CTU2 Antibody - BSA Free

Images

 
Staining of human cerebral cortex shows cytoplasmic positivity in neuronal cells.
Staining of human cell line U-2 OS shows positivity in cytoplasm & mitochondria.
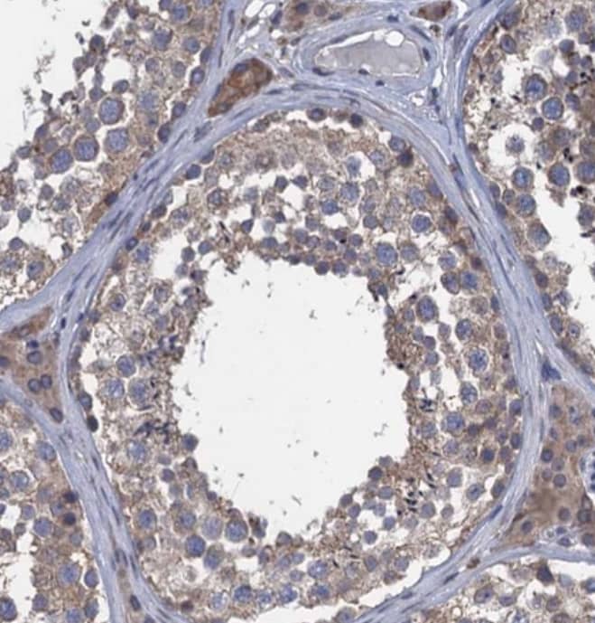
Staining of human testis shows moderate cytoplasmic positivity in cells in seminiferous ducts and leydig cells.
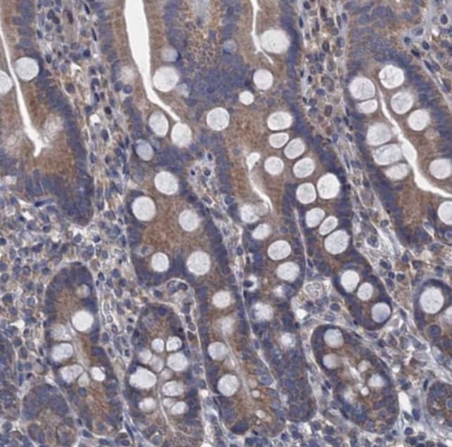
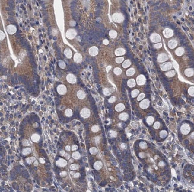
Staining of human small intestine shows moderate cytoplasmic positivity in glandular cells.
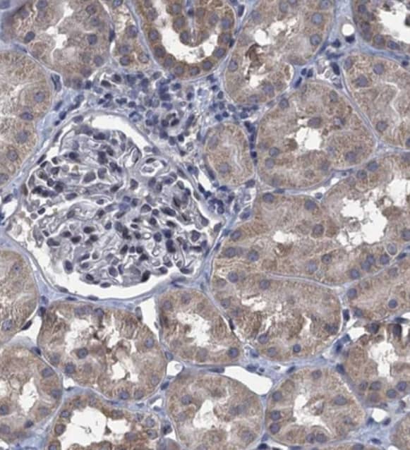
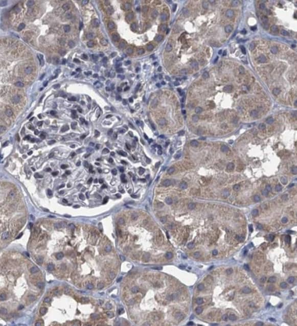
Staining of human kidney shows moderate cytoplasmic positivity in cells in tubules.

Product Details

Summary
Reactivity HuSpecies Glossary
Applications Simple Western, ICC/IF, IHC
Clonality
Polyclonal
Host
Rabbit
Conjugate
Unconjugated
Format
BSA Free

Order Details

View Available Formulations
Catalog# & Formulation Size Price

CTU2 Antibody - BSA Free Summary

Description
Novus Biologicals Rabbit CTU2 Antibody - BSA Free (NBP1-88457) is a polyclonal antibody validated for use in IHC, ICC/IF and Simple Western. Anti-CTU2 Antibody: Cited in 1 publication. All Novus Biologicals antibodies are covered by our 100% guarantee.
Immunogen
This antibody was developed against Recombinant Protein corresponding to amino acids: LSPDSFCLGFSEGAACGQSLEERSKTLAEVKPILQATGFPWHVVALEEVFSLPPSVLWCSAQELVGSEGAYKAAVDSFLQQQH
Isotype
IgG
Clonality
Polyclonal
Host
Rabbit
Gene
CTU2
Purity
Affinity purified
Innovator's Reward
Test in a species/application not listed above to receive a full credit towards a future purchase.

