Coagulation Factor II/Thrombin Antibody (8.H.11)

Images

 
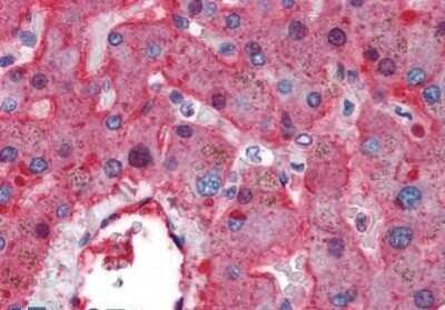
Immunohistochemistry-Paraffin: Prothrombin Antibody (8.H.11) [NBP1-40254] - Analysis of anti-F2 / Thrombin antibody with human liver at concentration 5 ug/ml.

Order Details


    • Catalog Number
      NBP1-40254
    • Availability
      Product Discontinued

    Can't find what you are looking for? Use our Antibody Concierge Service & we will help you locate your antibody!

    Or feel free to contact us for alternative products.

Coagulation Factor II/Thrombin Antibody (8.H.11) Summary

Immunogen
Human Coagulation Factor II/Thrombin
Specificity
Recognizes human Prothrombin, prethrombin-1, fragment 2, meizothrombin. Inhibits clotting and prothrombin activation.
Isotype
IgG2a
Clonality
Monoclonal
Host
Mouse
Gene
F2
Purity
Ion exchange chromatography
Innovator's Reward
Test in a species/application not listed above to receive a full credit towards a future purchase.

Applications/Dilutions

Dilutions
  • ELISA 5 - 10 ug/ml
  • Immunohistochemistry
  • Immunohistochemistry-Paraffin 5 ug/ml
  • Western Blot 10 ug/ml

Packaging, Storage & Formulations

Storage
Store at 4C short term. Aliquot and store at -20C long term. Avoid freeze-thaw cycles.
Buffer
Distilled water
Preservative
50% glycerol
Concentration
1.0 mg/ml
Purity
Ion exchange chromatography

Alternate Names for Coagulation Factor II/Thrombin Antibody (8.H.11)

  • coagulation factor II (thrombin) receptor-like 2
  • Coagulation factor II receptor-like 2 (protease-actovated receptor 3)
  • Coagulation factor II receptor-like 2
  • Coagulation Factor II
  • F2
  • PAR-3
  • PAR3proteinase-activated receptor 3
  • protease-activated receptor 3
  • proteinase-activated receptor-3
  • PT
  • serine protease
  • Thrombin receptor-like 2
  • Thrombin

Background

Coagulation factor II is proteolytically cleaved to form thrombin in the first step of the coagulation cascade which ultimately results in the stemming of blood loss. F2 also plays a role in maintaining vascular integrity during development and postnatal life. Mutations in F2 leads to various forms of thrombosis and dysprothrombinemia.

Limitations

This product is for research use only and is not approved for use in humans or in clinical diagnosis. Primary Antibodies are guaranteed for 1 year from date of receipt.

Customers Who Viewed This Item Also Viewed...

AF1267
Species: Hu
Applications: IP, Neut, WB
H00005555-P01
Species: Hu
Applications: ELISA, AP, PA, PAGE, WB
NBP3-25459
Species: Hu, Rt
Applications: WB
NBP1-33320
Species: Hu, Mu
Applications: ICC/IF, IHC,  IHC-P, WB
MAB1455
Species: Hu
Applications: CyTOF-ready, Dual ISH-IHC, ICC, IHC, ICFlow, Simple Western, WB
NB100-91761
Species: Hu, Mu, Rt
Applications: ELISA, ICC/IF, IHC,  IHC-P, WB
NBP1-89522
Species: Hu, Mu, Rt
Applications: ICC/IF, IHC,  IHC-P, WB
AF904
Species: Hu, Mu, Rt
Applications: IHC, Neut, Simple Western, WB
NB600-930
Species: Hu, Rt
Applications: ELISA, WB
NBP3-17040
Species: Hu
Applications: IHC,  IHC-P, WB
NBP1-19773
Species: Hu, Mu, Rt
Applications: ELISA, ICC/IF, IHC, IHC-Fr,  IHC-P, WB
NB600-586
Species: Ca, Fe, Hu, Mu
Applications: Dual ISH-IHC, ICC/IF, IHC, IHC-Fr,  IHC-P
NBP1-79286
Species: Rt
Applications: WB
NBP2-48860
Species: Hu, Mu
Applications: IHC,  IHC-P, WB
NBP2-20383
Species: Hu, Mu
Applications: ICC/IF, IHC,  IHC-P, WB
DTPA00
Species: Hu
Applications: ELISA

Publications for Coagulation Factor II/Thrombin Antibody (NBP1-40254) (0)

There are no publications for Coagulation Factor II/Thrombin Antibody (NBP1-40254).
By submitting your publication information earn gift cards and discounts for future purchases.

Reviews for Coagulation Factor II/Thrombin Antibody (NBP1-40254) (0)

There are no reviews for Coagulation Factor II/Thrombin Antibody (NBP1-40254). By submitting a review you will receive an Amazon e-Gift Card or Novus Product Discount.
  • Review with no image -- $10/€7/£6/$10 CAD/¥70 Yuan/¥1110 Yen
  • Review with an image -- $25/€18/£15/$25 CAD/¥150 Yuan/¥2500 Yen

Product General Protocols

Find general support by application which include: protocols, troubleshooting, illustrated assays, videos and webinars.

Video Protocols

WB Video Protocol

FAQs for Coagulation Factor II/Thrombin Antibody (NBP1-40254). (Showing 1 - 2 of 2 FAQ).

  1. Do you have neutralizing antibodies for anti-mouse Thrombin?
    • We currently have 1 neutralizing Thrombin antibody (NBP1-95029), however it is an anti-human antibody and has only been validated in human samples. If you would like to test this antibody in mouse samples, you may be interested in participating in our Innovators Reward Program.
  2. I wanted to know if there is any epitope information for this antibody?
    • This antibody is raised against full-length human prothrombin, and unfortunately the epitope has not been mapped at this time. The antibody has been tested and found to detect human prothrombin, prethrombin-1, fragment 2, and meizothrombin, but this is unfortunately the only information available regarding specificity.

Secondary Antibodies

 

Isotype Controls

Additional Coagulation Factor II/Thrombin Products

Research Areas for Coagulation Factor II/Thrombin Antibody (NBP1-40254)

Find related products by research area.

Blogs on Coagulation Factor II/Thrombin

There are no specific blogs for Coagulation Factor II/Thrombin, but you can read our latest blog posts.

Contact Information

Product PDFs

Calculators

Concentration Calculator

The concentration calculator allows you to quickly calculate the volume, mass or concentration of your vial. Simply enter your mass, volume, or concentration values for your reagent and the calculator will determine the rest.

=
÷

Review this Product

Be the first to review our Coagulation Factor II/Thrombin Antibody (8.H.11) and receive a gift card or discount.

Bioinformatics

Gene Symbol F2
Entrez
Uniprot