CNPase Antibody (CL2871) - Azide and BSA Free

Images

 
Orthogonal Strategies: Analysis in human cerebral cortex and liver tissues using NBP3-43809 antibody. Corresponding CNPase RNA-seq data are presented for the same tissues.
Staining of human cerebellum shows strong positivity in oligodendrocytes and myelinated fibers.
Staining of human cerebral cortex shows strong cytoplasmic positivity in oligodendrocytes.
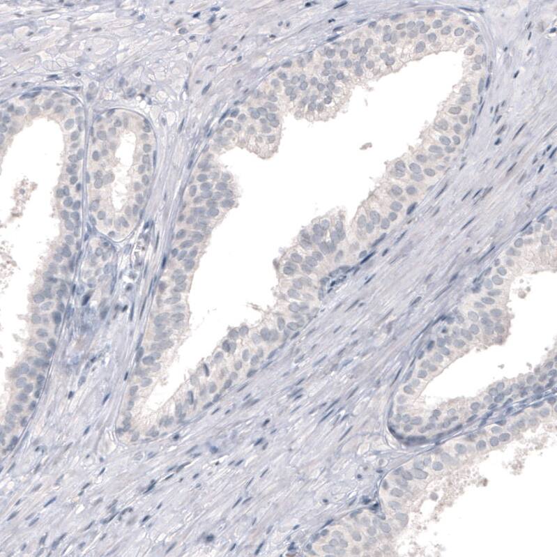
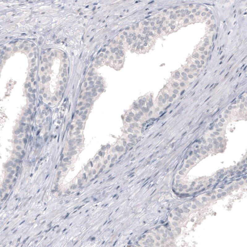
Staining of human prostate shows no positivity in glandular cells as expected.
Staining of human liver shows no positivity in hepatocytes as expected.
Staining of rat brain shows strong positivity in oligodendrocytes in cerebral cortex.
Genetic Strategies: Analysis in A-549 cells transfected with control siRNA, target specific siRNA probe #1, using Anti-CNPase antibody. Remaining relative intensity is presented. Loading control: Anti-GAPDH.
Staining of rat cerebral cortex shows strong immunoreactivity in oligodendrocytes.
Analysis in mouse cerebral cortex tissue.
Staining of rat brain shows strong positivity in oligodendrocytes in the dentate gyrus of the hippocampus.
Staining of mouse brain shows strong positivity in oligodendrocytes in the cerebral cortex.
Staining of mouse basal forebrain shows strong positivity in oligodendrocytes and myelinated fiber tracts in the striatum.

Product Details

Summary
Reactivity Hu, Mu, RtSpecies Glossary
Applications WB, IHC
Clone
CL2871
Clonality
Monoclonal
Host
Mouse
Conjugate
Unconjugated
Format
Azide and BSA Free
Concentration
LYOPH

Order Details

CNPase Antibody (CL2871) - Azide and BSA Free Summary

Description
Novus Biologicals Mouse CNPase Antibody (CL2871) - Azide and BSA Free (NBP2-46635) is a monoclonal antibody validated for use in IHC and WB. All Novus Biologicals antibodies are covered by our 100% guarantee.
Immunogen
This antibody was generated using a recombinant protein sequence of P09543, with the exact immunogen sequence remaining proprietary.
Isotype
IgG2a
Clonality
Monoclonal
Host
Mouse
Gene
CNP
Purity
Protein A purified
Innovator's Reward
Test in a species/application not listed above to receive a full credit towards a future purchase.

Applications/Dilutions

Dilutions
  • Immunohistochemistry-Paraffin 1:2500 - 1:5000
  • Western Blot 1 ug/ml
Application Notes
For IHC-Paraffin, HIER pH 6 retrieval is recommended.

Packaging, Storage & Formulations

Storage
Store at 4C short term. Aliquot and store at -20C long term. Avoid freeze-thaw cycles.
Buffer
Lyophilized from a 0.2 um filtered solution in PBS with Trehalose
Preservative
No Preservative
Concentration
LYOPH
Purity
Protein A purified
Reconstitution Instructions
Centrifuge the vial of lyophilized antibody at 12,000 x g for 20 seconds. Reconstitute by adding sterile, distilled water to achieve a final antibody concentration of 1mg/ml.

