CD6 Antibody (rC6/372) - Azide and BSA Free

Images

 
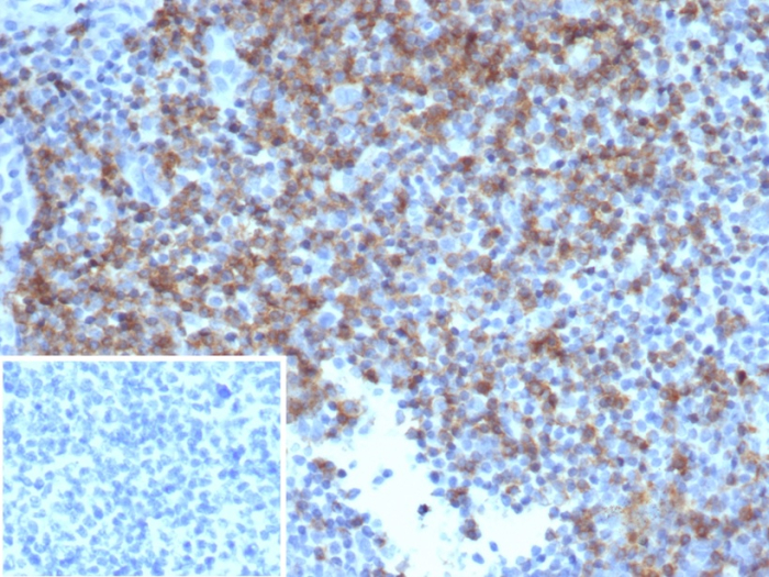
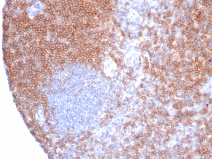
Formalin-fixed, paraffin-embedded human tonsil stained with CD6 antibody (rC6/372). HIER: Tris/EDTA, pH9.0, 45min. Secondary: HRP-polymer, 30min. DAB, 5min.
Formalin-fixed, paraffin-embedded human tonsil stained with CD6 antibody (rC6/372). Inset: PBS instead of primary antibody; secondary only negative control.

Product Details

Summary
Reactivity HuSpecies Glossary
Applications IHC
Clone
rC6/372
Clonality
Monoclonal
Host
Mouse
Conjugate
Unconjugated
Format
Azide and BSA Free
Concentration
1 mg/ml

Order Details

CD6 Antibody (rC6/372) - Azide and BSA Free Summary

Description
Positive Controls: MOLT-4, CCRF-CEM or Jurkat cells. Human tonsil or lymph node.

Antibody with azide - store at 2 to 8C. Antibody without azide - store at -20 to -80C. Non-hazardous. No MSDS required.
Additional Information
Recombinant Monoclonal Antibody
Immunogen
Recombinant full-length human CD6 protein
Localization
Cell surface. Cytoplasm.
Isotype
IgG1 Kappa
Clonality
Monoclonal
Host
Mouse
Gene
CD6
Purity
Protein A or G purified
Innovator's Reward
Test in a species/application not listed above to receive a full credit towards a future purchase.

Applications/Dilutions

Dilutions
  • Immunohistochemistry-Paraffin 1-2 ug/ml
Application Notes
Immunohistochemistry (Formalin-fixed): 1-2ug/ml for 30 minutes. at RT. Staining of formalin-fixed tissues requires heating tissue sections in 10mM Tris with 1mM EDTA, pH 9.0, for 45 min at 95C followed by cooling at RT for 20 minutes.

Optimal dilution for a specific application should be determined.

Packaging, Storage & Formulations

Storage
Store at -20 to -70C. Avoid freeze-thaw cycles.
Buffer
10mM PBS
Preservative
No Preservative
Concentration
1 mg/ml
Purity
Protein A or G purified

Alternate Names for CD6 Antibody (rC6/372) - Azide and BSA Free

  • CD6 antigenFLJ44171
  • CD6 molecule
  • CD6
  • T12
  • Tp120
  • TP120T-cell differentiation antigen CD6

Background

CD6 is a 100-130 kD single chain transmembrane glycoprotein also known as T12. It is a member of the scavenger receptor superfamily found on T and B cell subsets, thymocytes, and acute lymphocytic leukemia cells (ALL). CD6, interacting with its ligand CD166 (also known as ALCAM), is involved in T cell development and activation, as well as thymocyte adhesion.

