CDC45L Antibody (JJ091-04)

Images

 
Immunocytochemistry/ Immunofluorescence: CDC45L Antibody (JJ091-04) [NBP2-67897] - Staining CDC45 in Hela cells (green). The nuclear counter stain is DAPI (blue). Cells were fixed in paraformaldehyde, permeabilised with ...read more
Immunohistochemistry-Paraffin: CDC45L Antibody (JJ091-04) [NBP2-67897] - Analysis of paraffin-embedded mouse kidney tissue using anti-CDC45 antibody. Counter stained with hematoxylin.
Flow Cytometry: CDC45L Antibody (JJ091-04) [NBP2-67897] - Analysis of 293 cells with CDC45 antibody at 1/50 dilution (red) compared with an unlabelled control (cells without incubation with primary antibody; black). ...read more
Immunocytochemistry/ Immunofluorescence: CDC45L Antibody (JJ091-04) [NBP2-67897] - Staining CDC45 in 293T cells (green). The nuclear counter stain is DAPI (blue). Cells were fixed in paraformaldehyde, permeabilised with ...read more
Immunocytochemistry/ Immunofluorescence: CDC45L Antibody (JJ091-04) [NBP2-67897] - Staining CDC45 in A549 cells (green). The nuclear counter stain is DAPI (blue). Cells were fixed in paraformaldehyde, permeabilised with ...read more
Immunohistochemistry-Paraffin: CDC45L Antibody (JJ091-04) [NBP2-67897] - Analysis of paraffin-embedded human kidney tissue using anti-CDC45 antibody. Counter stained with hematoxylin.
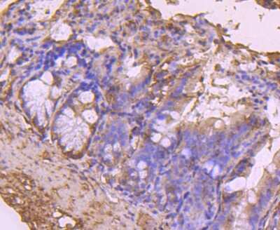
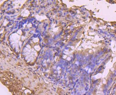
Immunohistochemistry-Paraffin: CDC45L Antibody (JJ091-04) [NBP2-67897] - Analysis of paraffin-embedded mouse colon tissue using anti-CDC45 antibody. Counter stained with hematoxylin.

Product Details

Summary
Product Discontinued
View other related CDC45L Primary Antibodies

Order Details


    • Catalog Number
      NBP2-67897
    • Availability
      Product Discontinued

    Can't find what you are looking for? Use our Antibody Concierge Service & we will help you locate your antibody!

    Or feel free to contact us for alternative products.

CDC45L Antibody (JJ091-04) Summary

Additional Information
Recombinant Monoclonal Antibody.
Immunogen
Synthetic protein within Human CDC45L aa 501-544 / 566. (SwissProt: O75419 Human; SwissProt: Q9Z1X9 Mouse; Entrez Gene: 287961 Rat)
Localization
Cytoplasm, Nucleus.
Isotype
IgG
Clonality
Monoclonal
Host
Rabbit
Gene
CDC45
Purity
Protein A purified
Innovator's Reward
Test in a species/application not listed above to receive a full credit towards a future purchase.

Applications/Dilutions

Dilutions
  • Flow Cytometry 1:50-1:100
  • Immunocytochemistry/ Immunofluorescence 1:100-1:500
  • Immunohistochemistry
  • Immunohistochemistry-Paraffin 1:50-1:200
  • Western Blot 1:1000
Publications
Read Publication using NBP2-67897.

Packaging, Storage & Formulations

Storage
Store at 4C short term. Aliquot and store at -20C long term. Avoid freeze-thaw cycles.
Buffer
TBS (pH7.4), 0.05% BSA, 40% Glycerol
Preservative
0.05% Sodium Azide
Concentration
1 mg/ml
Purity
Protein A purified

Alternate Names for CDC45L Antibody (JJ091-04)

  • CDC45 cell division cycle 45-like (S. cerevisiae)
  • cell division cycle 45 homolog (S. cerevisiae)
  • cell division cycle 45-like 2
  • human CDC45
  • S.cerevisiae, homolog)-like

Background

CDC45L is encoded by this gene was identified by its strong similarity with Saccharomyces cerevisiae Cdc45, an essential protein required to the initiation of DNA replication. Cdc45 is a member of the highly conserved multiprotein complex including Cdc6/Cdc18, the minichromosome maintenance proteins (MCMs) and DNA polymerase, which is important for early steps of DNA replication in eukaryotes. This protein has been shown to interact with MCM7 and DNA polymerase alpha. Studies of the similar gene in Xenopus suggested that this protein play a pivotal role in the loading of DNA polymerase alpha onto chromatin. Multiple polyadenlyation sites of this gene are reported.

