Cytokeratin 8 Antibody (RM266)

Images

 
Western Blot: Cytokeratin 8 Antibody (RM266) [NBP2-61526] - Western Blot of HeLa cells lysates using NBP2-61526.
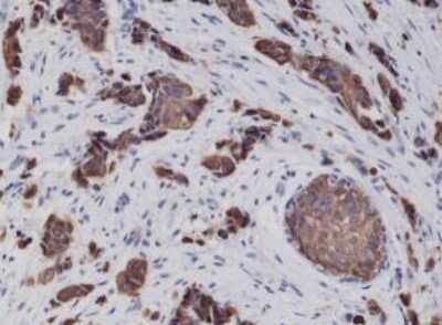
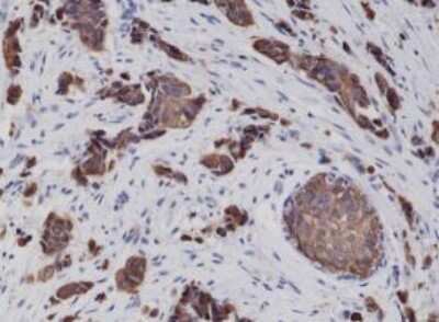
Immunohistochemistry-Paraffin: Cytokeratin 8 Antibody (RM266) [NBP2-61526] - Immunohistochemical staining of formalin fixed and paraffin embedded Human breast cancer tissue sections using NBP2-61526.

Product Details

Summary
Product Discontinued
View other related Cytokeratin 8 Primary Antibodies

Order Details


    • Catalog Number
      NBP2-61526
    • Availability
      Product Discontinued

    Can't find what you are looking for? Use our Antibody Concierge Service & we will help you locate your antibody!

    Or feel free to contact us for alternative products.

Cytokeratin 8 Antibody (RM266) Summary

Additional Information
Recombinant Monoclonal Antibody.
Immunogen
A peptide corresponding to the C-terminus of Human Cytokeratin 8
Isotype
IgG
Clonality
Monoclonal
Host
Rabbit
Gene
KRT8
Purity
Protein A purified
Innovator's Reward
Test in a species/application not listed above to receive a full credit towards a future purchase.

Applications/Dilutions

Dilutions
  • Immunohistochemistry 1:1000-1:2000
  • Immunohistochemistry-Paraffin 1:1000-1:2000
  • Western Blot 1:1000-1:2000

Packaging, Storage & Formulations

Storage
Store at -20C. Avoid freeze-thaw cycles.
Buffer
50% Glycerol/PBS with 1% BSA
Preservative
0.09% Sodium Azide
Purity
Protein A purified

Alternate Names for Cytokeratin 8 Antibody (RM266)

  • CARD2
  • CK8
  • CK-8
  • CYK8
  • Cytokeratin 8
  • Cytokeratin-8
  • EndoA
  • K2C8
  • K8
  • keratin 8
  • keratin, type II cytoskeletal 8
  • keratin-8
  • KO
  • KRT8
  • Type-II keratin Kb8

Background

Cytokeratins are a subfamily of intermediate filaments and characterized by remarkable biochemical diversity. Cytokeratins are represented in epithelial tissues by at least 20 different polypeptides, molecular weight between 40 kDa and 68 kDa. The individual cytokeratin polypeptides are designated 1 to 20 and divided into the type I (acidic cytokeratins 9-20) and type II (basic to neutral cytokeratins 1-8) families.

Limitations

This product is for research use only and is not approved for use in humans or in clinical diagnosis. Primary Antibodies are guaranteed for 1 year from date of receipt.

Customers Who Viewed This Item Also Viewed...

