CD55/DAF Antibody

Images

 
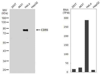
Western Blot: CD55/DAF Antibody [NBP2-15813] - Various whole cell extracts (30 ug) were separated by 10% SDS-PAGE, and the membrane was blotted with CD55 antibody diluted at 1:1000. HRP-conjugated anti-rabbit IgG ...read more
Western Blot: CD55/DAF Antibody [NBP2-15813] - Sample (30 ug of whole cell lysate) A: K562 7. 5% SDS PAGE gel, diluted at 1:3000.

Product Details

Summary
Product Discontinued
View other related CD55/DAF Primary Antibodies

Order Details


    • Catalog Number
      NBP2-15813
    • Availability
      Product Discontinued

    Can't find what you are looking for? Use our Antibody Concierge Service & we will help you locate your antibody!

    Or feel free to contact us for alternative products.

CD55/DAF Antibody Summary

Immunogen
Recombinant protein encompassing a sequence within the center region of human CD55. The exact sequence is proprietary.
Localization
Isoform 1: Membrane; Isoform 2: Cell membrane; GPI-anchor
Isotype
IgG
Clonality
Polyclonal
Host
Rabbit
Gene
CD55
Purity
Immunogen affinity purified
Innovator's Reward
Test in a species/application not listed above to receive a full credit towards a future purchase.

Applications/Dilutions

Dilutions
  • Western Blot 1:500-1:3000
Theoretical MW
41 kDa.
Disclaimer note: The observed molecular weight of the protein may vary from the listed predicted molecular weight due to post translational modifications, post translation cleavages, relative charges, and other experimental factors.

Packaging, Storage & Formulations

Storage
Aliquot and store at -20C or -80C. Avoid freeze-thaw cycles.
Buffer
PBS (pH 7), 20% Glycerol, 1% BSA
Preservative
0.01% Thimerosal
Purity
Immunogen affinity purified

Alternate Names for CD55/DAF Antibody

  • CD55 antigen
  • CD55 molecule, decay accelerating factor for complement (Cromer blood group)
  • CD55
  • CR
  • CRdecay accelerating factor for complement (CD55, Cromer blood group system)
  • CROMDAFcomplement decay-accelerating factor
  • DAF
  • decay accelerating factor for complement
  • TC

Background

This gene encodes a protein involved in the regulation of the complement cascade. The encoded glycoprotein is also known as the decay-accelerating factor (DAF); binding of DAF to complement proteins accelerates their decay, disrupting the cascade and preventing damage to host cells. Antigens present on the DAF glycoprotein constitute the Cromer blood group system (CROM). Two alternatively spliced transcripts encoding different proteins have been identified. The predominant transcript encodes a membrane-bound protein expressed on cells exposed to plasma component proteins but an alternatively spliced transcript produces a soluble protein present at much lower levels. Additional, alternatively spliced transcript variants have been described, but their biological validity has not been determined. [provided by RefSeq]

Limitations

This product is for research use only and is not approved for use in humans or in clinical diagnosis. Primary Antibodies are guaranteed for 1 year from date of receipt.

Customers Who Viewed This Item Also Viewed...

H00003347-M01
Species: Hu
Applications: ELISA, ICC/IF, S-ELISA, WB
AF1106
Species: Hu
Applications: IP, WB
7268-CT
Species: Hu
Applications: BA
NB100-524
Species: Hu, Mu
Applications: Flow-IC, Flow, ICC/IF, IHC, IHC-Fr,  IHC-P, IP, WB
NBP2-79843
Species: Hu
Applications: CyTOF-ready, ELISA, Flow, ICC/IF, IHC,  IHC-P, PA, WB
NBP2-34294
Species: Hu, Mu, Rt
Applications: Flow, IHC,  IHC-P
NB500-330
Species: Hu
Applications: B/N, CyTOF-ready, Flow, IHC, IHC-Fr,  IHC-P, IP
MAB2005
Species: Hu
Applications: CyTOF-ready, Flow, WB
MAB1417
Species: Bv, Hu, Mu
Applications: ICC, IHC
NB200-540
Species: Ec, Mu
Applications: CyTOF-ready, Flow-IC, Flow, IA, ICC/IF, IHC, IHC-Fr,  IHC-P, IP
MAB1455
Species: Hu
Applications: CyTOF-ready, Dual ISH-IHC, ICC, IHC, ICFlow, Simple Western, WB
DY1707
Species: Hu
Applications: ELISA
NBP2-44520
Species: Ca(-), Hu, Rt(-)
Applications: Flow-IC, Flow, ICC/IF, IF, IHC,  IHC-P, MI, WB
NBP2-20383
Species: Hu, Mu
Applications: ICC/IF, IHC,  IHC-P, WB
NBP1-90214
Species: Hu
Applications: ICC/IF, IHC,  IHC-P, WB
NBP2-37477
Species: Hu
Applications: ELISA, ICC/IF, IHC,  IHC-P, WB
AF3398
Species: Hu, Mu, Rt
Applications: ICC, KO, Simple Western, WB
NBP2-52979
Species: Hu, Mu
Applications: Flow, ICC/IF, IHC,  IHC-P, WB
NBP2-15813
Species: Hu
Applications: WB
⚠ WARNING: This product can expose you to chemicals including mercury, which is known to the State of California to cause reproductive toxicity with developmental effects.  For more information go to www.P65Warnings.ca.gov.

Publications for CD55/DAF Antibody (NBP2-15813) (0)

There are no publications for CD55/DAF Antibody (NBP2-15813).
By submitting your publication information earn gift cards and discounts for future purchases.

Reviews for CD55/DAF Antibody (NBP2-15813) (0)

There are no reviews for CD55/DAF Antibody (NBP2-15813). By submitting a review you will receive an Amazon e-Gift Card or Novus Product Discount.
  • Review with no image -- $10/€7/£6/$10 CAD/¥70 Yuan/¥1110 Yen
  • Review with an image -- $25/€18/£15/$25 CAD/¥150 Yuan/¥2500 Yen

Product General Protocols

Find general support by application which include: protocols, troubleshooting, illustrated assays, videos and webinars.

Video Protocols

WB Video Protocol

FAQs for CD55/DAF Antibody (NBP2-15813) (0)

There are no specific FAQs related to this product. Read our general customer & technical service FAQs.

Secondary Antibodies

 

Isotype Controls

Additional CD55/DAF Products

Research Areas for CD55/DAF Antibody (NBP2-15813)

Find related products by research area.

Blogs on CD55/DAF

There are no specific blogs for CD55/DAF, but you can read our latest blog posts.

Contact Information

Product PDFs

Calculators

Concentration Calculator

The concentration calculator allows you to quickly calculate the volume, mass or concentration of your vial. Simply enter your mass, volume, or concentration values for your reagent and the calculator will determine the rest.

=
÷

Review this Product

Be the first to review our CD55/DAF Antibody and receive a gift card or discount.

Bioinformatics

Gene Symbol CD55
Uniprot