Desmoglein-3 Antibody (5G11) - Azide and BSA Free

Images

 
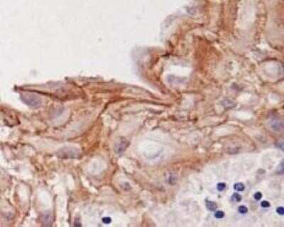
Immunocytochemistry: Desmoglein-3 Antibody (5G11) - Azide and BSA Free [NBP2-80694] - Analysis of Desmoglein-3 on human skin cancer. NB100-1643 was used at a dilution of 1:200. Image from the standard format of this ...read more
Flow Cytometry: Desmoglein-3 Antibody (5G11) - Azide and BSA Free [NBP2-80694] - Intracellular flow cytometric staining of 1 x 10^6 CHO (A) and HEK-293 (B) cells using Desmoglein-3 antibody (dark blue). Isotype control ...read more
Immunocytochemistry/ Immunofluorescence: Desmoglein-3 Antibody (5G11) - Azide and BSA Free [NBP2-80694] - Analysis of Desmoglein-3 in A-431 cells. Image from the standard format of this antibody.

Product Details

Summary
Reactivity HuSpecies Glossary
Applications WB, DB, Flow, ICC/IF, IHC, IP, CyTOF-ready
Clone
5G11
Clonality
Monoclonal
Host
Mouse
Conjugate
Unconjugated
Format
Azide and BSA Free
Concentration
1 mg/ml

Order Details

Desmoglein-3 Antibody (5G11) - Azide and BSA Free Summary

Description
Novus Biologicals Mouse Desmoglein-3 Antibody (5G11) - Azide and BSA Free (NB100-1643) is a monoclonal antibody validated for use in IHC, WB, Flow, ICC/IF and IP. All Novus Biologicals antibodies are covered by our 100% guarantee.
Immunogen
Human Desmoglein 3 recombinant protein [UniProt# P32926]
Localization
Cell membrane; Single-pass type I membrane protein. Cell junction > desmosome
Isotype
IgG1
Clonality
Monoclonal
Host
Mouse
Gene
DSG3
Purity
Protein G purified
Innovator's Reward
Test in a species/application not listed above to receive a full credit towards a future purchase.

Applications/Dilutions

Dilutions
  • CyTOF-ready
  • Dot Blot reported in scientific literature (PMID 15588331)
  • Flow Cytometry 1 ug per million cells
  • Immunocytochemistry/ Immunofluorescence 1:100
  • Immunohistochemistry 1:200
  • Immunohistochemistry-Paraffin 1:200
  • Immunoprecipitation 1:10 - 1:500
  • Western Blot 1:500 - 1:1000

Packaging, Storage & Formulations

Storage
Store at 4C short term. Aliquot and store at -20C long term. Avoid freeze-thaw cycles.
Buffer
PBS
Preservative
No Preservative
Concentration
1 mg/ml
Purity
Protein G purified

Alternate Names for Desmoglein-3 Antibody (5G11) - Azide and BSA Free

  • Cadherin family member 6
  • CDHF6
  • CDHF6130-kD pemphigus vulgaris antigen
  • desmoglein 3 (pemphigus vulgaris antigen)
  • desmoglein 3
  • Desmoglein3
  • Desmoglein-3
  • DKFZp686P23184,130 kDa pemphigus vulgaris antigen
  • DSG3
  • pemphigus vulgaris antigen
  • PVA

Background

Desmoglein 3 (Dsg3) is a member of sub-family the desmoglein (DSGs) and it mainly serves as adhesion component of intercellular desmosome junctions. DSGs serve essential part of the core complex of desmosomes, and together with desmocollin (DSCs), they represents transmembrane proteins which mediate adhesion by transinteracting with cadherins of the opposing cell. Homophilic (e.g., DSG3-DSG3) as well as heterophilic (e.g., DSC3-DSG1) transinteraction have been reported for these proteins and within the desmosome, DSGs/DSCs are anchored to the intracellular plaque proteins plakoglobin, plakophilins, and desmoplakin, the latter of which mediates connection to the intermediate filament cytoskeleton. Desmoglein 3 is predominately expressed in stratified squamous epithelia including epidermis, tongue, tonsil, esophagus and carcinomas. Desmoglein 3 has been characterized as an auto-antigen of pemphigus vulgaris (PV), a life-threatening autoimmune disease, wherein the binding of anti-desmoglein 3 autoantibodies causes the loss of cell-cell adhesion, which clinically manifests as blisters on the skin and oral mucosa, and histologically as suprabasilar acantholysis.

