Cytochrome P450 4A Antibody - BSA Free

Images

 
Western Blot. Cytochrome P450 4A Antibody [NBP2-16081] - Effect of fisetin on lipid formation and the expression of lipid metabolism-related protein in the liver of mice chronically fed ethanol for 4 weeks. Image ...read more
Immunocytochemistry/ Immunofluorescence: Cytochrome P450 4A Antibody [NBP2-16081] - Analysis of methanol-fixed HeLa, using antibody at 1:200 dilution.
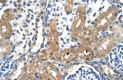
Immunohistochemistry-Paraffin: Cytochrome P450 4A Antibody [NBP2-16081] - Human hepatoma, using CYP4A11 antibody antibody at 1:500 dilution. Antigen Retrieval: Trilogy™ (EDTA based, pH 8.0) buffer, 15min
Western Blot: Cytochrome P450 4A Antibody [NBP2-16081] - Sample (30 ug of whole cell lysate) A: Hela 10% SDS PAGE gel, diluted at 1:1000.

Product Details

Summary
Reactivity Hu, MuSpecies Glossary
Applications WB, ICC/IF, IHC
Clonality
Polyclonal
Host
Rabbit
Conjugate
Unconjugated
Format
BSA Free

Order Details

Cytochrome P450 4A Antibody - BSA Free Summary

Description
Novus Biologicals Rabbit Cytochrome P450 4A Antibody - BSA Free (NBP2-16081) is a polyclonal antibody validated for use in IHC, WB and ICC/IF. Anti-Cytochrome P450 4A Antibody: Cited in 1 publication. All Novus Biologicals antibodies are covered by our 100% guarantee.
Immunogen
Recombinant protein encompassing a sequence within the center region of human Cytochrome P450 4A. The exact sequence is proprietary.
Localization
Endoplasmic reticulum membrane; Microsome membrane
Isotype
IgG
Clonality
Polyclonal
Host
Rabbit
Gene
CYP4A11
Purity
Antigen Affinity-purified
Innovator's Reward
Test in a species/application not listed above to receive a full credit towards a future purchase.

Applications/Dilutions

Dilutions
  • Immunocytochemistry/ Immunofluorescence 1:100-1:1000
  • Immunohistochemistry 1:100-1:1000
  • Immunohistochemistry-Paraffin 1:100-1:1000
  • Western Blot 1:500-1:3000
Theoretical MW
59 kDa.
Disclaimer note: The observed molecular weight of the protein may vary from the listed predicted molecular weight due to post translational modifications, post translation cleavages, relative charges, and other experimental factors.
Reviewed Applications
Read 1 Review rated 4
using
NBP2-16081 in the following applications:

Publications
Read Publication using
NBP2-16081 in the following applications:

  • WB
    1 publication

Reactivity Notes

Immunogen displays the following percentage of sequence identity for non-tested species: Canine (88%), Bovine (83%). Mouse reactivity reported from a verified customer review.

Packaging, Storage & Formulations

Storage
Aliquot and store at -20C or -80C. Avoid freeze-thaw cycles.
Buffer
0.1M Tris, 0.1M Glycine, 20% Glycerol
Preservative
0.01% Thimerosal
Purity
Antigen Affinity-purified

Alternate Names for Cytochrome P450 4A Antibody - BSA Free

  • 20-HETE synthase
  • CP4Y
  • CYP4A2
  • cytochrome P450 4A11
  • cytochrome P450, family 4, subfamily A, polypeptide 11
  • cytochrome P450, subfamily IVA, polypeptide 11
  • cytochrome P-450HK-omega
  • cytochrome P450HL-omega
  • fatty acid omega-hydroxylase
  • lauric acid omega-hydroxylase
  • P450HL-omega

Background

This gene encodes a member of the cytochrome P450 superfamily of enzymes. The cytochrome P450 proteins are monooxygenases which catalyze many reactions involved in drug metabolism and synthesis of cholesterol, steroids and other lipids. This protein localizes to the endoplasmic reticulum and hydroxylates medium-chain fatty acids such as laurate and myristate. [provided by RefSeq]

Limitations

This product is for research use only and is not approved for use in humans or in clinical diagnosis. Primary Antibodies are guaranteed for 1 year from date of receipt.

