COX17 Antibody (4G2)

Images

 
Western Blot: COX17 Antibody (4G2) [NBP1-69873] - COX17 monoclonal antibody clone 4G2. Western blot of COX17 expression in IMR-32.
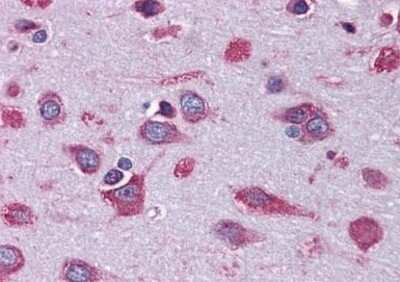
Immunohistochemistry-Paraffin: COX17 Antibody (4G2) [NBP1-69873] - Analysis of anti-COX17 antibody with human brain, cortex at concentration 5 ug/ml.
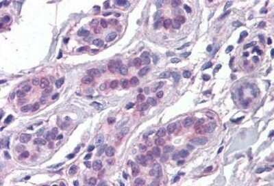
Immunohistochemistry-Paraffin: COX17 Antibody (4G2) [NBP1-69873] - Analysis of anti-COX17 antibody with human breast at concentration 5 ug/ml.
ELISA: COX17 Antibody (4G2) [NBP1-69873] - Detection limit for recombinant GST tagged COX17 is approximately 0.03 ng/ml as a capture antibody.

Product Details

Summary
Product Discontinued
View other related COX17 Primary Antibodies

Order Details


    • Catalog Number
      NBP1-69873
    • Availability
      Product Discontinued

    Can't find what you are looking for? Use our Antibody Concierge Service & we will help you locate your antibody!

    Or feel free to contact us for alternative products.

COX17 Antibody (4G2) Summary

Immunogen
COX17 (NP_005685, 1 aa - 64 a.a) partial recombinant protein with GST tag. MW of the GST tag alone is 26 KDa.
Isotype
IgG2b Kappa
Clonality
Monoclonal
Host
Mouse
Gene
COX17
Purity
Protein A purified
Innovator's Reward
Test in a species/application not listed above to receive a full credit towards a future purchase.

Applications/Dilutions

Dilutions
  • ELISA 1:100 - 1:2000
  • Immunohistochemistry
  • Immunohistochemistry-Paraffin 5 ug/ml
  • Western Blot 1:100-1:2000

Packaging, Storage & Formulations

Storage
Store at -20C. Avoid freeze-thaw cycles.
Buffer
PBS (pH 7.4)
Preservative
No Preservative
Concentration
1 mg/ml
Purity
Protein A purified

Alternate Names for COX17 Antibody (4G2)

  • COX17 (yeast) homolog, cytochrome c oxidase assembly protein
  • COX17 cytochrome c oxidase assembly homolog (S. cerevisiae)
  • cytochrome c oxidase assembly protein (S. cerevisiae)
  • cytochrome c oxidase assembly protein (yeast)
  • cytochrome c oxidase copper chaperone
  • human homolog of yeast mitochondrial copper recruitment
  • MGC104397
  • MGC117386

Background

Cytochrome c oxidase (COX), the terminal component of the mitochondrial respiratory chain, catalyzes the electron transfer from reduced cytochrome c to oxygen. This component is a heteromeric complex consisting of 3 catalytic subunits encoded by mitochondrial genes and multiple structural subunits encoded by nuclear genes. The mitochondrially-encoded subunits function in electron transfer, and the nuclear-encoded subunits may function in the regulation and assembly of the complex. This nuclear gene encodes a protein which is not a structural subunit, but may be involved in the recruitment of copper to mitochondria for incorporation into the COX apoenzyme. This protein shares 92% amino acid sequence identity with mouse and rat Cox17 proteins. This gene is no longer considered to be a candidate gene for COX deficiency. A pseudogene COX17P has been found on chromosome 13.

Limitations

This product is for research use only and is not approved for use in humans or in clinical diagnosis. Primary Antibodies are guaranteed for 1 year from date of receipt.

