Cytokeratin 19 Antibody (rKRT19/9108) - Azide and BSA Free

Images

 
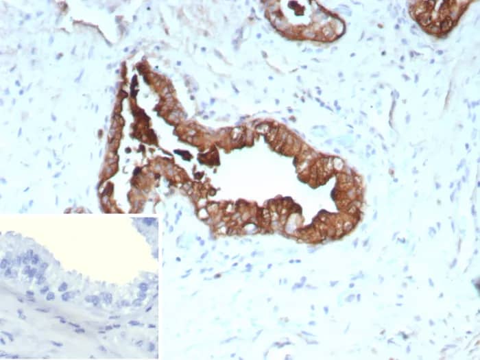
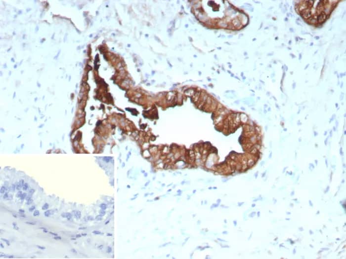
Immunohistochemistry-Paraffin: Cytokeratin 19 Antibody (rKRT19/9108) - Azide and BSA Free [NBP3-24053] - Formalin-fixed, paraffin-embedded human prostate cancer stained with Cytokeratin 19 Antibody (rKRT19/9108). HIER: ...read more

Product Details

Summary
Reactivity HuSpecies Glossary
Applications IHC
Clone
rKRT19/9108
Clonality
Monoclonal
Host
Mouse
Conjugate
Unconjugated
Format
Azide and BSA Free
Concentration
1 mg/ml

Order Details

Cytokeratin 19 Antibody (rKRT19/9108) - Azide and BSA Free Summary

Description
Antibody without azide - store at -20 to -80C.
Additional Information
Recombinant Monoclonal Antibody
Immunogen
Recombinant full-length human Cytokeratin 19 protein.
Localization
Cytoplasm
Marker
Pancreatic Stem Cell Marker
Specificity
Anti-CK19 reacts with a wide variety of epithelial malignancies including adenocarcinomas of the colon, stomach, pancreas, biliary tract, liver, and breast. Perhaps the most useful application is the identification of thyroid carcinoma of the papillary type, although 50%-60% of follicular carcinomas are also labeled. Anti-CK19 is a useful marker for detection of tumor cells in lymph nodes, peripheral blood, bone marrow and breast cancer.
Isotype
IgG2b Kappa
Clonality
Monoclonal
Host
Mouse
Gene
KRT19
Purity
Protein A or G purified
Innovator's Reward
Test in a species/application not listed above to receive a full credit towards a future purchase.

Applications/Dilutions

Dilutions
  • Immunohistochemistry-Paraffin 1-2ug/ml
Application Notes
Immunohistochemistry-Paraffin: 1-2ug/ml for 30 minutes at RT. Staining of formalin-fixed tissues requires heating tissue sections in 10mM Tris with 1mM EDTA, pH 9.0, for 45 min at 95C followed by cooling at RT for 20 minutes. Optimal dilution for a specific application should be determined.

Packaging, Storage & Formulations

Storage
Store at -20 to -80C. Avoid freeze-thaw cycles.
Buffer
10mM PBS
Preservative
No Preservative
Concentration
1 mg/ml
Purity
Protein A or G purified

Alternate Names for Cytokeratin 19 Antibody (rKRT19/9108) - Azide and BSA Free

  • 40-kDa keratin intermediate filament
  • CK19
  • CK-19
  • Cytokeratin 19
  • EndoC
  • K19
  • K1CS
  • keratin 19
  • keratin, type I cytoskeletal 19
  • keratin, type I, 40-kd
  • keratin-19
  • Krt19
  • MGC15366

Background

Cytokeratin 19 (also known as Keratin, type I cytoskeletal 19) belongs to the keratin family which consists of fibrous proteins that make up the framework of epithelial cells. Cytokeratin 19 plays a role in the organization of myofibers. This protein is known to have interactions with ZNF638, FANCG, FAM107A, KRT15 and EXOC8. Cytokeratin 19 has been studied in relation to several disorders and diseases including chordoma, adenoma, hamartoma, adenoiditis, carcinoma, and liver disease.

