Cyclin T1 Antibody

Images

 
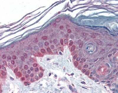
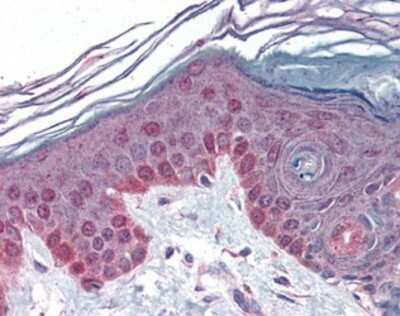
Immunohistochemistry-Paraffin: Cyclin T1 Antibody [NBP1-02800] - Staining of human skin. Immunohistochemistry of formalin-fixed, paraffin-embedded tissue after heat-induced antigen retrieval. Antibody dilution 1:500.

Product Details

Summary
Product Discontinued
View other related Cyclin T1 Primary Antibodies

Order Details


    • Catalog Number
      NBP1-02800
    • Availability
      Product Discontinued

    Can't find what you are looking for? Use our Antibody Concierge Service & we will help you locate your antibody!

    Or feel free to contact us for alternative products.

Cyclin T1 Antibody Summary

Immunogen
Cyclin T1 peptide corresponding to the internal region of the human protein, conjugated with KLH.
Specificity
Antiserum will specifically react with an 85 kDa Cyclin T1 protein from human, rat and mouse tissue. No reaction was observed against other related cyclins. Cross reactivity with Cyclin T1 from other species may also occur.
Predicted Species
Mouse (100%), Rat (100%). Backed by our 100% Guarantee.
Clonality
Polyclonal
Host
Rabbit
Gene
CCNT1
Purity
Delipidation and Defibrination
Innovator's Reward
Test in a species/application not listed above to receive a full credit towards a future purchase.

Applications/Dilutions

Dilutions
  • ELISA 1:1000 - 1:5000
  • Immunohistochemistry 1:10 - 1:500
  • Immunohistochemistry-Paraffin 1:500
  • Immunoprecipitation 1:100
  • Western Blot 1:500-1:2000
Application Notes
IHC: NBP1-02800 was validated for use in immunohistochemistry on a panel of 21 formalin-fixed, paraffin-embedded (FFPE) human tissues after heat induced antigen retrieval in pH 6.0 citrate buffer. After incubation with the primary antibody, slides were incubated with biotinylated secondary antibody, followed by alkaline phosphatase-streptavidin and chromogen. The stained slides were evaluated by a pathologist to confirm staining specificity.

Packaging, Storage & Formulations

Storage
Store at 4C short term. Aliquot and store at -20C long term. Avoid freeze-thaw cycles.
Buffer
20mM Potassium Phosphate (pH 7.2) and 0.15M NaCl
Preservative
0.01% Sodium Azide
Concentration
75 mg/ml
Purity
Delipidation and Defibrination

Alternate Names for Cyclin T1 Antibody

  • CCNT
  • CCNT1
  • CCNTcyclin-T
  • CDK9-associated C-type protein
  • cyclin C-related protein
  • cyclin T1
  • cyclin T1b
  • Cyclin-T
  • cyclin-T1
  • CYCT1
  • HIVE1
  • human immunodeficiency virus type 1 (HIV-1) expression (elevated) 1
  • Human immunodeficiency virus-1 expression
  • subunit of positive elongation transcription factor b

Background

Cyclin T1, together with the kinase CDK9, is a component of the transcription elongation factor P-TEFb which binds the human immunodeficiency virus type 1 (HIV-1) transactivator Tat. Tat stimulates human HIV-1 viral transcription elongation. This suggests that cyclin T1/cdk9(PITALRE) is one of the HIV-1 required host cellular cofactors generated during T cell activation. Cyclin T1/cdk9(PITALRE) is shown to interact with Tat to restore Tat activation in HeLa nuclear extracts depleted of P-TEFb. P-TEFb facilitates transcription by phosphorylating the carboxy-terminal domain (CTD) of RNA polymerase II. The cdk9(PITALRE) activity and cyclin T1 are essential for activation of transcription when tethered to the heterologous Rev response element RNA via the regulator of expression of virion Rev. Cyclin T1 is an exceptionally large cyclin and is therefore a candidate for interactions with regulatory proteins.

