CCDC39 Antibody - BSA Free

Images

 
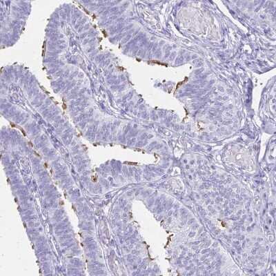
Independent Antibodies: Immunohistochemistry-Paraffin: CCDC39 Antibody [NBP2-33999] - Staining of human bronchus, fallopian tube, rectum and tonsil using Anti-CCDC39 antibody NBP2-33999 (A) shows similar protein ...read more
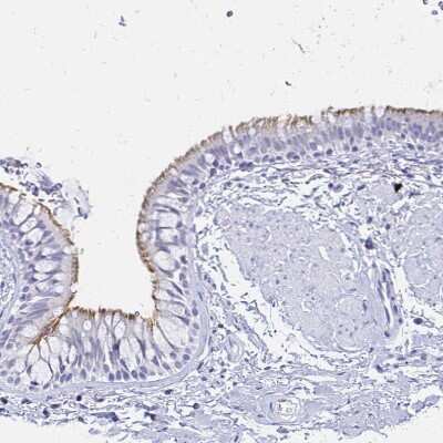
Immunohistochemistry-Paraffin: CCDC39 Antibody [NBP2-33999] - Staining of human fallopian tube shows moderate positivity in cilia in glandular cells.
Immunohistochemistry-Paraffin: CCDC39 Antibody [NBP2-33999] - Staining of human rectum shows no positivity in glandular cells as expected.
Immunohistochemistry-Paraffin: CCDC39 Antibody [NBP2-33999] - Staining of human tonsil shows no positivity in non-germinal center cells as expected.
Immunohistochemistry-Paraffin: CCDC39 Antibody [NBP2-33999] - Staining of human bronchus shows moderate positivity in cilia in glandular cells.

Product Details

Summary
Reactivity HuSpecies Glossary
Applications IHC
Clonality
Polyclonal
Host
Rabbit
Conjugate
Unconjugated
Format
BSA Free
Validated by:
 

Independent Antibodies

       

Order Details

View Available Formulations
Catalog# & Formulation Size Price

CCDC39 Antibody - BSA Free Summary

Description
Novus Biologicals Rabbit CCDC39 Antibody - BSA Free (NBP2-33999) is a polyclonal antibody validated for use in IHC. All Novus Biologicals antibodies are covered by our 100% guarantee.
Immunogen
This antibody was developed against a recombinant protein corresponding to amino acids: TESEEHFKAIAQRELGRVKDEIQRLENEMASILEKKSDKENGIFKATQKLDGLKCQMNWDQQALEAWLEESAHKDSDALTLQKYAQQDDNKIRAL
Isotype
IgG
Clonality
Polyclonal
Host
Rabbit
Gene
CCDC39
Purity
Immunogen affinity purified
Innovator's Reward
Test in a species/application not listed above to receive a full credit towards a future purchase.

Applications/Dilutions

Dilutions
  • Immunohistochemistry 1:1000 - 1:2500
  • Immunohistochemistry-Paraffin 1:1000 - 1:2500
Application Notes
For IHC-Paraffin, HIER pH 6 retrieval is recommended.
Control Peptide
CCDC39 Protein (NBP2-33999PEP)

Reactivity Notes

Immunogen displays the following percentage of sequence identity for non-tested species: Mouse (83%), Rat (88%)

Packaging, Storage & Formulations

Storage
Store at 4C short term. Aliquot and store at -20C long term. Avoid freeze-thaw cycles.
Buffer
PBS (pH 7.2) and 40% Glycerol
Preservative
0.02% Sodium Azide
Purity
Immunogen affinity purified

Alternate Names for CCDC39 Antibody - BSA Free

  • coiled-coil domain containing 39

Limitations

This product is for research use only and is not approved for use in humans or in clinical diagnosis. Primary Antibodies are guaranteed for 1 year from date of receipt.

