Centrin 2 Antibody

Images

 
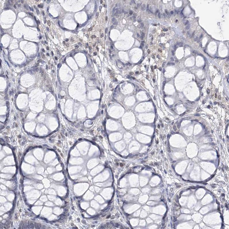
Staining of human colon shows no positivity in glandular cells as expected.
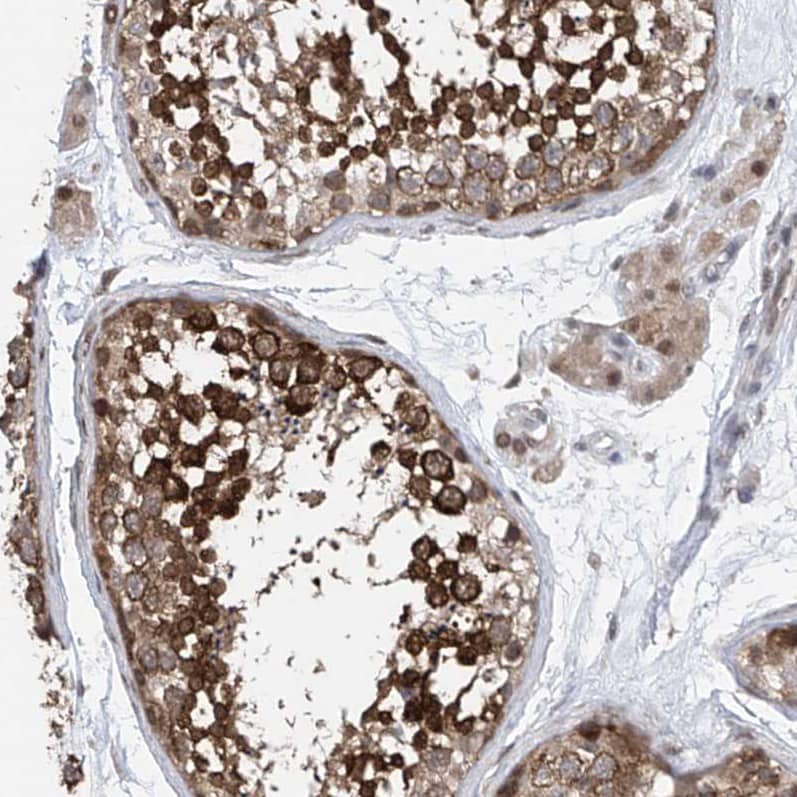
Staining of human testis shows strong cytoplasmic positivity in cells in seminiferous ducts.
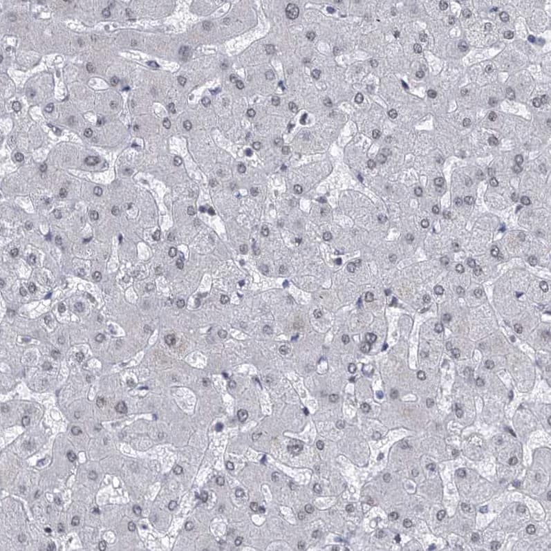
Staining of human liver shows no positivity in hepatocytes as expected.

Product Details

Summary
Reactivity Hu, Mu, RtSpecies Glossary
Applications IHC
Clonality
Polyclonal
Host
Rabbit
Conjugate
Unconjugated

Order Details

Centrin 2 Antibody Summary

Immunogen
This antibody was developed against Recombinant Protein corresponding to amino acids: ASNFKKANMASSSQRKRMSPKPELTEEQKQEIREAFDLFDADGTGTIDVKELKVAMRALGFEPKKEEIKKMISEIDKEGTGKMNFGDFLTVMTQKMSEKDTKEEILKAFKLFDDDETGKISFKNLKRVAKELGENLTDEELQEMIDE
Predicted Species
Mouse (96%), Rat (97%). Backed by our 100% Guarantee.
Isotype
IgG
Clonality
Polyclonal
Host
Rabbit
Gene
CETN2
Purity
Affinity purified
Innovator's Reward
Test in a species/application not listed above to receive a full credit towards a future purchase.

