Cdc27 Antibody (5C12)

Images

 
Western Blot: Cdc27 Antibody (5C12) [NBP1-51620] - Western blot analysis using CDC27 mouse mAb against CDC27-hIgGFc transfected HEK293 cell.
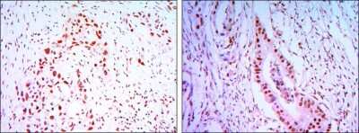
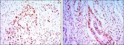
Immunohistochemistry-Paraffin: Cdc27 Antibody (5C12) [NBP1-51620] - Immunohistochemical analysis of paraffin-embedded lung cancer tissues (left) and colon cancer tissues (right) using CDC27 mouse mAb with DAB staining.

Product Details

Summary
Product Discontinued
View other related Cdc27 Primary Antibodies

Order Details


    • Catalog Number
      NBP1-51620
    • Availability
      Product Discontinued

    Can't find what you are looking for? Use our Antibody Concierge Service & we will help you locate your antibody!

    Or feel free to contact us for alternative products.

Cdc27 Antibody (5C12) Summary

Immunogen
Purified recombinant fragment of human CDC27 expressed in E. Coli.
Isotype
IgG1
Clonality
Monoclonal
Host
Mouse
Gene
CDC27
Purity
Unpurified
Innovator's Reward
Test in a species/application not listed above to receive a full credit towards a future purchase.

Applications/Dilutions

Dilutions
  • ELISA 1:10000
  • Immunohistochemistry 1:10-1:500
  • Immunohistochemistry-Paraffin 1:200-1:1000
  • Western Blot 1:200-1:1000
Theoretical MW
91 kDa.
Disclaimer note: The observed molecular weight of the protein may vary from the listed predicted molecular weight due to post translational modifications, post translation cleavages, relative charges, and other experimental factors.

Reactivity Notes

Human

Packaging, Storage & Formulations

Storage
Store at 4C short term. Aliquot and store at -20C long term. Avoid freeze-thaw cycles.
Buffer
Ascites
Preservative
0.03% Sodium Azide
Purity
Unpurified

Alternate Names for Cdc27 Antibody (5C12)

  • ANAPC3CDC27 homolog
  • anaphase promoting complex subunit 3
  • Anaphase-promoting complex subunit 3
  • anaphase-promoting complex, protein 3
  • APC 3
  • APC3cell division cycle 27
  • CDC27Hs
  • cell division cycle 27 homolog (S. cerevisiae)
  • cell division cycle protein 27 homolog
  • D0S1430E
  • D17S978E
  • HNUC
  • H-NUC
  • nuc2 homolog
  • NUC2

Background

Cdc27 shares strong similarity with Saccharomyces cerevisiae protein Cdc27, and the gene product of Schizosaccharomyces pombe nuc 2. It is a component of the Anaphase Promoting Complex (APC), which is composed of eight protein subunits and is highly conserved in eucaryotic cells. The APC catalyzes the formation of the cyclin B ubiquitin conjugate that is responsible for the ubiquitin mediated proteolysis of B type cyclins. This protein and 3 other members of the APC complex contain the TPR (tetratricopeptide repeat), a protein domain important for protein protein interaction. This protein was shown to interact with mitotic checkpoint proteins including Mad2, p55CDC and BUBR1, and thus may be involved in controlling the timing of mitosis.

Limitations

This product is for research use only and is not approved for use in humans or in clinical diagnosis. Primary Antibodies are guaranteed for 1 year from date of receipt.

Customers Who Viewed This Item Also Viewed...

NB100-91662
Species: Hu, Mu, Rt
Applications: Flow, ICC/IF, IHC,  IHC-P, Simple Western, WB
AF4885
Species: Mu
Applications: IP, WB
NBP3-33529
Species: Hu, Mu, Rt
Applications: ELISA, ICC/IF, IHC,  IHC-P, WB
NB100-59828
Species: Hu, Mu
Applications: IHC,  IHC-P, IP, WB
NBP2-15840
Species: Hu, Mu, Rt
Applications: ICC/IF, IHC,  IHC-P, WB
NBP3-35501
Species: Hu, Mu, Rt
Applications: ELISA, IHC,  IHC-P, WB
NB500-106
Species: Ch, Dr, Fi, Hu, Mar, Mu, Po, Pm, Rb, Rt, Ye, Ze
Applications: ChIP, ChIP, ELISA, Flow, ICC/IF, IHC-FrFl, IHC, IHC-Fr,  IHC-P, IP, Simple Western, WB
AF748
Species: Hu, Mu
Applications: CyTOF-ready, Dual ISH-IHC, Flow, ICC, IHC, Simple Western, WB
NB100-2866
Species: Hu
Applications: ICC/IF, IP, KD, WB
NBP1-85729
Species: Hu, Mu, Rt
Applications: ICC/IF, IHC,  IHC-P, WB
AF6000
Species: Hu, Mu
Applications: IHC, Simple Western, WB
NBP2-21037
Species: Hu
Applications: IHC,  IHC-P, WB
NBP2-31361
Species: Hu
Applications: IHC,  IHC-P, WB
NBP1-81988
Species: Hu
Applications: IHC,  IHC-P
NBP2-61889
Species: Hu
Applications: ELISA, Flow, ICC/IF, IHC,  IHC-P, WB
AF4497
Species: Hu
Applications: Simple Western, WB
NBP2-20389
Species: Hu, Mu
Applications: ICC/IF, IHC,  IHC-P, WB
NBP2-61656
Species: Hu
Applications: ELISA, Flow, ICC/IF, IHC,  IHC-P, WB
NBP2-01128
Species: Hu, Pm, Mu, Rt
Applications: Flow, ICC/IF, IHC,  IHC-P, WB
NBP1-51620
Species: Hu
Applications: WB, ELISA, IHC

Publications for Cdc27 Antibody (NBP1-51620) (0)

There are no publications for Cdc27 Antibody (NBP1-51620).
By submitting your publication information earn gift cards and discounts for future purchases.

Reviews for Cdc27 Antibody (NBP1-51620) (0)

There are no reviews for Cdc27 Antibody (NBP1-51620). By submitting a review you will receive an Amazon e-Gift Card or Novus Product Discount.
  • Review with no image -- $10/€7/£6/$10 CAD/¥70 Yuan/¥1110 Yen
  • Review with an image -- $25/€18/£15/$25 CAD/¥150 Yuan/¥2500 Yen

Product General Protocols

Find general support by application which include: protocols, troubleshooting, illustrated assays, videos and webinars.

Video Protocols

WB Video Protocol

FAQs for Cdc27 Antibody (NBP1-51620) (0)

There are no specific FAQs related to this product. Read our general customer & technical service FAQs.

Secondary Antibodies

 

Isotype Controls

Additional Cdc27 Products

Research Areas for Cdc27 Antibody (NBP1-51620)

Find related products by research area.

Blogs on Cdc27

There are no specific blogs for Cdc27, but you can read our latest blog posts.

Contact Information

Product PDFs

Calculators

Concentration Calculator

The concentration calculator allows you to quickly calculate the volume, mass or concentration of your vial. Simply enter your mass, volume, or concentration values for your reagent and the calculator will determine the rest.

=
÷

Review this Product

Be the first to review our Cdc27 Antibody (5C12) and receive a gift card or discount.

Bioinformatics

Gene Symbol CDC27