Cdk9 Antibody (1B5A7)

Images

 
Western Blot: Cdk9 Antibody (1B5A7) [NBP2-37601] - Western blot analysis using CDK9 mAb against HEK293 (1) and CDK9(AA: 178-369)-hIgGFc transfected HEK293 (2) cell lysate.
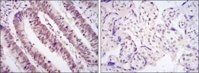
Immunohistochemistry: Cdk9 Antibody (1B5A7) [NBP2-37601] - Immunohistochemical analysis of paraffin-embedded brain tissues (left) and esophageal cancer tissues (right) using CDK9 mouse mAb with DAB staining.
Immunohistochemistry: Cdk9 Antibody (1B5A7) [NBP2-37601] - Immunohistochemical analysis of paraffin-embedded rectum cancer tissues (left) and placenta tissues (right) using CDK9 mouse mAb with DAB staining.
ELISA: Cdk9 Antibody (1B5A7) [NBP2-37601] - Red: Control Antigen (100ng); Purple: Antigen (10ng); Green: Antigen (50ng); Blue: Antigen (100ng);

Product Details

Summary
Product Discontinued
View other related Cdk9 Primary Antibodies

Order Details


    • Catalog Number
      NBP2-37601
    • Availability
      Product Discontinued

    Can't find what you are looking for? Use our Antibody Concierge Service & we will help you locate your antibody!

    Or feel free to contact us for alternative products.

Cdk9 Antibody (1B5A7) Summary

Immunogen
Purified recombinant fragment of human CDK9 expressed in E. Coli.
Isotype
IgG1
Clonality
Monoclonal
Host
Mouse
Gene
CDK9
Purity
Unpurified
Innovator's Reward
Test in a species/application not listed above to receive a full credit towards a future purchase.

Applications/Dilutions

Dilutions
  • ELISA 1:10000
  • Immunohistochemistry 1:200 - 1:1000
  • Immunohistochemistry-Paraffin 1:200 - 1:1000
  • Western Blot 1:500 - 1:2000
Theoretical MW
43 kDa.
Disclaimer note: The observed molecular weight of the protein may vary from the listed predicted molecular weight due to post translational modifications, post translation cleavages, relative charges, and other experimental factors.

Packaging, Storage & Formulations

Storage
Store at 4C short term. Aliquot and store at -20C long term. Avoid freeze-thaw cycles.
Buffer
Ascites
Preservative
0.03% Sodium Azide
Purity
Unpurified

Alternate Names for Cdk9 Antibody (1B5A7)

  • C-2K
  • CDC2L4
  • CDC2L4CTK1
  • CDC2-related kinase
  • Cdk9
  • Cell division cycle 2-like protein kinase 4
  • Cell division protein kinase 9
  • cyclin-dependent kinase 9 (CDC2-related kinase)
  • cyclin-dependent kinase 9
  • EC 2.7.11
  • EC 2.7.11.22
  • EC 2.7.11.23
  • PITALRE
  • serine/threonine protein kinase PITALRE
  • Serine/threonine-protein kinase PITALRE
  • TAK

Background

CDK9 (PITALRE) (also known as cyclin-dependent kinase 9, Serine/threonine-protein kinase PITALRE, C-2K and Cell division cycle 2-like protein kinase 4) is a member of the cyclin-dependent protein kinase (CDK) family. CDK family members are highly similar to the gene products of S. cerevisiae cdc28, and S. pombe cdc2, and known as important cell cycle regulators. CDK9 (PITALRE) interacts with a conserved domain in the TRAF-C region of the tumor necrosis factor signal transducer TRAF2. This kinase also was found to be a component of the multiprotein complex TAK/P-TEFb, which is an elongation factor for RNA polymerase II-directed transcription and functions by phosphorylating the C-terminal domain of the largest subunit of RNA polymerase II. This protein forms a complex with and is regulated by its regulatory subunit cyclin T or cyclin K. HIV-1 Tat protein was found to interact with this protein and cyclin T, which suggested a possible involvement of this protein in AIDS. Tat stimulates human HIV-1 viral transcription elongation. This suggests that cyclin T1/cdk9(PITALRE) is one of the HIV-1 required host cellular cofactors generated during T cell activation. Cyclin T1/cdk9(PITALRE) is shown to interact with Tat to restore Tat activation in HeLa nuclear extracts depleted of P-TEFb. The cdk9(PITALRE) activity and cyclin T1 are essential for activation of transcription when tethered to the heterologous Rev response element RNA via the regulator of expression of virion Rev. CDK9 (PITALRE) is a ubiquitously expressed nuclear protein.

