Cyclophilin 40 Antibody

Images

 
Western Blot: Cyclophilin 40 Antibody [NB120-3562] - Analysis of rat spleen extracts.
Immunocytochemistry/ Immunofluorescence: Cyclophilin 40 Antibody [NB120-3562] - Analysis of Cyclophilin D in HepG2 Cells. Cells were grown on chamber slides and fixed with formaldehyde prior to staining. Cells were ...read more
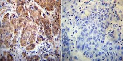
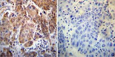
Immunohistochemistry-Paraffin: Cyclophilin 40 Antibody [NB120-3562] - Both normal and cancer biopsies of deparaffinized human Hepatocarcinoma tissue.
Immunocytochemistry/ Immunofluorescence: Cyclophilin 40 Antibody [NB120-3562] - Analysis of Cyclophilin D in A431 Cells. Cells were grown on chamber slides and fixed with formaldehyde prior to staining. Cells were ...read more
Immunohistochemistry-Paraffin: Cyclophilin 40 Antibody [NB120-3562] - Both normal and cancer biopsies of deparaffinized human Skeletal muscle tissue.

Product Details

Summary
Product Discontinued
View other related Cyclophilin 40 Primary Antibodies

Order Details


    • Catalog Number
      NB120-3562
    • Availability
      Product Discontinued

    Can't find what you are looking for? Use our Antibody Concierge Service & we will help you locate your antibody!

    Or feel free to contact us for alternative products.

Cyclophilin 40 Antibody Summary

Immunogen
Synthetic peptide corresponding to residues C A(356) Q K D K E K A V Y A K M F A(370) of human Cyp-40.
Localization
Cytoplasmic
Specificity
Detects cyclophilin 40 (CyP 40) from human and rat tissues and cells. This does not cross-react with CyPA.
Isotype
IgG
Clonality
Polyclonal
Host
Rabbit
Gene
PPID
Purity
Unpurified
Innovator's Reward
Test in a species/application not listed above to receive a full credit towards a future purchase.

Applications/Dilutions

Dilutions
  • Flow Cytometry 1:10 - 1:1000
  • Gel Super Shift Assays 1:1 - 1:100
  • Immunocytochemistry/ Immunofluorescence 1:200
  • Immunohistochemistry 1:100
  • Immunohistochemistry-Frozen 1:100
  • Immunohistochemistry-Paraffin 1:10-1:500
  • Immunoprecipitation 1:10 - 1:500
  • Simple Western
  • Western Blot 1:1000
Application Notes
WB: Detects an approx. 40 kDa protein representing CyP 40 from rat brain extract.
See Simple Western Antibody Database for Simple Western validation: Separated by Size-All; matrix was 12-180.
Control
Cyclophilin 40 Overexpression Lysate
Publications
Read Publication using
NB120-3562 in the following applications:

  • IP
    1 publication
  • WB
    1 publication

Reactivity Notes

Rat reactivity reported in scientific literature (PMID: 8662874,). Chicken (9672247). Rabbit (8662874). Primate ( 8524246). Bovine (1544925).

Packaging, Storage & Formulations

Storage
Store at -20C. Avoid freeze-thaw cycles.
Buffer
PBS with 1 mg/ml BSA
Preservative
0.05% Sodium Azide
Concentration
This product is unpurified. The exact concentration of antibody is not quantifiable.
Purity
Unpurified

Alternate Names for Cyclophilin 40 Antibody

  • 40 kDa peptidyl-prolyl cis-trans isomerase D
  • 40 kDa peptidyl-prolyl cis-trans isomerase
  • cyclophilin D
  • cyclophilin-40
  • Cyclophilin-related protein
  • CYP40
  • CYP-40cyclophilin 40
  • CYPD
  • EC 5.2.1.8
  • MGC33096
  • peptidyl-prolyl cis-trans isomerase D
  • peptidylprolyl isomerase D (cyclophilin D)
  • peptidylprolyl isomerase D
  • PPIase D
  • Rotamase D

Background

Immunophilins are a family of soluble cytosolic receptors capable of binding to one of two major immunosuppressant agents: cyclosporin A (CsA) or FK506. Proteins that bind FK506 are termed FK506 Binding Proteins (FKBPs) and those that bind cyclosporin A are called cyclophilins (CyP). Both CyP:CsA and FKBP:FK506 complexes have been shown to inhibit calcineurin, a calcium and calmodulin dependent protein phosphatase which has been implicated as an important signaling enzyme in T-cell activation, providing a possible mechanism of immunosuppression by CsA and FK506. Immunophilins function as peptidyl prolyl cis-trans-isomerases (PPIase) whose activity is inhibited by their respective immunosuppressant compounds. As PPIase's, immunophilins accelerate folding of some proteins both in vivo and in vitro by catalyzing slow steps in the initial folding and rearrangement of proline containing proteins. CyP 40, a 40 kDa protein, shares significant homology with smaller CyPA (CyP 18) and FKBP59. CyP 40 exhibits the characteristic CsA binding and isomerase activity of CyP 18, though these activities appear to be less with CyP 40 than with Cyp 18. Like FKBP59, CyP 40 has been found in progesterone receptor complexes. CyP 40 is expressed at similar levels in many tissues.

