CD35 Antibody (CR1/8282R) - Azide and BSA Free

Images

 
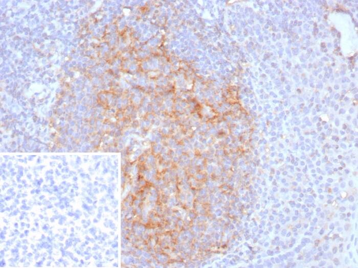
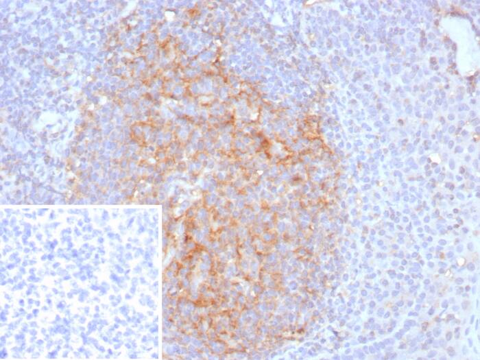
Formalin-fixed, paraffin-embedded human tonsil stained with CD35 antibody (CR1/8282R) - Azide and BSA Free. Inset: PBS instead of primary antibody; secondary only negative control.

Product Details

Summary
Reactivity HuSpecies Glossary
Applications IHC
Clone
CR1/8282R
Clonality
Monoclonal
Host
Rabbit
Conjugate
Unconjugated
Format
Azide and BSA Free
Concentration
1 mg/ml

Order Details

CD35 Antibody (CR1/8282R) - Azide and BSA Free Summary

Description
Antibody without azide - store at -20 to -80C.
Additional Information
Recombinant Monoclonal Antibody
Immunogen
Recombinant fragment (around aa600-900) of human CD35 protein (exact sequence is proprietary)
Localization
Cell surface.
Marker
Follicular Dendritic Cell Marker
Specificity
Anti-CD35 is considered a mature B-cell marker which labels follicular dendritic reticulum cells and tumors derived from such cells such as follicular dendritic cell tumor/sarcoma.
Isotype
IgG Kappa
Clonality
Monoclonal
Host
Rabbit
Gene
CR1
Purity
Protein A or G purified
Innovator's Reward
Test in a species/application not listed above to receive a full credit towards a future purchase.

Applications/Dilutions

Dilutions
  • Immunohistochemistry-Paraffin 1-2ug/ml
Application Notes
Immunohistochemistry-Paraffin: 1-2ug/ml for 30 minutes at RT. Staining of formalin-fixed tissues requires heating tissue sections in 10mM Tris with 1mM EDTA, pH 9.0, for 45 min at 95C followed by cooling at RT for 20 minutes. Optimal dilution for a specific application should be determined.

Packaging, Storage & Formulations

Storage
Store at -20 to -80C. Avoid freeze-thaw cycles.
Buffer
10mM PBS
Preservative
No Preservative
Concentration
1 mg/ml
Purity
Protein A or G purified

Alternate Names for CD35 Antibody (CR1/8282R) - Azide and BSA Free

  • C3BR
  • CD35
  • complement component (3b/4b) receptor 1 (Knops blood group)
  • CR1
  • KN

Background

CD35 encodes a membrane glycoprotein found on peripheral blood cells, glomerular podocytes, and follicular dendritic cells. The protein is a receptor for complement components C3b and C4b and regulates the activity of the complement cascade. Variation in this protein is the basis of the Knops blood group system. The two most common alleles, F and S, differ by 8 exons and are thought to be the result of an unequal crossover event. A secreted form of the protein present in plasma has been described, but its full length nature has not been determined.

Limitations

This product is for research use only and is not approved for use in humans or in clinical diagnosis. Primary Antibodies are guaranteed for 1 year from date of receipt.

Customers Who Viewed This Item Also Viewed...

NBP2-67605
Species: Hu, Pm, Mu
Applications: ICC/IF, IHC,  IHC-P, IP, ISH, WB
NB200-540
Species: Ec, Mu
Applications: CyTOF-ready, Flow-IC, Flow, IA, ICC/IF, IHC, IHC-Fr,  IHC-P, IP
AF2009
Species: Hu
Applications: ICC, IHC
7268-CT
Species: Hu
Applications: BA
NB100-524
Species: Hu, Mu
Applications: Flow-IC, Flow, ICC/IF, IHC, IHC-Fr,  IHC-P, IP, WB
NBP2-79843
Species: Hu
Applications: CyTOF-ready, ELISA, Flow, ICC/IF, IHC,  IHC-P, PA, WB
NB110-89474
Species: Bv, Ce, ChHa, Hu, Pm, Mu, Rt, RM
Applications: Dual ISH-IHC, Flow-CS, Flow, ICC/IF, IHC, IHC-Fr,  IHC-P, ISH, Simple Western, Single-Cell Western, WB
AF2005
Species: Hu
Applications: CyTOF-ready, Flow, IHC, WB
AF1730
Species: Hu
Applications: AdBlk, CyTOF-ready, Flow, ICC
NB500-330
Species: Hu
Applications: B/N, CyTOF-ready, Flow, IHC, IHC-Fr,  IHC-P, IP
AF629
Species: Hu
Applications: CyTOF-ready, Flow, InhibCellGro, WB
AF4999
Species: Mu
Applications: Simple Western, WB
NB200-541
Species: Mu
Applications: IA, ICC/IF, IHC, IHC-Fr, IP, WB
1597-FC/CF
Species: Hu
Applications: Bind
4325-FC
Species: Hu
Applications: Bind
NBP2-34234
Species: Hu
Applications: ELISA, ICC/IF, IHC,  IHC-P
NBP1-90214
Species: Hu
Applications: ICC/IF, IHC,  IHC-P, WB
NBP3-24268
Species: Hu
Applications: IHC

Publications for CD35 Antibody (NBP3-24268) (0)

There are no publications for CD35 Antibody (NBP3-24268).
By submitting your publication information earn gift cards and discounts for future purchases.

Reviews for CD35 Antibody (NBP3-24268) (0)

There are no reviews for CD35 Antibody (NBP3-24268). By submitting a review you will receive an Amazon e-Gift Card or Novus Product Discount.
  • Review with no image -- $10/€7/£6/$10 CAD/¥70 Yuan/¥1110 Yen
  • Review with an image -- $25/€18/£15/$25 CAD/¥150 Yuan/¥2500 Yen

Product General Protocols

Find general support by application which include: protocols, troubleshooting, illustrated assays, videos and webinars.

FAQs for CD35 Antibody (NBP3-24268) (0)

There are no specific FAQs related to this product. Read our general customer & technical service FAQs.

Secondary Antibodies

 

Isotype Controls

Additional CD35 Products

Research Areas for CD35 Antibody (NBP3-24268)

Find related products by research area.

Blogs on CD35.

How To Identify B Cell Subsets Using Flow Cytometry
By Victoria OsinskiUsing Flow Cytometry to Identify B Cell SubsetsIdentifying cellular subsets by flow cytometry requires careful and thorough planning in order to ensure the correct subset of cells are identified...  Read full blog post.

Customers Who Bought This Also Bought

Contact Information

Product PDFs

Calculators

Concentration Calculator

The concentration calculator allows you to quickly calculate the volume, mass or concentration of your vial. Simply enter your mass, volume, or concentration values for your reagent and the calculator will determine the rest.

=
÷

Review this Product

Be the first to review our CD35 Antibody (CR1/8282R) - Azide and BSA Free and receive a gift card or discount.

Bioinformatics

Gene Symbol CR1