Cytochrome P450 2C9 Antibody (CYP2C9/13121) - Azide and BSA Free

Images

 
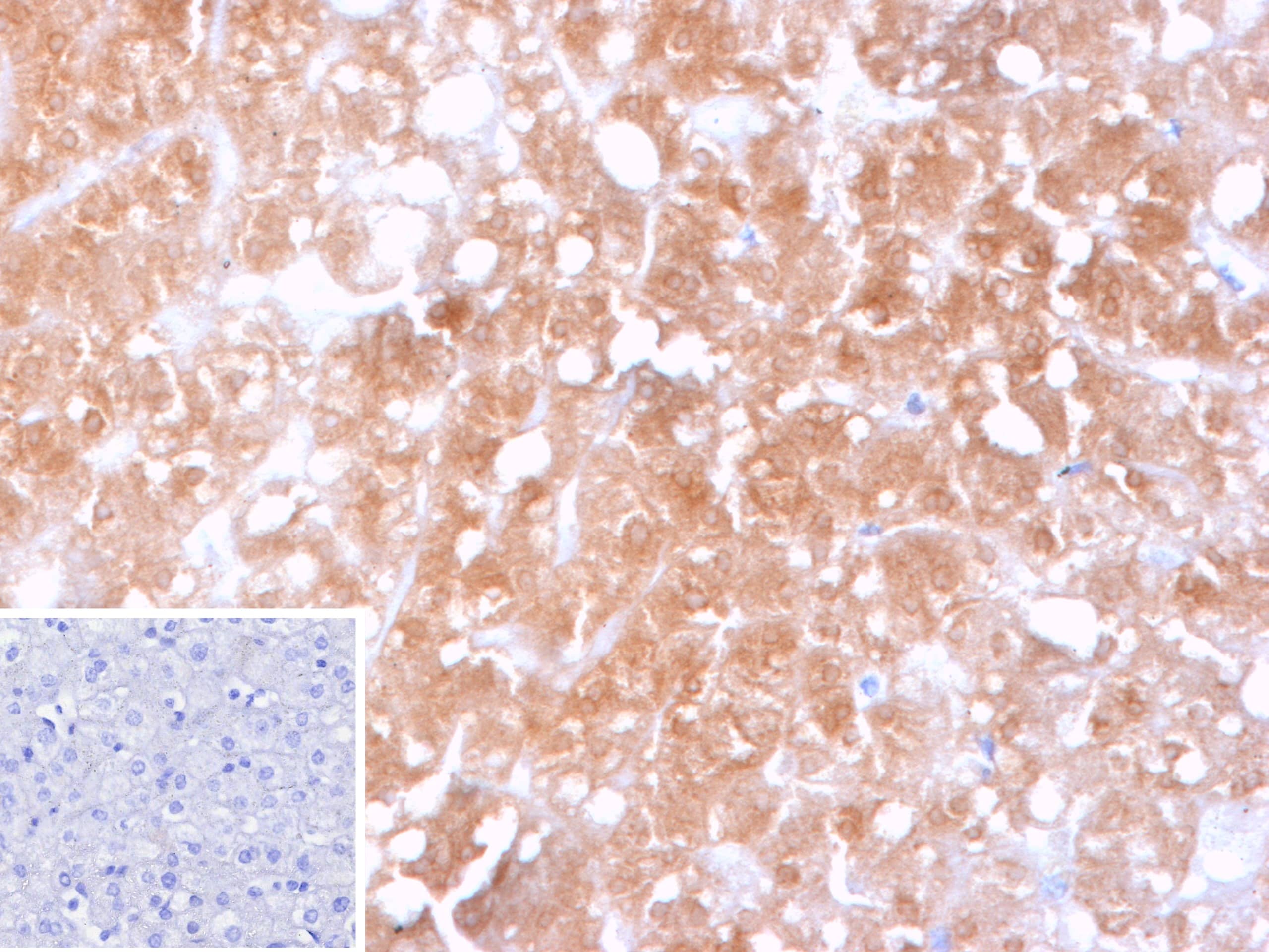
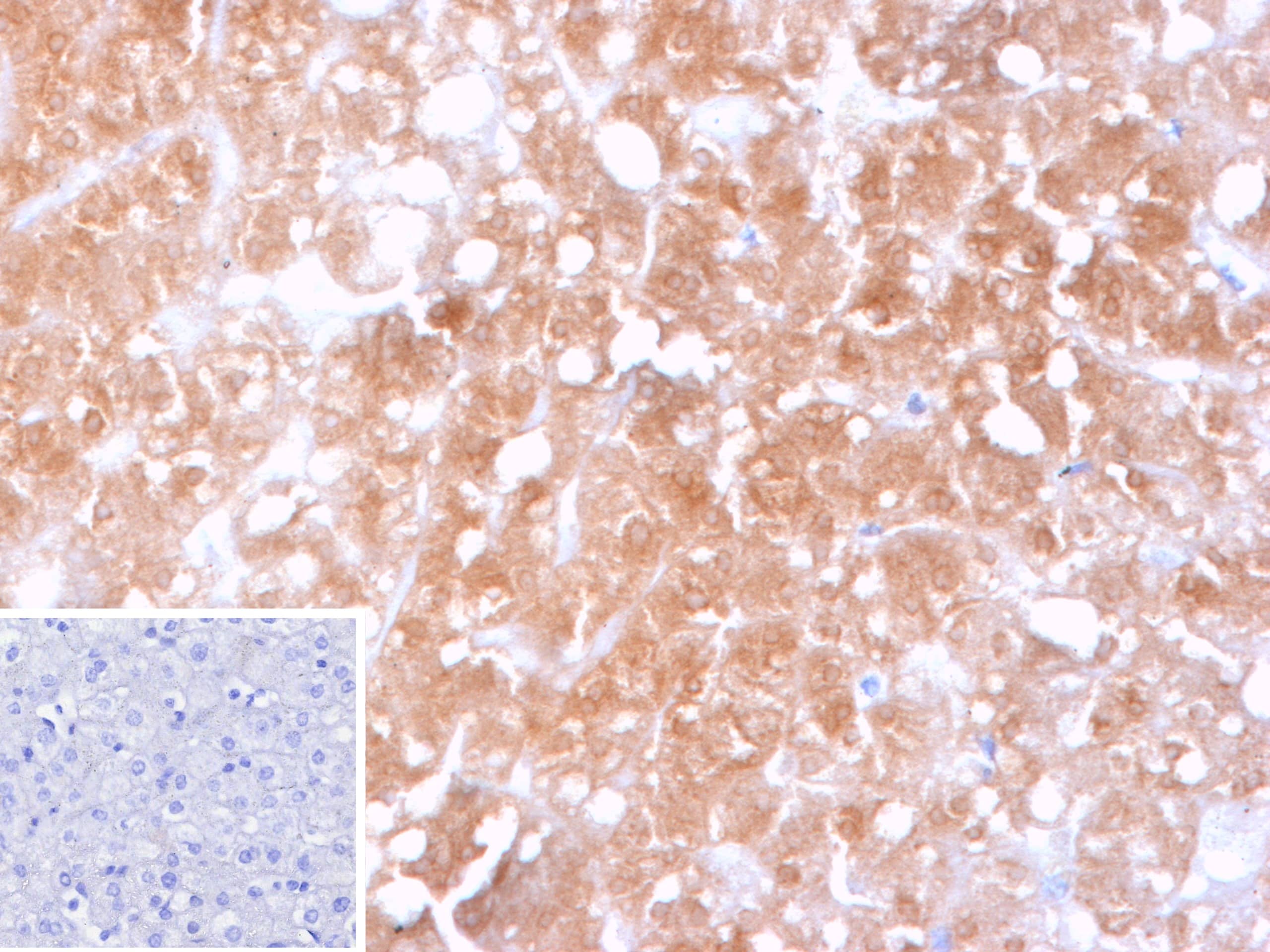
Formalin-fixed, paraffin-embedded human hepatocellular carcinoma (HCC) stained with Cytochrome P450 2C9 Antibody (CYP2C9/13121) - Azide and BSA Free. Inset: PBS instead of primary antibody; secondary only negative ...read more

