Cytokeratin 10/13 Antibody (DE-K13)

Images

 
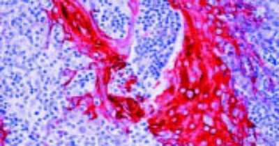
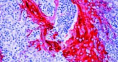
Immunohistochemistry: Cytokeratin 10/13 Antibody (DE-K13) [NBP1-22538] - IHC analysis of Cytokeratin 10/13 formalin-fixed paraffin embedded human tonsil using NBP1-22538.

Product Details

Summary
Product Discontinued
View other related Cytokeratin 10/13 Primary Antibodies

Order Details


    • Catalog Number
      NBP1-22538
    • Availability
      Product Discontinued

    Can't find what you are looking for? Use our Antibody Concierge Service & we will help you locate your antibody!

    Or feel free to contact us for alternative products.

Cytokeratin 10/13 Antibody (DE-K13) Summary

Immunogen
BALB/C mice were immunized with detergent insoluble extract of human epidermis.
Localization
Cytoplasmic
Specificity
This antibody recognizes keratin polypeptides of 53 and 56.5KD. It stains suprabasal cells in the epidermis, thymic Hassal's bodies, urothelium and non-cornifying stratified epithelia of vagina, ectocervix, tongue and esophagus. This does not stain intraepithelial neoplasm and invasive squamous cell carcinoma.
Isotype
IgG2a Kappa
Clonality
Monoclonal
Host
Mouse
Gene
KRT10
Purity
Tissue culture supernatant
Innovator's Reward
Test in a species/application not listed above to receive a full credit towards a future purchase.

Applications/Dilutions

Dilutions
  • Immunohistochemistry

Reactivity Notes

Human.

Packaging, Storage & Formulations

Storage
Store at 4C. Do not freeze.
Buffer
Tissue culture supernatant
Preservative
0.09% Sodium Azide
Purity
Tissue culture supernatant

Alternate Names for Cytokeratin 10/13 Antibody (DE-K13)

  • BCIE
  • BIE
  • CK10
  • CK-10
  • cytokeratin 10
  • Cytokeratin-10
  • EHK
  • K10keratosis palmaris et plantaris
  • keratin 10
  • keratin, type I cytoskeletal 10
  • keratin-10
  • KPP

Background

Cytokeratins (CK) are intermediate filaments of epithelial cells, both in keratinizing tissue (ie., skin) and non-keratinizing cells (ie. mesothelial cells). Although not a traditional marker for endothelial cells, cytokeratins have also been found in some microvascular endothelial cells. At least 20 different cytokeratins (CK) in the molecular range of 40-70 kDa and isoelectric points of 5-8.5 can be identified using two dimensional gel electrophoresis. Biochemically, most members of the CK family fall into one of two classes, type I (acidic polypeptides) and type II (basic polypeptides). At least one member of the acidic family and one member of the basic family is expressed in all epithelial cells. Monoclonal antibodies to cytokeratin proteins can be useful markers for tumor identification and classification.

Limitations

This product is for research use only and is not approved for use in humans or in clinical diagnosis. Primary Antibodies are guaranteed for 1 year from date of receipt.

Customers Who Viewed This Item Also Viewed...

NBP2-29429
Species: Bv, Ca, Ch, Hu, Pm, Mu, Rb, Rt, Re, Ze
Applications: CyTOF-reported, Dual ISH-IHC, Flow-IC, Flow, ICC/IF, IHC, IHC-Fr,  IHC-P, Single-Cell Western, WB
NBP2-34270
Species: Hu, Mu, Rt
Applications: Flow, ICC/IF, IHC, IHC-Fr,  IHC-P, Simple Western
NBP2-33742
Species: Hu
Applications: ICC/IF, IHC,  IHC-P, Simple Western
NB100-687
Species: Hu, Mu, Rt
Applications: Flow, ICC/IF, IHC,  IHC-P, Simple Western, WB
NBP2-67559
Species: Hu
Applications: Flow, ICC/IF, IHC,  IHC-P, WB
NBP2-61931
Species: Hu, Rt
Applications: Flow, ICC/IF, IHC,  IHC-P, WB
NBP1-87528
Species: Hu
Applications: ICC/IF, IHC,  IHC-P
NBP3-15261
Species: Hu, Mu, Rt
Applications: ICC/IF, IHC,  IHC-P, WB
NBP2-16094
Species: Hu, Mu, Ze
Applications: ICC/IF, IHC-WhMt, IHC,  IHC-P, KO, WB
NBP2-29421
Species: Bv, Gt, Hu, Po, Rt
Applications: Flow, ICC/IF, IHC, IHC-Fr,  IHC-P, WB
NB500-106
Species: Ch, Dr, Fi, Hu, Mar, Mu, Po, Pm, Rb, Rt, Ye, Ze
Applications: ChIP, ChIP, ELISA, Flow, ICC/IF, IHC-FrFl, IHC, IHC-Fr,  IHC-P, IP, Simple Western, WB
NBP1-85630
Species: Hu
Applications: IHC,  IHC-P, WB
NBP1-85632
Species: Hu
Applications: ICC/IF, IHC,  IHC-P
NBP2-47940
Species: Hu
Applications: CyTOF-ready, Flow, ICC/IF, IF, IHC,  IHC-P, Simple Western, WB
NBP1-81572
Species: Hu, Mu, Rt
Applications: ICC/IF, IHC,  IHC-P, WB
NB300-223
Species: Bv, Ca, Ch, Eq, Hu, Mu, Po, Rt
Applications: ICC/IF, IHC, IHC-Fr,  IHC-P, WB
NBP3-13937
Species: Hu
Applications: ELISA, Flow, ICC/IF,  IHC-P, IP, PA, WB
NBP1-22538
Species: Hu
Applications: IHC

Publications for Cytokeratin 10/13 Antibody (NBP1-22538) (0)

There are no publications for Cytokeratin 10/13 Antibody (NBP1-22538).
By submitting your publication information earn gift cards and discounts for future purchases.

Reviews for Cytokeratin 10/13 Antibody (NBP1-22538) (0)

There are no reviews for Cytokeratin 10/13 Antibody (NBP1-22538). By submitting a review you will receive an Amazon e-Gift Card or Novus Product Discount.
  • Review with no image -- $10/€7/£6/$10 CAD/¥70 Yuan/¥1110 Yen
  • Review with an image -- $25/€18/£15/$25 CAD/¥150 Yuan/¥2500 Yen

FAQs for Cytokeratin 10/13 Antibody (NBP1-22538) (0)

There are no specific FAQs related to this product. Read our general customer & technical service FAQs.

Secondary Antibodies

 

Isotype Controls

Additional Cytokeratin 10/13 Products

Array NBP1-22538

Research Areas for Cytokeratin 10/13 Antibody (NBP1-22538)

Find related products by research area.

Blogs on Cytokeratin 10/13

There are no specific blogs for Cytokeratin 10/13, but you can read our latest blog posts.

Contact Information

Product PDFs

Calculators

Concentration Calculator

The concentration calculator allows you to quickly calculate the volume, mass or concentration of your vial. Simply enter your mass, volume, or concentration values for your reagent and the calculator will determine the rest.

=
÷

Review this Product

Be the first to review our Cytokeratin 10/13 Antibody (DE-K13) and receive a gift card or discount.

Bioinformatics

Gene Symbol KRT10