Applications/Dilutions

Dilutions
  • Immunocytochemistry/ Immunofluorescence 0.25-2 ug/ml
  • Immunohistochemistry 1:50 - 1:200
  • Immunohistochemistry-Paraffin 1:50 - 1:200
  • Simple Western 1:10
Application Notes
For IHC-Paraffin, HIER pH 6 retrieval is recommended. ICC/IF Fixation Permeabilization: Use PFA/Triton X-100. See Simple Western Antibody Database for Simple Western validation: Tested in TP1, Bone marrow, separated by Size, antibody dilution of 1:10, apparent MW was 60 kDa
Control Peptide
CTU2 Protein (NBP1-88457PEP)
Publications
Read Publication using NBP1-88457.

Packaging, Storage & Formulations

Storage
Store at 4C short term. Aliquot and store at -20C long term. Avoid freeze-thaw cycles.
Buffer
PBS (pH 7.2) and 40% Glycerol
Preservative
0.02% Sodium Azide
Purity
Affinity purified

Alternate Names for CTU2 Antibody - BSA Free

  • C16orf84
  • chromosome 16 open reading frame 84
  • cytoplasmic tRNA 2-thiolation protein 2
  • cytosolic thiouridylase subunit 2 homolog (S. pombe)
  • MGC131681
  • MGC148063
  • NCS2MGC148064
  • UPF0432

Limitations

This product is for research use only and is not approved for use in humans or in clinical diagnosis. Primary Antibodies are guaranteed for 1 year from date of receipt.

Customers Who Viewed This Item Also Viewed...

NBP3-45632
Species: Hu, Mu, Rt
Applications: ELISA, IHC, WB
NBP2-17320
Species: Hu
Applications: IHC,  IHC-P, WB
NBP1-89820
Species: Hu, Mu
Applications: ICC/IF, IHC,  IHC-P, WB
H00007170-M02
Species: Hu
Applications: ELISA, IHC,  IHC-P, S-ELISA, WB
NBP1-77197
Species: Hu, Mu
Applications: ELISA, ICC/IF, WB
NBP1-30475
Species: Hu, Mu
Applications: IHC,  IHC-P, IP, WB
NBP1-84463
Species: Hu
Applications: IHC,  IHC-P, IP
AF5480
Species: Hu
Applications: IHC
NBP1-91733
Species: Hu
Applications: IHC,  IHC-P, WB
NBP1-26612
Species: Hu
Applications: IP (-), WB
AF1356
Species: Hu, Mu
Applications: CyTOF-ready, Dual ISH-IHC, Flow, IHC, Simple Western, WB
AF5866
Species: Hu
Applications: IHC, WB
NBP2-47500
Species: Hu
Applications: IHC,  IHC-P
NB300-560
Species: Av, Bv, Ma, Hu, Mu, Pm, Rt
Applications: IF, IHC, IHC-Fr,  IHC-P, WB
AF7895
Species: Hu
Applications: IHC, WB
NBP1-88457
Species: Hu
Applications: Simple Western, ICC/IF, IHC

Publications for CTU2 Antibody (NBP1-88457)(1)

Reviews for CTU2 Antibody (NBP1-88457) (0)

There are no reviews for CTU2 Antibody (NBP1-88457). By submitting a review you will receive an Amazon e-Gift Card or Novus Product Discount.
  • Review with no image -- $10/€7/£6/$10 CAD/¥70 Yuan/¥1110 Yen
  • Review with an image -- $25/€18/£15/$25 CAD/¥150 Yuan/¥2500 Yen

Product General Protocols

Find general support by application which include: protocols, troubleshooting, illustrated assays, videos and webinars.

Video Protocols

ICC/IF Video Protocol

FAQs for CTU2 Antibody (NBP1-88457) (0)

There are no specific FAQs related to this product. Read our general customer & technical service FAQs.

Customers Who Bought This Also Bought

Contact Information

Product PDFs

Calculators

Concentration Calculator

The concentration calculator allows you to quickly calculate the volume, mass or concentration of your vial. Simply enter your mass, volume, or concentration values for your reagent and the calculator will determine the rest.

=
÷

Review this Product

Be the first to review our CTU2 Antibody - BSA Free and receive a gift card or discount.

Bioinformatics

Gene Symbol CTU2