MAB7619
Species: Hu
Applications: ICC, IHC, Simple Western, WB
NB100-687
Species: Hu, Mu, Rt
Applications: Flow, ICC/IF, IHC,  IHC-P, Simple Western, WB
NB300-223
Species: Bv, Ca, Ch, Eq, Hu, Mu, Po, Rt
Applications: ICC/IF, IHC, IHC-Fr,  IHC-P, WB
NBP2-47940
Species: Hu
Applications: CyTOF-ready, Flow, ICC/IF, IF, IHC,  IHC-P, Simple Western, WB
NBP2-34270
Species: Hu, Mu, Rt
Applications: Flow, ICC/IF, IHC, IHC-Fr,  IHC-P, Simple Western
NBP2-61931
Species: Hu, Rt
Applications: Flow, ICC/IF, IHC,  IHC-P, WB
NBP1-85632
Species: Hu
Applications: ICC/IF, IHC,  IHC-P
NBP1-85630
Species: Hu
Applications: IHC,  IHC-P, WB
NBP2-67309
Species: Hu, Rt
Applications: Flow, ICC/IF, IHC,  IHC-P, IP, WB
NBP2-61736
Species: Hu, Pm, Mu, Rt
Applications: ELISA, Flow, IHC,  IHC-P, WB
NBP3-15261
Species: Hu, Mu, Rt
Applications: ICC/IF, IHC,  IHC-P, WB
AF3844
Species: Hu, Mu
Applications: IHC
NBP2-29429
Species: Bv, Ca, Ch, Hu, Pm, Mu, Rb, Rt, Re, Ze
Applications: COMET, CyTOF-reported, Dual ISH-IHC, Flow-IC, Flow, ICC/IF, IHC, IHC-Fr,  IHC-P, mIF, Single-Cell Western, WB
MAB1455
Species: Hu
Applications: CyTOF-ready, Dual ISH-IHC, ICC, IHC, ICFlow, Simple Western, WB
NB120-22711
Species: Hu, Mu
Applications: ELISA, Flow, ICC/IF, IHC, IHC-Fr,  IHC-P
MAB1368
Species: Hu, Mu
Applications: CyTOF-ready, ICC, ICFlow, KO, Simple Western, WB
NB200-103
Species: Hu, Mu, Rt, Xp(-), Ye
Applications: CyTOF-ready, ELISA, Flow-IC, Flow, ICC/IF, IHC, IHC-Fr,  IHC-P, IP, WB
NBP2-61526
Species: Hu
Applications: WB, IHC

Publications for Cytokeratin 8 Antibody (NBP2-61526) (0)

There are no publications for Cytokeratin 8 Antibody (NBP2-61526).
By submitting your publication information earn gift cards and discounts for future purchases.

Reviews for Cytokeratin 8 Antibody (NBP2-61526) (0)

There are no reviews for Cytokeratin 8 Antibody (NBP2-61526). By submitting a review you will receive an Amazon e-Gift Card or Novus Product Discount.
  • Review with no image -- $10/€7/£6/$10 CAD/¥70 Yuan/¥1110 Yen
  • Review with an image -- $25/€18/£15/$25 CAD/¥150 Yuan/¥2500 Yen

Product General Protocols

Find general support by application which include: protocols, troubleshooting, illustrated assays, videos and webinars.

Video Protocols

WB Video Protocol

FAQs for Cytokeratin 8 Antibody (NBP2-61526) (0)

There are no specific FAQs related to this product. Read our general customer & technical service FAQs.

Secondary Antibodies

 

Isotype Controls

Additional Cytokeratin 8 Products

Research Areas for Cytokeratin 8 Antibody (NBP2-61526)

Find related products by research area.

Blogs on Cytokeratin 8.

Cytokeratin 18 - A Intermediate Filament Cyotskeletal Component
Keratins, also called cytokeratins, are a family of filamentous structural proteins that form the intermediate filaments within epithelial cells. Keratins are differentially expressed depending on both the epithelial cell origin and degree of differen...  Read full blog post.

Contact Information

Product PDFs

Calculators

Concentration Calculator

The concentration calculator allows you to quickly calculate the volume, mass or concentration of your vial. Simply enter your mass, volume, or concentration values for your reagent and the calculator will determine the rest.

=
÷

Review this Product

Be the first to review our Cytokeratin 8 Antibody (RM266) and receive a gift card or discount.

Bioinformatics

Gene Symbol KRT8