Product Details

Summary
Reactivity HuSpecies Glossary
Applications IHC
Clone
CYP2C9/13121
Clonality
Monoclonal
Host
Mouse
Conjugate
Unconjugated
Format
Azide and BSA Free
Concentration
1 mg/ml

Order Details

View Available Formulations
Catalog# & Formulation Size Price

Cytochrome P450 2C9 Antibody (CYP2C9/13121) - Azide and BSA Free Summary

Description
1.0 mg/ml of antibody purified from Bioreactor Concentrate by Protein A/G. Prepared in 10mM PBS WITHOUT BSA & azide. Also available at 200 ug/ml WITH BSA & azide (NBP3-44591).

Antibody with azide - store at 2 to 8C. Antibody without azide - store at -20 to -80C. Non-hazardous. No MSDS required.
Immunogen
Recombinant fragment (around aa1-200) of human CYP2C9 protein (Uniprot: P11712). Exact sequence is proprietary.
Localization
Cytoplasm
Isotype
IgG2b Kappa
Clonality
Monoclonal
Host
Mouse
Gene
CYP2C9
Purity
Protein A purified
Innovator's Reward
Test in a species/application not listed above to receive a full credit towards a future purchase.

Applications/Dilutions

Dilutions
  • Immunohistochemistry : 1-2ug/ml
Application Notes
Immunohistochemistry: 30 min at RT. Staining of formalin-fixed tissues requires heating tissue sections in 10mM Tris with 1mM EDTA, pH 9.0, for 45 min at 95C followed by cooling at RT for 20 minutes.
Theoretical MW
49 kDa.
Disclaimer note: The observed molecular weight of the protein may vary from the listed predicted molecular weight due to post translational modifications, post translation cleavages, relative charges, and other experimental factors.

Packaging, Storage & Formulations

Storage
Store at -20 to -80C. Avoid freeze-thaw cycles.
Buffer
10 mM PBS
Preservative
No Preservative
Concentration
1 mg/ml
Purity
Protein A purified

Alternate Names for Cytochrome P450 2C9 Antibody (CYP2C9/13121) - Azide and BSA Free

  • (R)-limonene 6-monooxygenase
  • (S)-limonene 6-monooxygenase
  • (S)-limonene 7-monooxygenase
  • CPC9
  • CYP2C
  • CYP2C10
  • CYP2C9
  • CYPIIC9
  • Cytochrome P450 2C9
  • Cytochrome P450 MP-4
  • Cytochrome P450 MP-8
  • Cytochrome P450 PB-1
  • cytochrome P-450 S-mephenytoin 4-hydroxylase
  • cytochrome P450, family 2, subfamily C, polypeptide 9
  • cytochrome P450, subfamily IIC (mephenytoin 4-hydroxylase), polypeptide 9
  • Cytochrome P-450MP
  • EC 1.14.13.48
  • EC 1.14.13.49
  • EC 1.14.13.80
  • EC 1.14.14.1
  • flavoprotein-linked monooxygenase
  • MGC149605
  • MGC88320
  • microsomal monooxygenase
  • P450IIC9
  • S-mephenytoin 4-hydroxylase
  • xenobiotic monooxygenase

Background

The Cytochrome P450 2C9 gene encodes a member of the cytochrome P450 superfamily of enzymes. The cytochrome P450 proteins aremonooxygenases which catalyze many reactions involved in drug metabolism and synthesis of cholesterol, steroids andother lipids. This protein localiz

Limitations

This product is for research use only and is not approved for use in humans or in clinical diagnosis. Primary Antibodies are guaranteed for 1 year from date of receipt.

