Cdk7 Antibody

Images

 
Western Blot: Cdk7 Antibody [NBP2-15847] - A. 30 ug C8D30 whole cell lysate/extract. B. 30 ug NIH-3T3 whole cell lysate/extract. C. 30 ug BCL-1 whole cell lysate/extract. D. 30 ug Raw264.7 whole cell lysate/extract ...read more
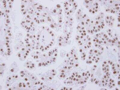
Immunohistochemistry-Paraffin: Cdk7 Antibody [NBP2-15847] - Analysis of paraffin-embedded OVCA, using antibody at 1:250 dilution.
Western Blot: Cdk7 Antibody [NBP2-15847] - A. 30 ug HeLa whole cell lysate/extract. B. 30 ug HepG2 whole cell lysate/extract.

Product Details

Summary
Product Discontinued
View other related Cdk7 Primary Antibodies

Order Details


    • Catalog Number
      NBP2-15847
    • Availability
      Product Discontinued

    Can't find what you are looking for? Use our Antibody Concierge Service & we will help you locate your antibody!

    Or feel free to contact us for alternative products.

Cdk7 Antibody Summary

Immunogen
Recombinant protein encompassing a sequence within the center region of human CDK7. The exact sequence is proprietary.
Localization
Nucleus
Predicted Species
Porcine (97%), Bovine (96%), Rhesus Macaque (99%). Backed by our 100% Guarantee.
Isotype
IgG
Clonality
Polyclonal
Host
Rabbit
Gene
CDK7
Purity
Immunogen affinity purified
Innovator's Reward
Test in a species/application not listed above to receive a full credit towards a future purchase.

Applications/Dilutions

Dilutions
  • Immunohistochemistry 1:100-1:1000
  • Immunohistochemistry-Paraffin 1:100-1:1000
  • Western Blot 1:500-1:3000
Theoretical MW
39 kDa.
Disclaimer note: The observed molecular weight of the protein may vary from the listed predicted molecular weight due to post translational modifications, post translation cleavages, relative charges, and other experimental factors.

Reactivity Notes

Zebrafish (84%), Xenopus laevis (86%).

Packaging, Storage & Formulations

Storage
Aliquot and store at -20C or -80C. Avoid freeze-thaw cycles.
Buffer
PBS (pH 7), 20% Glycerol, 1% BSA
Preservative
0.01% Thimerosal
Purity
Immunogen affinity purified

Alternate Names for Cdk7 Antibody

  • CAK1Xenopus laevis, cdk-activating kinase)
  • Cdk7
  • CDK-activating kinase
  • CDKN7
  • Cell division protein kinase 7
  • cyclin-dependent kinase 7 (homolog of Xenopus MO15 cdk-activating kinase)
  • cyclin-dependent kinase 7
  • EC 2.7.11
  • EC 2.7.11.22
  • EC 2.7.11.23
  • EC 2.7.11.24
  • MO15
  • p39 Mo15
  • serine/threonine kinase stk1,39 kDa protein kinase
  • serine/threonine protein kinase 1
  • serine/threonine protein kinase MO15
  • STK1
  • TFIIH basal transcription factor complex kinase subunit

Background

The protein encoded by this gene is a member of the cyclin-dependent protein kinase (CDK) family. CDK family members are highly similar to the gene products of Saccharomyces cerevisiae cdc28, and Schizosaccharomyces pombe cdc2, and are known to be important regulators of cell cycle progression. This protein forms a trimeric complex with cyclin H and MAT1, which functions as a Cdk-activating kinase (CAK). It is an essential component of the transcription factor TFIIH, that is involved in transcription initiation and DNA repair. This protein is thought to serve as a direct link between the regulation of transcription and the cell cycle. [provided by RefSeq]

Limitations

This product is for research use only and is not approved for use in humans or in clinical diagnosis. Primary Antibodies are guaranteed for 1 year from date of receipt.

Customers Who Viewed This Item Also Viewed...