Limitations

This product is for research use only and is not approved for use in humans or in clinical diagnosis. Primary Antibodies are guaranteed for 1 year from date of receipt.

Customers Who Viewed This Item Also Viewed...

NBP2-47940
Species: Hu
Applications: CyTOF-ready, Flow, ICC/IF, IF, IHC,  IHC-P, Simple Western, WB
NBP2-34594
Species: Hu, Pm
Applications: CyTOF-ready, Flow, ICC/IF, IHC,  IHC-P
AF4478
Species: Hu
Applications: IHC, WB
NBP3-41306
Species: Hu, Mu, Rt
Applications: WB
NBP2-67309
Species: Hu, Rt
Applications: Flow, ICC/IF, IHC,  IHC-P, IP, WB
NBP2-16094
Species: Hu, Mu, Ze
Applications: ICC/IF, IHC-WhMt, IHC,  IHC-P, KO, WB
MAB1368
Species: Hu, Mu
Applications: CyTOF-ready, ICC, ICFlow, KO, Simple Western, WB
NBP2-34270
Species: Hu, Mu, Rt
Applications: Flow, ICC/IF, IHC, IHC-Fr,  IHC-P, Simple Western
NB300-223
Species: Bv, Ca, Ch, Eq, Hu, Mu, Po, Rt
Applications: ICC/IF, IHC, IHC-Fr,  IHC-P, WB
NBP1-85632
Species: Hu
Applications: ICC/IF, IHC,  IHC-P
NBP1-85630
Species: Hu
Applications: IHC,  IHC-P, WB
NB120-22711
Species: Hu, Mu
Applications: ELISA, Flow, ICC/IF, IHC, IHC-Fr,  IHC-P
MAB7619
Species: Hu
Applications: ICC, IHC, Simple Western, WB
MAB1455
Species: Hu
Applications: CyTOF-ready, Dual ISH-IHC, ICC, IHC, ICFlow, Simple Western, WB
NB110-58870
Species: Hu, Mu, Rt
Applications: ICC/IF, IHC, KD, Simple Western, WB
NBP2-61736
Species: Hu, Pm, Mu, Rt
Applications: ELISA, Flow, IHC,  IHC-P, WB
1129-ER
Species: Hu
Applications: BA
AF7355
Species: Hu
Applications: ICC, Simple Western, WB

Publications for Cytokeratin 19 Antibody (NBP3-24053) (0)

There are no publications for Cytokeratin 19 Antibody (NBP3-24053).
By submitting your publication information earn gift cards and discounts for future purchases.

Reviews for Cytokeratin 19 Antibody (NBP3-24053) (0)

There are no reviews for Cytokeratin 19 Antibody (NBP3-24053). By submitting a review you will receive an Amazon e-Gift Card or Novus Product Discount.
  • Review with no image -- $10/€7/£6/$10 CAD/¥70 Yuan/¥1110 Yen
  • Review with an image -- $25/€18/£15/$25 CAD/¥150 Yuan/¥2500 Yen

Product General Protocols

Find general support by application which include: protocols, troubleshooting, illustrated assays, videos and webinars.

FAQs for Cytokeratin 19 Antibody (NBP3-24053) (0)

There are no specific FAQs related to this product. Read our general customer & technical service FAQs.

Secondary Antibodies

 

Isotype Controls

Additional Cytokeratin 19 Products

Research Areas for Cytokeratin 19 Antibody (NBP3-24053)

Find related products by research area.

Blogs on Cytokeratin 19

There are no specific blogs for Cytokeratin 19, but you can read our latest blog posts.

Customers Who Bought This Also Bought

Contact Information

Product PDFs

Calculators

Concentration Calculator

The concentration calculator allows you to quickly calculate the volume, mass or concentration of your vial. Simply enter your mass, volume, or concentration values for your reagent and the calculator will determine the rest.

=
÷

Review this Product

Be the first to review our Cytokeratin 19 Antibody (rKRT19/9108) - Azide and BSA Free and receive a gift card or discount.

Bioinformatics

Gene Symbol KRT19