CRLF1 Antibody

Images

 
Western Blot: CRLF1 Antibody [NBP1-85606] - Analysis in human cell line HepG2.
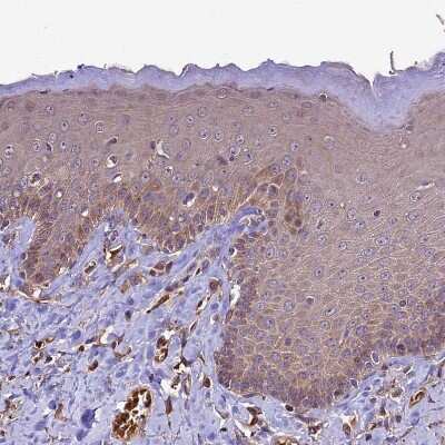
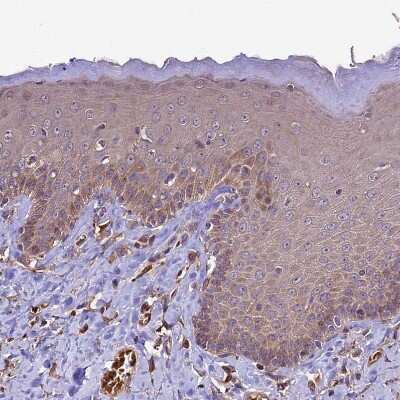
Immunohistochemistry-Paraffin: CRLF1 Antibody [NBP1-85606] - Staining of human skin shows weak cytoplasmic positivity in squamous epithelial cells.
Immunohistochemistry-Paraffin: CRLF1 Antibody [NBP1-85606] - Staining of human heart muscle shows moderate cytoplasmic positivity in cardiomyocytes.
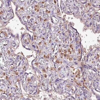
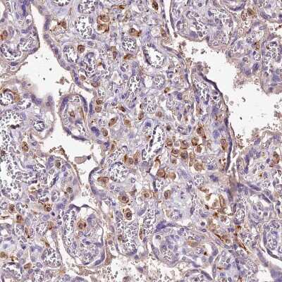
Immunohistochemistry-Paraffin: CRLF1 Antibody [NBP1-85606] - Staining of human placenta shows moderate cytoplasmic positivity in Hofbauer cells.
Immunohistochemistry-Paraffin: CRLF1 Antibody [NBP1-85606] - Staining of human skeletal muscle shows moderate cytoplasmic positivity in myocytes.

Product Details

Summary
Product Discontinued
View other related CRLF1 Primary Antibodies

Order Details


    • Catalog Number
      NBP1-85606
    • Availability
      Product Discontinued

    Can't find what you are looking for? Use our Antibody Concierge Service & we will help you locate your antibody!

    Or feel free to contact us for alternative products.

CRLF1 Antibody Summary

Immunogen
This antibody was developed against Recombinant Protein corresponding to amino acids: VLTLDILDVVTTDPPPDVHVSRVGGLEDQLSVRWVSPPALKDFLFQAKYQIRYRVEDSVDWKVVDDVSNQTSCRLAGLKPGTVY
Predicted Species
Mouse (99%), Rat (99%). Backed by our 100% Guarantee.
Isotype
IgG
Clonality
Polyclonal
Host
Rabbit
Gene
CRLF1
Purity
Immunogen affinity purified
Innovator's Reward
Test in a species/application not listed above to receive a full credit towards a future purchase.

Applications/Dilutions

Dilutions
  • Immunohistochemistry 1:50 - 1:200
  • Immunohistochemistry-Paraffin 1:50 - 1:200
  • Western Blot 0.04-0.4 ug/ml
Application Notes
For IHC-Paraffin, HIER pH 6 retrieval is recommended.
Publications
Read Publications using
NBP1-85606 in the following applications:

  • WB
    2 publications

Packaging, Storage & Formulations

Storage
Store at 4C short term. Aliquot and store at -20C long term. Avoid freeze-thaw cycles.
Buffer
PBS (pH 7.2) and 40% Glycerol
Preservative
0.02% Sodium Azide
Purity
Immunogen affinity purified

Alternate Names for CRLF1 Antibody

  • CISS1
  • CISScytokine type 1 receptor CRLP-1
  • CLF
  • CLF1
  • CLF-1
  • CLF-1class I cytokine receptor
  • CRLF1
  • CRLF-1
  • cytokine receptor-like factor 1
  • Cytokine-like factor 1
  • NR6
  • zcytor5

Background

The CRLF1 gene encodes a member of the cytokine type I receptor family. The protein forms a secreted complex with cardiotrophin-like cytokine factor 1 and acts on cells expressing ciliary neurotrophic factor receptors. The complex can promote survival of neuro

Limitations

This product is for research use only and is not approved for use in humans or in clinical diagnosis. Primary Antibodies are guaranteed for 1 year from date of receipt.

