CCDC59 Antibody - BSA Free

Images

 
Western Blot: CCDC59 Antibody [NBP1-88368] - Analysis in control (vector only transfected HEK293T lysate) and CCDC59 over-expression lysate (Co-expressed with a C-terminal myc-DDK tag (3.1 kDa) in mammalian HEK293T ...read more
Immunocytochemistry/ Immunofluorescence: CCDC59 Antibody [NBP1-88368] - Immunofluorescent staining of human cell line U-2 OS shows localization to nucleus & nucleoli.
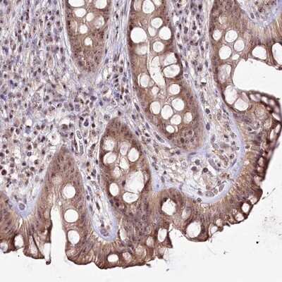
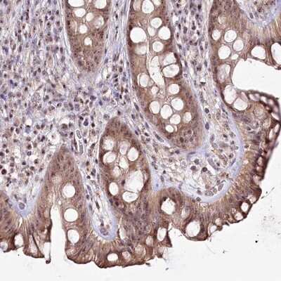
Immunohistochemistry-Paraffin: CCDC59 Antibody [NBP1-88368] - Staining of human rectum shows moderate cytoplasmic and nucleolar positivity in glandular cells.

Product Details

Summary
Reactivity HuSpecies Glossary
Applications WB, ICC/IF, IHC
Clonality
Polyclonal
Host
Rabbit
Conjugate
Unconjugated
Format
BSA Free

Order Details

View Available Formulations
Catalog# & Formulation Size Price

CCDC59 Antibody - BSA Free Summary

Description
Novus Biologicals Rabbit CCDC59 Antibody - BSA Free (NBP1-88368) is a polyclonal antibody validated for use in IHC, WB and ICC/IF. All Novus Biologicals antibodies are covered by our 100% guarantee.
Immunogen
This antibody was developed against Recombinant Protein corresponding to amino acids: NLKHLYLAEEERHRKQARKVDHPLSEQVHQPLLEEQCSIDEPLFEDQCSFDQPQPEEQCIKTVNSFTIPKK
Isotype
IgG
Clonality
Polyclonal
Host
Rabbit
Gene
CCDC59
Purity
Affinity purified
Innovator's Reward
Test in a species/application not listed above to receive a full credit towards a future purchase.

Applications/Dilutions

Dilutions
  • Immunocytochemistry/ Immunofluorescence 0.25-2 ug/ml
  • Immunohistochemistry 1:500 - 1:1000
  • Immunohistochemistry-Paraffin 1:500 - 1:1000
  • Western Blot 0.04-0.4 ug/ml
Application Notes
For IHC-Paraffin, HIER pH 6 retrieval is recommended. ICC/IF, Fixation Permeabilization: Use PFA/Triton X-100.
Control Peptide
CCDC59 Protein (NBP1-88368PEP)

Packaging, Storage & Formulations

Storage
Store at 4C short term. Aliquot and store at -20C long term. Avoid freeze-thaw cycles.
Buffer
PBS (pH 7.2) and 40% Glycerol
Preservative
0.02% Sodium Azide
Purity
Affinity purified

Alternate Names for CCDC59 Antibody - BSA Free

  • BR22HSPC128
  • coiled-coil domain containing 59
  • Coiled-coil domain-containing protein 59
  • FLJ10294
  • TAP26DKFZp686K1021
  • thyroid transcription factor 1-associated protein 26
  • TTF-1-associated protein 26
  • TTF-1-associated protein BR2

Background

CCDC59 is a component of the transcription complexes of the pulmonary surfactant-associated protein-B (SFTPB) and -C (SFTPC). Enhances homeobox protein Nkx-2.1-activated SFTPB and SFTPC promoter activities

Limitations

This product is for research use only and is not approved for use in humans or in clinical diagnosis. Primary Antibodies are guaranteed for 1 year from date of receipt.

Customers Who Viewed This Item Also Viewed...

H00006439-P01
Species: Hu
Applications: ELISA, AP, PA, WB
NBP2-44501
Species: Hu, Mu, Rt
Applications: Flow, ICC/IF, IF, IHC,  IHC-P
NBP3-27122
Species: Hu
Applications: ELISA, Flow, ICC/IF, IHC,  IHC-P, WB
NBP1-87201
Species: Hu
Applications: IHC,  IHC-P, WB
NBP1-88816
Species: Hu
Applications: IHC,  IHC-P, WB
NBP2-67471
Species: Hu, Mu, Rt
Applications: ICC/IF, IHC,  IHC-P, WB
MAB4077
Species: Hu
Applications: IHC, WB
H00002023-M01
Species: Fe, Hu
Applications: ELISA, Flow, Func, ICC/IF, IHC,  IHC-P, IP, WB
NBP2-50037
Species: Hu, Mu, Rt
Applications: ICC/IF, IHC, KO, WB
AF2214
Species: Hu
Applications: ICC, IHC, WB
NBP3-16602
Species: Hu, Mu, Rt
Applications: IHC,  IHC-P, IP, WB
NBP1-89544
Species: Hu
Applications: ChIP-EXO-SEQ, ICC/IF, IHC,  IHC-P, WB
NBP2-02164
Species: Hu, Mu, Rt
Applications: Flow, ICC/IF, IHC,  IHC-P, WB
AF009
Species: Hu
Applications: IHC, WB
AF632
Species: Hu
Applications: AgAct, Simple Western, WB
NBP1-84671
Species: Hu
Applications: ChIP-EXO-SEQ, IHC,  IHC-P, WB
NBP1-88650
Species: Hu
Applications: IHC,  IHC-P, KD, WB
NBP1-82470
Species: Hu, Mu
Applications: IHC,  IHC-P, WB
AF3798
Species: Hu, Mu, Rt
Applications: IHC, KO, Simple Western, WB
NB600-232
Species: Hu, Mu
Applications: ChIP, IHC,  IHC-P, IP, WB

Publications for CCDC59 Antibody (NBP1-88368) (0)

There are no publications for CCDC59 Antibody (NBP1-88368).
By submitting your publication information earn gift cards and discounts for future purchases.

Reviews for CCDC59 Antibody (NBP1-88368) (0)

There are no reviews for CCDC59 Antibody (NBP1-88368). By submitting a review you will receive an Amazon e-Gift Card or Novus Product Discount.
  • Review with no image -- $10/€7/£6/$10 CAD/¥70 Yuan/¥1110 Yen
  • Review with an image -- $25/€18/£15/$25 CAD/¥150 Yuan/¥2500 Yen

Product General Protocols

Find general support by application which include: protocols, troubleshooting, illustrated assays, videos and webinars.

Video Protocols

WB Video Protocol
ICC/IF Video Protocol

FAQs for CCDC59 Antibody (NBP1-88368) (0)

There are no specific FAQs related to this product. Read our general customer & technical service FAQs.

Customers Who Bought This Also Bought

Contact Information

Product PDFs

Calculators

Concentration Calculator

The concentration calculator allows you to quickly calculate the volume, mass or concentration of your vial. Simply enter your mass, volume, or concentration values for your reagent and the calculator will determine the rest.

=
÷

Review this Product

Be the first to review our CCDC59 Antibody - BSA Free and receive a gift card or discount.

Bioinformatics

Gene Symbol CCDC59