CXCL16 Antibody [Biotin]

Images

 
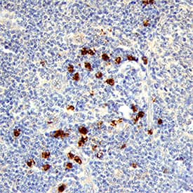
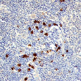
CXCL16 was detected in immersion fixed paraffin-embedded sections of human lymphoma tissue using Goat Anti-Human/Primate CXCL16 Biotinylated Antigen Affinity-purified Polyclonal Antibody (Catalog # BAF976) at 15 µg/mL ...read more

Product Details

Summary
Reactivity Hu, PmSpecies Glossary
Applications WB, Flow, IHC, ELISA(Det)
Clonality
Polyclonal
Host
Goat
Conjugate
Biotin
Concentration
LYOPH

Order Details

CXCL16 Antibody [Biotin] Summary

Immunogen
E. coli-derived recombinant human CXCL16
Asn49-Pro137
Accession # NP_071342
Specificity
Detects human CXCL16 in ELISAs and Western blots. In Sandwich ELISAs, less than 0.05% cross-reactivity with recombinant mouse (rm) CXCL16, rm6Ckine, recombinant human (rh) BLC, rhCTACK, rhIL-8, rhPF4, and rhLymphotactin is observed.
Source
N/A
Isotype
IgG
Clonality
Polyclonal
Host
Goat
Gene
CXCL16
Purity Statement
Antigen Affinity-purified
Innovator's Reward
Test in a species/application not listed above to receive a full credit towards a future purchase.

Applications/Dilutions

Dilutions
  • ELISA Capture (Matched Antibody Pair) 0.2-0.8 ug/mL
  • ELISA Detection (Matched Antibody Pair) 0.1-0.4 ug/mL
  • ELISA Standard (Matched Pair)
  • Flow Cytometry 0.25 ug/10^6 cells
  • Immunohistochemistry 5-15 ug/mL
  • Western Blot 0.1 ug/mL
Application Notes
ELISA Capture: Human CXCL16 Antibody (Catalog # AF976)
ELISA Detection: Human CXCL16 Biotinylated Antibody (Catalog # BAF976)
Standard: Recombinant Human CXCL16 Extracellular Domain (Catalog # 1164-CX)
Readout System

Packaging, Storage & Formulations

Storage
Use a manual defrost freezer and avoid repeated freeze-thaw cycles.
  • 12 months from date of receipt, -20 to -70 °C as supplied.
  • 1 month, 2 to 8 °C under sterile conditions after reconstitution.
  • 6 months, -20 to -70 °C under sterile conditions after reconstitution.
Buffer
Lyophilized from a 0.2 μm filtered solution in PBS with BSA as a carrier protein.
Preservative
No Preservative
Concentration
LYOPH
Reconstitution Instructions
Reconstitute at 0.2 mg/mL in sterile PBS.

Notes

This product is produced by and ships from R&D Systems, Inc., a Bio-Techne brand.

Alternate Names for CXCL16 Antibody [Biotin]

  • chemokine (C-X-C motif) ligand 16
  • CXC chemokine ligand 16
  • CXCL16
  • CXCLG16
  • Scavenger receptor for phosphatidylserine and oxidized low density lipoprotein
  • SCYB16
  • Small-inducible cytokine B16
  • SRPSOXC-X-C motif chemokine 16
  • SR-PSOXTransmembrane chemokine CXCL16

Background

CXC chemokine ligand 16 (CXCL16) is a type I membrane protein containing a non-ELR motif-containing CXC chemokine domain in its extracellular region. Together with Fractalkine (CX3CL1), CXCL16 constitute the only two transmembrane chemokines within the superfamily. The gene for human CXCL16 predicts a 273 amino acid (aa) residue precursor protein with a putative signal peptide, a CXC chemokine domain, a mucin-like spacer region, a transmembrane domain and a cytoplasmic domain with a potential tyrosine phosphorylation and SH2 protein-binding site. Mouse and human CXCL16 share 70% aa sequence similarity within their chemokine domains and 49% overall aa sequence identity. By northern blot analysis, CXCL16 expression is detected in various human organs except for brain, bone marrow, skeletal muscle or colon. By flow cytometry, CXCL16 has been detected on the surface CD19+ B cells, CD14+ monocytes/macrophages, and CD11c+ splenic and lymph node dendritic cells. Functional CXCL16 can be shed from the cell surface as an approximately 35 kDa soluble protein. The functional receptor for CXCL16 has been identified as CXCR6 (also known as Bonzo, STRL33 or TYMSTR), a receptor previously shown to be a co-receptor for HIV entry. CXCL16 has also been independently cloned and named SRPSOX (scavenger receptor that binds phosphatidylserine and oxidized lipoprotein). It was shown to be a specific receptor for OxLDL but not LDL or acetyl-LDL.

  1. Matloubian, M. et al. (2000) Nature Immun. 1:298.
  2. Shimaoka, T. et al. (2000) J. Biol. Chem. 275:40663.
  3. Wilbanks, A. et al. (2001) J. Immun. 166:5145.

Limitations

This product is for research use only and is not approved for use in humans or in clinical diagnosis. Primary Antibodies are guaranteed for 1 year from date of receipt.

Customers Who Viewed This Item Also Viewed...

MAB699
Species: Hu
Applications: CyTOF-reported, Flow
DRN00B
Species: Hu
Applications: ELISA
DCP00
Species: Hu
Applications: ELISA
DCX900
Species: Hu
Applications: ELISA
485-MI
Species: Mu
Applications: BA
936-AD
Species: Hu
Applications: EnzAct
DY1707
Species: Hu
Applications: ELISA
M6000B
Species: Mu
Applications: ELISA
350-NS
Species: Fe, Hu, RM
Applications: BA, BA
NBP1-49045
Species: Mu, Rt
Applications: Cell Depl, CyTOF-ready, Flow, ICC/IF, IHC, IHC-Fr,  IHC-P, IP, InhibTFunc
NBP1-19371
Species: Ca, Hu, Mu, Po, Rb, Rt
Applications: Dual ISH-IHC, Flow, ICC/IF, IHC, IHC-Fr,  IHC-P, Simple Western, WB
DCX110
Species: Hu
Applications: ELISA
MAB160
Species: Hu
Applications: CyTOF-ready, Flow, IHC, Neut
DY453
Species: Mu
Applications: ELISA

Publications for CXCL16 Antibody (BAF976) (0)

There are no publications for CXCL16 Antibody (BAF976).
By submitting your publication information earn gift cards and discounts for future purchases.

Reviews for CXCL16 Antibody (BAF976) (0)

There are no reviews for CXCL16 Antibody (BAF976). By submitting a review you will receive an Amazon e-Gift Card or Novus Product Discount.
  • Review with no image -- $10/€7/£6/$10 CAD/¥70 Yuan/¥1110 Yen
  • Review with an image -- $25/€18/£15/$25 CAD/¥150 Yuan/¥2500 Yen

Product General Protocols

Find general support by application which include: protocols, troubleshooting, illustrated assays, videos and webinars.

Video Protocols

WB Video Protocol

FAQs for CXCL16 Antibody (BAF976) (0)

There are no specific FAQs related to this product. Read our general customer & technical service FAQs.

Customers Who Bought This Also Bought

Contact Information

Product PDFs

Calculators

Concentration Calculator

The concentration calculator allows you to quickly calculate the volume, mass or concentration of your vial. Simply enter your mass, volume, or concentration values for your reagent and the calculator will determine the rest.

=
÷

Review this Product

Be the first to review our CXCL16 Antibody [Biotin] and receive a gift card or discount.

Bioinformatics

Gene Symbol CXCL16
Uniprot