Limitations

This product is for research use only and is not approved for use in humans or in clinical diagnosis. Primary Antibodies are guaranteed for 1 year from date of receipt.

Customers Who Viewed This Item Also Viewed...

AF944
Species: Hu
Applications: IHC, WB
MAB7265
Species: Mu
Applications: IHC, WB
AF947
Species: Hu
Applications: Simple Western, WB
NBP2-48836
Species: Ca, Hu
Applications: ICC/IF, IHC,  IHC-P
AF748
Species: Hu, Mu
Applications: CyTOF-ready, Dual ISH-IHC, Flow, ICC, IHC, Simple Western, WB
MAB1455
Species: Hu
Applications: CyTOF-ready, Dual ISH-IHC, ICC, IHC, ICFlow, Simple Western, WB
AF7490
Species: Mu
Applications: IHC
NBP2-13795
Species: Hu
Applications: IHC,  IHC-P
NBP1-89946
Species: Hu
Applications: ICC/IF, IHC,  IHC-P
6507-IL/CF
Species: Hu
Applications: BA
NBP1-88099
Species: Hu
Applications: IHC,  IHC-P, Simple Western, WB
NBP1-91800
Species: Hu
Applications: IHC,  IHC-P, WB
NBP2-34270
Species: Hu, Mu, Rt
Applications: Flow, ICC/IF, IHC, IHC-Fr,  IHC-P, Simple Western
NB200-540
Species: Ec, Mu
Applications: CyTOF-ready, Flow-IC, Flow, IA, ICC/IF, IHC, IHC-Fr,  IHC-P, IP
NBP2-92546
Species: Hu, Mu
Applications: ELISA, ICC/IF, IHC, WB
NBP2-43666
Species: Hu, Rt
Applications: ICC/IF, IHC,  IHC-P, WB
AF960
Species: Hu
Applications: CyTOF-ready, Flow, ICC, IHC, Simple Western, WB
NBP2-80694
Species: Hu
Applications: WB, DB, Flow, ICC/IF, IHC, IP, CyTOF-ready

Publications for Desmoglein-3 Antibody (NBP2-80694) (0)

There are no publications for Desmoglein-3 Antibody (NBP2-80694).
By submitting your publication information earn gift cards and discounts for future purchases.

Reviews for Desmoglein-3 Antibody (NBP2-80694) (0)

There are no reviews for Desmoglein-3 Antibody (NBP2-80694). By submitting a review you will receive an Amazon e-Gift Card or Novus Product Discount.
  • Review with no image -- $10/€7/£6/$10 CAD/¥70 Yuan/¥1110 Yen
  • Review with an image -- $25/€18/£15/$25 CAD/¥150 Yuan/¥2500 Yen

Product General Protocols

Video Protocols

WB Video Protocol
ICC/IF Video Protocol

FAQs for Desmoglein-3 Antibody (NBP2-80694) (0)

There are no specific FAQs related to this product. Read our general customer & technical service FAQs.

Secondary Antibodies

 

Isotype Controls

Additional Desmoglein-3 Products

Research Areas for Desmoglein-3 Antibody (NBP2-80694)

Find related products by research area.

Blogs on Desmoglein-3.

Epithelial-Mesenchymal Transition (EMT) Markers
Epithelial-Mesenchymal Transition (EMT) is the trans-differentiation of stationary epithelial cells into motile mesenchymal cells. During EMT, epithelial cells lose their junctions and apical-basal polarity, reorganize their cytoskeleton, undergo a...  Read full blog post.

Customers Who Bought This Also Bought

Contact Information

Product PDFs

Calculators

Concentration Calculator

The concentration calculator allows you to quickly calculate the volume, mass or concentration of your vial. Simply enter your mass, volume, or concentration values for your reagent and the calculator will determine the rest.

=
÷

Review this Product

Be the first to review our Desmoglein-3 Antibody (5G11) - Azide and BSA Free and receive a gift card or discount.

Bioinformatics

Gene Symbol DSG3