Claudin-18 Antibody (179)

Images

 
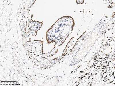
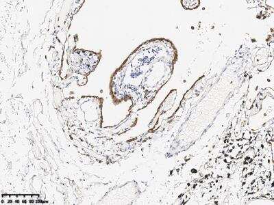
Immunohistochemistry-Paraffin: Claudin-18 Antibody (179) [NBP3-14643] - Staining of Claudin-18 in human lung with rabbit monoclonal antibody at 1:10000 dilution.
Immunohistochemistry-Paraffin: Claudin-18 Antibody (179) [NBP3-14643] - Staining of Claudin-18 in human stomach with rabbit monoclonal antibody at 1:10000 dilution.
Immunohistochemistry-Paraffin: Claudin-18 Antibody (179) [NBP3-14643] - Staining of Claudin-18 in human gastric cancer with rabbit monoclonal antibody at 1:10000 dilution.

Product Details

Summary
Product Discontinued
View other related Claudin-18 Primary Antibodies

Order Details


    • Catalog Number
      NBP3-14643
    • Availability
      Product Discontinued

    Can't find what you are looking for? Use our Antibody Concierge Service & we will help you locate your antibody!

    Or feel free to contact us for alternative products.

Claudin-18 Antibody (179) Summary

Description
This antibody can be stored at 2-8C for one month without detectable loss of activity. Antibody products are stable for twelve months from date of receipt when stored at -20C to -80C. Preservative-Free. Avoid repeated freeze-thaw cycles.
Additional Information
Recombinant Monoclonal Antibody
Immunogen
Produced in rabbits immunized with a synthetic peptide corresponding to the human Claudin 18
Specificity
Has cross-reactivity in IHC with human Claudin 18.1 and Claudin 18.2
Isotype
IgG
Clonality
Monoclonal
Host
Rabbit
Gene
CLDN18
Purity
Protein A purified
Innovator's Reward
Test in a species/application not listed above to receive a full credit towards a future purchase.

Applications/Dilutions

Dilutions
  • Immunohistochemistry
  • Immunohistochemistry-Paraffin 1:5000-1:20000

Packaging, Storage & Formulations

Storage
Store at 4C short term. Aliquot and store at -20C long term. Avoid freeze-thaw cycles.
Buffer
0.2 um filtered solution in PBS
Preservative
No Preservative
Purity
Protein A purified

Alternate Names for Claudin-18 Antibody (179)

  • claudin 18
  • Claudin18
  • Claudin-18
  • CLDN18
  • SFTA5
  • SFTPJ
  • surfactant associated 5
  • surfactant associated protein J
  • surfactant, pulmonary associated protein J

Background

This gene encodes a member of the claudin family. Claudins are integral membrane proteins and components of tight junction strands. Tight junction strands serve as a physical barrier to prevent solutes and water from passing freely through the paracellular space between epithelial or endothelial cell sheets, and also play critical roles in maintaining cell polarity and signal transductions. This gene is upregulated in patients with ulcerative colitis and highly overexpressed in infiltrating ductal adenocarcinomas. PKC/MAPK/AP-1 (protein kinase C/mitogen-activated protein kinase/activator protein-1) dependent pathway regulates the expression of this gene in gastric cells. Alternatively spliced transcript variants encoding different isoforms have been identified.

Limitations

This product is for research use only and is not approved for use in humans or in clinical diagnosis. Primary Antibodies are guaranteed for 1 year from date of receipt.

Customers Who Viewed This Item Also Viewed...

MAB4219
Species: Hu
Applications: CyTOF-ready, Flow
NBP3-18555
Species: Hu
Applications: ICC/IF, IHC,  IHC-P, WB
NBP2-92405
Species: Hu, Mu, Rt
Applications: WB
H00009076-M01
Species: Hu, Pm, Mu
Applications: ELISA, Flow, ICC/IF, IHC,  IHC-P, IP, WB
NB120-11197
Species: Hu, Mu
Applications: Flow-IC, Flow, ICC/IF (-), IHC, IHC-Fr,  IHC-P, WB
MAB3656
Species: Hu
Applications: CyTOF-ready, Flow, ICC
NBP2-44374
Species: Hu
Applications: Flow, ICC/IF, IF, IHC,  IHC-P, IP, WB
NBP2-15196
Species: Bv(-), Ch, Fe, Hu, Ma, Pm, Mu, Po, Rb, Rt
Applications: DB, Flow-IC, Flow, ICC/IF, IHC, IHC-Fr,  IHC-P, WB
NBP1-82470
Species: Ch, Hu, Mu
Applications: IHC,  IHC-P
AF1379
Species: Hu
Applications: IHC, WB
NB100-2136
Species: Hu, Mu
Applications: IHC,  IHC-P, IP, WB (-)
NBP2-82026
Species: Hu, Mu, Rt
Applications: ELISA, ICC/IF, IHC,  IHC-P, WB
AF1126
Species: Mu
Applications: ELISA(Cap), ELISA(Det), ELISA(Sta), IHC, IP, WB
NBP1-85047
Species: Hu, Mu, Po, Rt
Applications: ICC/IF, IHC,  IHC-P, WB
NBP2-92846
Species: Hu, Mu, Rt
Applications: ELISA, ICC/IF, IHC,  IHC-P, WB
NB200-103
Species: Hu, Mu, Rt, Xp(-), Ye
Applications: CyTOF-ready, ELISA, Flow-IC, Flow, ICC/IF, IHC, IHC-Fr,  IHC-P, IP, WB
NBP1-87402
Species: Hu, Mu, Rt
Applications: ELISA, IHC,  IHC-P, KD, WB
NBP2-38777
Species: Hu
Applications: IHC,  IHC-P
NBP2-67309
Species: Hu, Rt
Applications: Flow, ICC/IF, IHC,  IHC-P, IP, WB
NBP3-14643
Species: Hu
Applications: IHC

Publications for Claudin-18 Antibody (NBP3-14643) (0)

There are no publications for Claudin-18 Antibody (NBP3-14643).
By submitting your publication information earn gift cards and discounts for future purchases.

Reviews for Claudin-18 Antibody (NBP3-14643) (0)

There are no reviews for Claudin-18 Antibody (NBP3-14643). By submitting a review you will receive an Amazon e-Gift Card or Novus Product Discount.
  • Review with no image -- $10/€7/£6/$10 CAD/¥70 Yuan/¥1110 Yen
  • Review with an image -- $25/€18/£15/$25 CAD/¥150 Yuan/¥2500 Yen

Product General Protocols

Find general support by application which include: protocols, troubleshooting, illustrated assays, videos and webinars.

FAQs for Claudin-18 Antibody (NBP3-14643) (0)

There are no specific FAQs related to this product. Read our general customer & technical service FAQs.

Secondary Antibodies

 

Isotype Controls

Additional Claudin-18 Products

Research Areas for Claudin-18 Antibody (NBP3-14643)

Find related products by research area.

Blogs on Claudin-18

There are no specific blogs for Claudin-18, but you can read our latest blog posts.

Contact Information

Product PDFs

Calculators

Concentration Calculator

The concentration calculator allows you to quickly calculate the volume, mass or concentration of your vial. Simply enter your mass, volume, or concentration values for your reagent and the calculator will determine the rest.

=
÷

Review this Product

Be the first to review our Claudin-18 Antibody (179) and receive a gift card or discount.

Bioinformatics

Gene Symbol CLDN18