Customers Who Viewed This Item Also Viewed...

NBP2-16669
Species: Hu, Mu, Rt
Applications: ICC/IF, IHC,  IHC-P, WB
NBP1-88502
Species: Hu
Applications: IHC,  IHC-P
NBP1-82162
Species: Hu
Applications: ICC/IF, IHC,  IHC-P
AF3715
Species: Hu
Applications: Dual ISH-IHC, IHC, IP, KO, Simple Western, WB
NBP1-88582
Species: Hu
Applications: ICC/IF, IHC,  IHC-P, WB
NBP1-83192
Species: Hu
Applications: ICC/IF, IHC,  IHC-P, WB
NB110-68136
Species: Fe, Hu, Mu, Rt
Applications: CyTOF-ready, ELISA, Flow-IC, Flow, ICC/IF, IHC, IHC-Fr,  IHC-P, WB
NBP1-49883
Species: Bv, Ca, Hu, Mu, RM
Applications: IHC,  IHC-P, PEP-ELISA
NBP1-84466
Species: Hu
Applications: IHC,  IHC-P, WB
NBP1-83552
Species: Hu
Applications: ICC/IF, IHC,  IHC-P, WB
H00003703-M02
Species: Hu
Applications: ELISA, IHC,  IHC-P, IP, WB
NBP1-81858
Species: Hu
Applications: IHC,  IHC-P, WB
NB110-40579
Species: Hu, Mu
Applications: ICC/IF, IHC,  IHC-P, IP, KD, WB
NBP1-80104
Species: Hu
Applications: WB
NB100-116
Species: Hu, Mu, Pm, Rt
Applications: ChIP, ELISA, GS, IB, ICC/IF, IHC, IHC-Fr,  IHC-P, IP, KD, PLA, Simple Western, WB
NBP2-33999
Species: Hu
Applications: IHC

Publications for CCDC39 Antibody (NBP2-33999) (0)

There are no publications for CCDC39 Antibody (NBP2-33999).
By submitting your publication information earn gift cards and discounts for future purchases.

Reviews for CCDC39 Antibody (NBP2-33999) (0)

There are no reviews for CCDC39 Antibody (NBP2-33999). By submitting a review you will receive an Amazon e-Gift Card or Novus Product Discount.
  • Review with no image -- $10/€7/£6/$10 CAD/¥70 Yuan/¥1110 Yen
  • Review with an image -- $25/€18/£15/$25 CAD/¥150 Yuan/¥2500 Yen

Product General Protocols

Find general support by application which include: protocols, troubleshooting, illustrated assays, videos and webinars.

FAQs for CCDC39 Antibody (NBP2-33999). (Showing 1 - 1 of 1 FAQ).

  1. I would like to find an antibody for IHC that detects only human CCDC39 without detecting mouse CCDC39 (without or minimal cross-reactivity to mouse). There fore can you tell me the percentage between the immunogen and the mouse protein? NBP1-90560 and NBP2-33999
    • For NBP1-90560 the identity between the immunogen and the mouse sequence is 78.5%, which is pretty low and we would not expect there to be cross-reactivity but this has not been tested. For NBP2-33999 the identity is 84%, so it may or may not cross react but again it has not been tested, so we can not guarantee that either of these product will not react with mouse samples. Although if you wanted to try, NBP1-90560 would be a better choice.

Customers Who Bought This Also Bought

Contact Information

Product PDFs

Calculators

Concentration Calculator

The concentration calculator allows you to quickly calculate the volume, mass or concentration of your vial. Simply enter your mass, volume, or concentration values for your reagent and the calculator will determine the rest.

=
÷

Review this Product

Be the first to review our CCDC39 Antibody - BSA Free and receive a gift card or discount.

Bioinformatics

Gene Symbol CCDC39
Uniprot