Limitations

This product is for research use only and is not approved for use in humans or in clinical diagnosis. Primary Antibodies are guaranteed for 1 year from date of receipt.

Customers Who Viewed This Item Also Viewed...

NBP3-05509
Species: Hu, Mu, Rt
Applications: ICC/IF, IHC,  IHC-P, WB
NBP2-48860
Species: Hu, Mu
Applications: IHC,  IHC-P, WB
NBP1-79286
Species: Rt
Applications: WB
NBP2-00776
Species: Ca, Hu, Pm, Mu, Rt
Applications: Flow, ICC/IF, IHC,  IHC-P, WB
NB100-581
Species: Hu, Mu, Rt
Applications: ICC, IHC, IP, WB
NBP1-87592
Species: Hu
Applications: ChIP, ICC/IF, IHC,  IHC-P, KO, WB
NBP1-85729
Species: Hu, Mu, Rt
Applications: ICC/IF, IHC,  IHC-P, WB
NBP1-88376
Species: Hu, Mu
Applications: ICC/IF, IHC,  IHC-P, KD, WB
NBP1-71867
Species: Hu, Mu
Applications: IHC,  IHC-P, IP, WB
NBP1-06519
Species: Hu, Mu
Applications: IHC,  IHC-P, IP, WB
NBP2-92972
Species: Hu, Mu, Rt
Applications: IP, KO, WB
NB500-106
Species: Ch, Dr, Fi, Hu, Mar, Mu, Po, Pm, Rb, Rt, Ye, Ze
Applications: ChIP, ChIP, ELISA, Flow, ICC/IF, IHC-FrFl, IHC, IHC-Fr,  IHC-P, IP, Simple Western, WB
NBP2-37602
Species: Hu, Pm, Rt
Applications: ELISA, Flow, ICC/IF, IHC,  IHC-P, WB
NBP2-33466
Species: Hu
Applications: ICC/IF, IHC,  IHC-P, WB
NB100-56583
Species: Hu, Rb, Rt
Applications: Flow, IHC,  IHC-P, KO, Simple Western, WB
NBP1-31308
Species: Bv, Hu, Mu, Rt
Applications: ICC/IF, IHC,  IHC-P, Simple Western, WB
M6000B
Species: Mu
Applications: ELISA
NB200-103
Species: Hu, Mu, Rt, Xp(-), Ye
Applications: CyTOF-ready, ELISA, Flow-IC, Flow, ICC/IF, IHC, IHC-Fr,  IHC-P, IP, WB
NBP2-37601
Species: Hu
Applications: WB, ELISA, IHC

Publications for Cdk9 Antibody (NBP2-37601) (0)

There are no publications for Cdk9 Antibody (NBP2-37601).
By submitting your publication information earn gift cards and discounts for future purchases.

Reviews for Cdk9 Antibody (NBP2-37601) (0)

There are no reviews for Cdk9 Antibody (NBP2-37601). By submitting a review you will receive an Amazon e-Gift Card or Novus Product Discount.
  • Review with no image -- $10/€7/£6/$10 CAD/¥70 Yuan/¥1110 Yen
  • Review with an image -- $25/€18/£15/$25 CAD/¥150 Yuan/¥2500 Yen

Product General Protocols

Find general support by application which include: protocols, troubleshooting, illustrated assays, videos and webinars.

Video Protocols

WB Video Protocol

FAQs for Cdk9 Antibody (NBP2-37601) (0)

There are no specific FAQs related to this product. Read our general customer & technical service FAQs.

Secondary Antibodies

 

Isotype Controls

Additional Cdk9 Products

Research Areas for Cdk9 Antibody (NBP2-37601)

Find related products by research area.

Blogs on Cdk9

There are no specific blogs for Cdk9, but you can read our latest blog posts.

Contact Information

Product PDFs

Calculators

Concentration Calculator

The concentration calculator allows you to quickly calculate the volume, mass or concentration of your vial. Simply enter your mass, volume, or concentration values for your reagent and the calculator will determine the rest.

=
÷

Review this Product

Be the first to review our Cdk9 Antibody (1B5A7) and receive a gift card or discount.

Bioinformatics

Gene Symbol CDK9