Customers Who Viewed This Item Also Viewed...

AF231
Species: Hu
Applications: CyTOF-ready, Dual ISH-IHC, ELISA(Cap), ELISA(Det), ELISA(Sta), Flow, ICC, IHC, IP, Simple Western, WB
236-EG
Species: Hu
Applications: BA
MAB962
Species: Hu
Applications: IHC, WB
7954-GM/CF
Species: Hu
Applications: BA
NBP2-42388
Species: Hu
Applications: ICC/IF, IHC,  IHC-P, KD, WB
257-NT
Species: Hu
Applications: BA
AF-303-NA
Species: Hu
Applications: Neut, WB
AF5447
Species: Hu
Applications: CyTOF-ready, ICFlow, WB
MAB1799
Species: Hu, Mu, Rt
Applications: ICC, IP, ICFlow, KO, WB
DGP00
Species: Hu
Applications: ELISA
NBP1-83349
Species: Hu
Applications: ICC/IF, IHC,  IHC-P, KD, WB
7770-GT
Species: Hu
Applications: EnzAct
NB500-171
Species: Hu, I, Mu, Rt, Xp, Ye
Applications: ChIP, IB, ICC/IF, IHC,  IHC-P, Single-Cell Western, WB
NBP2-93808
Species: Hu, Mu, Rt
Applications: ICC/IF, IHC,  IHC-P, WB
NBP1-89284
Species: Hu, Po
Applications: ICC/IF, IHC,  IHC-P, KD, WB
NBP2-92630
Species: Hu, Mu, Rt
Applications: ELISA, ICC/IF, IHC,  IHC-P, WB
NBP3-15868
Species: Hu, Mu, Rt
Applications: ELISA, ICC/IF, IHC,  IHC-P, WB
AF2765
Species: Mu
Applications: IP, Neut, WB

Publications for CRLF1 Antibody (NBP1-85606)(2)

We have publications tested in 1 confirmed species: Human.

We have publications tested in 1 application: WB.


Filter By Application
WB
(2)
All Applications
Filter By Species
Human
(2)
All Species
Showing Publications 1 - 2 of 2.
Publications using NBP1-85606 Applications Species
Nalbach K, Schifferer M, Bhattacharya D et al. Spatial proteomics reveals secretory pathway disturbances caused by neuropathy-associated TECPR2 Nature communications 2023-02-16 [PMID: 36797266] (WB, Human) WB Human
Nalbach K, Schifferer M, Lichtenthaler S et al. Spatial Proteomics Reveals Disturbances in Trafficking and Interactions Along the Secretory Pathway Upon Loss of Neuropathy-Associated TECPR4 SSRN Electronic Journal 2022-03-16 (WB, Human) WB Human

Reviews for CRLF1 Antibody (NBP1-85606) (0)

There are no reviews for CRLF1 Antibody (NBP1-85606). By submitting a review you will receive an Amazon e-Gift Card or Novus Product Discount.
  • Review with no image -- $10/€7/£6/$10 CAD/¥70 Yuan/¥1110 Yen
  • Review with an image -- $25/€18/£15/$25 CAD/¥150 Yuan/¥2500 Yen

Product General Protocols

Find general support by application which include: protocols, troubleshooting, illustrated assays, videos and webinars.

Video Protocols

WB Video Protocol

FAQs for CRLF1 Antibody (NBP1-85606). (Showing 1 - 1 of 1 FAQs).

  1. Does this cross react with other species, specifically rat?
    • NBP1-85606 hasn't been tested in rat but the immunogen shares 99% similarity with rat, so it is predicted to cross-react. If you would be interested in testing this novel species, please take a look at our Innovator's Reward program.

Contact Information

Product PDFs

Calculators

Concentration Calculator

The concentration calculator allows you to quickly calculate the volume, mass or concentration of your vial. Simply enter your mass, volume, or concentration values for your reagent and the calculator will determine the rest.

=
÷

Review this Product

Be the first to review our CRLF1 Antibody and receive a gift card or discount.

Bioinformatics

Gene Symbol CRLF1