DLC1/DLEC1 Antibody - BSA Free

Images

 
Western Blot: DLC1/DLEC1 Antibody - BSA Free [NBP3-48007] - Human testis tissue were subjected to SDS PAGE followed by western blot with (DLC1/DLEC1 antibody) at dilution of 1:300
Immunoprecipitation: DLC1/DLEC1 Antibody - BSA Free [NBP3-48007] - IP Result of anti-DLC1/DLEC1 (IP:, 4ug; Detection: 1:300) with PC-3 cells lysate 1100ug.
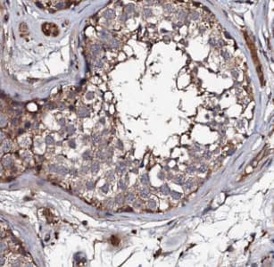
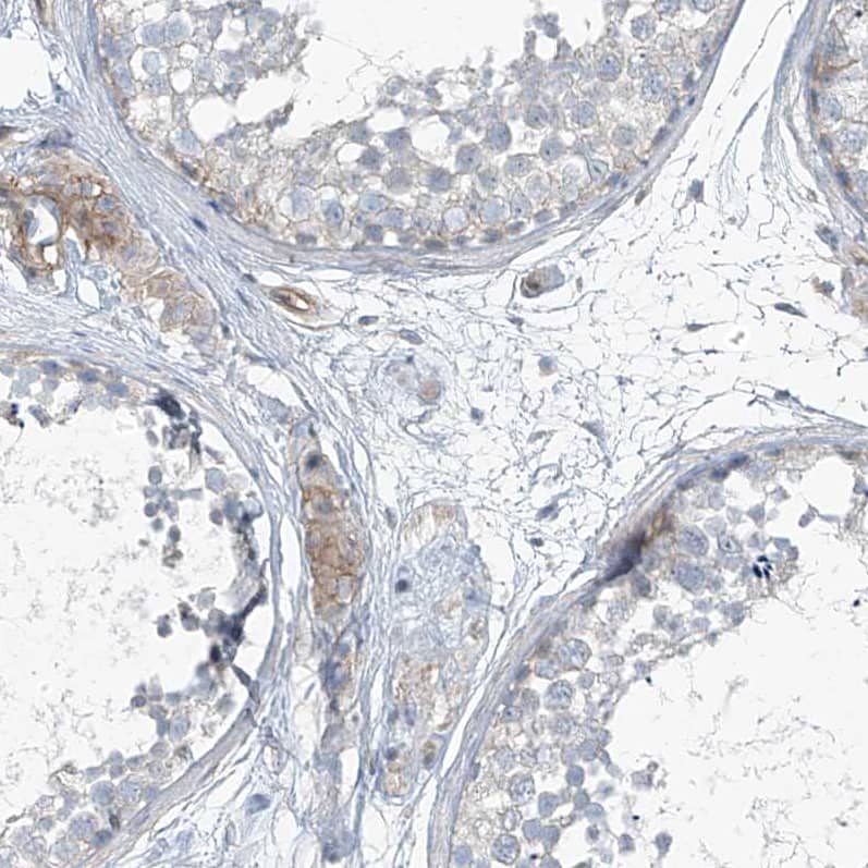
Immunohistochemistry: DLC1/DLEC1 Antibody - BSA Free [NBP3-48007] - Immunohistochemistry of paraffin-embedded human testis using (DLC1/DLEC1 antibody) at dilution of 1:50

Product Details

Summary
Reactivity Hu, MuSpecies Glossary
Applications WB, ELISA, ICC/IF, IHC, IP
Clonality
Polyclonal
Host
Rabbit
Conjugate
Unconjugated
Format
BSA Free

Order Details

DLC1/DLEC1 Antibody - BSA Free Summary

Description
Novus Biologicals Rabbit DLC1/DLEC1 Antibody - BSA Free (NBP3-48007) is a polyclonal antibody validated for use in IHC, WB, ELISA, ICC/IF and IP. All Novus Biologicals antibodies are covered by our 100% guarantee.
Immunogen
deleted in lung and esophageal cancer 1. (Uniprot# Q9Y238)
Isotype
IgG
Clonality
Polyclonal
Host
Rabbit
Gene
DLEC1
Purity
Immunogen affinity purified
Innovator's Reward
Test in a species/application not listed above to receive a full credit towards a future purchase.

