CD57 Antibody (NK1/7565) - Azide and BSA Free

Images

 
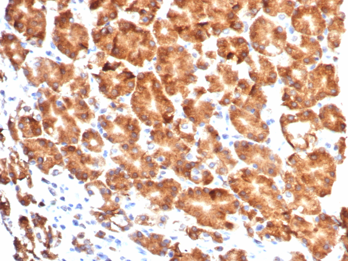
Formalin-fixed, paraffin-embedded human stomach stained with CD57 antibody (NK1/7565). HIER: Tris/EDTA, pH9.0, 45min. Secondary: HRP-polymer, 30min. DAB, 5min.

Product Details

Summary
Reactivity HuSpecies Glossary
Applications IHC
Clone
NK1/7565
Clonality
Monoclonal
Host
Mouse
Conjugate
Unconjugated
Format
Azide and BSA Free
Concentration
1 mg/ml

Order Details

CD57 Antibody (NK1/7565) - Azide and BSA Free Summary

Description
Positive Controls: Human lymph node or tonsil.

Antibody with azide - store at 2 to 8C. Antibody without azide - store at -20 to -80C. Non-hazardous. No MSDS required.
Immunogen
Recombinant fragment (around aa1-200) of human CD57 protein (exact sequence is proprietary)
Localization
Cell surface
Isotype
IgG2 Lambda
Clonality
Monoclonal
Host
Mouse
Gene
B3GAT1
Purity
Protein A purified
Innovator's Reward
Test in a species/application not listed above to receive a full credit towards a future purchase.

Applications/Dilutions

Dilutions
  • Immunohistochemistry-Paraffin 1-2 ug/ml
Application Notes
Immunohistochemistry (Formalin-fixed): 1-2ug/ml for 30 minutes. at RT. Staining of formalin-fixed tissues requires heating tissue sections in 10mM Tris with 1mM EDTA, pH 9.0, for 45 min at 95C followed by cooling at RT for 20 minutes.

Optimal dilution for a specific application should be determined.

Packaging, Storage & Formulations

Storage
Store at -20 to -70C. Avoid freeze-thaw cycles.
Buffer
10mM PBS
Preservative
No Preservative
Concentration
1 mg/ml
Purity
Protein A purified

Alternate Names for CD57 Antibody (NK1/7565) - Azide and BSA Free

  • CD57
  • HNK1
  • HNK-1
  • Human Natural Killer-1
  • L2
  • LEU7
  • LEU-7

Background

The CD57 antigen, also referred to as human natural killer-1 (HNK-1) and LEU-7, is a carbohydrate epitope containing sulfated glucuronic acid that is expressed by many cell types within the nervous system (1,2). Cellular expression of CD57 changes during progression of neural development (1). The CD57 epitope is synthesized by enzymes including a sulfotransferase and one of two glucotransferases (GlcAT-P or GlcAT-S) (1,2). The structure of the CD57/HNK-1 epitope consists of 3-O-sulfated glucuronic acid (GlcA) attached to a terminal galactose (HSO3-3GlcAbeta1-3Galbeta1-4GlcNAc-R) (1,2). The CD57 epitope was first identified and a marker for HNK cells and its expression is associated with NK cell maturation (1-3).

CD57 expression has become a common pathological marker. CD57+ CD8+ T cell expression is observed in various cancers and is often linked to reduced survival (3). On the other hand, CD57+ NK cell expression is associated with less severe disease and better prognosis in cancer patients (3). CD57 is also associated with immune dysfunction and autoimmune disease (3,4). For example, T cell immunosenescence is characterized by an upregulation of CD57 along with KLRG-1 and a loss of CD27 and CD28 expression (4). Expanded autoreactive T cells are also related to diseases including multiple sclerosis (MS) and rheumatoid arthritis (RA) (3). Conversely, reduced numbers of CD57+ NK cells and NK cell cytotoxicity is observed in various autoimmune diseases such as apoptotic dermatitis and sjogren's syndrome (3).

