Cullin 4a Antibody (JU07-33)

Images

 
Western Blot: Cullin 4a Antibody (JU07-33) [NBP2-75459] - Analysis of Cullin 4a on Hela cell lysates using anti-Cullin 4a antibody at 1/500 dilution.
Immunocytochemistry/ Immunofluorescence: Cullin 4a Antibody (JU07-33) [NBP2-75459] - Staining Cullin 4a in HUVEC cells (green). The nuclear counter stain is DAPI (blue). Cells were fixed in paraformaldehyde, ...read more
Immunohistochemistry-Paraffin: Cullin 4a Antibody (JU07-33) [NBP2-75459] - Analysis of paraffin-embedded human kidney tissue using anti-Cullin 4a antibody. Counter stained with hematoxylin.
Flow Cytometry: Cullin 4a Antibody (JU07-33) [NBP2-75459] - Analysis of Hela cells with Cullin 4a antibody at 1/100 dilution (green) compared with an unlabelled control (cells without incubation with primary antibody; ...read more
Immunocytochemistry/ Immunofluorescence: Cullin 4a Antibody (JU07-33) [NBP2-75459] - Staining Cullin 4a in A431 cells (green). The nuclear counter stain is DAPI (blue). Cells were fixed in paraformaldehyde, ...read more
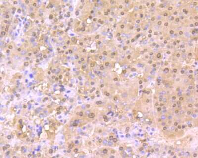
Immunohistochemistry-Paraffin: Cullin 4a Antibody (JU07-33) [NBP2-75459] - Analysis of paraffin-embedded human liver cancer tissue using anti-Cullin 4a antibody. Counter stained with hematoxylin.
Immunohistochemistry-Paraffin: Cullin 4a Antibody (JU07-33) [NBP2-75459] - Analysis of paraffin-embedded human cervix tissue using anti-Cullin 4a antibody. Counter stained with hematoxylin.
Immunohistochemistry-Paraffin: Cullin 4a Antibody (JU07-33) [NBP2-75459] - Analysis of paraffin-embedded human colon cancer tissue using anti-Cullin 4a antibody. Counter stained with hematoxylin.
Immunohistochemistry-Paraffin: Cullin 4a Antibody (JU07-33) [NBP2-75459] - Analysis of paraffin-embedded human breast cancer tissue using anti-Cullin 4a antibody. Counter stained with hematoxylin.

Product Details

Summary
Product Discontinued
View other related Cullin 4a Primary Antibodies

Order Details


    • Catalog Number
      NBP2-75459
    • Availability
      Product Discontinued

    Can't find what you are looking for? Use our Antibody Concierge Service & we will help you locate your antibody!

    Or feel free to contact us for alternative products.

Cullin 4a Antibody (JU07-33) Summary

Additional Information
Recombinant Monoclonal Antibody.
Immunogen
Synthetic peptide within Human Cullin 4a aa 710-759 / 759. (SwissProt: Q13619 Human)
Localization
Nucleus.
Isotype
IgG
Clonality
Monoclonal
Host
Rabbit
Gene
CUL4A
Purity
Protein A purified
Innovator's Reward
Test in a species/application not listed above to receive a full credit towards a future purchase.

Applications/Dilutions

Dilutions
  • Flow Cytometry 1:50-1:100
  • Immunocytochemistry/ Immunofluorescence 1:50-1:200
  • Immunohistochemistry
  • Immunohistochemistry-Paraffin 1:50-1:200
  • Western Blot 1:500-2000
Theoretical MW
88 kDa.
Disclaimer note: The observed molecular weight of the protein may vary from the listed predicted molecular weight due to post translational modifications, post translation cleavages, relative charges, and other experimental factors.

Packaging, Storage & Formulations

Storage
Store at 4C short term. Aliquot and store at -20C long term. Avoid freeze-thaw cycles.
Buffer
TBS (pH7.4), 0.05% BSA, 40% Glycerol
Preservative
0.05% Sodium Azide
Concentration
1 mg/ml
Purity
Protein A purified

Alternate Names for Cullin 4a Antibody (JU07-33)

  • CUL4A
  • CUL-4A
  • Cullin 4a
  • cullin-4A

Limitations

This product is for research use only and is not approved for use in humans or in clinical diagnosis. Primary Antibodies are guaranteed for 1 year from date of receipt.

