CPT2 Antibody (SN06-70)

Images

 
Western Blot: CPT2 Antibody (SN06-70) [NBP2-67699] - Western blot analysis of CPT2 on different lysates. Proteins were transferred to a PVDF membrane and blocked with 5% BSA in PBS for 1 hour at room temperature. The ...read more
Immunocytochemistry/ Immunofluorescence: CPT2 Antibody (SN06-70) [NBP2-67699] - Analysis of SK-Br-3 cells labeling CPT2 with Rabbit anti-CPT2 antibody (permeabilized with 0.05% Triton X-100 in PBS for 20 minutes, and ...read more
Immunohistochemistry-Paraffin: CPT2 Antibody (SN06-70) [NBP2-67699] - Analysis of paraffin-embedded human colon carcinoma tissue with Rabbit anti-CPT2 antibody. The section was pre-treated using heat mediated antigen ...read more
Western Blot: CPT2 Antibody (SN06-70) [NBP2-67699] - Analysis of CPT2 on different lysates using anti-CPT2 antibody at 1/1,000 dilution. Positive control: Lane 1: Hela Lane 2: 293 Lane 3: HepG2 Lane 4: NIH/3T3
Immunocytochemistry/ Immunofluorescence: CPT2 Antibody (SN06-70) [NBP2-67699] - Staining CPT2 in HepG2 cells (green). The nuclear counter stain is DAPI (blue). Cells were fixed in paraformaldehyde, permeabilised with ...read more
Immunocytochemistry/ Immunofluorescence: CPT2 Antibody (SN06-70) [NBP2-67699] - Staining CPT2 in SW480 cells (green). The nuclear counter stain is DAPI (blue). Cells were fixed in paraformaldehyde, permeabilised with ...read more
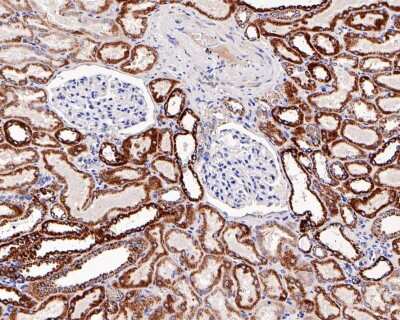
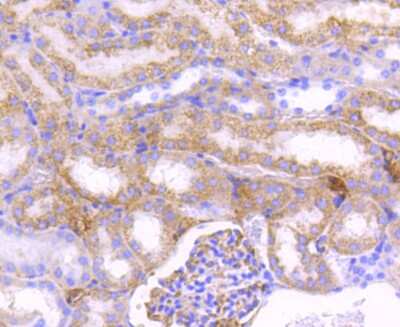
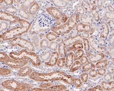
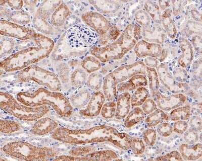
Immunohistochemistry-Paraffin: CPT2 Antibody (SN06-70) [NBP2-67699] - Analysis of paraffin-embedded human kidney tissue using anti-CPT2 antibody. Counter stained with hematoxylin.
Immunohistochemistry-Paraffin: CPT2 Antibody (SN06-70) [NBP2-67699] - Analysis of paraffin-embedded human liver cancer tissue using anti-CPT2 antibody. Counter stained with hematoxylin.
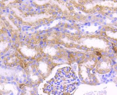
Immunohistochemistry-Paraffin: CPT2 Antibody (SN06-70) [NBP2-67699] - Analysis of paraffin-embedded mouse kidney tissue using anti-CPT2 antibody. Counter stained with hematoxylin.
Immunohistochemistry-Paraffin: CPT2 Antibody (SN06-70) [NBP2-67699] - Analysis of paraffin-embedded human kidney tissue with Rabbit anti-CPT2 antibody. The section was pre-treated using heat mediated antigen retrieval ...read more
Immunohistochemistry-Paraffin: CPT2 Antibody (SN06-70) [NBP2-67699] - Analysis of paraffin-embedded mouse kidney tissue with Rabbit anti-CPT2 antibody. The section was pre-treated using heat mediated antigen retrieval ...read more
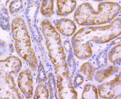
Immunohistochemistry-Paraffin: CPT2 Antibody (SN06-70) [NBP2-67699] - Analysis of paraffin-embedded human muscle tissue with Rabbit anti-CPT2 antibody. The section was pre-treated using heat mediated antigen retrieval ...read more

Product Details

Summary
Product Discontinued
View other related CPT2 Primary Antibodies

Order Details


    • Catalog Number
      NBP2-67699
    • Availability
      Product Discontinued

    Can't find what you are looking for? Use our Antibody Concierge Service & we will help you locate your antibody!

    Or feel free to contact us for alternative products.

CPT2 Antibody (SN06-70) Summary

Additional Information
Recombinant Monoclonal Antibody.
Immunogen
Synthetic peptide within Human CPT2 aa 609-658 / 658. (SwissProt: P23786 Human; SwissProt: P52825 Mouse; SwissProt: P18886 Rat)
Localization
Mitochondrion inner membrane, nucleolus, nucleoplasm.
Isotype
IgG
Clonality
Monoclonal
Host
Rabbit
Gene
CPT2
Purity
Protein A purified
Innovator's Reward
Test in a species/application not listed above to receive a full credit towards a future purchase.