Alternate Names for CNPase Antibody (CL2871) - Azide and BSA Free

  • 2', 3' cyclic nucleotide 3' phosphohydrolase
  • 2'-3'-cyclic nucleotide 3' phosphodiesterase
  • 2'-3'-cyclic-nucleotide 3'-phosphodiesterase
  • CNP1
  • CNPase
  • EC 3.1.4.37

Background

2,3-cyclic nucleotide-3-phosphodiesterase (CNP) is a membrane bound, microtubule associated protein that is among the most abundant myelin proteins of the CNS. It is thought that CNP may serve as a regulator of tubulin polymerization and of microtubule distribution (Bifulco et al., 2002). It was recently found that CNP may also function as a possible linker protein anchoring microtubules to the plasma membrane via a 13 residue C-terminal CNP fragment (Bifulco et al., 2002, Esposito et al., 2008).

Limitations

This product is for research use only and is not approved for use in humans or in clinical diagnosis. Primary Antibodies are guaranteed for 1 year from date of receipt.

Customers Who Viewed This Item Also Viewed...

AF3366
Species: Hu
Applications: ICC, IHC, Simple Western, WB
NB600-717
Species: Bv
Applications: ELISA, ICC/IF, IHC, IHC-Fr,  IHC-P, RIA, RI, WB
NBP2-46201
Species: Hu
Applications: IHC,  IHC-P, WB
NBP3-12239
Species: Hu, Mu, Rt
Applications: ELISA, ICC/IF, IHC,  IHC-P, IP, WB
NBP1-31333
Species: Hu, Mu, Rb, Rt
Applications: WB
AF2307
Species: Hu
Applications: ELISA(Cap), ELISA(Det), ELISA(Sta), WB
NBP3-04784
Species: Hu, Mu, Rt
Applications: ELISA, ICC/IF, IHC,  IHC-P, WB
NB300-141
Species: Bv, Ch, Eq, Gp, Hu, Mu, Po, Rb, Rt
Applications: ICC/IF, IHC, IHC-Fr,  IHC-P, Simple Western, WB
538-MG
Species: Rt
Applications: BA
NBP2-02401
Species: Hu, Mu, Rt
Applications: Flow, ICC/IF, IHC,  IHC-P, WB
NBP1-87781
Species: Hu, Mu
Applications: IHC,  IHC-P, WB
MAB6734
Species: Hu
Applications: IHC
NB110-41404
Species: Bv, Hu, Mu, Rt
Applications: ICC/IF, IHC, WB
NBP3-32740
Species: Hu, Mu, Rt
Applications: Flow, ICC/IF, IHC,  IHC-P, IP, WB
NBP2-93574
Species: Hu, Mu, Rt
Applications: ICC/IF, IHC,  IHC-P, WB
AF2439
Species: Mu
Applications: IHC, WB

Publications for CNPase Antibody (NBP3-43809) (0)

There are no publications for CNPase Antibody (NBP3-43809).
By submitting your publication information earn gift cards and discounts for future purchases.

Reviews for CNPase Antibody (NBP3-43809) (0)

There are no reviews for CNPase Antibody (NBP3-43809). By submitting a review you will receive an Amazon e-Gift Card or Novus Product Discount.
  • Review with no image -- $10/€7/£6/$10 CAD/¥70 Yuan/¥1110 Yen
  • Review with an image -- $25/€18/£15/$25 CAD/¥150 Yuan/¥2500 Yen

Product General Protocols

Find general support by application which include: protocols, troubleshooting, illustrated assays, videos and webinars.

Video Protocols

WB Video Protocol

FAQs for CNPase Antibody (NBP3-43809) (0)

There are no specific FAQs related to this product. Read our general customer & technical service FAQs.

Secondary Antibodies

 

Isotype Controls

Additional CNPase Products

Research Areas for CNPase Antibody (NBP3-43809)

Find related products by research area.

Blogs on CNPase

There are no specific blogs for CNPase, but you can read our latest blog posts.

Customers Who Bought This Also Bought

Contact Information

Product PDFs

Calculators

Concentration Calculator

The concentration calculator allows you to quickly calculate the volume, mass or concentration of your vial. Simply enter your mass, volume, or concentration values for your reagent and the calculator will determine the rest.

=
÷

Review this Product

Be the first to review our CNPase Antibody (CL2871) - Azide and BSA Free and receive a gift card or discount.

Bioinformatics

Gene Symbol CNP