Customers Who Viewed This Item Also Viewed...

NBP2-75465
Species: Hu, Mu, Rt
Applications: ICC/IF, IHC,  IHC-P, IP, WB
NBP1-89150
Species: Hu
Applications: IHC,  IHC-P, WB
H00011026-M01
Species: Hu
Applications: ELISA, WB
NBP1-31302
Species: Hu, Mu, Rt
Applications: ICC/IF, IHC,  IHC-P, KO, WB
AF3297
Species: Hu
Applications: WB
NBP2-21037
Species: Hu
Applications: IHC,  IHC-P, WB
NBP2-31361
Species: Hu
Applications: IHC,  IHC-P, WB
NBP1-81988
Species: Hu
Applications: IHC,  IHC-P
NBP1-86099
Species: Hu, Mu, Rt
Applications: ICC/IF, IHC,  IHC-P, Simple Western, WB
NBP2-27203
Species: Ch, ChHa, Eq, Fe, Gp, Hu, Mu, Ma-Op, Po, Pm, Rb, Rt
Applications: Flow, WB
NBP3-21835
Species: Hu, Mu, Rt
Applications: Flow, ICC/IF, IHC, IP, WB
NB500-106
Species: Ch, Dr, Fi, Hu, Mar, Mu, Po, Pm, Rb, Rt, Ye, Ze
Applications: ChIP, ChIP, ELISA, Flow, ICC/IF, IHC-FrFl, IHC, IHC-Fr,  IHC-P, IP, Simple Western, WB
NB100-2567
Species: Hu
Applications: IHC,  IHC-P, IP, WB
NBP3-16092
Species: Hu, Mu, Rt
Applications: ELISA, ICC/IF, IHC,  IHC-P, WB
NB100-40840
Species: Hu, Mu
Applications: IHC,  IHC-P, IP, WB
H00143384-P01
Species: Hu
Applications: ELISA, AP, PA, PAGE, WB
NBP2-29463
Species: Pm, Hu, Pm, Mu
Applications: Flow, ICC/IF, IHC,  IHC-P, WB
NB100-477
Species: Hu, Mu
Applications: ICC/IF, IHC,  IHC-P, WB
NB100-74457
Species: Hu, Mu, Rt
Applications: ICC/IF, WB
NBP2-75459
Species: Hu
Applications: WB, Flow, ICC/IF, IHC

Publications for Cullin 4a Antibody (NBP2-75459) (0)

There are no publications for Cullin 4a Antibody (NBP2-75459).
By submitting your publication information earn gift cards and discounts for future purchases.

Reviews for Cullin 4a Antibody (NBP2-75459) (0)

There are no reviews for Cullin 4a Antibody (NBP2-75459). By submitting a review you will receive an Amazon e-Gift Card or Novus Product Discount.
  • Review with no image -- $10/€7/£6/$10 CAD/¥70 Yuan/¥1110 Yen
  • Review with an image -- $25/€18/£15/$25 CAD/¥150 Yuan/¥2500 Yen

Product General Protocols

Find general support by application which include: protocols, troubleshooting, illustrated assays, videos and webinars.

Video Protocols

WB Video Protocol
ICC/IF Video Protocol

FAQs for Cullin 4a Antibody (NBP2-75459) (0)

There are no specific FAQs related to this product. Read our general customer & technical service FAQs.

Secondary Antibodies

 

Isotype Controls

Additional Cullin 4a Products

Research Areas for Cullin 4a Antibody (NBP2-75459)

Find related products by research area.

Blogs on Cullin 4a

There are no specific blogs for Cullin 4a, but you can read our latest blog posts.

Contact Information

Product PDFs

Calculators

Concentration Calculator

The concentration calculator allows you to quickly calculate the volume, mass or concentration of your vial. Simply enter your mass, volume, or concentration values for your reagent and the calculator will determine the rest.

=
÷

Review this Product

Be the first to review our Cullin 4a Antibody (JU07-33) and receive a gift card or discount.

Bioinformatics

Gene Symbol CUL4A