CILP-1 Antibody

Images

 
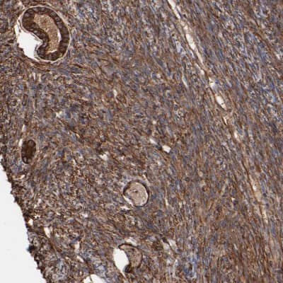
Immunohistochemistry-Paraffin: CILP-1 Antibody [NBP1-81667] - Staining of human Ovary shows strong positivity in extracellular matrix in follicle cells and stromal cells.

Product Details

Summary
Product Discontinued
View other related CILP-1 Primary Antibodies

Order Details


    • Catalog Number
      NBP1-81667
    • Availability
      Product Discontinued

    Can't find what you are looking for? Use our Antibody Concierge Service & we will help you locate your antibody!

    Or feel free to contact us for alternative products.

CILP-1 Antibody Summary

Immunogen
This antibody was developed against Recombinant Protein corresponding to amino acids: YKHESKLVLRKLQQHQAGEYFCKAQSDAGAVKSKVAQLIVTASDETPCNPVPESYLIRLPHDCFQNATNSFYYDVGRCPVKTCAGQQDNGIRCRDAVQNCCGISKTEEREIQCSGYTLPTK
Isotype
IgG
Clonality
Polyclonal
Host
Rabbit
Gene
CILP
Purity
Immunogen affinity purified
Innovator's Reward
Test in a species/application not listed above to receive a full credit towards a future purchase.

Applications/Dilutions

Dilutions
  • Immunohistochemistry 1:500 - 1:1000
  • Immunohistochemistry-Paraffin 1:500 - 1:1000
Application Notes
For IHC-Paraffin, HIER pH 6 retrieval is recommended.
Publications
Read Publications using
NBP1-81667 in the following applications:

Reactivity Notes

Use in Mouse reported in scientific literature (PMID:35005773). Immunogen displays the following percentage of sequence identity for non-tested species: Rat (89%)

Packaging, Storage & Formulations

Storage
Store at 4C short term. Aliquot and store at -20C long term. Avoid freeze-thaw cycles.
Buffer
PBS (pH 7.2) and 40% Glycerol
Preservative
0.02% Sodium Azide
Purity
Immunogen affinity purified

Alternate Names for CILP-1 Antibody

  • cartilage intermediate layer protein 1 C1
  • cartilage intermediate layer protein 1 C2
  • cartilage intermediate layer protein 1
  • cartilage intermediate layer protein, nucleotide pyrophosphohydrolase
  • Cartilage intermediate-layer protein
  • CILP
  • CILP1
  • CILP-1
  • HsT18872

Background

CILP, Cartilage Intermediate Layer Protein, is specifically expressed in the articular cartilage intermediate layer (it cannot be found in the superficial nor in the deepest layers) and is involved in scaffolding. Overexpression of this protein may lead to impairment of chondrocyte growth and matrix repair and indirectly promote inorganic pyrophosphate (PPi) supersaturation in aging and osteoarthritis cartilage. Antibodies against CILP are detected in patients with early-stage knee osteoarthritis and defects in this gene may be a cause of susceptibility to lumbar disk disease.

Limitations

This product is for research use only and is not approved for use in humans or in clinical diagnosis. Primary Antibodies are guaranteed for 1 year from date of receipt.

Customers Who Viewed This Item Also Viewed...

DCMP0
Species: Hu
Applications: ELISA
291-G1
Species: Hu
Applications: BA
NBP1-93469
Species: Hu
Applications: IHC,  IHC-P
7754-BH/CF
Species: Hu
Applications: BA
NBP2-27561
Species: Ch, Hu, Rt
Applications: IHC,  IHC-P, PEP-ELISA, WB
NBP3-06185
Species: Hu
Applications: ICC/IF, IHC,  IHC-P
AF5945
Species: Hu, Mu, Rt
Applications: WB
NBP1-91258
Species: Bv, Ca, Eq, Fe, Hu, Mu, Po, Rt
Applications: ICC/IF, IHC, IHC-Fr,  IHC-P, Simple Western, WB
NBP2-36776
Species: Hu
Applications: ICC/IF, IHC,  IHC-P, KD, WB
AF8218
Species: Hu
Applications: IHC, WB
NBP1-89787
Species: Hu, Mu, Rt
Applications: ICC/IF, IHC,  IHC-P, KD, WB
NB100-1533
Species: Hu, Mu, Po, Rt, Sh
Applications: Flow, ICC/IF, IHC,  IHC-P, PEP-ELISA, WB
5255-EN
Species: Hu
Applications: EnzAct
NBP1-44643
Species: Hu
Applications: CyTOF-ready, Flow, ICC/IF
NBP2-38952
Species: Hu
Applications: ICC/IF, IHC,  IHC-P, WB
355-BM
Species: Hu, Mu, Rt
Applications: BA

Publications for CILP-1 Antibody (NBP1-81667)(2)

We have publications tested in 1 confirmed species: Mouse.

We have publications tested in 2 applications: IF/IHC, IHC-P.


Filter By Application
IF/IHC
(1)
IHC-P
(1)
All Applications
Filter By Species
Mouse
(2)
All Species

Reviews for CILP-1 Antibody (NBP1-81667) (0)

There are no reviews for CILP-1 Antibody (NBP1-81667). By submitting a review you will receive an Amazon e-Gift Card or Novus Product Discount.
  • Review with no image -- $10/€7/£6/$10 CAD/¥70 Yuan/¥1110 Yen
  • Review with an image -- $25/€18/£15/$25 CAD/¥150 Yuan/¥2500 Yen

Product General Protocols

Find general support by application which include: protocols, troubleshooting, illustrated assays, videos and webinars.

FAQs for CILP-1 Antibody (NBP1-81667) (0)

There are no specific FAQs related to this product. Read our general customer & technical service FAQs.

Secondary Antibodies

 

Isotype Controls

Additional CILP-1 Products

Research Areas for CILP-1 Antibody (NBP1-81667)

Find related products by research area.

Blogs on CILP-1

There are no specific blogs for CILP-1, but you can read our latest blog posts.

Contact Information

Product PDFs

Calculators

Concentration Calculator

The concentration calculator allows you to quickly calculate the volume, mass or concentration of your vial. Simply enter your mass, volume, or concentration values for your reagent and the calculator will determine the rest.

=
÷

Review this Product

Be the first to review our CILP-1 Antibody and receive a gift card or discount.

Bioinformatics

Gene Symbol CILP