Limitations

This product is for research use only and is not approved for use in humans or in clinical diagnosis. Primary Antibodies are guaranteed for 1 year from date of receipt.

Customers Who Viewed This Item Also Viewed...

H00004176-M01
Species: Hu
Applications: ELISA, ICC/IF, IHC,  IHC-P, PLA, WB
NBP2-19804
Species: Hu, Mu
Applications: ICC/IF, IHC,  IHC-P, WB
NBP2-32708
Species: Hu
Applications: ICC/IF, IHC,  IHC-P
NBP2-00776
Species: Ca, Hu, Pm, Mu, Rt
Applications: Flow, ICC/IF, IHC,  IHC-P, WB
NB100-288
Species: Hu, Mu
Applications: IHC,  IHC-P, IP, WB
NBP2-15837
Species: Hu, Mu, Rt
Applications: ICC/IF, IHC,  IHC-P, WB
NB100-464
Species: Hu, Mu
Applications: IHC,  IHC-P, IP, WB
NB500-106
Species: Ch, Dr, Fi, Hu, Mar, Mu, Po, Pm, Rb, Rt, Ye, Ze
Applications: ChIP, ChIP, ELISA, Flow, ICC/IF, IHC-FrFl, IHC, IHC-Fr,  IHC-P, IP, Simple Western, WB
NBP1-92102
Species: Hu
Applications: IHC,  IHC-P, WB
NBP1-33105
Species: Hu, Mu
Applications: ChIP, ICC/IF, IHC,  IHC-P, IP, WB
NB100-79778
Species: Hu, Mu
Applications: ICC/IF, IHC,  IHC-P, IP, WB
NBP2-71688
Species: Ca, Hu, Mu, Rt
Applications: CyTOF-ready, Flow, ICC/IF, IHC,  IHC-P, IP, WB
NBP2-41181
Species: Hu, Mu, Rt
Applications: ELISA, ICC/IF, Simple Western, WB
NB100-2567
Species: Hu
Applications: IHC,  IHC-P, IP, WB
NB100-308
Species: Hu, Mu
Applications: Func, ICC/IF, IP, In vitro, KO, WB
NBP2-33825
Species: Hu
Applications: ICC/IF, IHC,  IHC-P, KD, WB
NBP2-03417
Species: Hu, Mu, Rt
Applications: Flow, IHC,  IHC-P, WB
NB100-56585
Species: Hu
Applications: ICC/IF, IHC,  IHC-P, WB

Publications for CDC45L Antibody (NBP2-67897)(1)

We have publications tested in 1 application: WB.


Filter By Application
WB
(1)
All Applications
Filter By Species
All Species

Reviews for CDC45L Antibody (NBP2-67897) (0)

There are no reviews for CDC45L Antibody (NBP2-67897). By submitting a review you will receive an Amazon e-Gift Card or Novus Product Discount.
  • Review with no image -- $10/€7/£6/$10 CAD/¥70 Yuan/¥1110 Yen
  • Review with an image -- $25/€18/£15/$25 CAD/¥150 Yuan/¥2500 Yen

Product General Protocols

Find general support by application which include: protocols, troubleshooting, illustrated assays, videos and webinars.

Video Protocols

WB Video Protocol
ICC/IF Video Protocol

FAQs for CDC45L Antibody (NBP2-67897) (0)

There are no specific FAQs related to this product. Read our general customer & technical service FAQs.

Secondary Antibodies

 

Isotype Controls

Additional CDC45L Products

Research Areas for CDC45L Antibody (NBP2-67897)

Find related products by research area.

Blogs on CDC45L

There are no specific blogs for CDC45L, but you can read our latest blog posts.

Contact Information

Product PDFs

Calculators

Concentration Calculator

The concentration calculator allows you to quickly calculate the volume, mass or concentration of your vial. Simply enter your mass, volume, or concentration values for your reagent and the calculator will determine the rest.

=
÷

Review this Product

Be the first to review our CDC45L Antibody (JJ091-04) and receive a gift card or discount.

Bioinformatics

Gene Symbol CDC45