Cystatin C Antibody (JJ09-16)

Images

 
Western Blot: Cystatin C Antibody (JJ09-16) [NBP2-67898] - Analysis of Cystatin C on different lysates using anti-Cystatin C antibody at 1/1,000 dilution. Positive control: Lane 1: Hela Lane 2: Mouse spleen
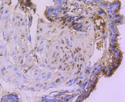
Immunohistochemistry-Paraffin: Cystatin C Antibody (JJ09-16) [NBP2-67898] - Analysis of paraffin-embedded mouse placenta tissue using anti-Cystatin C antibody. Counter stained with hematoxylin.
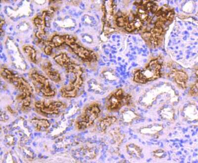
Immunohistochemistry-Paraffin: Cystatin C Antibody (JJ09-16) [NBP2-67898] - Analysis of paraffin-embedded human kidney tissue using anti-Cystatin C antibody. Counter stained with hematoxylin.
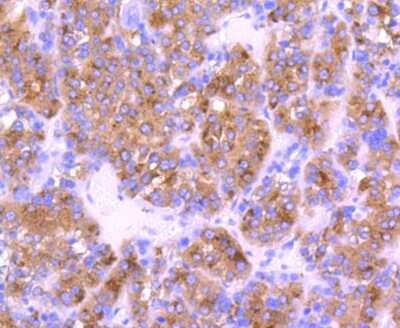
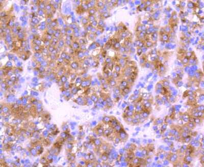
Immunohistochemistry-Paraffin: Cystatin C Antibody (JJ09-16) [NBP2-67898] - Analysis of paraffin-embedded human liver cancer tissue using anti-Cystatin C antibody. Counter stained with hematoxylin.
Immunohistochemistry-Paraffin: Cystatin C Antibody (JJ09-16) [NBP2-67898] - Analysis of paraffin-embedded mouse brain tissue using anti-Cystatin C antibody. Counter stained with hematoxylin.
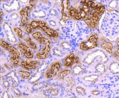
Immunohistochemistry-Paraffin: Cystatin C Antibody (JJ09-16) [NBP2-67898] - Analysis of paraffin-embedded mouse kidney tissue using anti-Cystatin C antibody. Counter stained with hematoxylin.

Product Details

Summary
Product Discontinued
View other related Cystatin C Primary Antibodies

Order Details


    • Catalog Number
      NBP2-67898
    • Availability
      Product Discontinued

    Can't find what you are looking for? Use our Antibody Concierge Service & we will help you locate your antibody!

    Or feel free to contact us for alternative products.

Cystatin C Antibody (JJ09-16) Summary

Additional Information
Recombinant Monoclonal Antibody.
Immunogen
Recombinant full length protein of Human Cystatin C aa 1-146 / 146. (SwissProt: P01034 Human; SwissProt: P21460 Mouse; SwissProt: P14841 Rat)
Localization
Secreted.
Isotype
IgG
Clonality
Monoclonal
Host
Rabbit
Gene
CST3
Purity
Protein A purified
Innovator's Reward
Test in a species/application not listed above to receive a full credit towards a future purchase.

Applications/Dilutions

Dilutions
  • Immunohistochemistry
  • Immunohistochemistry-Paraffin 1:50-1:200
  • Western Blot 1:1000-1:2000

Packaging, Storage & Formulations

Storage
Store at 4C short term. Aliquot and store at -20C long term. Avoid freeze-thaw cycles.
Buffer
TBS (pH7.4), 0.05% BSA, 40% Glycerol
Preservative
0.05% Sodium Azide
Concentration
1 mg/ml
Purity
Protein A purified

Alternate Names for Cystatin C Antibody (JJ09-16)

  • ARMD11
  • bA218C14.4 (cystatin C)
  • CST3
  • cystatin 3
  • cystatin C (amyloid angiopathy and cerebral hemorrhage)
  • Cystatin C
  • cystatin-3
  • cystatin-C
  • Gamma-trace
  • MGC117328
  • Neuroendocrine basic polypeptide
  • Post-gamma-globulin

Limitations

This product is for research use only and is not approved for use in humans or in clinical diagnosis. Primary Antibodies are guaranteed for 1 year from date of receipt.

Customers Who Viewed This Item Also Viewed...

NBP2-57362
Species: Hu
Applications: ICC/IF, WB
DY1857
Species: Mu
Applications: ELISA
MAB1455
Species: Hu
Applications: CyTOF-ready, Dual ISH-IHC, ICC, IHC, ICFlow, Simple Western, WB
DY1707
Species: Hu
Applications: ELISA
AF965
Species: Mu
Applications: IHC, Neut, WB
AF952
Species: Hu
Applications: ELISA(Cap), ELISA(Det), ELISA(Sta), IHC, IP, WB
AF1286
Species: Hu
Applications: IHC, IP, Simple Western, WB
M6000B
Species: Mu
Applications: ELISA
7954-GM/CF
Species: Hu
Applications: BA
NBP2-42388
Species: Hu
Applications: ICC/IF, IHC,  IHC-P, KD, WB
AF2009
Species: Hu
Applications: ICC, IHC
NBP1-88220
Species: Hu, Mu, Rt
Applications: ICC/IF, IHC,  IHC-P, KD, WB
NBP2-67605
Species: Hu, Pm, Mu
Applications: ICC/IF, IHC,  IHC-P, IP, ISH, WB
NBP1-83790
Species: Hu
Applications: IHC,  IHC-P, WB
MAB2772
Species: Hu, Pm
Applications: Block, CyTOF-ready, ELISA(Cap), ELISA(Det), ELISA(Sta), Flow, ICC
7625
Species: Mu
Applications: ELISA
NBP2-13075
Species: Ba, Hu, Pm, Mu, Rt
Applications: DB, ELISA, IB, ICC/IF, IHC-FrFl, IHC, IHC-Fr,  IHC-P, IP, WB
AF5739
Species: Hu, Mu, Rt
Applications: WB
NBP2-67898
Species: Hu, Mu, Rt
Applications: WB, IHC

Publications for Cystatin C Antibody (NBP2-67898) (0)

There are no publications for Cystatin C Antibody (NBP2-67898).
By submitting your publication information earn gift cards and discounts for future purchases.

Reviews for Cystatin C Antibody (NBP2-67898) (0)

There are no reviews for Cystatin C Antibody (NBP2-67898). By submitting a review you will receive an Amazon e-Gift Card or Novus Product Discount.
  • Review with no image -- $10/€7/£6/$10 CAD/¥70 Yuan/¥1110 Yen
  • Review with an image -- $25/€18/£15/$25 CAD/¥150 Yuan/¥2500 Yen

Product General Protocols

Find general support by application which include: protocols, troubleshooting, illustrated assays, videos and webinars.

Video Protocols

WB Video Protocol

FAQs for Cystatin C Antibody (NBP2-67898) (0)

There are no specific FAQs related to this product. Read our general customer & technical service FAQs.

Contact Information

Product PDFs

Calculators

Concentration Calculator

The concentration calculator allows you to quickly calculate the volume, mass or concentration of your vial. Simply enter your mass, volume, or concentration values for your reagent and the calculator will determine the rest.

=
÷

Review this Product

Be the first to review our Cystatin C Antibody (JJ09-16) and receive a gift card or discount.

Bioinformatics

Gene Symbol CST3