF4569
Species: Hu, Mu, Rt
Applications: ICC, IP, WB
DTSP10
Species: Hu
Applications: ELISA
AF1056
Species: Rt
Applications: IHC, WB
NBP2-38234
Species: Hu
Applications: IHC,  IHC-P
NBP2-03644
Species: Hu, Mu, Rt
Applications: Flow, ICC/IF, IHC,  IHC-P, WB
NBP2-33742
Species: Hu
Applications: ICC/IF, IHC,  IHC-P, Simple Western
NB100-56098
Species: Ca, Hu, Mu, Rt
Applications: IHC,  IHC-P, IP, WB
AF800
Species: Hu, Mu
Applications: IP, Simple Western, WB
NBP1-85002
Species: Hu
Applications: IHC,  IHC-P, WB
NBP1-87528
Species: Hu
Applications: ICC/IF, IHC,  IHC-P
NB100-56519
Species: Bv, Hu, Mu, Po, Rt, Sh
Applications: ChIP, CyTOF-ready, Flow-IC, Flow, ICC/IF, IHC-FrFl, IHC, IHC-Fr,  IHC-P, IP, KD, Simple Western, WB
AF2685
Species: Hu
Applications: IHC, Simple Western, WB
NBP2-03433
Species: Ca, Hu, Mu, Rt
Applications: Flow, ICC/IF, IHC,  IHC-P, WB
NBP2-67439
Species: Hu, Mu, Rt
Applications: WB, IHC

Publications for DNAJC15 Antibody (NBP2-67439) (0)

There are no publications for DNAJC15 Antibody (NBP2-67439).
By submitting your publication information earn gift cards and discounts for future purchases.

Reviews for DNAJC15 Antibody (NBP2-67439) (0)

There are no reviews for DNAJC15 Antibody (NBP2-67439). By submitting a review you will receive an Amazon e-Gift Card or Novus Product Discount.
  • Review with no image -- $10/€7/£6/$10 CAD/¥70 Yuan/¥1110 Yen
  • Review with an image -- $25/€18/£15/$25 CAD/¥150 Yuan/¥2500 Yen

Product General Protocols

Find general support by application which include: protocols, troubleshooting, illustrated assays, videos and webinars.

Video Protocols

WB Video Protocol

FAQs for DNAJC15 Antibody (NBP2-67439) (0)

There are no specific FAQs related to this product. Read our general customer & technical service FAQs.

Secondary Antibodies

 

Isotype Controls

Additional DNAJC15 Products

Research Areas for DNAJC15 Antibody (NBP2-67439)

Find related products by research area.

Blogs on DNAJC15

There are no specific blogs for DNAJC15, but you can read our latest blog posts.

Contact Information

Product PDFs

Calculators

Concentration Calculator

The concentration calculator allows you to quickly calculate the volume, mass or concentration of your vial. Simply enter your mass, volume, or concentration values for your reagent and the calculator will determine the rest.

=
÷

Review this Product

Be the first to review our DNAJC15 Antibody (SY26-04) and receive a gift card or discount.

Bioinformatics

Gene Symbol DNAJC15