CHD2 Antibody

Images

 
Western Blot: CHD2 Antibody [NBP1-33428] - Various whole cell extracts (30 ug) were separated by 10% SDS-PAGE, and the membrane was blotted with CHD2 antibody [N1N2], N-term diluted at 1:1000.
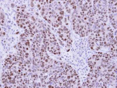
Immunohistochemistry-Paraffin: CHD2 Antibody [NBP1-33428] - Paraffin-embedded SW480 Xenograft, using antibody at 1:100 dilution.

Product Details

Summary
Product Discontinued
View other related CHD2 Primary Antibodies

Order Details


    • Catalog Number
      NBP1-33428
    • Availability
      Product Discontinued

    Can't find what you are looking for? Use our Antibody Concierge Service & we will help you locate your antibody!

    Or feel free to contact us for alternative products.

CHD2 Antibody Summary

Immunogen
Recombinant protein encompassing a sequence within the center region of human CHD2. The exact sequence is proprietary.
Localization
Nucleus
Predicted Species
Mouse (97%), Rat (98%). Backed by our 100% Guarantee.
Isotype
IgG
Clonality
Polyclonal
Host
Rabbit
Gene
CHD2
Purity
Immunogen affinity purified
Innovator's Reward
Test in a species/application not listed above to receive a full credit towards a future purchase.

Applications/Dilutions

Dilutions
  • Immunohistochemistry 1:100-1:1000
  • Immunohistochemistry-Paraffin 1:100-1:1000
  • Immunoprecipitation 1:10 - 1:500
  • Western Blot 1:500-1:3000
Theoretical MW
211 kDa.
Disclaimer note: The observed molecular weight of the protein may vary from the listed predicted molecular weight due to post translational modifications, post translation cleavages, relative charges, and other experimental factors.

Reactivity Notes

Chicken (88%).

Packaging, Storage & Formulations

Storage
Aliquot and store at -20C or -80C. Avoid freeze-thaw cycles.
Buffer
0.1M Tris (pH 7), 0.1M Glycine, 10% Glycerol
Preservative
0.01% Thimerosal
Purity
Immunogen affinity purified

Alternate Names for CHD2 Antibody

  • ATP-dependent helicase CHD2
  • CHD-2
  • chromodomain helicase DNA binding protein 2
  • chromodomain-helicase-DNA-binding protein 2
  • DKFZp547I1315
  • DKFZp686E01200
  • DKFZp781D1727
  • EC 3.6.1
  • EC 3.6.4.12
  • FLJ38614

Background

The CHD family of proteins is characterized by the presence of chromo (chromatin organization modifier) domains and SNF2-related helicase/ATPase domains. CHD genes alter gene expression possibly by modification of chromatin structure thus altering access of the transcriptional apparatus to its chromosomal DNA template. Alternatively spliced transcript variants encoding distinct isoforms have been found for this gene.

Limitations

This product is for research use only and is not approved for use in humans or in clinical diagnosis. Primary Antibodies are guaranteed for 1 year from date of receipt.

Customers Who Viewed This Item Also Viewed...

NB100-60411
Species: Hu, Mu
Applications: ChIP, CHIP-SEQ, IP, KD, KO, WB
NBP3-16632
Species: Hu, Mu, Rt
Applications: ICC/IF, IHC,  IHC-P, WB
AF2459
Species: Hu
Applications: IHC, WB
NBP1-77393
Species: Hu, Mu
Applications: ICC/IF, IHC,  IHC-P, WB
AF6590
Species: Hu
Applications: CyTOF-ready, IHC, ICFlow, WB
NBP1-52105
Species: Hu, Rt
Applications: Flow, IHC,  IHC-P, PEP-ELISA, WB
NBP1-33736
Species: Hu, Mu, Rt
Applications: ICC/IF, IHC,  IHC-P, IP, WB
H00008458-M06
Species: Hu, Mu, Rt
Applications: ELISA, ICC/IF, WB
NBP3-46613
Species: Hu, Mu, Rt, Ze
Applications: ELISA, ICC/IF, IHC, WB
MAB4841
Species: Mu
Applications: CompCytotox, CyTOF-ready, Flow, ICC, IHC, IP, Tstim
NBP2-36776
Species: Hu
Applications: ICC/IF, IHC,  IHC-P, KD, WB
NBP2-13754
Species: Hu, Mu, Rt
Applications: ICC/IF, IHC,  IHC-P, WB
AF1148
Species: Hu
Applications: CyTOF-ready, Flow, Simple Western, WB
DVC00
Species: Hu
Applications: ELISA
NBP2-61118
Species: Hu, Mu
Applications: Flow, ICC/IF, IHC,  IHC-P, Simple Western, WB
NBP1-87508
Species: Hu
Applications: IHC,  IHC-P, WB
NBP1-54873
Species: Hu, Rt
Applications: IHC,  IHC-P, WB
NBP2-03891
Species: Hu, Mu, Rt
Applications: Flow, IHC,  IHC-P, WB
NBP2-33873
Species: Hu
Applications: ICC/IF, IHC,  IHC-P
NBP1-33428
Species: Hu, Mu, Rt
Applications: WB, IHC, IP
⚠ WARNING: This product can expose you to chemicals including mercury, which is known to the State of California to cause reproductive toxicity with developmental effects.  For more information go to www.P65Warnings.ca.gov.

Publications for CHD2 Antibody (NBP1-33428) (0)

There are no publications for CHD2 Antibody (NBP1-33428).
By submitting your publication information earn gift cards and discounts for future purchases.

Reviews for CHD2 Antibody (NBP1-33428) (0)

There are no reviews for CHD2 Antibody (NBP1-33428). By submitting a review you will receive an Amazon e-Gift Card or Novus Product Discount.
  • Review with no image -- $10/€7/£6/$10 CAD/¥70 Yuan/¥1110 Yen
  • Review with an image -- $25/€18/£15/$25 CAD/¥150 Yuan/¥2500 Yen

Product General Protocols

Find general support by application which include: protocols, troubleshooting, illustrated assays, videos and webinars.

Video Protocols

WB Video Protocol

FAQs for CHD2 Antibody (NBP1-33428) (0)

There are no specific FAQs related to this product. Read our general customer & technical service FAQs.

Secondary Antibodies

 

Isotype Controls

Additional CHD2 Products

Array NBP1-33428

Research Areas for CHD2 Antibody (NBP1-33428)

Find related products by research area.

Blogs on CHD2

There are no specific blogs for CHD2, but you can read our latest blog posts.

Contact Information

Product PDFs

Calculators

Concentration Calculator

The concentration calculator allows you to quickly calculate the volume, mass or concentration of your vial. Simply enter your mass, volume, or concentration values for your reagent and the calculator will determine the rest.

=
÷

Review this Product

Be the first to review our CHD2 Antibody and receive a gift card or discount.

Bioinformatics

Gene Symbol CHD2