Customers Who Viewed This Item Also Viewed...

NBP2-37502
Species: Hu
Applications: CyTOF-ready, ELISA, Flow, ICC/IF, IHC,  IHC-P, WB
NBP3-10546
Species: Hu
Applications: WB
NBP1-91818
Species: Hu
Applications: IHC,  IHC-P, WB
NBP2-02563
Species: Hu
Applications: Flow, ICC/IF, IHC,  IHC-P, WB
NBP1-88054
Species: Hu
Applications: IHC,  IHC-P, WB
NBP1-85367
Species: Hu, Mu, Rt
Applications: ICC/IF, IHC,  IHC-P, WB
NBP3-12232
Species: Hu, Mu, Rt
Applications: ELISA, IHC,  IHC-P, IP, WB
NBP2-01800
Species: Ca, Hu, Pm, Mu, Rt
Applications: Flow, ICC/IF, IHC,  IHC-P, WB
NBP2-01437
Species: Hu, Pm, Mu, Pm, Rt
Applications: Flow, IHC,  IHC-P, WB
NB100-74398
Species: Hu, Mu, Pm, Rt
Applications: ICC/IF, IHC,  IHC-P, WB
NBP1-68885
Species: Hu
Applications: IHC, WB
PP-H4417-00
Species: Hu
Applications: DirELISA, IP, WB
PP-N4111-00
Species: Hu
Applications: IHC, IP, WB
NBP2-67667
Species: Hu, Mu, Rt
Applications: ICC/IF, IHC, IHC-Fr,  IHC-P, WB
NBP2-92808
Species: Hu, Mu, Rt
Applications: WB
NBP1-86461
Species: Hu
Applications: IHC,  IHC-P, WB
AF1148
Species: Hu
Applications: CyTOF-ready, Flow, Simple Western, WB
H00001556-P01
Species: Hu
Applications: ELISA, AP, PA, PAGE, WB
NBP2-24722
Species: Hu
Applications: IHC,  IHC-P, In vitro, WB
NBP3-45085
Species: Hu
Applications: IHC

Publications for Cytochrome P450 2C9 Antibody (NBP3-45085) (0)

There are no publications for Cytochrome P450 2C9 Antibody (NBP3-45085).
By submitting your publication information earn gift cards and discounts for future purchases.

Reviews for Cytochrome P450 2C9 Antibody (NBP3-45085) (0)

There are no reviews for Cytochrome P450 2C9 Antibody (NBP3-45085). By submitting a review you will receive an Amazon e-Gift Card or Novus Product Discount.
  • Review with no image -- $10/€7/£6/$10 CAD/¥70 Yuan/¥1110 Yen
  • Review with an image -- $25/€18/£15/$25 CAD/¥150 Yuan/¥2500 Yen

FAQs for Cytochrome P450 2C9 Antibody (NBP3-45085) (0)

There are no specific FAQs related to this product. Read our general customer & technical service FAQs.

Secondary Antibodies

 

Isotype Controls

Additional Cytochrome P450 2C9 Products

Research Areas for Cytochrome P450 2C9 Antibody (NBP3-45085)

Find related products by research area.

Blogs on Cytochrome P450 2C9

There are no specific blogs for Cytochrome P450 2C9, but you can read our latest blog posts.

Customers Who Bought This Also Bought

Contact Information

Product PDFs

Calculators

Concentration Calculator

The concentration calculator allows you to quickly calculate the volume, mass or concentration of your vial. Simply enter your mass, volume, or concentration values for your reagent and the calculator will determine the rest.

=
÷

Review this Product

Be the first to review our Cytochrome P450 2C9 Antibody (CYP2C9/13121) - Azide and BSA Free and receive a gift card or discount.

Bioinformatics

Gene Symbol CYP2C9