Applications/Dilutions

Dilutions
  • Immunocytochemistry/ Immunofluorescence 1:50-1:200
  • Immunohistochemistry
  • Immunohistochemistry-Paraffin 1:50-1:1000
  • Western Blot 1:500-1:1000
Reviewed Applications
Read 1 Review rated 3
using
NBP2-67699 in the following applications:

Packaging, Storage & Formulations

Storage
Store at 4C short term. Aliquot and store at -20C long term. Avoid freeze-thaw cycles.
Buffer
TBS (pH7.4), 0.05% BSA, 40% Glycerol
Preservative
0.05% Sodium Azide
Concentration
1 mg/ml
Purity
Protein A purified

Alternate Names for CPT2 Antibody (SN06-70)

  • carnitine O-palmitoyltransferase 2, mitochondrial
  • carnitine palmitoyltransferase 2
  • Carnitine palmitoyltransferase IIEC 2.3.1.21
  • CPT II
  • CPT1
  • CPT2
  • CPTASE

Limitations

This product is for research use only and is not approved for use in humans or in clinical diagnosis. Primary Antibodies are guaranteed for 1 year from date of receipt.

Customers Who Viewed This Item Also Viewed...

NB100-53791
Species: Hu, Mu, Rt
Applications: IHC,  IHC-P, PEP-ELISA, WB
MAB1417
Species: Bv, Hu, Mu
Applications: ICC, IHC
NB400-114
Species: Ch, Fe, Ha, Hu, Mu, Pl, Po, Pm, Rt
Applications: ICC/IF, IHC,  IHC-P, IP, KD, WB
NB300-537
Species: Bv, Hu, Mu, Rb, Rt
Applications: ChIP, Flow, GS, ICC/IF, IHC,  IHC-P, IP, KD, Simple Western, WB
NBP2-92299
Species: Hu
Applications: WB
NBP1-87964
Species: Hu
Applications: IHC,  IHC-P
NBP1-86616
Species: Hu
Applications: IHC,  IHC-P, WB
NBP2-22106
Species: Hu, Mu, Rt
Applications: IHC,  IHC-P, IP, WB
NB120-13550
Species: Hu, Mu, Rt
Applications: ICC/IF, IHC,  IHC-P, WB
MAB6898
Species: Hu, Mu
Applications: WB
NBP2-43648
Species: Hu, Mu, Rt, Ze
Applications: ICC/IF, IHC,  IHC-P, WB
NBP2-22127
Species: Hu, Mu, Pm, Rt
Applications: ELISA, Flow, ICC/IF, IHC,  IHC-P, Simple Western, WB
NBP1-59576
Species: Hu, Mu, Rt
Applications: IHC,  IHC-P, WB
AF2850
Species: Hu, Mu, Rt
Applications: ICC, IHC, Simple Western, WB
AF2854
Species: Hu, Mu, Rt
Applications: IHC, WB
NBP2-15238
Species: Hu, Mu, Rt
Applications: ICC/IF, IHC,  IHC-P, KO, WB
NBP2-94796
Species: Hu, Mu, Rt
Applications: ELISA, ICC/IF, WB
NB400-144
Species: Av, Bv, Hu, Mu, Po, Pm, Rb, Rt
Applications: ICC/IF, IHC, IHC-Fr,  IHC-P, WB

Publications for CPT2 Antibody (NBP2-67699) (0)

There are no publications for CPT2 Antibody (NBP2-67699).
By submitting your publication information earn gift cards and discounts for future purchases.

Review for CPT2 Antibody (NBP2-67699) (1) 31

Average Rating: 3
(Based on 1 review)
We have 1 review tested in 1 species: Mouse.

Reviews using NBP2-67699:
Filter by Applications
WB
(1)
All Applications
Filter by Species
Mouse
(1)
All Species
Images Ratings Applications Species Date Details
  3
reviewed by:
Edma Loku
WB Mouse 10/30/2025
View

Summary

ApplicationWestern Blot
Sample TestedLung homogenates
SpeciesMouse
LotH00201

Comments

CommentsI tried the antibody on mouse lung homogenates, but it was not very specific.

Product General Protocols

Find general support by application which include: protocols, troubleshooting, illustrated assays, videos and webinars.

Video Protocols

WB Video Protocol
ICC/IF Video Protocol

FAQs for CPT2 Antibody (NBP2-67699) (0)

There are no specific FAQs related to this product. Read our general customer & technical service FAQs.

Secondary Antibodies

 

Isotype Controls

Additional CPT2 Products

Research Areas for CPT2 Antibody (NBP2-67699)

Find related products by research area.

Blogs on CPT2

There are no specific blogs for CPT2, but you can read our latest blog posts.

Contact Information

Product PDFs

Calculators

Concentration Calculator

The concentration calculator allows you to quickly calculate the volume, mass or concentration of your vial. Simply enter your mass, volume, or concentration values for your reagent and the calculator will determine the rest.

=
÷

Recent Reviews

3
5
0
4
0
3
1
2
0
1
0

 
Edma Loku
10/30/2025
Application: WB
Species: Mouse

Bioinformatics

Gene Symbol CPT2