NBP2-00776
Species: Ca, Hu, Pm, Mu, Rt
Applications: Flow, ICC/IF, IHC,  IHC-P, WB
H00000902-M01
Species: Hu
Applications: ELISA, ICC/IF, IHC,  IHC-P, S-ELISA, WB
NB100-61060
Species: Hu, Mu, Rb, V-Vi
Applications: ChIP, IP, WB
NBP2-87539
Species: Hu
Applications: IHC,  IHC-P, WB
H00002965-M01
Species: Hu
Applications: ELISA, ICC/IF, IHC,  IHC-P, KD, S-ELISA, WB
NBP3-07348
Species: Hu
Applications: Flow, ICC/IF, PA
H00002968-B01P
Species: Hu
Applications: ICC/IF, WB
NBP3-46159
Species: Hu, Mu, Rt
Applications: ELISA, IHC
NBP1-85729
Species: Hu, Mu, Rt
Applications: ICC/IF, IHC,  IHC-P, WB
NBP3-06477
Species: Hu
Applications: ICC/IF, IP, WB
AF5588
Species: Hu, Mu
Applications: IHC, WB
NBP3-15345
Species: Hu, Mu, Rt
Applications: ChIP, CHIP-SEQ, ELISA, ICC/IF, IHC,  IHC-P, IP, WB
NBP1-31308
Species: Bv, Hu, Mu, Rt
Applications: ICC/IF, IHC,  IHC-P, Simple Western, WB
NBP2-33466
Species: Hu
Applications: ICC/IF, IHC,  IHC-P, WB
NBP2-29463
Species: Pm, Hu, Pm, Mu
Applications: Flow, ICC/IF, IHC,  IHC-P, WB
NBP3-15704
Species: Hu, Mu, Rt
Applications: ELISA, IHC,  IHC-P, WB
NBP1-87262
Species: Hu
Applications: ICC/IF, IHC,  IHC-P, KD, WB
NB500-106
Species: Ch, Dr, Fi, Hu, Mar, Mu, Po, Pm, Rb, Rt, Ye, Ze
Applications: ChIP, ChIP, ELISA, Flow, ICC/IF, IHC-FrFl, IHC, IHC-Fr,  IHC-P, IP, Simple Western, WB
AF1555
Species: Hu
Applications: WB
NBP2-15847
Species: Hu, Mu, Po, Bv, RM
Applications: WB, IHC
⚠ WARNING: This product can expose you to chemicals including mercury, which is known to the State of California to cause reproductive toxicity with developmental effects.  For more information go to www.P65Warnings.ca.gov.

Publications for Cdk7 Antibody (NBP2-15847) (0)

There are no publications for Cdk7 Antibody (NBP2-15847).
By submitting your publication information earn gift cards and discounts for future purchases.

Reviews for Cdk7 Antibody (NBP2-15847) (0)

There are no reviews for Cdk7 Antibody (NBP2-15847). By submitting a review you will receive an Amazon e-Gift Card or Novus Product Discount.
  • Review with no image -- $10/€7/£6/$10 CAD/¥70 Yuan/¥1110 Yen
  • Review with an image -- $25/€18/£15/$25 CAD/¥150 Yuan/¥2500 Yen

Product General Protocols

Find general support by application which include: protocols, troubleshooting, illustrated assays, videos and webinars.

Video Protocols

WB Video Protocol

FAQs for Cdk7 Antibody (NBP2-15847) (0)

There are no specific FAQs related to this product. Read our general customer & technical service FAQs.

Contact Information

Product PDFs

Calculators

Concentration Calculator

The concentration calculator allows you to quickly calculate the volume, mass or concentration of your vial. Simply enter your mass, volume, or concentration values for your reagent and the calculator will determine the rest.

=
÷

Review this Product

Be the first to review our Cdk7 Antibody and receive a gift card or discount.

Bioinformatics

Gene Symbol CDK7
Uniprot