Customers Who Viewed This Item Also Viewed...

NB100-56503
Species: Dr, Hu, Mu, Rb, Rt
Applications: Flow-CS, Flow-IC, Flow, IB, ICC/IF, IHC,  IHC-P, Simple Western, WB
NBP1-87073
Species: Hu
Applications: IHC,  IHC-P, WB
H00009973-M03
Species: Hu
Applications: ELISA, ICC/IF, IHC,  IHC-P, IP, WB
NBP1-06611
Species: Hu
Applications: ICC/IF, WB
NBP3-47544
Species: Hu, Mu, Rt
Applications: ELISA, IHC, WB
NBP1-77274
Species: Hu
Applications: ELISA, ICC/IF, IHC,  IHC-P, WB
NBP1-32550
Species: Hu, Mu, Ze
Applications: ICC/IF, IHC,  IHC-P, Simple Western, WB
NBP2-59438
Species: Hu
Applications: ELISA, ICC/IF, WB
NBP3-47534
Species: Hu, Mu
Applications: ELISA, IHC, WB
NBP2-59376
Species: Hu, Mu, Rt
Applications: ICC/IF, IHC,  IHC-P, IP, WB
NBP2-24915
Species: Bv, Hu, Mu, Rt
Applications: IHC,  IHC-P, WB
NBP1-51689
Species: Hu
Applications: ELISA, Flow, ICC/IF, IHC,  IHC-P, WB
NB100-402
Species: Ca, Hu, Mu, Po, Rt, Xp, Ze
Applications: ICC/IF, IHC, IHC-Fr,  IHC-P, WB
MAB4614
Species: Hu
Applications: CyTOF-ready, Flow, KO
NB100-360
Species: Hu, Mu, Rt
Applications: IB, ICC/IF, IHC,  IHC-P, IP, WB
NBP2-99532
Species: Hu, Mu, Rt
Applications: IHC,  IHC-P
NBP1-89125
Species: Hu, Mu
Applications: ChIP-EXO-SEQ, ICC/IF, IHC,  IHC-P, KD, WB
H00150684-M01
Species: Hu
Applications: ELISA, IP, WB
NBP3-15868
Species: Hu, Mu, Rt
Applications: ELISA, ICC/IF, IHC,  IHC-P, WB
NBP1-69873
Species: Hu
Applications: WB, ELISA, IHC

Publications for COX17 Antibody (NBP1-69873) (0)

There are no publications for COX17 Antibody (NBP1-69873).
By submitting your publication information earn gift cards and discounts for future purchases.

Reviews for COX17 Antibody (NBP1-69873) (0)

There are no reviews for COX17 Antibody (NBP1-69873). By submitting a review you will receive an Amazon e-Gift Card or Novus Product Discount.
  • Review with no image -- $10/€7/£6/$10 CAD/¥70 Yuan/¥1110 Yen
  • Review with an image -- $25/€18/£15/$25 CAD/¥150 Yuan/¥2500 Yen

Product General Protocols

Find general support by application which include: protocols, troubleshooting, illustrated assays, videos and webinars.

Video Protocols

WB Video Protocol

FAQs for COX17 Antibody (NBP1-69873) (0)

There are no specific FAQs related to this product. Read our general customer & technical service FAQs.

Secondary Antibodies

 

Isotype Controls

Additional COX17 Products

Array NBP1-69873

Research Areas for COX17 Antibody (NBP1-69873)

Find related products by research area.

Blogs on COX17

There are no specific blogs for COX17, but you can read our latest blog posts.

Contact Information

Product PDFs

Calculators

Concentration Calculator

The concentration calculator allows you to quickly calculate the volume, mass or concentration of your vial. Simply enter your mass, volume, or concentration values for your reagent and the calculator will determine the rest.

=
÷

Review this Product

Be the first to review our COX17 Antibody (4G2) and receive a gift card or discount.

Bioinformatics

Gene Symbol COX17
Entrez
Uniprot