CTU1 Antibody - BSA Free

Images

 
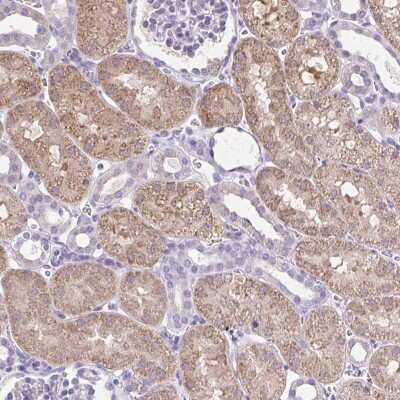
Immunohistochemistry: CTU1 Antibody [NBP2-47500] - Staining of human kidney shows moderate cytoplasmic positivity in cells in tubules.

Product Details

Summary
Reactivity Hu, Mu, RtSpecies Glossary
Applications IHC
Clonality
Polyclonal
Host
Rabbit
Conjugate
Unconjugated
Format
BSA Free

Order Details

View Available Formulations
Catalog# & Formulation Size Price

CTU1 Antibody - BSA Free Summary

Description
Novus Biologicals Rabbit CTU1 Antibody - BSA Free (NBP2-47500) is a polyclonal antibody validated for use in IHC. All Novus Biologicals antibodies are covered by our 100% guarantee.
Immunogen
This antibody was developed against a recombinant protein corresponding to amino acids: RLGISLQLVAVDEGIGGYRDAALAAVRRQAARWELPLTVVAYEDLFGGWTMDAVARSTAGSGRSRSCCTFCGVLR
Predicted Species
Mouse (93%), Rat (93%). Backed by our 100% Guarantee.
Isotype
IgG
Clonality
Polyclonal
Host
Rabbit
Gene
CTU1
Purity
Immunogen affinity purified
Innovator's Reward
Test in a species/application not listed above to receive a full credit towards a future purchase.

Applications/Dilutions

Dilutions
  • Immunohistochemistry 1:200 - 1:500
  • Immunohistochemistry-Paraffin 1:200 - 1:500
Application Notes
For IHC-Paraffin, HIER pH 6 retrieval is recommended.
Control Peptide
CTU1 Protein (NBP2-47500PEP)

Packaging, Storage & Formulations

Storage
Store at 4C short term. Aliquot and store at -20C long term. Avoid freeze-thaw cycles.
Buffer
PBS (pH 7.2) and 40% Glycerol
Preservative
0.02% Sodium Azide
Purity
Immunogen affinity purified

Alternate Names for CTU1 Antibody - BSA Free

  • ATP binding domain 3
  • ATPBD3cancer-associated protein
  • Cancer-associated gene protein
  • cytoplasmic tRNA 2-thiolation protein 1
  • Cytoplasmic tRNA adenylyltransferase 1
  • cytosolic thiouridylase subunit 1 homolog (S. pombe)
  • EC 2.7.7
  • EC 2.7.7.-
  • MGC17332
  • NCS6ATP-binding domain-containing protein 3

Limitations

This product is for research use only and is not approved for use in humans or in clinical diagnosis. Primary Antibodies are guaranteed for 1 year from date of receipt.

Customers Who Viewed This Item Also Viewed...

NBP1-90813
Species: Hu
Applications: IHC,  IHC-P, WB
NBP1-59357
Species: Hu
Applications: IHC,  IHC-P, WB
NB120-22711
Species: Hu, Mu
Applications: ELISA, Flow, ICC/IF, IHC, IHC-Fr,  IHC-P
NBP1-88457
Species: Hu
Applications: ICC/IF, IHC,  IHC-P, Simple Western
NB100-598
Species: Hu
Applications: CyTOF-ready, Flow, ICC/IF, IP, WB
NB300-270
Species: Ch, Hu, Mu, Rt
Applications: Flow, ICC/IF, IHC,  IHC-P, IP, In vitro, Simple Western, WB
6507-IL/CF
Species: Hu
Applications: BA
NB100-56104
Species: Ca, Hu, Mu, Rt
Applications: IHC, IHC-Fr,  IHC-P, IP, WB
AF2747
Species: Mu
Applications: ELISA(Cap), ELISA(Det), ELISA(Sta), IHC, IP, WB
DY413
Species: Mu
Applications: ELISA
H00056672-B01P
Species: Hu
Applications: ICC/IF, WB
NB100-689
Species: Hu, Rt
Applications: IHC, IHC-Fr,  IHC-P, Simple Western, WB
MAB4467
Species: Hu
Applications: IHC, KO, Simple Western, WB
NBP3-45632
Species: Hu, Mu, Rt
Applications: ELISA, IHC, WB
NB100-74513
Species: Hu, Mu, Pm, Rt
Applications: ELISA, ICC/IF, IHC,  IHC-P, IP, WB
NBP1-51671
Species: Hu
Applications: ELISA, Flow, ICC/IF, IHC,  IHC-P, WB
AF5550
Species: Mu, Rt
Applications: WB
NBP1-85586
Species: Hu
Applications: ICC/IF, IHC,  IHC-P, WB
NB100-524
Species: Hu, Mu
Applications: Flow-IC, Flow, ICC/IF, IHC, IHC-Fr,  IHC-P, IP, WB
NBP1-77197
Species: Hu, Mu
Applications: ELISA, ICC/IF, WB

Publications for CTU1 Antibody (NBP2-47500) (0)

There are no publications for CTU1 Antibody (NBP2-47500).
By submitting your publication information earn gift cards and discounts for future purchases.

Reviews for CTU1 Antibody (NBP2-47500) (0)

There are no reviews for CTU1 Antibody (NBP2-47500). By submitting a review you will receive an Amazon e-Gift Card or Novus Product Discount.
  • Review with no image -- $10/€7/£6/$10 CAD/¥70 Yuan/¥1110 Yen
  • Review with an image -- $25/€18/£15/$25 CAD/¥150 Yuan/¥2500 Yen

Product General Protocols

Find general support by application which include: protocols, troubleshooting, illustrated assays, videos and webinars.

FAQs for CTU1 Antibody (NBP2-47500) (0)

There are no specific FAQs related to this product. Read our general customer & technical service FAQs.

Customers Who Bought This Also Bought

Contact Information

Product PDFs

Calculators

Concentration Calculator

The concentration calculator allows you to quickly calculate the volume, mass or concentration of your vial. Simply enter your mass, volume, or concentration values for your reagent and the calculator will determine the rest.

=
÷

Review this Product

Be the first to review our CTU1 Antibody - BSA Free and receive a gift card or discount.

Bioinformatics

Gene Symbol CTU1