Limitations

This product is for research use only and is not approved for use in humans or in clinical diagnosis. Primary Antibodies are guaranteed for 1 year from date of receipt.

Customers Who Viewed This Item Also Viewed...

NBP3-15345
Species: Hu, Mu, Rt
Applications: ChIP, CHIP-SEQ, ELISA, ICC/IF, IHC,  IHC-P, IP, WB
NBP2-48860
Species: Hu, Mu
Applications: IHC,  IHC-P, WB
NBP1-79286
Species: Rt
Applications: WB
NBP1-88376
Species: Hu, Mu
Applications: ICC/IF, IHC,  IHC-P, KD, WB
NBP1-87592
Species: Hu
Applications: ChIP, ICC/IF, IHC,  IHC-P, KO, WB
NBP1-71867
Species: Hu, Mu
Applications: IHC,  IHC-P, IP, WB
NBP1-19371
Species: Ca, Hu, Mu, Po, Rb, Rt
Applications: Dual ISH-IHC, Flow, ICC/IF, IHC, IHC-Fr,  IHC-P, Simple Western, WB
NBP1-06519
Species: Hu, Mu
Applications: IHC,  IHC-P, IP, WB
H00008850-M04
Species: Hu
Applications: ELISA, ICC/IF, S-ELISA, WB
NB100-616
Species: Hu, Mu, Md, Pm, Rt
Applications: ChIP, EM, Flow-IC, Flow, ICC/IF, IP, In vitro, KD, WB
NB100-56583
Species: Hu, Rb, Rt
Applications: Flow, IHC,  IHC-P, KO, Simple Western, WB
NBP2-00776
Species: Ca, Hu, Pm, Mu, Rt
Applications: Flow, ICC/IF, IHC,  IHC-P, WB
NB100-581
Species: Hu, Mu, Rt
Applications: ICC, IHC, IP, WB
NBP1-80963
Species: Hu, Mu, Rt
Applications: ICC/IF, IHC,  IHC-P, WB
NBP1-33736
Species: Hu, Mu, Rt
Applications: ICC/IF, IHC,  IHC-P, IP, WB
NBP2-34031
Species: Hu
Applications: ICC/IF, IHC,  IHC-P, WB
NBP2-31844
Species: Hu
Applications: ICC/IF, IHC,  IHC-P
NBP1-02800
Species: Hu, Mu, Rt
Applications: WB, ELISA, IHC, IP

Publications for Cyclin T1 Antibody (NBP1-02800) (0)

There are no publications for Cyclin T1 Antibody (NBP1-02800).
By submitting your publication information earn gift cards and discounts for future purchases.

Reviews for Cyclin T1 Antibody (NBP1-02800) (0)

There are no reviews for Cyclin T1 Antibody (NBP1-02800). By submitting a review you will receive an Amazon e-Gift Card or Novus Product Discount.
  • Review with no image -- $10/€7/£6/$10 CAD/¥70 Yuan/¥1110 Yen
  • Review with an image -- $25/€18/£15/$25 CAD/¥150 Yuan/¥2500 Yen

Product General Protocols

Find general support by application which include: protocols, troubleshooting, illustrated assays, videos and webinars.

Video Protocols

WB Video Protocol

FAQs for Cyclin T1 Antibody (NBP1-02800) (0)

There are no specific FAQs related to this product. Read our general customer & technical service FAQs.

Secondary Antibodies

 

Isotype Controls

Additional Cyclin T1 Products

Research Areas for Cyclin T1 Antibody (NBP1-02800)

Find related products by research area.

Blogs on Cyclin T1

There are no specific blogs for Cyclin T1, but you can read our latest blog posts.

Contact Information

Product PDFs

Calculators

Concentration Calculator

The concentration calculator allows you to quickly calculate the volume, mass or concentration of your vial. Simply enter your mass, volume, or concentration values for your reagent and the calculator will determine the rest.

=
÷

Review this Product

Be the first to review our Cyclin T1 Antibody and receive a gift card or discount.

Bioinformatics

Gene Symbol CCNT1
Entrez
Uniprot