Applications/Dilutions

Dilutions
  • ELISA
  • Immunocytochemistry/ Immunofluorescence 1:20-1:200
  • Immunohistochemistry 1:20-1:200
  • Immunoprecipitation 1:200-1:1000
  • Western Blot 1:500-1:2000
Application Notes
Theoretical Molecular Weight is 80-90 kDa, 46 kDa

Packaging, Storage & Formulations

Storage
Store at -20C. Avoid freeze-thaw cycles.
Buffer
PBS, 50% Glycerol, pH (7.3)
Preservative
0.02% Sodium Azide
Purity
Immunogen affinity purified

Alternate Names for DLC1/DLEC1 Antibody - BSA Free

  • DLC1
  • DLEC1 deleted in lung and esophageal cancer 1
  • DLEC1
  • F56

Limitations

This product is for research use only and is not approved for use in humans or in clinical diagnosis. Primary Antibodies are guaranteed for 1 year from date of receipt.

Customers Who Viewed This Item Also Viewed...

NBP1-85724
Species: Hu, Mu, Rt
Applications: ICC/IF, IHC,  IHC-P, WB
NB100-91273
Species: Hu, Mu, Pm, Rt
Applications: ICC/IF, IHC,  IHC-P, WB
NB200-106
Species: Mu, Rt
Applications: ELISA, ICC/IF, IHC, IHC-Fr,  IHC-P, WB
NBP1-58359
Species: Hu
Applications: IHC,  IHC-P, WB
NBP2-92136
Species: Hu, Mu, Rt
Applications: ICC/IF, WB
NBP2-25160
Species: Bv, Ca, Eq, Hu, Mu, Po, Rt
Applications: ICC/IF, IHC, WB
NBP2-67895
Species: Hu, Mu, Rt
Applications: Flow, IHC,  IHC-P, IP, WB
NBP2-02450
Species: Hu
Applications: ICC/IF, IHC,  IHC-P, WB
352-MS
Species: Hu
Applications: BA
NBP1-92025
Species: Hu, Mu, Rt
Applications: ICC/IF, IHC,  IHC-P, WB
H00084000-Q01
Species: Hu
Applications: ELISA, AP, PA, PAGE, WB
NBP2-67327
Species: Hu, Mu, Rt
Applications: Flow, ICC/IF, IHC,  IHC-P, IP, WB
NBP2-03644
Species: Hu, Mu, Rt
Applications: Flow, ICC/IF, IHC,  IHC-P, WB
NBP2-29463
Species: Pm, Hu, Pm, Mu
Applications: Flow, ICC/IF, IHC,  IHC-P, WB
NBP1-90698
Species: Hu
Applications: IHC,  IHC-P
AF2685
Species: Hu
Applications: IHC, Simple Western, WB
NBP2-67796
Species: Hu, Mu, Rt
Applications: ICC/IF, IHC,  IHC-P, IP, WB
NBP1-32914
Species: Hu, Mu
Applications: ICC/IF, IHC, WB
NBP3-48007
Species: Hu, Mu
Applications: WB, ELISA, ICC/IF, IHC, IP

Publications for DLC1/DLEC1 Antibody (NBP3-48007) (0)

There are no publications for DLC1/DLEC1 Antibody (NBP3-48007).
By submitting your publication information earn gift cards and discounts for future purchases.

Reviews for DLC1/DLEC1 Antibody (NBP3-48007) (0)

There are no reviews for DLC1/DLEC1 Antibody (NBP3-48007). By submitting a review you will receive an Amazon e-Gift Card or Novus Product Discount.
  • Review with no image -- $10/€7/£6/$10 CAD/¥70 Yuan/¥1110 Yen
  • Review with an image -- $25/€18/£15/$25 CAD/¥150 Yuan/¥2500 Yen

Product General Protocols

Find general support by application which include: protocols, troubleshooting, illustrated assays, videos and webinars.

Video Protocols

WB Video Protocol
ICC/IF Video Protocol

FAQs for DLC1/DLEC1 Antibody (NBP3-48007) (0)

There are no specific FAQs related to this product. Read our general customer & technical service FAQs.

Customers Who Bought This Also Bought

Contact Information

Product PDFs

Calculators

Concentration Calculator

The concentration calculator allows you to quickly calculate the volume, mass or concentration of your vial. Simply enter your mass, volume, or concentration values for your reagent and the calculator will determine the rest.

=
÷

Review this Product

Be the first to review our DLC1/DLEC1 Antibody - BSA Free and receive a gift card or discount.

Bioinformatics

Gene Symbol DLEC1