Limitations

This product is for research use only and is not approved for use in humans or in clinical diagnosis. Primary Antibodies are guaranteed for 1 year from date of receipt.

Customers Who Viewed This Item Also Viewed...

NB110-96874
Species: Ca, Ha, Hu, Mu, Rt
Applications: ICC/IF, IHC,  IHC-P, IP, WB
NB120-2928
Species: Hu, Mu, Pm, Rb, Rt, Sh
Applications: ICC/IF, IHC,  IHC-P, IP, WB
AF4094
Species: Hu, Mu, Rt
Applications: IHC, KO, Simple Western, WB
NBP1-30993
Species: Ha, Hu, Mu, Rt
Applications: ICC/IF, IHC,  IHC-P, KD, WB
H00010963-M01
Species: Hu, Mu
Applications: ELISA, ICC/IF, IHC,  IHC-P, IP, S-ELISA, WB
NBP3-35061
Species: Hu, Mu, Rt
Applications: ELISA, ICC/IF, IP, WB
NB300-576
Species: Ch, Gp, Hu, Mu, Pm, Rb, Rt, Xp
Applications: Flow, ICC/IF, IHC,  IHC-P, IP, WB
AF820
Species: Hu, Mu
Applications: ICC, IHC, KO, Simple Western, WB
NBP1-81696
Species: Hu, Mu, Rt
Applications: ICC/IF, IHC,  IHC-P, WB
NBP3-00253
Species: Hu
Applications: ELISA, IHC,  IHC-P, IP, WB
NBP2-15079
Species: Hu, Mu, Rt
Applications: ICC/IF, IHC,  IHC-P, KO, WB
MAB7475
Species: Hu, Rt
Applications: WB
H00005250-B02P
Species: Hu
Applications: ICC/IF, WB
MAB4937
Species: Hu
Applications: CyTOF-ready, ICFlow, WB
NB110-57586
Species: Bv, Ch, Hu, Mu, Pm, Rb, Rt
Applications: IHC,  IHC-P, KD, WB
NBP3-13279
Species: Hu, Mu, Rt
Applications: ICC/IF, IHC,  IHC-P, WB
NB100-56161
Species: Hu, Mu, Rt
Applications: IHC,  IHC-P, IP, WB
H00007178-M06
Species: Hu, Mu, Rt
Applications: ELISA, WB
NB100-695
Species: Fi, Hu, Mu, Rt
Applications: ELISA, IHC, KD, Simple Western, WB
NB120-3562
Species: Hu, Mu, Rt, Bv, Ch, Pm, Rb
Applications: WB, Simple Western, Flow, GS, ICC/IF, IHC, IP

Publications for Cyclophilin 40 Antibody (NB120-3562)(1)

We have publications tested in 1 confirmed species: Human.

We have publications tested in 2 applications: IP, WB.


Filter By Application
IP
(1)
WB
(1)
All Applications
Filter By Species
Human
(1)
All Species

Reviews for Cyclophilin 40 Antibody (NB120-3562) (0)

There are no reviews for Cyclophilin 40 Antibody (NB120-3562). By submitting a review you will receive an Amazon e-Gift Card or Novus Product Discount.
  • Review with no image -- $10/€7/£6/$10 CAD/¥70 Yuan/¥1110 Yen
  • Review with an image -- $25/€18/£15/$25 CAD/¥150 Yuan/¥2500 Yen

Product General Protocols

Video Protocols

WB Video Protocol
ICC/IF Video Protocol

FAQs for Cyclophilin 40 Antibody (NB120-3562) (0)

There are no specific FAQs related to this product. Read our general customer & technical service FAQs.

Control Lysate(s)

Secondary Antibodies

 

Isotype Controls

Additional Cyclophilin 40 Products

Research Areas for Cyclophilin 40 Antibody (NB120-3562)

Find related products by research area.

Blogs on Cyclophilin 40

There are no specific blogs for Cyclophilin 40, but you can read our latest blog posts.

Contact Information

Product PDFs

Calculators

Concentration Calculator

The concentration calculator allows you to quickly calculate the volume, mass or concentration of your vial. Simply enter your mass, volume, or concentration values for your reagent and the calculator will determine the rest.

=
÷

Review this Product

Be the first to review our Cyclophilin 40 Antibody and receive a gift card or discount.

Bioinformatics

Gene Symbol PPID
Entrez