Customers Who Viewed This Item Also Viewed...

NBP1-85367
Species: Hu, Mu, Rt
Applications: ICC/IF, IHC,  IHC-P, WB
NB300-537
Species: Bv, Hu, Mu, Rb, Rt
Applications: ChIP, Flow, GS, ICC/IF, IHC,  IHC-P, IP, KD, Simple Western, WB
NBP2-37502
Species: Hu
Applications: CyTOF-ready, ELISA, Flow, ICC/IF, IHC,  IHC-P, WB
NBP2-01397
Species: Hu
Applications: Flow, ICC/IF, IHC,  IHC-P, WB
NBP3-10546
Species: Hu
Applications: WB
NBP2-01800
Species: Ca, Hu, Pm, Mu, Rt
Applications: Flow, ICC/IF, IHC,  IHC-P, WB
NBP1-86461
Species: Hu
Applications: IHC,  IHC-P, WB
NBP2-02563
Species: Hu
Applications: Flow, ICC/IF, IHC,  IHC-P, WB
NB100-74398
Species: Hu, Mu, Pm, Rt
Applications: ICC/IF, IHC,  IHC-P, WB
NBP1-91818
Species: Hu
Applications: IHC,  IHC-P, WB
NBP1-69678
Species: Hu
Applications: IHC,  IHC-P, WB
NBP2-01437
Species: Hu, Pm, Mu, Pm, Rt
Applications: Flow, IHC,  IHC-P, WB
NBP1-88054
Species: Hu
Applications: IHC,  IHC-P, WB
NBP2-92808
Species: Hu, Mu, Rt
Applications: WB
NBP1-80495
Species: Hu
Applications: IHC,  IHC-P, WB
NBP1-68885
Species: Hu
Applications: IHC, WB
⚠ WARNING: This product can expose you to chemicals including mercury, which is known to the State of California to cause reproductive toxicity with developmental effects.  For more information go to www.P65Warnings.ca.gov.

Publications for Cytochrome P450 4A Antibody (NBP2-16081)(1)

We have publications tested in 1 confirmed species: Mouse.

We have publications tested in 1 application: WB.


Filter By Application
WB
(1)
All Applications
Filter By Species
Mouse
(1)
All Species

Review for Cytochrome P450 4A Antibody (NBP2-16081) (1) 41

Average Rating: 4
(Based on 1 review)
We have 1 review tested in 1 species: Mouse.

Reviews using NBP2-16081:
Filter by Applications
WB
(1)
All Applications
Filter by Species
Mouse
(1)
All Species
Images Ratings Applications Species Date Details
Western Blot Cytochrome P450 4A NBP2-16081
Enlarge
4
reviewed by:
Wenliang Zhang
WB Mouse 09/20/2017
View

Summary

ApplicationWestern Blot
Sample TestedLiver
SpeciesMouse
Lot40184

Product General Protocols

Find general support by application which include: protocols, troubleshooting, illustrated assays, videos and webinars.

Video Protocols

WB Video Protocol
ICC/IF Video Protocol

FAQs for Cytochrome P450 4A Antibody (NBP2-16081) (0)

There are no specific FAQs related to this product. Read our general customer & technical service FAQs.

Secondary Antibodies

 

Isotype Controls

Additional Cytochrome P450 4A Products

Research Areas for Cytochrome P450 4A Antibody (NBP2-16081)

Find related products by research area.

Blogs on Cytochrome P450 4A

There are no specific blogs for Cytochrome P450 4A, but you can read our latest blog posts.

Customers Who Bought This Also Bought

Contact Information

Product PDFs

Calculators

Concentration Calculator

The concentration calculator allows you to quickly calculate the volume, mass or concentration of your vial. Simply enter your mass, volume, or concentration values for your reagent and the calculator will determine the rest.

=
÷

Recent Reviews

4
5
0
4
1
3
0
2
0
1
0

Wenliang Zhang
09/20/2017
Application: WB
Species: Mouse

Bioinformatics

Gene Symbol CYP4A11
Uniprot