References

1. Focosi D, Bestagno M, Burrone O, Petrini M. CD57+ T lymphocytes and functional immune deficiency. J Leukoc Biol. 2010;87(1):107-116. https://doi.org/10.1189/jlb.0809566

2. Morise J, Takematsu H, Oka S. The role of human natural killer-1 (HNK-1) carbohydrate in neuronal plasticity and disease. Biochim Biophys Acta Gen Subj. 2017;1861(10):2455-2461. https://doi.org/10.1016/j.bbagen.2017.06.025

3. Nielsen CM, White MJ, Goodier MR, Riley EM. Functional Significance of CD57 Expression on Human NK Cells and Relevance to Disease. Front Immunol. 2013;4:422. Published 2013 Dec 9. https://doi.org/10.3389/fimmu.2013.00422

4. Lian J, Yue Y, Yu W, Zhang Y. Immunosenescence: a key player in cancer development. J Hematol Oncol. 2020;13(1):151. Published 2020 Nov 10. https://doi.org/10.1186/s13045-020-00986-z6

Limitations

This product is for research use only and is not approved for use in humans or in clinical diagnosis. Primary Antibodies are guaranteed for 1 year from date of receipt.

Customers Who Viewed This Item Also Viewed...

MAB4375
Species: Hu, Mu, Rt
Applications: IHC
NBP1-49045
Species: Mu, Rt
Applications: Cell Depl, CyTOF-ready, Flow, ICC/IF, IHC, IHC-Fr,  IHC-P, IP, InhibTFunc
7268-CT
Species: Hu
Applications: BA
NBP2-79843
Species: Hu
Applications: CyTOF-ready, ELISA, Flow, ICC/IF, IHC,  IHC-P, PA, WB
NB100-524
Species: Hu, Mu
Applications: Flow-IC, Flow, ICC/IF, IHC, IHC-Fr,  IHC-P, IP, WB
NBP1-19371
Species: Ca, Hu, Mu, Po, Rb, Rt
Applications: Dual ISH-IHC, Flow, ICC/IF, IHC, IHC-Fr,  IHC-P, Simple Western, WB
202-IL
Species: Hu
Applications: BA
MAB4077
Species: Hu
Applications: IHC, WB
AF2408
Species: Hu, Mu
Applications: CyTOF-ready, Flow, ICC, KO, Simple Western, WB
NB600-1441
Species: Ca, Hu, Mu, Po
Applications: Flow, ICC/IF, IHC, IHC-Fr,  IHC-P, KD
6507-IL/CF
Species: Hu
Applications: BA
AF1597
Species: Hu
Applications: Block, Simple Western, WB
4325-FC
Species: Hu
Applications: Bind
485-MI
Species: Mu
Applications: BA
MAB342
Species: Hu
Applications: AgAct, ICC, WB
AF114
Species: Mu
Applications: CyTOF-ready, Flow, ICC, IHC, WB
NB300-201
Species: Hu, Mu, Rt
Applications: ICC/IF, IHC, IHC-Fr,  IHC-P, WB

Publications for CD57 Antibody (NBP3-20869) (0)

There are no publications for CD57 Antibody (NBP3-20869).
By submitting your publication information earn gift cards and discounts for future purchases.

Reviews for CD57 Antibody (NBP3-20869) (0)

There are no reviews for CD57 Antibody (NBP3-20869). By submitting a review you will receive an Amazon e-Gift Card or Novus Product Discount.
  • Review with no image -- $10/€7/£6/$10 CAD/¥70 Yuan/¥1110 Yen
  • Review with an image -- $25/€18/£15/$25 CAD/¥150 Yuan/¥2500 Yen

Product General Protocols

Find general support by application which include: protocols, troubleshooting, illustrated assays, videos and webinars.

FAQs for CD57 Antibody (NBP3-20869) (0)

There are no specific FAQs related to this product. Read our general customer & technical service FAQs.

Secondary Antibodies

 

Isotype Controls

Additional CD57 Products

Array NBP3-20869

Research Areas for CD57 Antibody (NBP3-20869)

Find related products by research area.

Blogs on CD57

There are no specific blogs for CD57, but you can read our latest blog posts.

Customers Who Bought This Also Bought

Contact Information

Product PDFs

Calculators

Concentration Calculator

The concentration calculator allows you to quickly calculate the volume, mass or concentration of your vial. Simply enter your mass, volume, or concentration values for your reagent and the calculator will determine the rest.

=
÷

Review this Product

Be the first to review our CD57 Antibody (NK1/7565) - Azide and BSA Free and receive a gift card or discount.

Bioinformatics

Gene Symbol B3GAT1