Applications/Dilutions

Dilutions
  • Immunohistochemistry 1:200 - 1:500
  • Immunohistochemistry-Paraffin 1:200 - 1:500
Application Notes
For IHC-Paraffin, HIER pH 6 retrieval is recommended.
Publications
Read Publication using NBP1-88213.

Reactivity Notes

Reactivity reported in scientific literature (PMID: 23435261)

Packaging, Storage & Formulations

Storage
Store at 4C short term. Aliquot and store at -20C long term. Avoid freeze-thaw cycles.
Buffer
PBS (pH 7.2) and 40% Glycerol
Preservative
0.02% Sodium Azide
Purity
Affinity purified

Alternate Names for Centrin 2 Antibody

  • Caltractin isoform 1
  • CEN2CALTcaltractin (20kD calcium-binding protein)
  • centrin, EF-hand protein, 2
  • centrin-2

Limitations

This product is for research use only and is not approved for use in humans or in clinical diagnosis. Primary Antibodies are guaranteed for 1 year from date of receipt.

Customers Who Viewed This Item Also Viewed...

NB100-477
Species: Hu, Mu
Applications: ICC/IF, IHC,  IHC-P, WB
NBP1-88213
Species: Hu
Applications: IHC,  IHC-P
NBP2-14909
Species: Bv, Hu
Applications: ICC/IF, IHC,  IHC-P, IP, WB
NBP1-89699
Species: Hu
Applications: ICC/IF, IHC,  IHC-P, WB
H00001070-M01
Species: Ch, Hu, Mu, Rt, Ze
Applications: ELISA, ICC/IF, IP, KD, WB
AF114
Species: Mu
Applications: CyTOF-ready, Flow, ICC, IHC, WB
NB100-74457
Species: Hu, Mu, Rt
Applications: ICC/IF, WB
NB600-922
Species: Ch, Mu
Applications: ELISA, IHC, Single-Cell Western, WB
NBP1-49878
Species: Hu
Applications: IHC,  IHC-P, PEP-ELISA, WB
NB600-1441
Species: Ca, Hu, Mu, Po
Applications: Flow, ICC/IF, IHC, IHC-Fr,  IHC-P, KD
NBP2-93637
Species: Hu, Mu, Rt
Applications: ELISA, ICC/IF, WB
NBP2-93653
Species: Hu, Mu, Rt
Applications: ELISA, ICC/IF, IHC,  IHC-P, WB
NB100-41398
Species: Hu, Mu, Rt
Applications: Flow, ICC/IF, IHC,  IHC-P, PEP-ELISA, WB
NBP2-55753
Species: Hu
Applications: IHC,  IHC-P
NBP1-49045
Species: Mu, Rt
Applications: Cell Depl, CyTOF-ready, Flow, ICC/IF, IHC, IHC-Fr,  IHC-P, IP, InhibTFunc
NBP1-19371
Species: Ca, Hu, Mu, Po, Rb, Rt
Applications: Dual ISH-IHC, Flow, ICC/IF, IHC, IHC-Fr,  IHC-P, Simple Western, WB
NBP2-25160
Species: Bv, Ca, Eq, Hu, Mu, Po, Rt
Applications: ICC/IF, IHC, WB
NBP2-38449
Species: Hu
Applications: ICC/IF, IHC,  IHC-P

Publications for Centrin 2 Antibody (NBP1-88213)(1)

Reviews for Centrin 2 Antibody (NBP1-88213) (0)

There are no reviews for Centrin 2 Antibody (NBP1-88213). By submitting a review you will receive an Amazon e-Gift Card or Novus Product Discount.
  • Review with no image -- $10/€7/£6/$10 CAD/¥70 Yuan/¥1110 Yen
  • Review with an image -- $25/€18/£15/$25 CAD/¥150 Yuan/¥2500 Yen

Product General Protocols

Find general support by application which include: protocols, troubleshooting, illustrated assays, videos and webinars.

FAQs for Centrin 2 Antibody (NBP1-88213) (0)

There are no specific FAQs related to this product. Read our general customer & technical service FAQs.

Secondary Antibodies

 

Isotype Controls

Additional Centrin 2 Products

Research Areas for Centrin 2 Antibody (NBP1-88213)

Find related products by research area.

Blogs on Centrin 2

There are no specific blogs for Centrin 2, but you can read our latest blog posts.

Customers Who Bought This Also Bought

Contact Information

Product PDFs

Calculators

Concentration Calculator

The concentration calculator allows you to quickly calculate the volume, mass or concentration of your vial. Simply enter your mass, volume, or concentration values for your reagent and the calculator will determine the rest.

=
÷

Review this Product

Be the first to review our Centrin 2 Antibody and receive a gift card or discount.

Bioinformatics

Gene Symbol CETN2