Limitations

This product is for research use only and is not approved for use in humans or in clinical diagnosis. Primary Antibodies are guaranteed for 1 year from date of receipt.

Customers Who Viewed This Item Also Viewed...

NBP2-25200
Species: Hu
Applications: B/N, Flow, IHC, IHC-Fr, WB
NB100-64852
Species: Hu
Applications: Flow, IF, IHC, IHC-Fr
7268-CT
Species: Hu
Applications: BA
NB100-524
Species: Hu, Mu
Applications: Flow-IC, Flow, ICC/IF, IHC, IHC-Fr,  IHC-P, IP, WB
NBP2-79843
Species: Hu
Applications: CyTOF-ready, ELISA, Flow, ICC/IF, IHC,  IHC-P, PA, WB
NBP1-83192
Species: Hu
Applications: ICC/IF, IHC,  IHC-P, WB
NBP1-80104
Species: Hu
Applications: WB
H00029956-M01A
Species: Hu, Mu
Applications: ELISA, IHC, WB
NBP2-20214
Species: Hu, Mu
Applications: ICC/IF, IHC,  IHC-P, WB
NBP2-92630
Species: Hu, Mu, Rt
Applications: ELISA, ICC/IF, IHC,  IHC-P, WB
NBP1-88582
Species: Hu
Applications: ICC/IF, IHC,  IHC-P, WB
NBP2-25265
Species: Hu, Mu
Applications: ICC/IF, IHC, IHC-Fr,  IHC-P, Simple Western, WB
AF1172
Species: Ca, Hu, Mu, Rt
Applications: CyTOF-ready, Flow, ICC, IHC, Simple Western, WB
NBP2-70360
Species: Hu
Applications: CyTOF-ready, Flow, IMC, ICC/IF, IHC,  IHC-P, WB
NB100-92243
Species: Hu, Mu, Rt
Applications: ICC/IF, IHC,  IHC-P, PLA, WB
H00058516-B02P
Species: Hu
Applications: ICC/IF, IHC,  IHC-P, KD, WB
H00006124-M01
Species: Hu, Mu, Rt
Applications: ELISA, ICC/IF, S-ELISA, WB
AF3565
Species: Mu
Applications: IHC, IP, WB
NB600-1441
Species: Ca, Hu, Mu, Po
Applications: Flow, ICC/IF, IHC, IHC-Fr,  IHC-P, KD
NBP1-49045
Species: Mu, Rt
Applications: Cell Depl, CyTOF-ready, Flow, ICC/IF, IHC, IHC-Fr,  IHC-P, IP, InhibTFunc

Publications for CD6 Antibody (NBP3-20926) (0)

There are no publications for CD6 Antibody (NBP3-20926).
By submitting your publication information earn gift cards and discounts for future purchases.

Reviews for CD6 Antibody (NBP3-20926) (0)

There are no reviews for CD6 Antibody (NBP3-20926). By submitting a review you will receive an Amazon e-Gift Card or Novus Product Discount.
  • Review with no image -- $10/€7/£6/$10 CAD/¥70 Yuan/¥1110 Yen
  • Review with an image -- $25/€18/£15/$25 CAD/¥150 Yuan/¥2500 Yen

Product General Protocols

Find general support by application which include: protocols, troubleshooting, illustrated assays, videos and webinars.

FAQs for CD6 Antibody (NBP3-20926) (0)

There are no specific FAQs related to this product. Read our general customer & technical service FAQs.

Secondary Antibodies

 

Isotype Controls

Additional CD6 Products

Research Areas for CD6 Antibody (NBP3-20926)

Find related products by research area.

Blogs on CD6

There are no specific blogs for CD6, but you can read our latest blog posts.

Customers Who Bought This Also Bought

Contact Information

Product PDFs

Calculators

Concentration Calculator

The concentration calculator allows you to quickly calculate the volume, mass or concentration of your vial. Simply enter your mass, volume, or concentration values for your reagent and the calculator will determine the rest.

=
÷

Review this Product

Be the first to review our CD6 Antibody (rC6/372) - Azide and BSA Free and receive a gift card or discount.

Bioinformatics

Gene Symbol CD6